Back to Patients
De-identified Patient
male
DOB: ••••-••-••
FHIR: Patient
Patient Information
FHIR: Patient
De-identified for demo. Identity fields are masked.
- Full Name
- De-identified
- Date of Birth
- ••••-••-••
- Gender
- male
- Phone
- ••••••••D)
- ••••@••••
- Address
- De-identified location
Quick Actions
11
Conditions
15
Procedures
20
Visits
11
Invoices
12
X-rays
Diagnosed Conditions
Add Condition| Condition | ICD-10-AM | SNOMED CT Ref. | Status | Onset | Notes | FHIR |
|---|---|---|---|---|---|---|
| Dental caries | — | 80967001 | resolved | 2026-03-18 | cementation done with 36 | |
| Dental caries | — | 80967001 | resolved | 2026-03-04 | crown prep and impression with 36 and 45 pfm shade A3-TOUSIF LAB | |
| Necrosis of dental pulp | K04.1 | 234946006 | resolved | 2026-02-26 | obt all 4 canal done | |
| Necrosis of dental pulp | K04.1 | 234946006 | resolved | 2026-02-23 | Obturation done with 36 mesial both the canals | |
| Dental pulp necrosis | — | 234946006 | resolved | 2026-02-16 | dl-- long file 2 stopper from mesiobuccal cusp, db long file 2 stopper from mesiolingual cusp...bmp done 25.04 till apex 2 stopper | |
| Dental pulp necrosis | — | 234946006 | resolved | 2026-02-13 | a/o 36 mesial wl 20.5 mm . orange till apex, 20.04 short of apex, dl 20.04 short of apex 20.05mm, db long file one stopper 20.04 done | |
| Necrosis of dental pulp | K04.1 | 234946006 | resolved | 2026-02-07 | adv rct with 36 @5k-5500 followed by crown pfm @3500 or metal @1500 | |
| Dental caries | — | 80967001 | resolved | 2025-02-05 | dtech done | |
| Dental pulp necrosis | — | 234946006 | resolved | 2025-01-22 | obt 45 | |
| Dental pulp necrosis | — | 234946006 | resolved | 2025-01-20 | a/o 45 25-06 | |
| Necrosis of dental pulp | K04.1 | 234946006 | resolved | 2024-03-27 | a/o 14 both canals 20-06 |
Dental Procedures
Add Procedure| Procedure | SNOMED CT AU | CDT Code | Tooth | Date | Status | Notes | FHIR |
|---|---|---|---|---|---|---|---|
| Crown of tooth | 424311000 | D2750 Crown, porcelain fused to high noble metal | ##36 | 2026-03-18 | completed | cementation done with 36 | |
| Crown of tooth | 424311000 | D2750 Crown, porcelain fused to high noble metal | ##36, #45 | 2026-03-04 | completed | crown prep and impression with 36 and 45 pfm shade A3-TOUSIF LAB | |
| Root canal treatment | 234780006 | — | — | 2026-02-26 | completed | obt all 4 canal done | |
| Root canal treatment | 234780006 | — | ##36 | 2026-02-23 | completed | Obturation done with 36 mesial both the canals | |
| Root canal treatment | 234780006 | D3330 Endodontic therapy, molar tooth | ##25 | 2026-02-16 | completed | dl-- long file 2 stopper from mesiobuccal cusp, db long file 2 stopper from mesiolingual cusp...bmp done 25.04 till apex 2 stopper | |
| Root canal treatment | 234780006 | — | ##36 | 2026-02-16 | completed | bmp 36 mb and ml 25.04 1 stopper short file | |
| Dental procedure (other) | 74964007 | D9999 Unspecified adjunctive procedure, by report | — | 2026-02-13 | completed | Advance | |
| Root canal treatment | 234780006 | — | ##36 | 2026-02-13 | completed | a/o 36 mesial wl 20.5 mm . orange till apex, 20.04 short of apex, dl 20.04 short of apex 20.05mm, db long file one stopper 20.04 done | |
| Root canal treatment | 234780006 | D3330 Endodontic therapy, molar tooth | ##36 | 2026-02-07 | completed | adv rct with 36 @5k-5500 followed by crown pfm @3500 or metal @1500 | |
| Dental procedure (other) | 74964007 | D9999 Unspecified adjunctive procedure, by report | — | 2026-02-07 | completed | New treatment started | |
| Dental procedure (other) | 74964007 | D9999 Unspecified adjunctive procedure, by report | — | 2026-02-07 | completed | New treatment started | |
| Dental filling | 180534004 | — | — | 2025-02-05 | completed | dtech done | |
| Root canal treatment | 234780006 | — | ##45 | 2025-01-22 | completed | obt 45 | |
| Root canal treatment | 234780006 | D3320 Endodontic therapy, premolar tooth | ##45 | 2025-01-20 | completed | a/o 45 25-06 | |
| Root canal treatment | 234780006 | D3320 Endodontic therapy, premolar tooth | ##14 | 2024-03-27 | completed | a/o 14 both canals 20-06 |
Appointment History
Book Appointment| Date & Time | Status | Clinical Notes | FHIR |
|---|---|---|---|
| 2026-03-18 21:54 | fulfilled | cementation done with 36 — Dr Riyaz | |
| 2026-03-12 22:13 | fulfilled | Dental visit — Dr Riyaz | |
| 2026-03-04 21:23 | fulfilled | crown prep and impression with 36 and 45 pfm shade A3-TOUSIF LAB — Dr Riyaz | |
| 2026-02-27 21:30 | fulfilled | Dental visit | |
| 2026-02-26 20:43 | fulfilled | obt all 4 canal done | |
| 2026-02-23 21:19 | fulfilled | Obturation done with 36 mesial both the canals — Dr Riyaz | |
| 2026-02-16 21:59 | fulfilled | bmp 36 mb and ml 25.04 1 stopper short file — Dr Riyaz | |
| 2026-02-16 21:56 | fulfilled | dl-- long file 2 stopper from mesiobuccal cusp, db long file 2 stopper from mesiolingual cusp...bmp — Dr Riyaz | |
| 2026-02-13 22:07 | fulfilled | a/o 36 mesial wl 20.5 mm . orange till apex, 20.04 short of apex, dl 20.04 short of apex — Dr Riyaz | |
| 2026-02-13 18:40 | fulfilled | Advance | |
| 2026-02-07 22:00 | fulfilled | New treatment started | |
| 2026-02-07 22:00 | fulfilled | New treatment started | |
| 2026-02-07 21:54 | fulfilled | adv rct with 36 @5k-5500 followed by crown pfm @3500 or metal @1500 | |
| 2025-02-05 13:41 | fulfilled | Dental visit — NULL | |
| 2025-02-05 13:22 | fulfilled | dtech done — NULL | |
| 2025-01-22 13:01 | fulfilled | obt 45 — NULL | |
| 2025-01-20 14:06 | fulfilled | Dental visit — NULL | |
| 2025-01-20 14:06 | fulfilled | a/o 45 25-06 — NULL | |
| 2024-04-01 22:19 | fulfilled | Dental visit — NULL | |
| 2024-03-27 22:01 | fulfilled | a/o 14 both canals 20-06 — NULL |
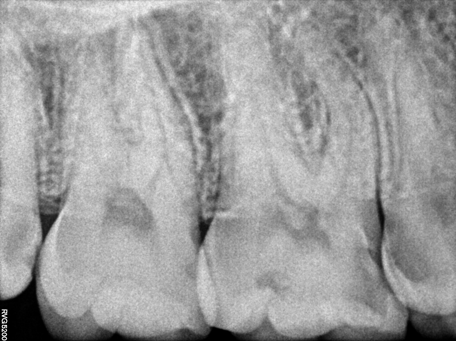
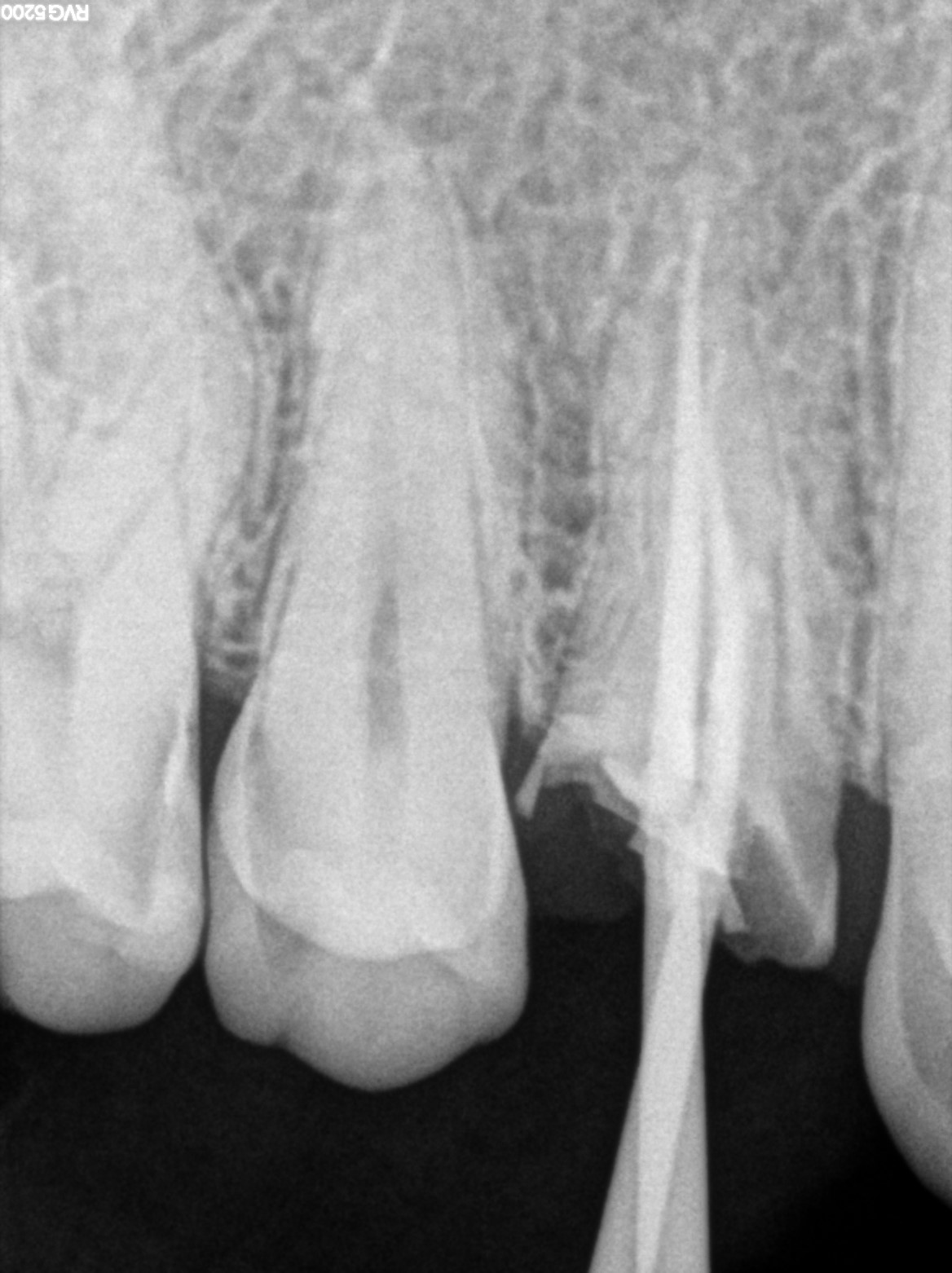
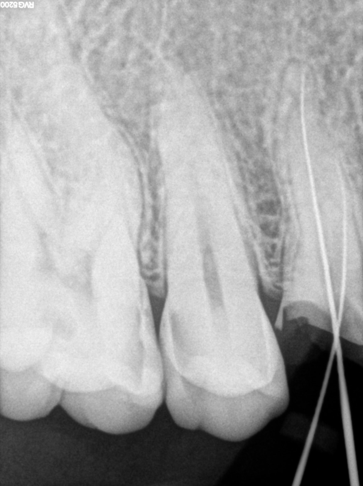
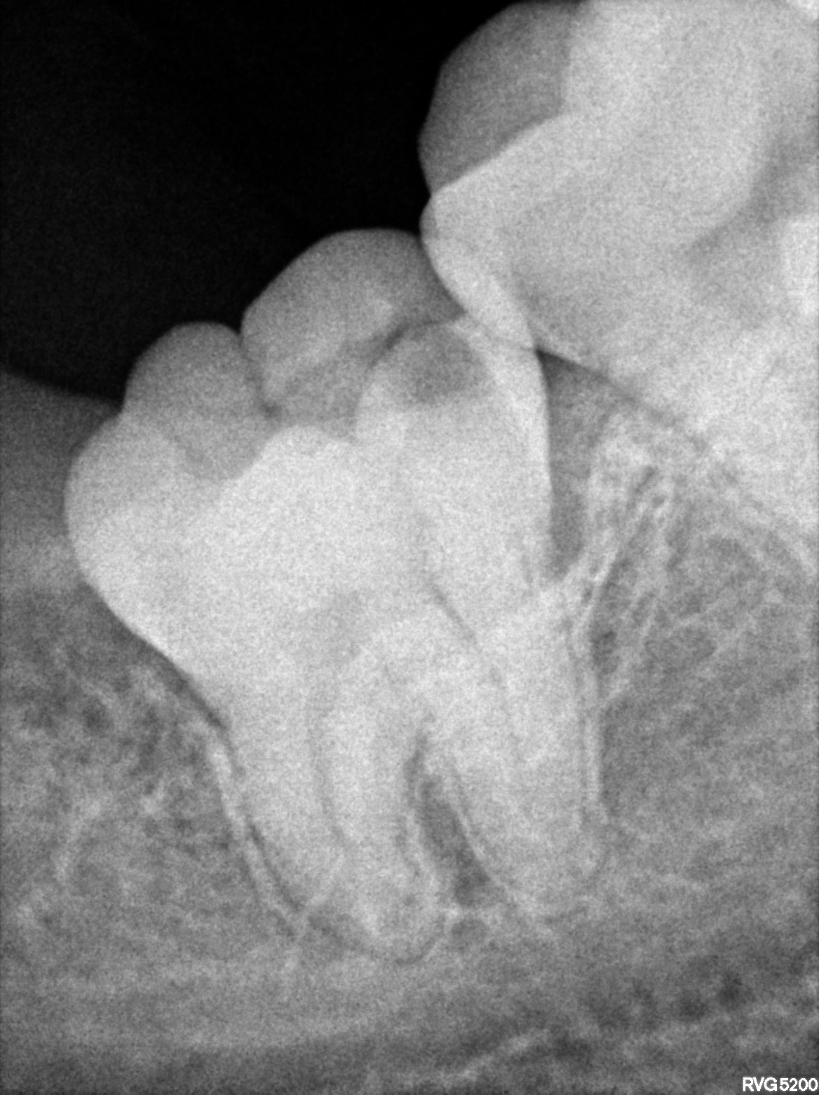
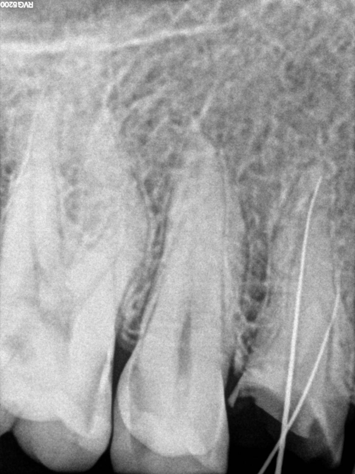
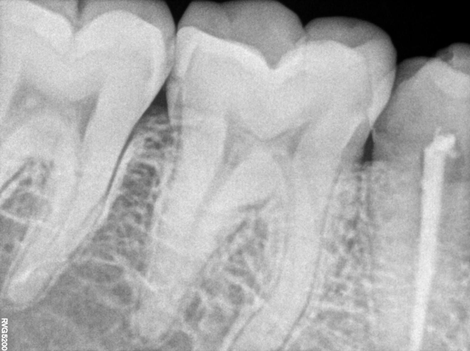
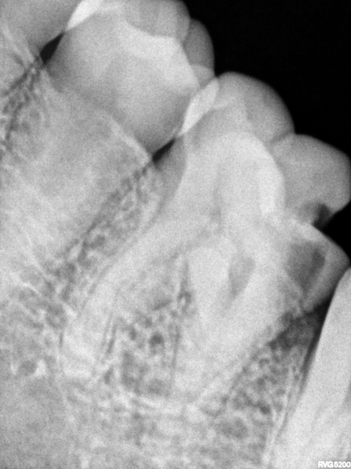
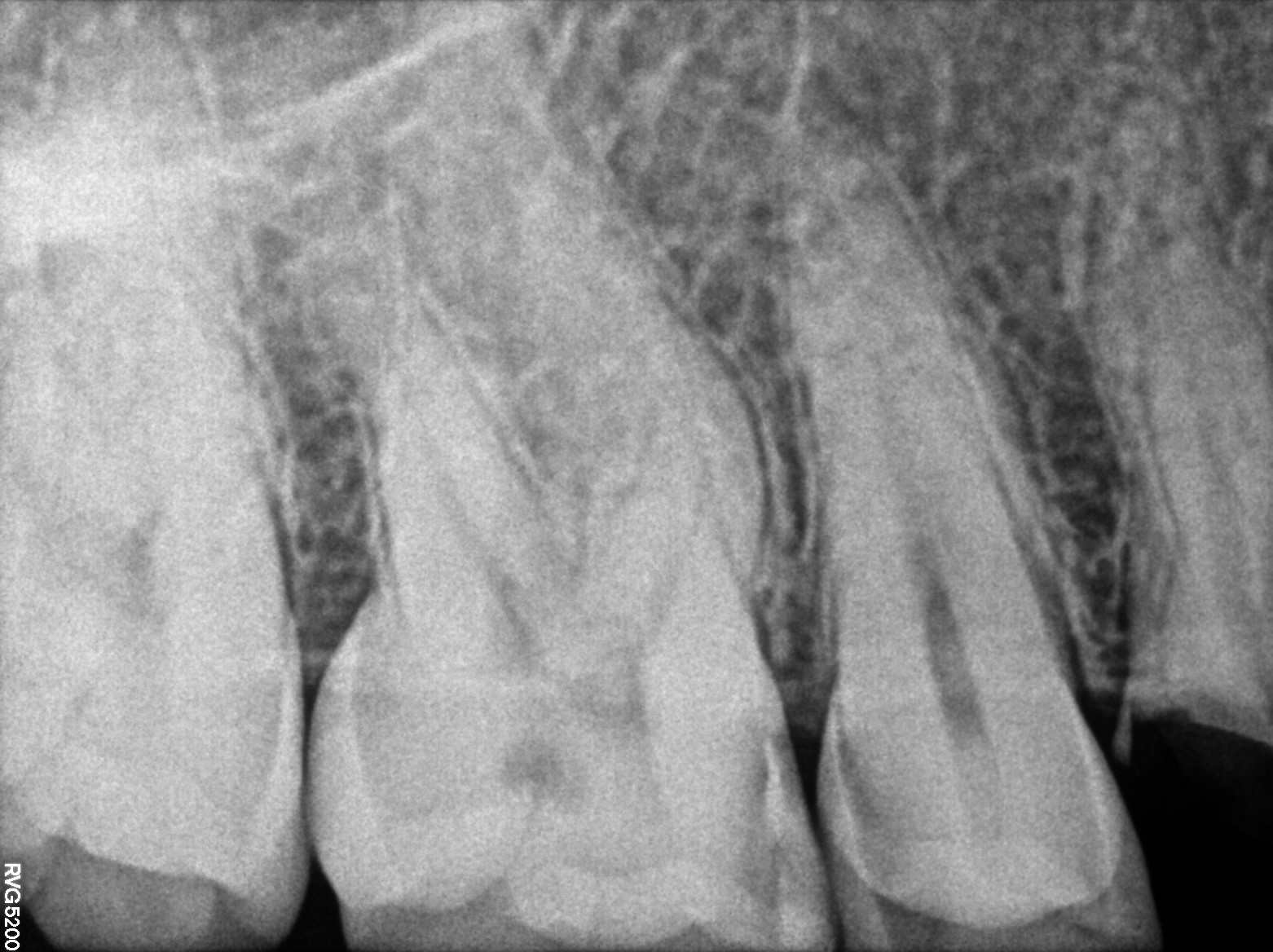
Dental Radiographs FHIR: DocumentReference · LOINC 24641-7
FHIR Bundle
xray_1772642539_0.jpg
24641-7
xray_1772642477_1.jpg
24641-7
R55.jpg
24641-7
xray_1770998647_1.jpg
24641-7
R57.jpg
24641-7
xray_1770476620_0.jpg
24641-7
xray_1770998647_0.jpg
24641-7
xray_1771259343_0.jpg
24641-7
R56.jpg
24641-7
xray_1772120353_0.jpg
24641-7
R62.jpg
24641-7
xray_1772642477_0.jpg
24641-7
Invoices FHIR R4 Invoice · INR
FHIR Bundle⁢₹20,500
Charged
₹20,000
Paid
₹16,500
Outstanding
| Date | Procedure | Charged (₹) | Paid (₹) | Balance (₹) | Mode | Status | FHIR |
|---|---|---|---|---|---|---|---|
| 2026-03-12 | Dental procedure | 0 | 7,000 | -7,000 | gpay | cancelled | |
| 2026-03-04 | Crown of tooth | 7,000 | 0 | 7,000 | — | issued | |
| 2026-02-27 | Dental procedure | 0 | 1,000 | -1,000 | gpay | cancelled | |
| 2026-02-23 | Root canal treatment | 0 | 2,000 | -2,000 | Gpay | cancelled | |
| 2026-02-13 | Dental procedure (other) | 5,500 | 2,000 | 3,500 | cash | issued | |
| 2026-02-13 | Dental procedure (other) | 0 | 500 | -500 | — | cancelled | |
| 2025-02-05 | Dental filling | 0 | 2,000 | -2,000 | — | cancelled | |
| 2025-01-20 | Root canal treatment | 0 | 2,000 | -2,000 | — | cancelled | |
| 2025-01-20 | Root canal treatment | 4,500 | 0 | 4,500 | — | issued | |
| 2024-04-01 | Dental procedure | 0 | 1,500 | -1,500 | — | cancelled | |
| 2024-03-27 | Root canal treatment | 3,500 | 2,000 | 1,500 | — | issued |