Back to Patients
De-identified Patient
female
DOB: ••••-••-••
FHIR: Patient
Patient Information
FHIR: Patient
De-identified for demo. Identity fields are masked.
- Full Name
- De-identified
- Date of Birth
- ••••-••-••
- Gender
- female
- Phone
- ••••••••D)
- ••••@••••
- Address
- De-identified location
Quick Actions
17
Conditions
22
Procedures
25
Visits
16
Invoices
2
X-rays
Diagnosed Conditions
Add Condition| Condition | ICD-10-AM | SNOMED CT Ref. | Status | Onset | Notes | FHIR |
|---|---|---|---|---|---|---|
| Necrosis of dental pulp | K04.1 | 234946006 | resolved | 2026-03-14 | 1st quadrant 3 rcts followed by 5 pfm crowns | |
| Dental pulp necrosis | — | 234946006 | resolved | 2023-11-02 | bmp done till 20-06 @ 43 & 44 & 45 | |
| Dental pulp necrosis | — | 234946006 | resolved | 2023-10-28 | a/o 43 & 44 & 45 20-04 1mm short done | |
| Dental caries | — | 80967001 | resolved | 2015-11-24 | crown cem 25 | |
| Dental caries | — | 80967001 | resolved | 2015-10-30 | crown prep pfm 25 | |
| Dental pulp necrosis | — | 234946006 | resolved | 2015-10-24 | obt 23 & 25 | |
| Dental pulp necrosis | — | 234946006 | resolved | 2015-10-19 | a/o 23 & 25 | |
| Dental caries | — | 80967001 | resolved | 2015-05-02 | crown cem 47 | |
| Dental caries | — | 80967001 | resolved | 2015-04-23 | crown prep 47 | |
| Dental pulp necrosis | — | 234946006 | resolved | 2015-04-20 | obt 47 | |
| Dental caries | — | 80967001 | resolved | 2015-04-20 | type ix santacruz 36 & 37 | |
| Dental pulp necrosis | — | 234946006 | resolved | 2015-04-11 | a/o 47 | |
| Dental caries | — | 80967001 | resolved | 2009-04-23 | crown cementaion 46 | |
| Deposits on teeth | K03.6 | 109606002 | resolved | 2009-04-23 | scaling | |
| Dental caries | — | 80967001 | resolved | 2009-04-21 | crown prep 46 | |
| Necrosis of dental pulp | K04.1 | 234946006 | resolved | 2009-04-20 | obturation 46 | |
| Necrosis of dental pulp | K04.1 | 234946006 | resolved | 2009-04-18 | Access opening 46 mesial two canal 17mm and distal 2 canal 1mm for flutes |
Dental Procedures
Add Procedure| Procedure | SNOMED CT AU | CDT Code | Tooth | Date | Status | Notes | FHIR |
|---|---|---|---|---|---|---|---|
| Root canal treatment | 234780006 | — | — | 2026-03-14 | completed | 1st quadrant 3 rcts followed by 5 pfm crowns | |
| Root canal treatment | 234780006 | — | — | 2026-03-14 | completed | 2nd quadrant 1 RCT followed by 3 pfm crowns | |
| Dental procedure (other) | 74964007 | D9999 Unspecified adjunctive procedure, by report | — | 2026-03-14 | completed | 1ST quadrant @31k // 2nd quadrant @15k | |
| Root canal treatment | 234780006 | D3330 Endodontic therapy, molar tooth | ##37, #38 | 2026-03-14 | completed | 3rd quadrant 37 rct followed by 1 pfm crown and extn with 38 | |
| Dental procedure (other) | 74964007 | D9999 Unspecified adjunctive procedure, by report | — | 2023-12-07 | completed | shade A3-5 | |
| Root canal treatment | 234780006 | — | ##43, #44, #45 | 2023-11-02 | completed | bmp done till 20-06 @ 43 & 44 & 45 | |
| Root canal treatment | 234780006 | D3310 Endodontic therapy, anterior tooth | ##43, #44, #45 | 2023-10-28 | completed | a/o 43 & 44 & 45 20-04 1mm short done | |
| Crown of tooth | 424311000 | — | ##25 | 2015-11-24 | completed | crown cem 25 | |
| Crown of tooth | 424311000 | D2750 Crown, porcelain fused to high noble metal | ##25 | 2015-10-30 | completed | crown prep pfm 25 | |
| Root canal treatment | 234780006 | — | ##23, #25 | 2015-10-24 | completed | obt 23 & 25 | |
| Root canal treatment | 234780006 | D3310 Endodontic therapy, anterior tooth | ##23, #25 | 2015-10-19 | completed | a/o 23 & 25 | |
| Crown of tooth | 424311000 | — | ##47 | 2015-05-02 | completed | crown cem 47 | |
| Crown of tooth | 424311000 | D2750 Crown, porcelain fused to high noble metal | ##47 | 2015-04-23 | completed | crown prep 47 | |
| Root canal treatment | 234780006 | — | ##47 | 2015-04-20 | completed | obt 47 | |
| Dental filling | 180534004 | D2940 Protective restoration (GIC) | ##36, #37 | 2015-04-20 | completed | type ix santacruz 36 & 37 | |
| Root canal treatment | 234780006 | D3330 Endodontic therapy, molar tooth | ##47 | 2015-04-11 | completed | a/o 47 | |
| Crown of tooth | 424311000 | — | ##46 | 2009-04-23 | completed | crown cementaion 46 | |
| Dental scaling | 52065007 | D1110 Prophylaxis - adult | — | 2009-04-23 | completed | scaling | |
| Crown of tooth | 424311000 | D2750 Crown, porcelain fused to high noble metal | ##46 | 2009-04-21 | completed | crown prep 46 | |
| Root canal treatment | 234780006 | — | ##46 | 2009-04-20 | completed | obturation 46 | |
| Root canal treatment | 234780006 | D3330 Endodontic therapy, molar tooth | ##46 | 2009-04-18 | completed | Access opening 46 mesial two canal 17mm and distal 2 canal 1mm for flutes | |
| Tooth extraction | 424451000 | D7140 Extraction, erupted tooth or exposed root | ##48 | 2009-04-18 | completed | Extraction 48 |
Appointment History
Book Appointment| Date & Time | Status | Clinical Notes | FHIR |
|---|---|---|---|
| 2026-03-14 14:04 | fulfilled | 3rd quadrant 37 rct followed by 1 pfm crown and extn with 38 — Dr Riyaz | |
| 2026-03-14 14:02 | fulfilled | 1ST quadrant @31k // 2nd quadrant @15k — Dr Riyaz | |
| 2026-03-14 14:00 | fulfilled | 2nd quadrant 1 RCT followed by 3 pfm crowns — Dr Riyaz | |
| 2026-03-14 13:51 | fulfilled | 1st quadrant 3 rcts followed by 5 pfm crowns | |
| 2023-12-07 21:01 | fulfilled | shade A3-5 — NULL | |
| 2023-11-23 20:47 | fulfilled | Dental visit — NULL | |
| 2023-11-06 20:49 | fulfilled | Dental visit — NULL | |
| 2023-11-02 21:18 | fulfilled | bmp done till 20-06 @ 43 & 44 & 45 — NULL | |
| 2023-11-02 20:19 | fulfilled | Dental visit — NULL | |
| 2023-10-28 14:19 | fulfilled | a/o 43 & 44 & 45 20-04 1mm short done — NULL | |
| 2015-11-24 18:49 | fulfilled | crown cem 25 — NULL | |
| 2015-10-30 18:28 | fulfilled | crown prep pfm 25 — NULL | |
| 2015-10-24 12:27 | fulfilled | obt 23 & 25 — NULL | |
| 2015-10-19 22:59 | fulfilled | a/o 23 & 25 — NULL | |
| 2015-05-02 18:15 | fulfilled | crown cem 47 — NULL | |
| 2015-04-23 18:16 | fulfilled | crown prep 47 — NULL | |
| 2015-04-20 19:49 | fulfilled | type ix santacruz 36 & 37 — NULL | |
| 2015-04-20 19:49 | fulfilled | obt 47 — NULL | |
| 2015-04-11 13:30 | fulfilled | a/o 47 — NULL | |
| 2009-04-23 18:09 | fulfilled | scaling — NULL | |
| 2009-04-23 18:09 | fulfilled | crown cementaion 46 — NULL | |
| 2009-04-21 18:30 | fulfilled | crown prep 46 — NULL | |
| 2009-04-20 19:43 | fulfilled | obturation 46 — NULL | |
| 2009-04-18 20:35 | fulfilled | Extraction 48 — NULL | |
| 2009-04-18 20:35 | fulfilled | Access opening 46 mesial two canal 17mm and distal 2 canal 1mm for flutes — NULL |
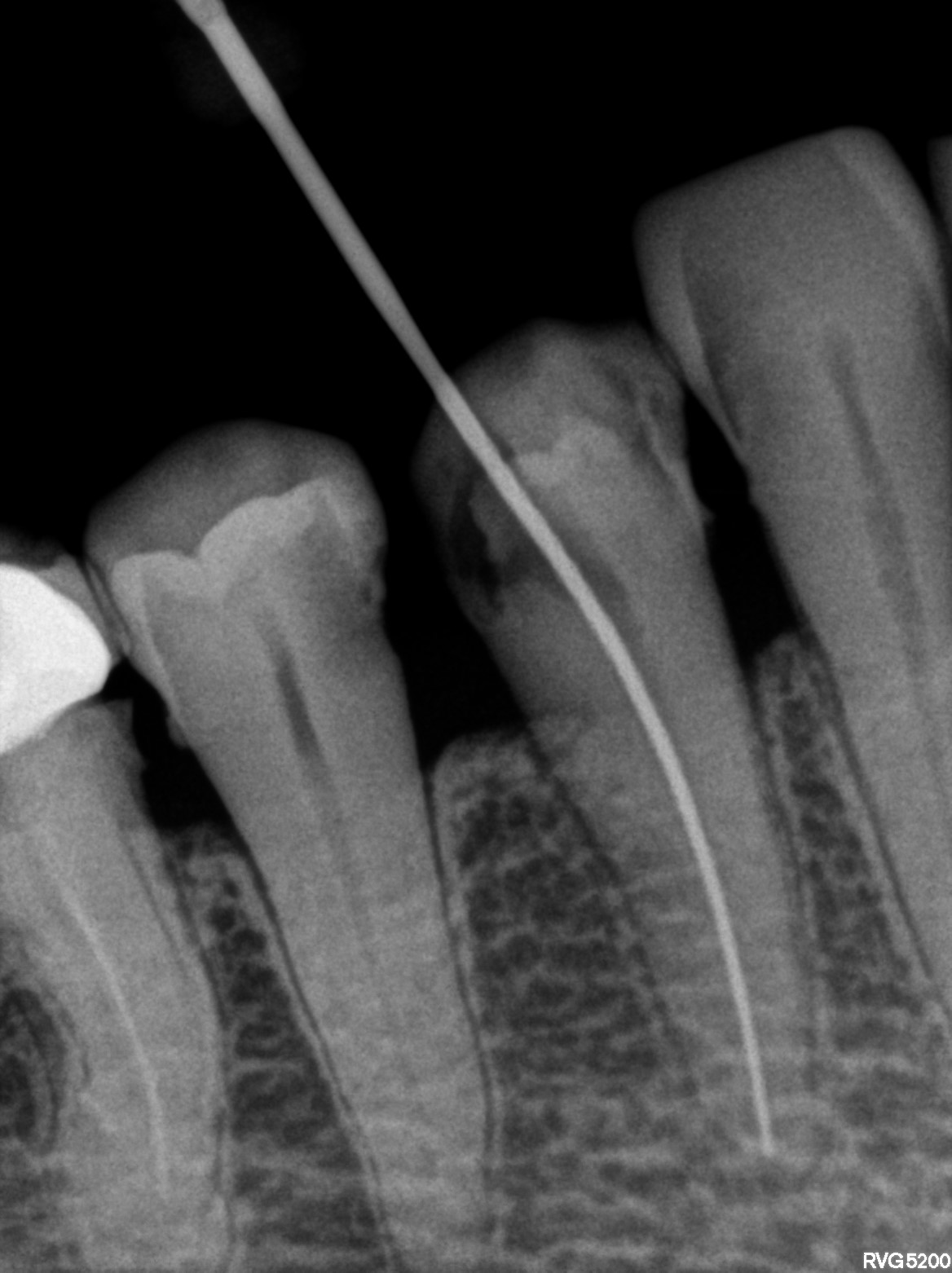
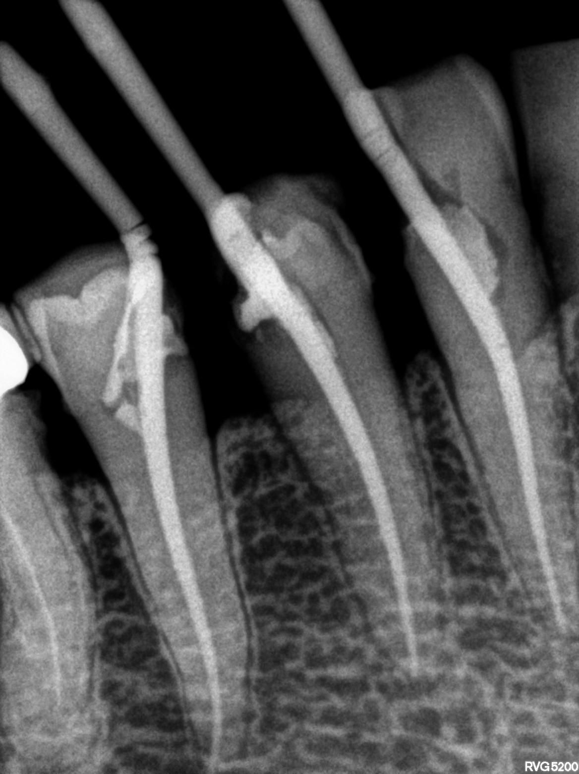
Dental Radiographs FHIR: DocumentReference · LOINC 24641-7
FHIR Bundle
R61.jpg
24641-7
R56.jpg
24641-7
Invoices FHIR R4 Invoice · INR
FHIR Bundle⁢₹17,000
Charged
₹37,500
Paid
₹10,300
Outstanding
| Date | Procedure | Charged (₹) | Paid (₹) | Balance (₹) | Mode | Status | FHIR |
|---|---|---|---|---|---|---|---|
| 2023-11-06 | Dental procedure | 0 | 12,500 | -12,500 | — | cancelled | |
| 2023-11-02 | Root canal treatment | 0 | 8,000 | -8,000 | — | cancelled | |
| 2015-11-24 | Crown of tooth | 0 | 300 | -300 | — | cancelled | |
| 2015-10-30 | Crown of tooth | 0 | 3,000 | -3,000 | — | cancelled | |
| 2015-10-24 | Root canal treatment | 0 | 2,000 | -2,000 | — | cancelled | |
| 2015-10-19 | Root canal treatment | 7,300 | 2,000 | 5,300 | — | issued | |
| 2015-05-02 | Crown of tooth | 0 | 1,000 | -1,000 | — | cancelled | |
| 2015-04-23 | Crown of tooth | 0 | 1,000 | -1,000 | — | cancelled | |
| 2015-04-20 | Dental filling | 1,200 | 1,200 | 0 | — | balanced | |
| 2015-04-20 | Dental filling | 0 | 1,000 | -1,000 | — | cancelled | |
| 2015-04-11 | Root canal treatment | 4,500 | 1,500 | 3,000 | — | issued | |
| 2009-04-23 | Crown of tooth | 500 | 1,800 | -1,300 | — | balanced | |
| 2009-04-21 | Crown of tooth | 1,800 | 500 | 1,300 | — | issued | |
| 2009-04-20 | Root canal treatment | 0 | 700 | -700 | — | cancelled | |
| 2009-04-18 | Root canal treatment | 1,200 | 1,000 | 200 | — | issued | |
| 2009-04-18 | Root canal treatment | 500 | 0 | 500 | — | issued |