Back to Patients
De-identified Patient
female
DOB: ••••-••-••
FHIR: Patient
Patient Information
FHIR: Patient
De-identified for demo. Identity fields are masked.
- Full Name
- De-identified
- Date of Birth
- ••••-••-••
- Gender
- female
- Phone
- ••••••••D)
- ••••@••••
- Address
- De-identified location
Quick Actions
25
Conditions
33
Procedures
48
Visits
24
Invoices
25
X-rays
Diagnosed Conditions
Add Condition| Condition | ICD-10-AM | SNOMED CT Ref. | Status | Onset | Notes | FHIR |
|---|---|---|---|---|---|---|
| Dental caries | — | 80967001 | resolved | 2026-03-10 | cementation done with 25 26 | |
| Dental caries | — | 80967001 | resolved | 2026-03-05 | crown prep and impression taken with 25 26, pfm A2 SHADe- tousif lab | |
| Dental pulp necrosis | — | 234946006 | resolved | 2026-02-28 | obt done with 25 | |
| Dental pulp necrosis | — | 234946006 | resolved | 2026-02-18 | dtech done with 25 26, crown prep done with 25 26 for pfm 2 unit, next appt obt of 25 to be done | |
| Dental pulp necrosis | — | 234946006 | resolved | 2026-02-14 | a/o 25 25.04 . 1stopper short file | |
| Dental caries | — | 80967001 | resolved | 2025-11-18 | recementation with 37 38 | |
| Dental pulp necrosis | — | 234946006 | resolved | 2025-07-04 | dtech done 26. adv crown if there is not pain | |
| Dental pulp necrosis | — | 234946006 | resolved | 2025-06-11 | obt with 26 | |
| Dental pulp necrosis | — | 234946006 | resolved | 2025-05-31 | bmp-mb,db-25.04,p-20.06 | |
| Necrosis of dental pulp | K04.1 | 234946006 | resolved | 2025-05-29 | a/o 26 10 k all 3 canal | |
| Dental caries | — | 80967001 | resolved | 2023-01-13 | 24 cap cementtaion done | |
| Dental caries | — | 80967001 | resolved | 2023-01-09 | 46 cap cementation done & 25 type ix mesially | |
| Dental caries | — | 80967001 | resolved | 2023-01-04 | 37 & 38 cap cementation done & 24 & 46 metal crown prep & impression taken 24 shade A2 | |
| Dental caries | — | 80967001 | resolved | 2022-12-31 | crown cutting 37 & 38 & impression taken & metal cap | |
| Dental pulp necrosis | — | 234946006 | resolved | 2022-11-03 | 38 obt done @gpay | |
| Dental pulp necrosis | — | 234946006 | resolved | 2022-10-24 | 37 distal & mesial 30-04 & ml 20-06 & hypo done & obt done | |
| Necrosis of dental pulp | K04.1 | 234946006 | resolved | 2022-10-21 | 38 & bmp 25-04 both canals till apex & hypo done | |
| Dental pulp necrosis | — | 234946006 | resolved | 2022-10-13 | bmp 37 mesial & distal 20-06 & ml 10k & hypo done | |
| Dental pulp necrosis | — | 234946006 | resolved | 2022-10-10 | a/o 37 & bmp 20-04 til apex mesial n distal- | |
| Dental pulp necrosis | — | 234946006 | resolved | 2022-10-05 | a/o 38 & bmp 20-04 distal & mesial 30k till apex | |
| Dental caries, unspecified | K02.9 | 80967001 | resolved | 2021-02-26 | type ix 37 class 2 mesial | |
| Dental pulp necrosis | — | 234946006 | resolved | 2021-02-12 | obt 23 - Hexidine and hypo irrigation done | |
| Necrosis of dental pulp | K04.1 | 234946006 | resolved | 2021-02-03 | f2 till apex & hypoand rccal with 24 & obturation with 25 | |
| Necrosis of dental pulp | K04.1 | 234946006 | resolved | 2021-01-28 | both canals 25-04 done hypo done | |
| Necrosis of dental pulp | K04.1 | 234946006 | resolved | 2021-01-14 | adv re rct 23 & 24 |
Dental Procedures
Add Procedure| Procedure | SNOMED CT AU | CDT Code | Tooth | Date | Status | Notes | FHIR |
|---|---|---|---|---|---|---|---|
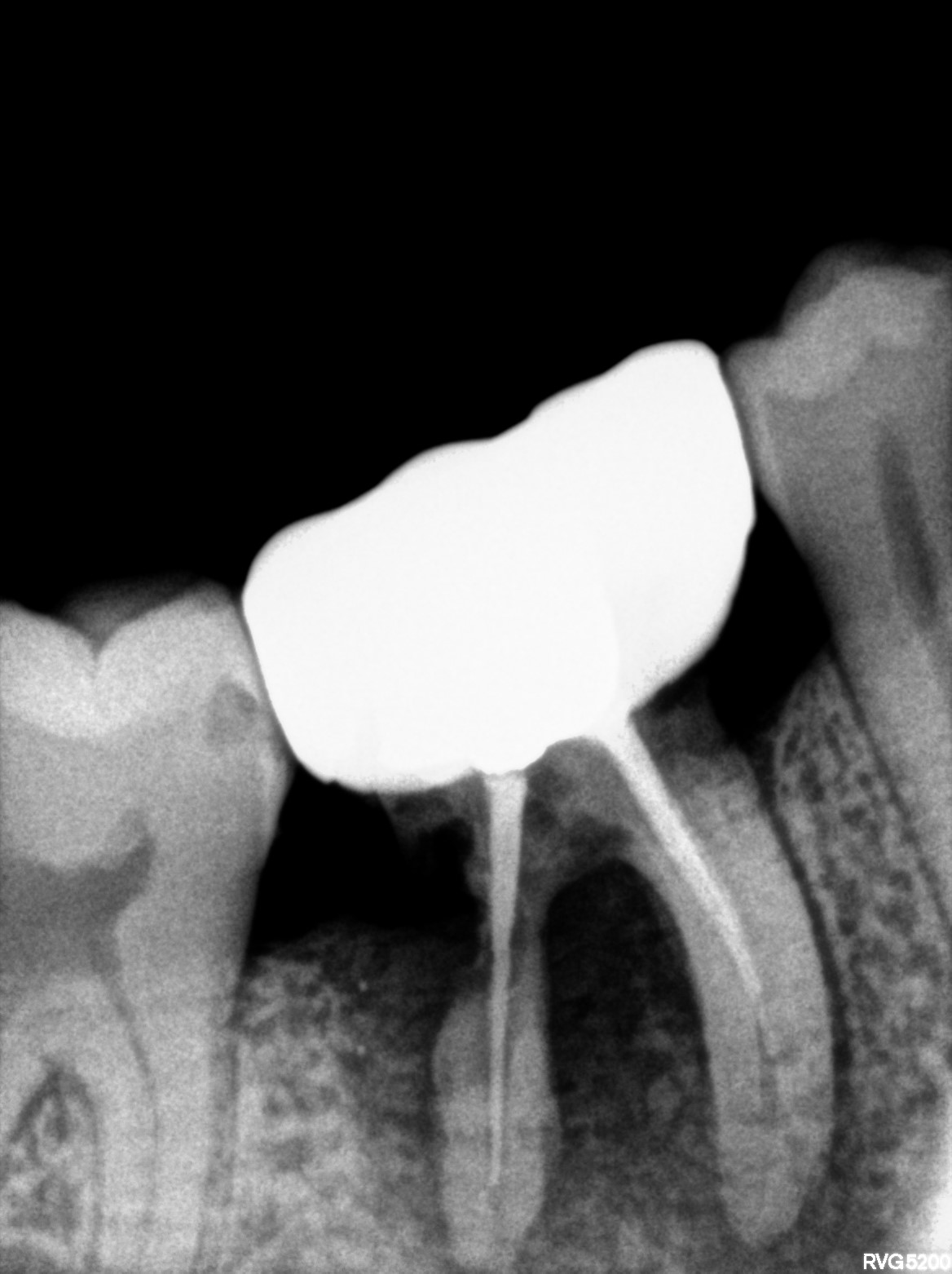
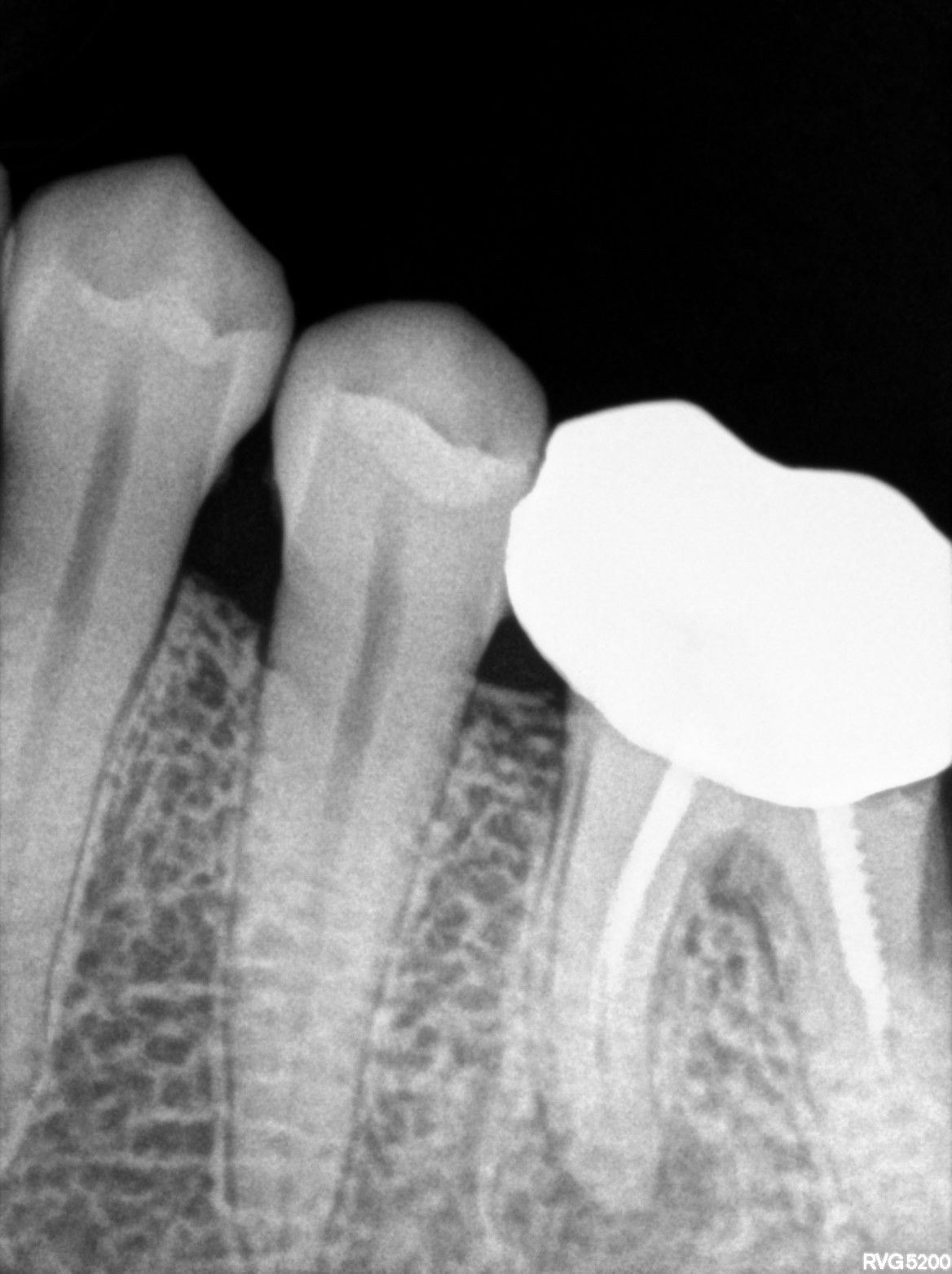
| Crown of tooth | 424311000 | — | ##25, #26 | 2026-03-10 | completed | cementation done with 25 26 | |
| Crown of tooth | 424311000 | D2750 Crown, porcelain fused to high noble metal | ##25, #26 | 2026-03-05 | completed | crown prep and impression taken with 25 26, pfm A2 SHADe- tousif lab | |
| Root canal treatment | 234780006 | — | ##25 | 2026-02-28 | completed | obt done with 25 | |
| Root canal treatment | 234780006 | D3320 Endodontic therapy, premolar tooth | ##25, #26 | 2026-02-18 | completed | dtech done with 25 26, crown prep done with 25 26 for pfm 2 unit, next appt obt of 25 to be done | |
| Root canal treatment | 234780006 | — | ##25 | 2026-02-14 | completed | a/o 25 25.04 . 1stopper short file | |
| Crown of tooth | 424311000 | — | ##37, #38 | 2025-11-18 | completed | recementation with 37 38 | |
| Root canal treatment | 234780006 | — | ##26 | 2025-07-04 | completed | dtech done 26. adv crown if there is not pain | |
| Root canal treatment | 234780006 | — | ##26 | 2025-06-11 | completed | obt with 26 | |
| Dental procedure (other) | 74964007 | D9999 Unspecified adjunctive procedure, by report | ##25 | 2025-06-04 | completed | p-25.06,mb,db-20.06 | |
| Root canal treatment | 234780006 | — | ##25 | 2025-05-31 | completed | bmp-mb,db-25.04,p-20.06 | |
| Root canal treatment | 234780006 | D3330 Endodontic therapy, molar tooth | ##26 | 2025-05-29 | completed | a/o 26 10 k all 3 canal | |
| Tooth extraction | 424451000 | D7140 Extraction, erupted tooth or exposed root | ##46 | 2024-07-31 | completed | extn 46- told will pay later | |
| Crown of tooth | 424311000 | D2750 Crown, porcelain fused to high noble metal | ##24 | 2023-01-13 | completed | 24 cap cementtaion done | |
| Dental filling | 180534004 | D2940 Protective restoration (GIC) | ##46, #25 | 2023-01-09 | completed | 46 cap cementation done & 25 type ix mesially | |
| Crown of tooth | 424311000 | D2750 Crown, porcelain fused to high noble metal | ##37, #38, #24, #46 | 2023-01-04 | completed | 37 & 38 cap cementation done & 24 & 46 metal crown prep & impression taken 24 shade A2 | |
| Crown of tooth | 424311000 | D2750 Crown, porcelain fused to high noble metal | ##37, #38 | 2022-12-31 | completed | crown cutting 37 & 38 & impression taken & metal cap | |
| Dental procedure (other) | 74964007 | D9999 Unspecified adjunctive procedure, by report | — | 2022-11-19 | completed | d-tech done | |
| Dental procedure (other) | 74964007 | D9999 Unspecified adjunctive procedure, by report | — | 2022-11-14 | completed | @gpay | |
| Root canal treatment | 234780006 | — | ##38 | 2022-11-03 | completed | 38 obt done @gpay | |
| Root canal treatment | 234780006 | — | ##37 | 2022-10-24 | completed | 37 distal & mesial 30-04 & ml 20-06 & hypo done & obt done | |
| Root canal treatment | 234780006 | — | ##38 | 2022-10-21 | completed | 38 & bmp 25-04 both canals till apex & hypo done | |
| Dental procedure (other) | 74964007 | D9999 Unspecified adjunctive procedure, by report | — | 2022-10-14 | completed | gpay | |
| Root canal treatment | 234780006 | — | ##37 | 2022-10-13 | completed | bmp 37 mesial & distal 20-06 & ml 10k & hypo done | |
| Root canal treatment | 234780006 | D3330 Endodontic therapy, molar tooth | ##37 | 2022-10-10 | completed | a/o 37 & bmp 20-04 til apex mesial n distal- | |
| Root canal treatment | 234780006 | D3330 Endodontic therapy, molar tooth | ##38 | 2022-10-05 | completed | a/o 38 & bmp 20-04 distal & mesial 30k till apex | |
| Dental filling | 180534004 | D2940 Protective restoration (GIC) | ##37 | 2021-02-26 | completed | type ix 37 class 2 mesial | |
| Root canal treatment | 234780006 | D3310 Endodontic therapy, anterior tooth | ##23 | 2021-02-12 | completed | obt 23 - Hexidine and hypo irrigation done | |
| Root canal treatment | 234780006 | D3320 Endodontic therapy, premolar tooth | ##24, #25 | 2021-02-03 | completed | f2 till apex & hypoand rccal with 24 & obturation with 25 | |
| Root canal treatment | 234780006 | — | ##23, #24 | 2021-02-03 | completed | 23 bmp and 24 obturation | |
| Root canal treatment | 234780006 | D3330 Endodontic therapy, molar tooth | ##25 | 2021-01-28 | completed | both canals 25-04 done hypo done | |
| Dental procedure (other) | 74964007 | D9999 Unspecified adjunctive procedure, by report | — | 2021-01-25 | completed | both canals gp crossed | |
| Dental procedure (other) | 74964007 | D9999 Unspecified adjunctive procedure, by report | — | 2021-01-18 | completed | platal canal croesed gp[ | |
| Root canal treatment | 234780006 | D3346 Retreatment of previous root canal therapy - anterior | ##23, #24 | 2021-01-14 | completed | adv re rct 23 & 24 |
Appointment History
Book Appointment| Date & Time | Status | Clinical Notes | FHIR |
|---|---|---|---|
| 2026-03-10 12:07 | fulfilled | Dental visit — Dr Hani | |
| 2026-03-10 12:04 | fulfilled | cementation done with 25 26 — Dr Hani | |
| 2026-03-05 11:43 | fulfilled | crown prep and impression taken with 25 26, pfm A2 SHADe- tousif lab — Dr Hani | |
| 2026-02-28 12:44 | fulfilled | obt done with 25 — Dr Riyaz | |
| 2026-02-18 12:09 | fulfilled | dtech done with 25 26, crown prep done with 25 26 for pfm 2 unit, next appt obt of 25 to be done — Dr Hani | |
| 2026-02-14 15:14 | fulfilled | a/o 25 25.04 . 1stopper short file | |
| 2025-11-18 13:57 | fulfilled | Dental visit — Dr Riyaz | |
| 2025-11-18 13:53 | fulfilled | recementation with 37 38 — Dr Riyaz | |
| 2025-07-04 12:16 | fulfilled | dtech done 26. adv crown if there is not pain | |
| 2025-06-11 12:07 | fulfilled | obt with 26 — Dr Riyaz | |
| 2025-06-04 14:57 | fulfilled | p-25.06,mb,db-20.06 | |
| 2025-06-04 14:57 | fulfilled | Dental visit | |
| 2025-06-04 13:52 | fulfilled | Dental visit — Dr Aaliya | |
| 2025-05-31 13:56 | fulfilled | bmp-mb,db-25.04,p-20.06 — Dr Aaliya | |
| 2025-05-29 15:08 | fulfilled | a/o 26 10 k all 3 canal — Dr Aaliya | |
| 2025-05-29 12:45 | fulfilled | Dental visit | |
| 2024-07-31 13:16 | fulfilled | extn 46- told will pay later — NULL | |
| 2023-02-11 16:35 | fulfilled | Dental visit — NULL | |
| 2023-01-13 13:27 | fulfilled | Dental visit — NULL | |
| 2023-01-13 13:18 | fulfilled | 24 cap cementtaion done — NULL | |
| 2023-01-09 15:21 | fulfilled | 46 cap cementation done & 25 type ix mesially — NULL | |
| 2023-01-09 12:57 | fulfilled | Dental visit | |
| 2023-01-09 12:49 | fulfilled | Dental visit — NULL | |
| 2023-01-04 12:01 | fulfilled | 37 & 38 cap cementation done & 24 & 46 metal crown prep & impression taken 24 shade A2 — NULL | |
| 2022-12-31 13:29 | fulfilled | crown cutting 37 & 38 & impression taken & metal cap — NULL | |
| 2022-11-19 14:09 | fulfilled | d-tech done — NULL | |
| 2022-11-14 17:46 | fulfilled | @gpay — NULL | |
| 2022-11-03 13:25 | fulfilled | 38 obt done @gpay — NULL | |
| 2022-10-24 13:13 | fulfilled | 37 distal & mesial 30-04 & ml 20-06 & hypo done & obt done — NULL | |
| 2022-10-21 12:55 | fulfilled | 38 & bmp 25-04 both canals till apex & hypo done — NULL | |
| 2022-10-14 13:31 | fulfilled | gpay — NULL | |
| 2022-10-13 18:17 | fulfilled | bmp 37 mesial & distal 20-06 & ml 10k & hypo done — NULL | |
| 2022-10-10 14:11 | fulfilled | a/o 37 & bmp 20-04 til apex mesial n distal- — NULL | |
| 2022-10-05 14:21 | fulfilled | a/o 38 & bmp 20-04 distal & mesial 30k till apex — NULL | |
| 2021-02-26 15:27 | fulfilled | type ix 37 class 2 mesial — NULL | |
| 2021-02-26 14:53 | fulfilled | Dental visit — NULL | |
| 2021-02-26 12:47 | fulfilled | Dental visit | |
| 2021-02-12 15:43 | fulfilled | obt 23 - Hexidine and hypo irrigation done — NULL | |
| 2021-02-12 13:05 | fulfilled | Dental visit — NULL | |
| 2021-02-03 13:15 | fulfilled | 23 bmp and 24 obturation — NULL | |
| 2021-02-03 12:52 | fulfilled | Dental visit — NULL | |
| 2021-02-03 12:50 | fulfilled | f2 till apex & hypoand rccal with 24 & obturation with 25 — NULL | |
| 2021-01-28 15:29 | fulfilled | both canals 25-04 done hypo done — NULL | |
| 2021-01-25 15:45 | fulfilled | Dental visit — NULL | |
| 2021-01-25 13:49 | fulfilled | both canals gp crossed — NULL | |
| 2021-01-18 15:44 | fulfilled | platal canal croesed gp[ — NULL | |
| 2021-01-14 15:56 | fulfilled | Dental visit — NULL | |
| 2021-01-14 15:56 | fulfilled | adv re rct 23 & 24 — NULL |
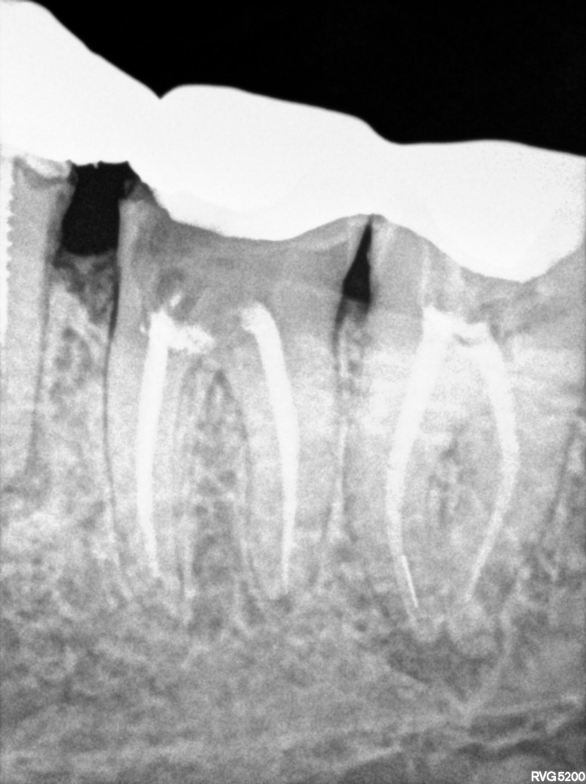
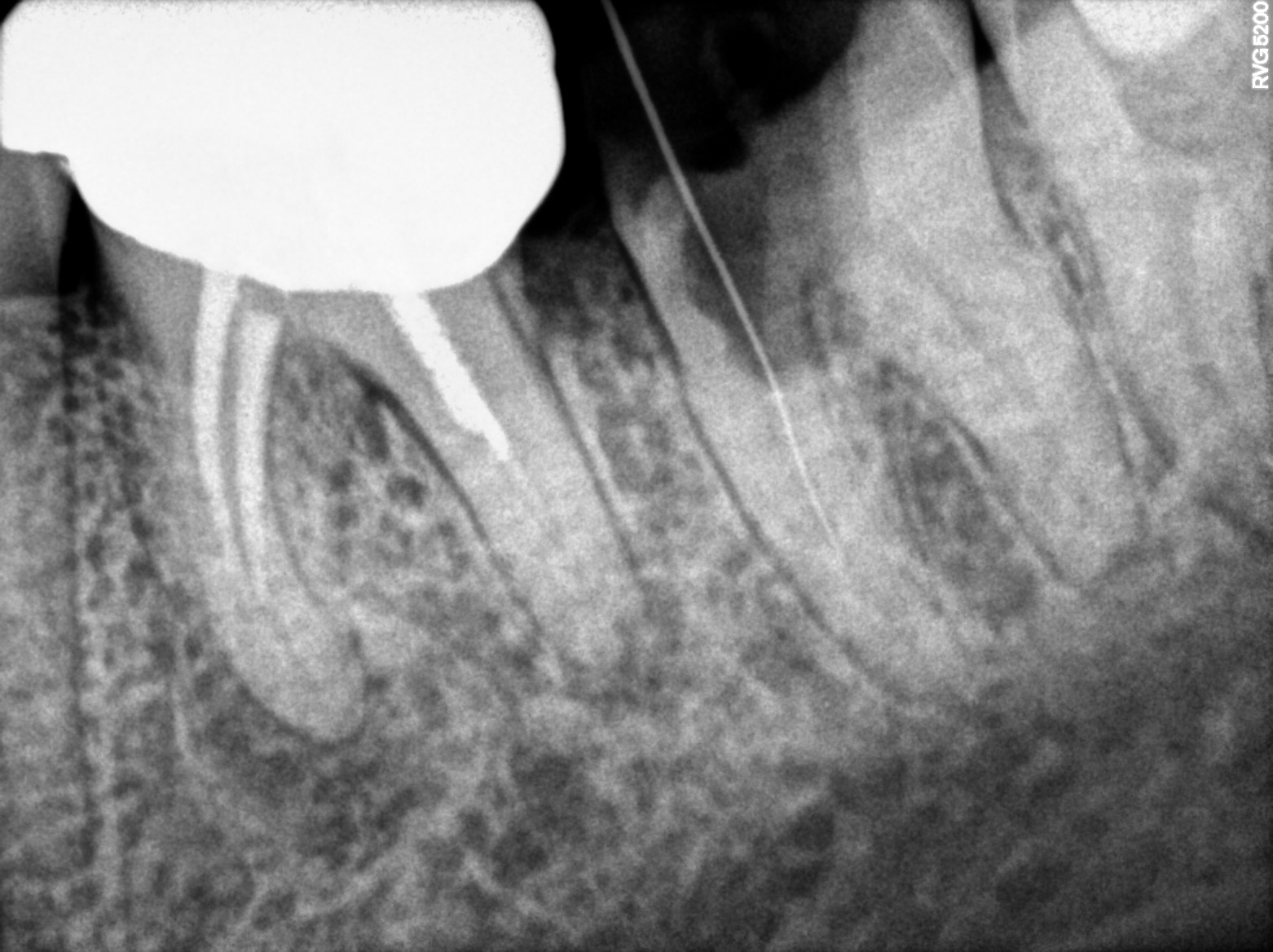
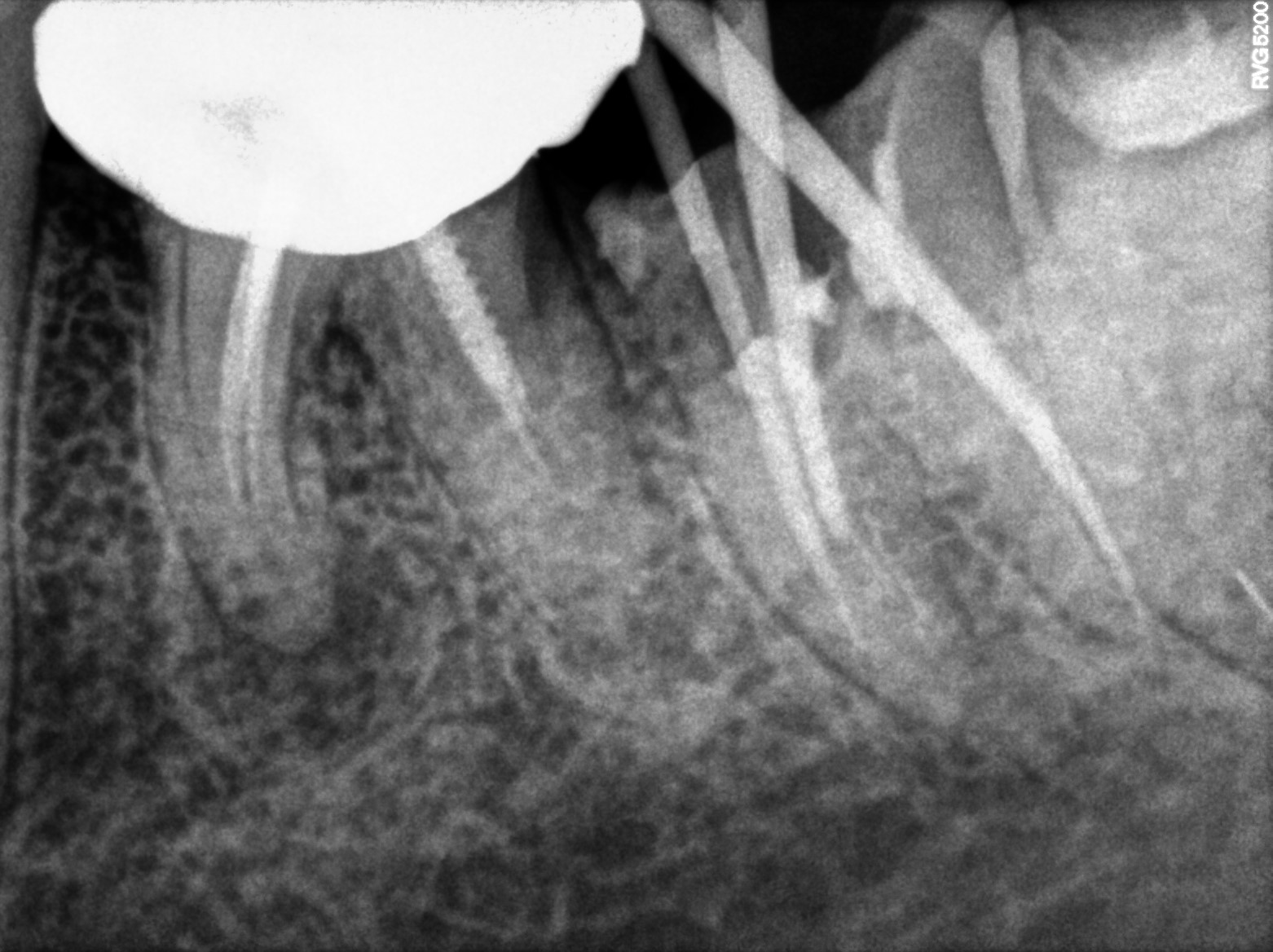
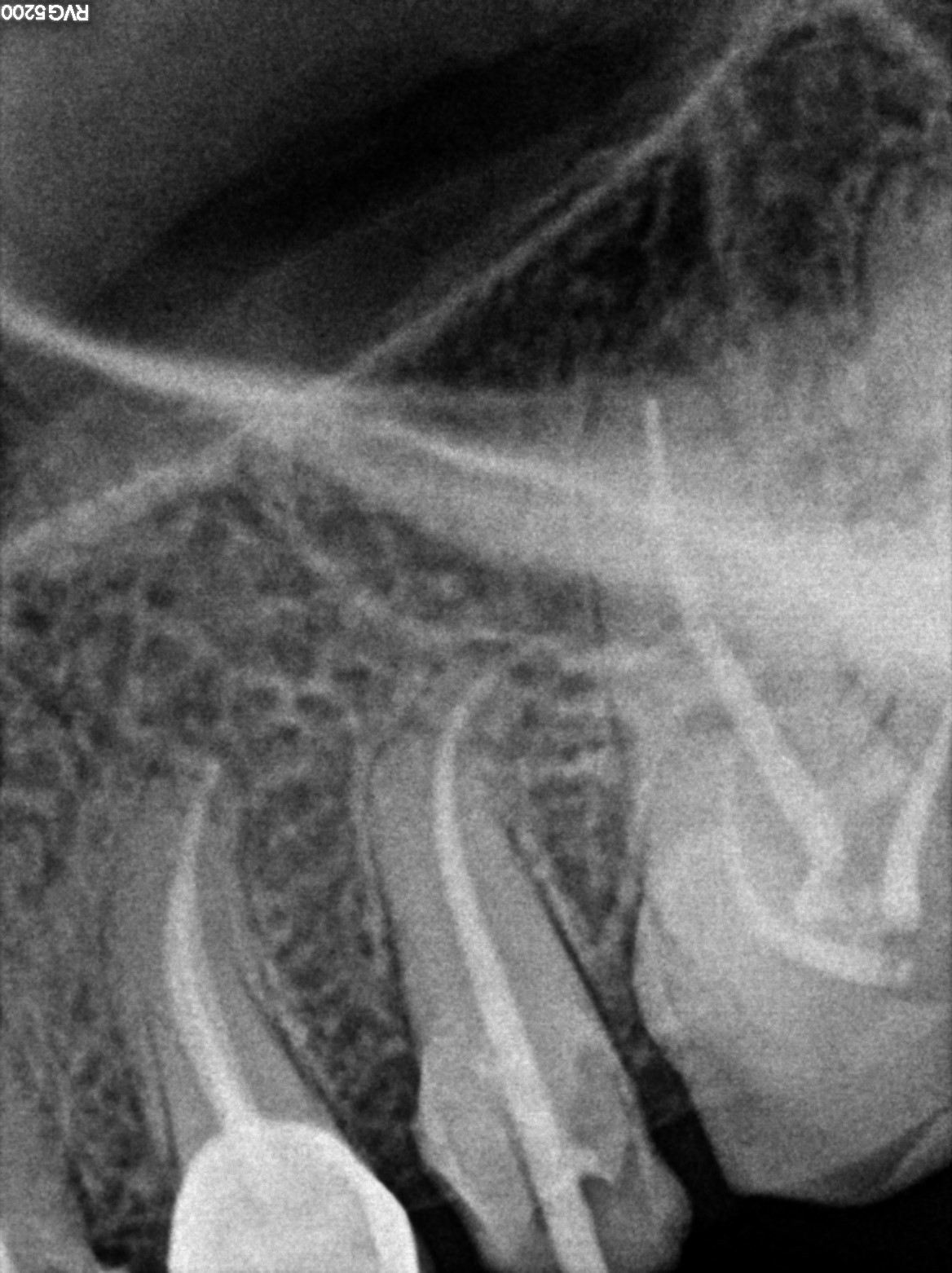
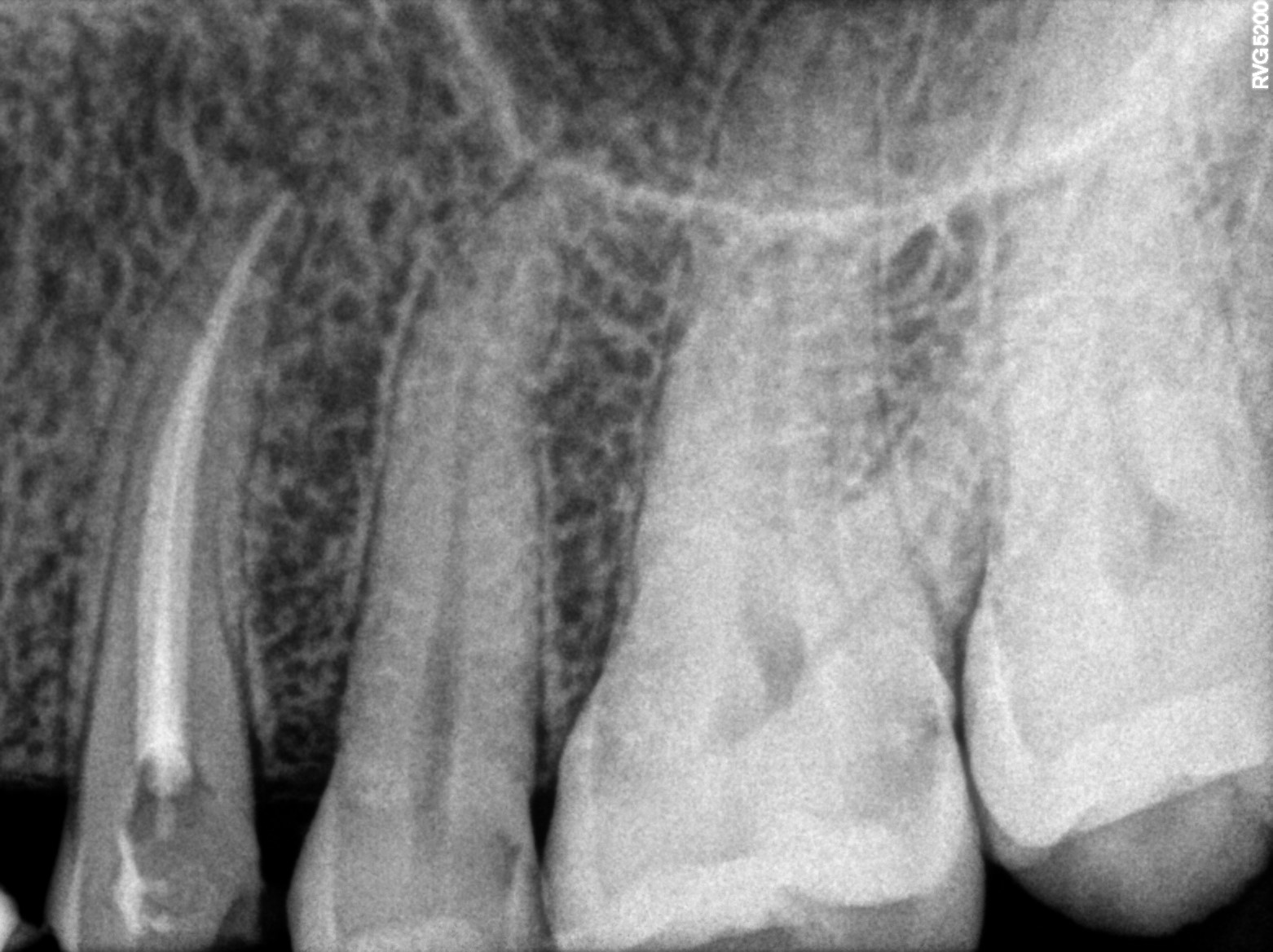
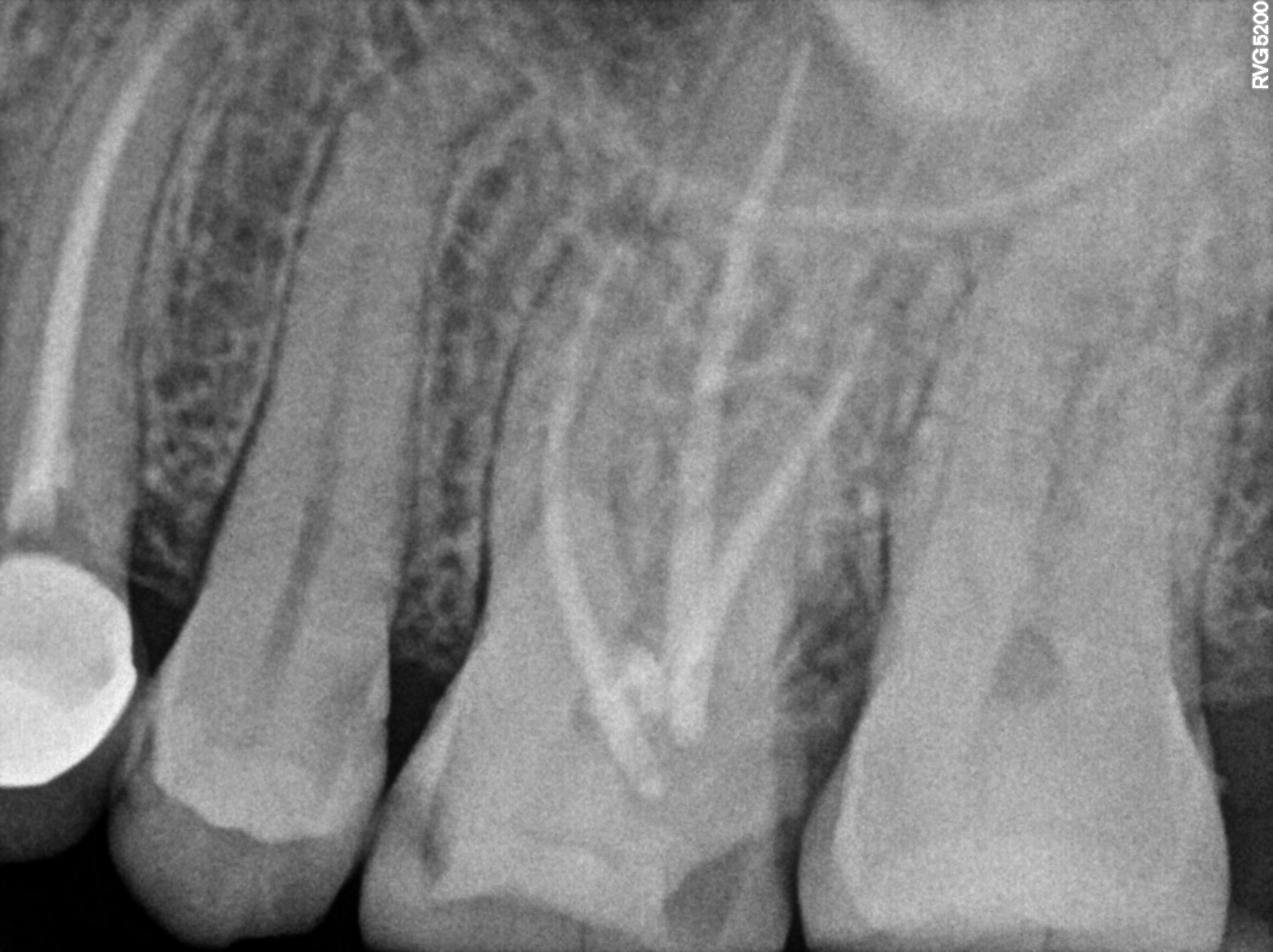
Dental Radiographs FHIR: DocumentReference · LOINC 24641-7
FHIR Bundle
R55.jpg
24641-7
R38.jpg
24641-7
R58.jpg
24641-7
R56 (2).jpg
24641-7
R58 (2).jpg
24641-7
R55 (2).jpg
24641-7
R60.jpg
24641-7
R78.jpg
24641-7
xray_1749024055_0.jpg
24641-7
R55 (3).jpg
24641-7
xray_1772262877_0.jpg
24641-7
R56.12.jpg
24641-7
R57.jpg
24641-7
R59.jpg
24641-7
R54 (3).jpg
24641-7
xray_1749625941_0.jpg
24641-7
xray_1771058518_0.jpg
24641-7
R56.jpg
24641-7
xray_1749024025_0.jpg
24641-7
R57 (2).jpg
24641-7
R54 (2).jpg
24641-7
xray_1749024025_2.jpg
24641-7
xray_1749024025_1.jpg
24641-7
R25.jpg
24641-7
R54.jpg
24641-7
Invoices FHIR R4 Invoice · INR
FHIR Bundle⁢₹39,900
Charged
₹37,400
Paid
₹39,900
Outstanding
| Date | Procedure | Charged (₹) | Paid (₹) | Balance (₹) | Mode | Status | FHIR |
|---|---|---|---|---|---|---|---|
| 2026-03-10 | Crown of tooth | 0 | 5,000 | -5,000 | online | cancelled | |
| 2026-03-05 | Crown of tooth | 3,500 | 0 | 3,500 | — | issued | |
| 2026-02-28 | Root canal treatment | 0 | 5,000 | -5,000 | gpay | cancelled | |
| 2026-02-14 | Root canal treatment | 8,000 | 0 | 8,000 | — | issued | |
| 2025-11-18 | Crown of tooth | 0 | 600 | -600 | online | cancelled | |
| 2025-11-18 | Crown of tooth | 600 | 0 | 600 | — | issued | |
| 2025-06-04 | Dental procedure (other) | 0 | 4,500 | -4,500 | phonepe | cancelled | |
| 2025-05-29 | Root canal treatment | 4,500 | 0 | 4,500 | — | issued | |
| 2024-07-31 | Tooth extraction | 1,000 | 0 | 1,000 | — | issued | |
| 2023-02-11 | Dental procedure | 0 | 3,300 | -3,300 | — | cancelled | |
| 2023-01-13 | Crown of tooth | 0 | 2,000 | -2,000 | — | cancelled | |
| 2023-01-09 | Dental filling | 15,300 | 0 | 15,300 | — | issued | |
| 2023-01-09 | Dental filling | 0 | 4,000 | -4,000 | — | cancelled | |
| 2022-11-14 | Dental procedure (other) | 0 | 3,000 | -3,000 | — | cancelled | |
| 2022-11-03 | Root canal treatment | 0 | 2,000 | -2,000 | — | cancelled | |
| 2022-10-14 | Dental procedure (other) | 0 | 1,000 | -1,000 | — | cancelled | |
| 2021-02-26 | Dental filling | 0 | 1,000 | -1,000 | — | cancelled | |
| 2021-02-26 | Dental filling | 7,000 | 0 | 7,000 | — | issued | |
| 2021-02-12 | Root canal treatment | 0 | 1,000 | -1,000 | — | cancelled | |
| 2021-02-03 | Root canal treatment | 0 | 1,000 | -1,000 | — | cancelled | |
| 2021-01-28 | Root canal treatment | 0 | 1,000 | -1,000 | — | cancelled | |
| 2021-01-25 | Dental procedure (other) | 0 | 1,000 | -1,000 | — | cancelled | |
| 2021-01-18 | Dental procedure (other) | 0 | 1,000 | -1,000 | — | cancelled | |
| 2021-01-14 | Root canal treatment | 0 | 1,000 | -1,000 | — | cancelled |