Back to Patients
De-identified Patient
male
DOB: ••••-••-••
FHIR: Patient
Patient Information
FHIR: Patient
De-identified for demo. Identity fields are masked.
- Full Name
- De-identified
- Date of Birth
- ••••-••-••
- Gender
- male
- Phone
- ••••••••D)
- ••••@••••
- Address
- De-identified location
Quick Actions
21
Conditions
32
Procedures
44
Visits
21
Invoices
6
X-rays
Diagnosed Conditions
Add Condition| Condition | ICD-10-AM | SNOMED CT Ref. | Status | Onset | Notes | FHIR |
|---|---|---|---|---|---|---|
| Dental pulp necrosis | — | 234946006 | resolved | 2026-02-23 | 12,13,31 fixed retainer repaired, follow up after 15 days for debonding | |
| Dentofacial anomaly, unspecified | M26.9 | 6574001 | active | 2026-02-04 | Upper and lower wire removed | |
| Dentofacial anomaly, unspecified | M26.9 | 6574001 | active | 2026-01-21 | upper fixed retainer done, 23retainer to be rebonded | |
| Dentofacial anomaly, unspecified | M26.9 | 6574001 | active | 2025-12-29 | lower lingual fixed retainer done | |
| Deposits on teeth | K03.6 | 109606002 | resolved | 2025-12-26 | lower lingual scaling done and flossing done | |
| Deposits on teeth | K03.6 | 109606002 | resolved | 2025-11-19 | lower ligature done, upper lower flossing and scaling done | |
| Dentofacial anomaly, unspecified | M26.9 | 6574001 | active | 2025-10-22 | lower ligature done | |
| Dentofacial anomaly, unspecified | M26.9 | 6574001 | active | 2025-09-26 | Upper 5-5 ligature and lower 18 steel wire and 5-5 ligature wire | |
| Malocclusion | — | 6574001 | active | 2025-08-01 | upper 16*22 niti enagaged. lower 16 niti engaged | |
| Dentofacial anomaly, unspecified | M26.9 | 6574001 | active | 2025-06-30 | upper 16 niti wire, lower 41 module changed | |
| Dentofacial anomaly, unspecified | M26.9 | 6574001 | active | 2025-06-06 | upper and lower wire reengaged ,41 repositioned | |
| Dentofacial anomaly, unspecified | M26.9 | 6574001 | active | 2025-05-08 | lower 6-6 bonding done, 14 ni-ti wire engaged | |
| Malocclusion | — | 6574001 | active | 2025-04-25 | upper 6-6 bonding done | |
| Dental caries | — | 80967001 | resolved | 2025-04-04 | crown fabrication given to mehboob lab | |
| Dental caries | — | 80967001 | resolved | 2025-03-29 | cutting with 36,metal cap | |
| Dental caries | — | 80967001 | resolved | 2025-03-24 | crown cem 46 | |
| Dental caries | — | 80967001 | resolved | 2025-03-20 | crown prep with 46 and impression taken for metal crown | |
| Dental pulp necrosis | — | 234946006 | resolved | 2025-03-19 | dtech with 36,adv crown if no pain | |
| Dental caries | — | 80967001 | resolved | 2025-03-19 | dtech with 46,36 | |
| Dental caries, unspecified | K02.9 | 80967001 | resolved | 2025-02-19 | caries excavation with 46 & dtech done & pt informed if pain persist adv ext because of overextended gp | |
| Dental caries, unspecified | K02.9 | 80967001 | resolved | 2025-02-14 | caries excavation with 14 |
Dental Procedures
Add Procedure| Procedure | SNOMED CT AU | CDT Code | Tooth | Date | Status | Notes | FHIR |
|---|---|---|---|---|---|---|---|
| Dental consultation and report | 103697008 | D0140 Limited oral evaluation | — | 2026-03-10 | completed | follow up done | |
| Root canal treatment | 234780006 | D3310 Endodontic therapy, anterior tooth | ##12, #13, #31, #15 | 2026-02-23 | completed | 12,13,31 fixed retainer repaired, follow up after 15 days for debonding | |
| Orthodontic treatment | 234952002 | — | — | 2026-02-04 | completed | Upper and lower wire removed | |
| Orthodontic treatment | 234952002 | — | — | 2026-01-21 | completed | upper fixed retainer done, 23retainer to be rebonded | |
| Orthodontic treatment | 234952002 | — | — | 2025-12-29 | completed | lower lingual fixed retainer done | |
| Dental scaling | 52065007 | D1110 Prophylaxis - adult | — | 2025-12-26 | completed | lower lingual scaling done and flossing done | |
| Dental scaling | 52065007 | D1110 Prophylaxis - adult | — | 2025-11-19 | completed | lower ligature done, upper lower flossing and scaling done | |
| Orthodontic treatment | 234952002 | — | — | 2025-10-22 | completed | lower ligature done | |
| Orthodontic treatment | 234952002 | — | ##18 | 2025-09-26 | completed | Upper 5-5 ligature and lower 18 steel wire and 5-5 ligature wire | |
| Orthodontic treatment | 234952002 | — | ##16, #22 | 2025-08-01 | completed | upper 16*22 niti enagaged. lower 16 niti engaged | |
| Dental procedure (other) | 74964007 | D9999 Unspecified adjunctive procedure, by report | — | 2025-08-01 | completed | pt will pay in few days, reminder to be given again after 2 days | |
| Orthodontic treatment | 234952002 | — | ##16, #41 | 2025-06-30 | completed | upper 16 niti wire, lower 41 module changed | |
| Orthodontic treatment | 234952002 | — | ##41 | 2025-06-06 | completed | upper and lower wire reengaged ,41 repositioned | |
| Orthodontic treatment | 234952002 | — | ##14 | 2025-05-08 | completed | lower 6-6 bonding done, 14 ni-ti wire engaged | |
| Orthodontic treatment | 234952002 | D8090 Comprehensive orthodontic treatment | — | 2025-04-25 | completed | upper 6-6 bonding done | |
| Crown of tooth | 424311000 | — | — | 2025-04-04 | completed | crown fabrication given to mehboob lab | |
| Crown of tooth | 424311000 | — | ##36 | 2025-04-04 | completed | cementation with 36 | |
| Crown of tooth | 424311000 | — | ##36 | 2025-03-29 | completed | cutting with 36,metal cap | |
| Crown of tooth | 424311000 | — | ##46 | 2025-03-24 | completed | crown cem 46 | |
| Dental filling | 180534004 | D2391 Resin composite - one surface, posterior | ##14 | 2025-03-24 | completed | class 2 composite 14 | |
| Crown of tooth | 424311000 | — | ##46 | 2025-03-24 | completed | crown fees 46 | |
| Crown of tooth | 424311000 | D2750 Crown, porcelain fused to high noble metal | ##36 | 2025-03-24 | completed | adv crown with 36 | |
| Crown of tooth | 424311000 | D2750 Crown, porcelain fused to high noble metal | ##46 | 2025-03-20 | completed | crown prep with 46 and impression taken for metal crown | |
| Root canal treatment | 234780006 | D3330 Endodontic therapy, molar tooth | ##36 | 2025-03-19 | completed | dtech with 36,adv crown if no pain | |
| Root canal treatment | 234780006 | D3330 Endodontic therapy, molar tooth | ##46, #36 | 2025-03-19 | completed | paid for nspt,dtech-46,36 | |
| Dental filling | 180534004 | D2391 Resin composite - one surface, posterior | ##46, #36 | 2025-03-19 | completed | dtech with 46,36 | |
| Dental filling | 180534004 | D2391 Resin composite - one surface, posterior | ##14 | 2025-03-19 | completed | caries excavation with 14,to be counted if restoration done | |
| Dental procedure (other) | 74964007 | D9999 Unspecified adjunctive procedure, by report | — | 2025-03-19 | completed | nspt | |
| Dental procedure (other) | 74964007 | D9999 Unspecified adjunctive procedure, by report | — | 2025-03-01 | completed | ortho case started -malignment correction | |
| Dental procedure (other) | 74964007 | D9999 Unspecified adjunctive procedure, by report | — | 2025-03-01 | completed | nspt | |
| Root canal treatment | 234780006 | D3330 Endodontic therapy, molar tooth | ##46 | 2025-02-19 | completed | caries excavation with 46 & dtech done & pt informed if pain persist adv ext because of overextended gp | |
| Dental procedure (other) | 74964007 | D9999 Unspecified adjunctive procedure, by report | ##14 | 2025-02-14 | completed | caries excavation with 14 |
Appointment History
Book Appointment| Date & Time | Status | Clinical Notes | FHIR |
|---|---|---|---|
| 2026-03-10 20:20 | fulfilled | follow up done — Dr Hani | |
| 2026-02-23 21:17 | fulfilled | 12,13,31 fixed retainer repaired, follow up after 15 days for debonding — Dr Hani | |
| 2026-02-23 11:40 | fulfilled | Dental visit — Dr Riyaz | |
| 2026-02-04 11:56 | fulfilled | Upper and lower wire removed — Dr Hani | |
| 2026-01-21 15:05 | fulfilled | Dental visit — Dr Hani | |
| 2026-01-21 15:02 | fulfilled | upper fixed retainer done, 23retainer to be rebonded — Dr Hani | |
| 2026-01-21 14:08 | fulfilled | Dental visit — Dr Hani | |
| 2025-12-29 21:01 | fulfilled | lower lingual fixed retainer done — Dr Hani | |
| 2025-12-26 19:53 | fulfilled | lower lingual scaling done and flossing done — Dr Hani | |
| 2025-12-26 19:27 | fulfilled | Dental visit — Dr Hani | |
| 2025-11-19 20:57 | fulfilled | lower ligature done, upper lower flossing and scaling done — Dr Hani | |
| 2025-11-19 19:37 | fulfilled | Dental visit | |
| 2025-10-22 19:22 | fulfilled | lower ligature done — Dr Hani | |
| 2025-09-26 12:16 | fulfilled | Upper 5-5 ligature and lower 18 steel wire and 5-5 ligature wire — Dr Hani | |
| 2025-08-05 20:20 | fulfilled | Dental visit — Dr Riyaz | |
| 2025-08-01 12:57 | fulfilled | pt will pay in few days, reminder to be given again after 2 days | |
| 2025-08-01 12:54 | fulfilled | upper 16*22 niti enagaged. lower 16 niti engaged | |
| 2025-06-30 20:25 | fulfilled | upper 16 niti wire, lower 41 module changed — Dr Hani | |
| 2025-06-30 19:43 | fulfilled | Dental visit — Dr Riyaz | |
| 2025-06-06 12:45 | fulfilled | upper and lower wire reengaged ,41 repositioned — Dr Aaliya | |
| 2025-05-15 13:30 | fulfilled | Dental visit — Dr Aaliya | |
| 2025-05-08 14:45 | fulfilled | lower 6-6 bonding done, 14 ni-ti wire engaged — Dr Aaliya | |
| 2025-04-25 21:52 | fulfilled | upper 6-6 bonding done — Dr Aaliya | |
| 2025-04-04 13:36 | fulfilled | cementation with 36 — Dr Aaliya | |
| 2025-04-04 11:39 | fulfilled | crown fabrication given to mehboob lab | |
| 2025-03-30 13:53 | fulfilled | Dental visit | |
| 2025-03-30 13:37 | fulfilled | Dental visit — Dr Aaliya | |
| 2025-03-29 13:29 | fulfilled | cutting with 36,metal cap — Dr Aaliya | |
| 2025-03-24 22:07 | fulfilled | adv crown with 36 — NULL | |
| 2025-03-24 22:06 | fulfilled | crown fees 46 — NULL | |
| 2025-03-24 22:06 | fulfilled | Dental visit — NULL | |
| 2025-03-24 22:05 | fulfilled | crown cem 46 — NULL | |
| 2025-03-24 22:05 | fulfilled | class 2 composite 14 — NULL | |
| 2025-03-20 21:14 | fulfilled | crown prep with 46 and impression taken for metal crown — NULL | |
| 2025-03-19 20:41 | fulfilled | nspt — NULL | |
| 2025-03-19 20:40 | fulfilled | caries excavation with 14,to be counted if restoration done — NULL | |
| 2025-03-19 20:38 | fulfilled | dtech with 46,36 — NULL | |
| 2025-03-19 13:24 | fulfilled | paid for nspt,dtech-46,36 — NULL | |
| 2025-03-19 13:21 | fulfilled | dtech with 36,adv crown if no pain — NULL | |
| 2025-03-01 13:57 | fulfilled | nspt — NULL | |
| 2025-03-01 13:56 | fulfilled | ortho case started -malignment correction — NULL | |
| 2025-02-19 20:24 | fulfilled | caries excavation with 46 & dtech done & pt informed if pain persist adv ext because of overextended — NULL | |
| 2025-02-14 22:03 | fulfilled | caries excavation with 14 — NULL | |
| 2025-02-14 13:02 | fulfilled | Dental visit — NULL |
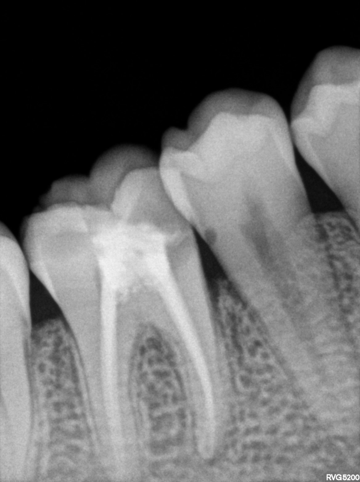
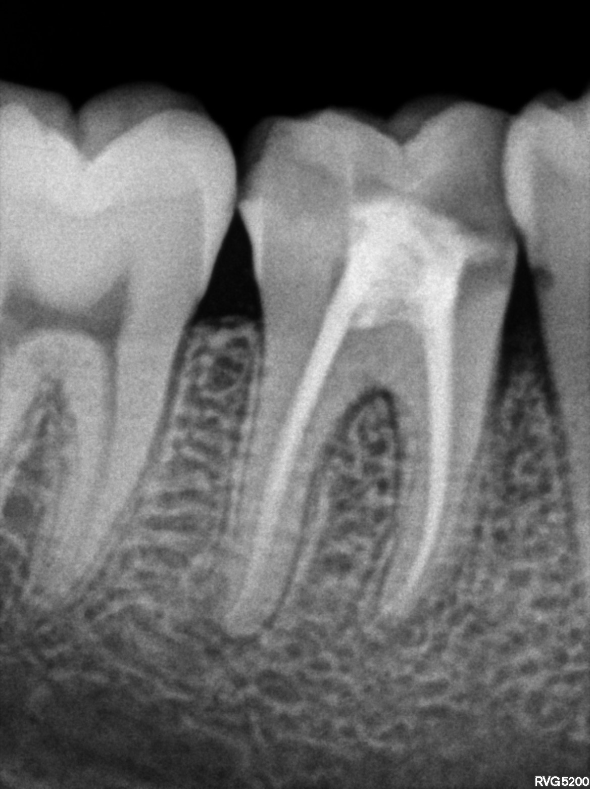
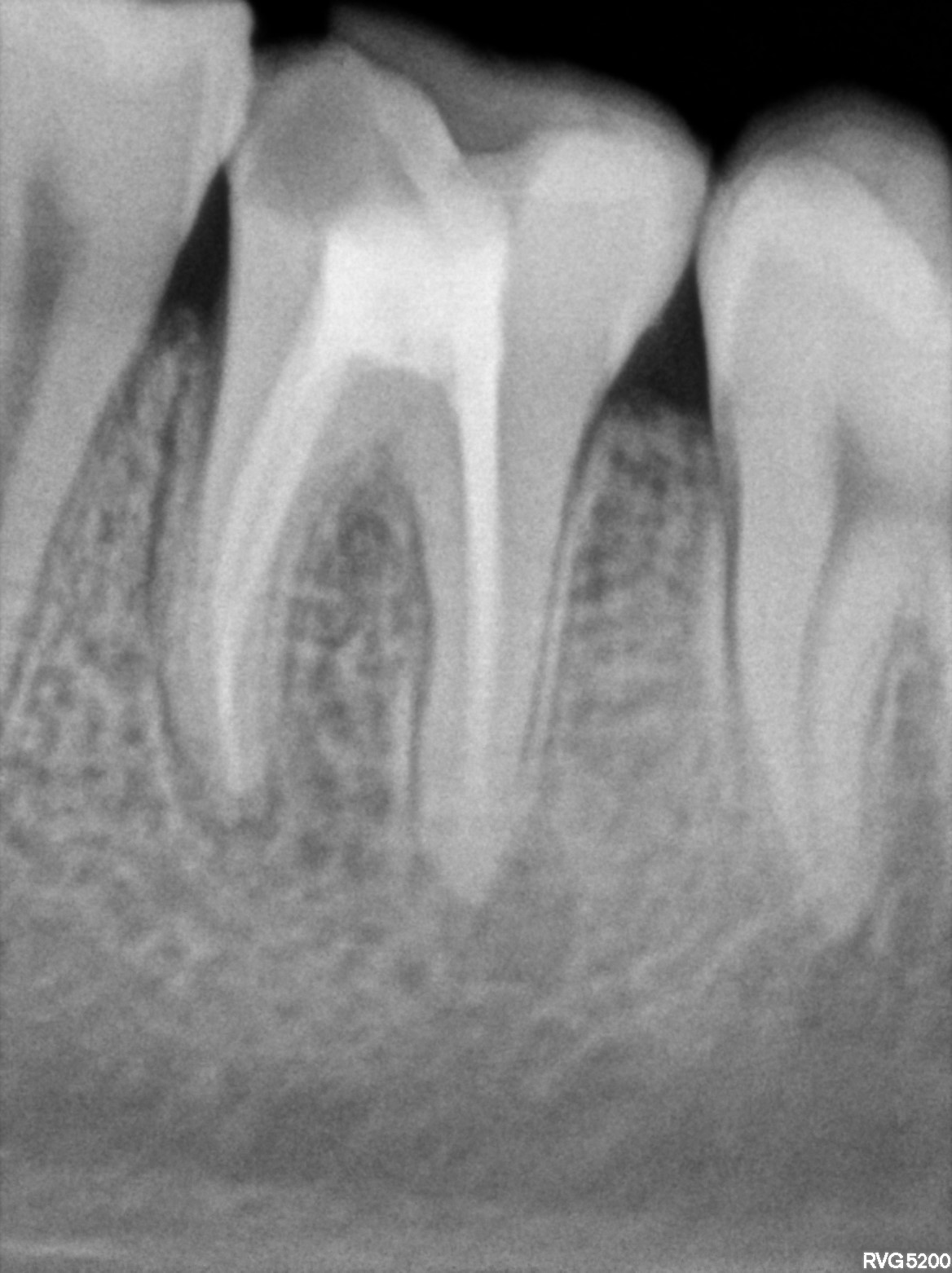
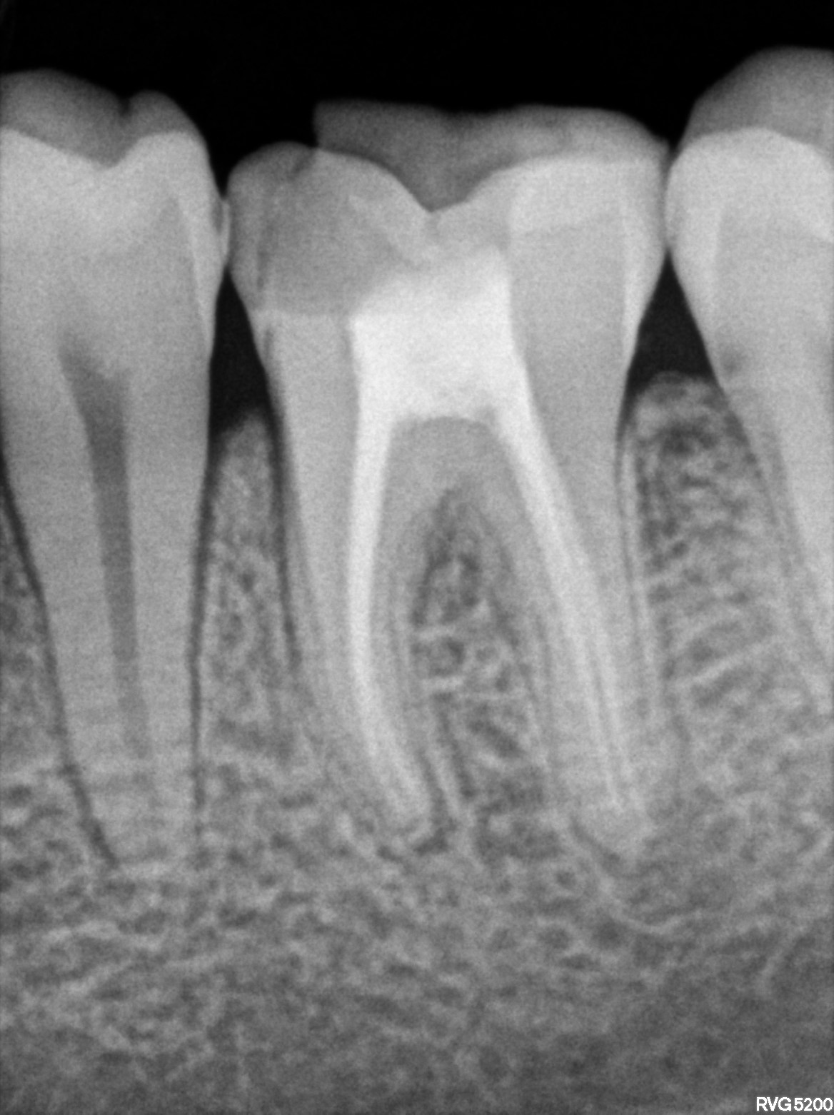
Dental Radiographs FHIR: DocumentReference · LOINC 24641-7
FHIR Bundle
36.jpg
24641-7
46.jpg
24641-7
R61.jpg
24641-7
R67.jpg
24641-7
xray_1742370818.jpg
24641-7
xray_1742370851.jpg
24641-7
Invoices FHIR R4 Invoice · INR
FHIR Bundle⁢₹43,500
Charged
₹43,500
Paid
₹38,000
Outstanding
| Date | Procedure | Charged (₹) | Paid (₹) | Balance (₹) | Mode | Status | FHIR |
|---|---|---|---|---|---|---|---|
| 2026-02-23 | Root canal treatment | 0 | 5,000 | -5,000 | tabassum | cancelled | |
| 2026-01-21 | Orthodontic treatment | 0 | 5,500 | -5,500 | cash | cancelled | |
| 2025-12-26 | Dental scaling | 0 | 5,000 | -5,000 | cash | cancelled | |
| 2025-11-19 | Dental scaling | 0 | 4,000 | -4,000 | cash | cancelled | |
| 2025-10-22 | Orthodontic treatment | 0 | 4,000 | -4,000 | — | cancelled | |
| 2025-08-05 | Dental procedure | 0 | 3,000 | -3,000 | gpay | cancelled | |
| 2025-06-30 | Orthodontic treatment | 0 | 2,000 | -2,000 | — | cancelled | |
| 2025-05-15 | Dental procedure | 0 | 3,000 | -3,000 | gpay | cancelled | |
| 2025-04-25 | Orthodontic treatment | 35,000 | 4,000 | 31,000 | online | issued | |
| 2025-04-04 | Crown of tooth | 1,500 | 1,500 | 0 | gpay | balanced | |
| 2025-03-30 | Dental procedure | 0 | 1,000 | -1,000 | gpay | cancelled | |
| 2025-03-30 | Dental procedure | 0 | 1,000 | -1,000 | — | cancelled | |
| 2025-03-24 | Crown of tooth | 1,500 | 0 | 1,500 | — | issued | |
| 2025-03-24 | Crown of tooth | 1,500 | 0 | 1,500 | — | issued | |
| 2025-03-24 | Crown of tooth | 1,500 | 0 | 1,500 | — | issued | |
| 2025-03-24 | Crown of tooth | 0 | 2,000 | -2,000 | — | cancelled | |
| 2025-03-19 | Dental filling | 400 | 0 | 400 | — | issued | |
| 2025-03-19 | Dental filling | 0 | 1,500 | -1,500 | — | cancelled | |
| 2025-03-19 | Dental filling | 1,600 | 0 | 1,600 | — | issued | |
| 2025-03-19 | Dental filling | 500 | 0 | 500 | — | issued | |
| 2025-02-14 | Dental procedure (other) | 0 | 1,000 | -1,000 | — | cancelled |