Back to Patients
De-identified Patient
female
DOB: ••••-••-••
FHIR: Patient
Patient Information
FHIR: Patient
De-identified for demo. Identity fields are masked.
- Full Name
- De-identified
- Date of Birth
- ••••-••-••
- Gender
- female
- Phone
- ••••••••D)
- ••••@••••
- Address
- De-identified location
Quick Actions
10
Conditions
13
Procedures
15
Visits
10
Invoices
3
X-rays
Diagnosed Conditions
Add Condition| Condition | ICD-10-AM | SNOMED CT Ref. | Status | Onset | Notes | FHIR |
|---|---|---|---|---|---|---|
| Dental caries | — | 80967001 | resolved | 2026-02-16 | Cementation done with 46 | |
| Dental caries | — | 80967001 | resolved | 2026-02-11 | dtech done and crown prep done for metal crown with 46 | |
| Dental pulp necrosis | — | 234946006 | resolved | 2026-02-07 | obt done with 46 | |
| Necrosis of dental pulp | K04.1 | 234946006 | resolved | 2026-02-03 | bmp 20k both the canals | |
| Necrosis of dental pulp | K04.1 | 234946006 | resolved | 2026-01-28 | cown retrieval 45 . a/o 46 2 canal till apex done | |
| Necrosis of dental pulp | K04.1 | 234946006 | resolved | 2026-01-23 | adv re rct with 46 | |
| Dental caries | — | 80967001 | resolved | 2022-04-02 | ext of lingual coronal part of 36 & adv cap if possible | |
| Dental pulp necrosis | — | 234946006 | resolved | 2020-10-24 | obt 36 | |
| Necrosis of dental pulp | K04.1 | 234946006 | resolved | 2020-10-19 | a/o 36- 4 canals 20-04 bmp done full length- 25mm canals | |
| Necrosis of dental pulp | K04.1 | 234946006 | resolved | 2020-10-17 | adv rct 36 |
Dental Procedures
Add Procedure| Procedure | SNOMED CT AU | CDT Code | Tooth | Date | Status | Notes | FHIR |
|---|---|---|---|---|---|---|---|
| Tooth extraction | 424451000 | D7140 Extraction, erupted tooth or exposed root | ##48 | 2026-03-06 | completed | extn 48 | |
| Crown of tooth | 424311000 | D2750 Crown, porcelain fused to high noble metal | ##46 | 2026-02-16 | completed | Cementation done with 46 | |
| Dental filling | 180534004 | D2391 Resin composite - one surface, posterior | ##46 | 2026-02-11 | completed | dtech done and crown prep done for metal crown with 46 | |
| Root canal treatment | 234780006 | — | ##46 | 2026-02-07 | completed | obt done with 46 | |
| Root canal treatment | 234780006 | — | — | 2026-02-03 | completed | bmp 20k both the canals | |
| Root canal treatment | 234780006 | D3320 Endodontic therapy, premolar tooth | ##45, #46 | 2026-01-28 | completed | cown retrieval 45 . a/o 46 2 canal till apex done | |
| Root canal treatment | 234780006 | D3348 Retreatment of previous root canal therapy - molar | ##46 | 2026-01-23 | completed | adv re rct with 46 | |
| Crown of tooth | 424311000 | D2750 Crown, porcelain fused to high noble metal | ##36 | 2022-04-02 | completed | ext of lingual coronal part of 36 & adv cap if possible | |
| Root canal treatment | 234780006 | — | ##36 | 2020-10-24 | completed | obt 36 | |
| Root canal treatment | 234780006 | — | ##36 | 2020-10-19 | completed | a/o 36- 4 canals 20-04 bmp done full length- 25mm canals | |
| Root canal treatment | 234780006 | D3330 Endodontic therapy, molar tooth | ##36 | 2020-10-17 | completed | adv rct 36 | |
| Dental procedure (other) | 74964007 | D9999 Unspecified adjunctive procedure, by report | — | 2020-01-15 | completed | nspt done first sitting | |
| Dental procedure (other) | 74964007 | D9999 Unspecified adjunctive procedure, by report | — | 2020-01-13 | completed | advance for nspt |
Appointment History
Book Appointment| Date & Time | Status | Clinical Notes | FHIR |
|---|---|---|---|
| 2026-03-06 21:05 | fulfilled | extn 48 — Dr Riyaz | |
| 2026-02-16 13:32 | fulfilled | Dental visit — Dr Riyaz | |
| 2026-02-16 13:29 | fulfilled | Cementation done with 46 — Dr Riyaz | |
| 2026-02-11 20:31 | fulfilled | dtech done and crown prep done for metal crown with 46 — Dr Riyaz | |
| 2026-02-07 21:50 | fulfilled | obt done with 46 — Dr Riyaz | |
| 2026-02-03 13:43 | fulfilled | bmp 20k both the canals — Dr Riyaz | |
| 2026-02-03 13:38 | fulfilled | Dental visit | |
| 2026-01-28 20:57 | fulfilled | cown retrieval 45 . a/o 46 2 canal till apex done — Dr Riyaz | |
| 2026-01-23 21:53 | fulfilled | adv re rct with 46 — Dr Riyaz | |
| 2022-04-02 14:26 | fulfilled | ext of lingual coronal part of 36 & adv cap if possible — NULL | |
| 2020-10-24 16:19 | fulfilled | obt 36 — NULL | |
| 2020-10-19 16:51 | fulfilled | a/o 36- 4 canals 20-04 bmp done full length- 25mm canals — NULL | |
| 2020-10-17 16:57 | fulfilled | adv rct 36 — NULL | |
| 2020-01-15 21:11 | fulfilled | nspt done first sitting — NULL | |
| 2020-01-13 20:47 | fulfilled | advance for nspt — NULL |
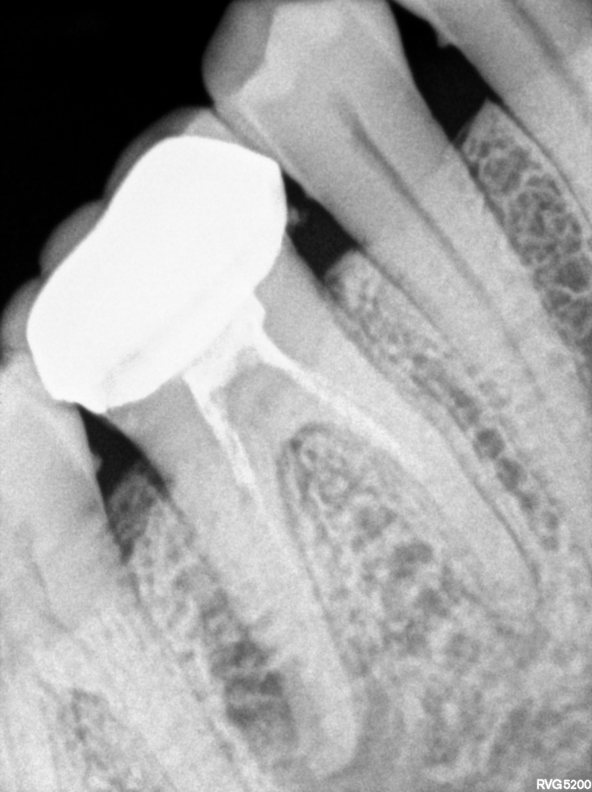
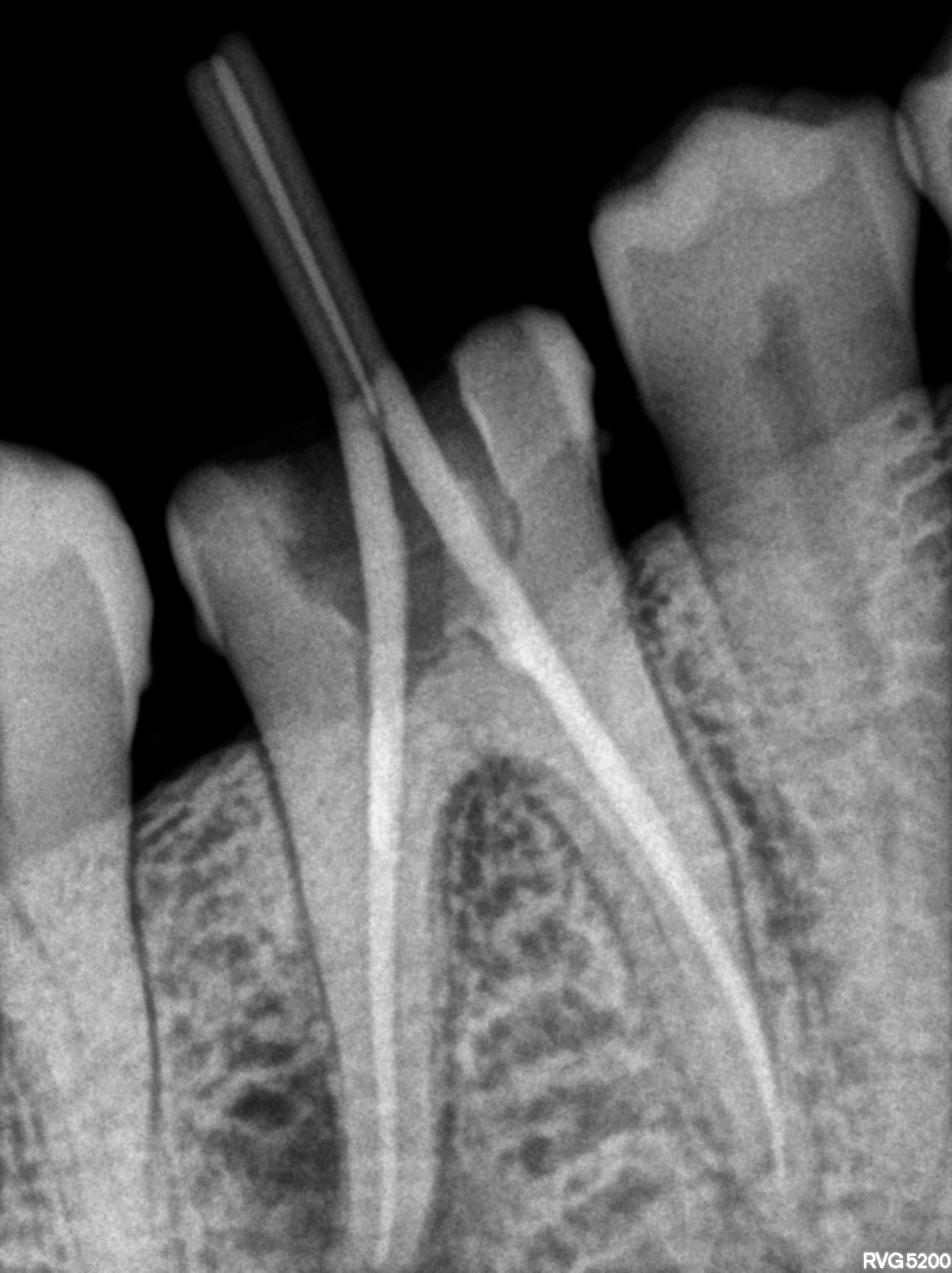
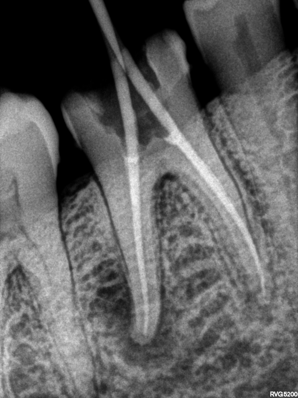
Dental Radiographs FHIR: DocumentReference · LOINC 24641-7
FHIR Bundle
xray_1770481373_0.jpg
24641-7
xray_1770481373_1.jpg
24641-7
xray_1769185475_0.jpg
24641-7
Invoices FHIR R4 Invoice · INR
FHIR Bundle⁢₹15,000
Charged
₹16,500
Paid
₹8,000
Outstanding
| Date | Procedure | Charged (₹) | Paid (₹) | Balance (₹) | Mode | Status | FHIR |
|---|---|---|---|---|---|---|---|
| 2026-03-06 | Tooth extraction | 2,000 | 2,000 | 0 | gpay | balanced | |
| 2026-02-16 | Crown of tooth | 0 | 1,500 | -1,500 | Online | cancelled | |
| 2026-02-07 | Root canal treatment | 0 | 2,500 | -2,500 | gpay | cancelled | |
| 2026-02-03 | Root canal treatment | 0 | 2,000 | -2,000 | — | cancelled | |
| 2026-01-28 | Root canal treatment | 7,000 | 2,500 | 4,500 | gpay | issued | |
| 2022-04-02 | Crown of tooth | 0 | 500 | -500 | — | cancelled | |
| 2020-10-24 | Root canal treatment | 0 | 2,000 | -2,000 | — | cancelled | |
| 2020-10-19 | Root canal treatment | 0 | 1,000 | -1,000 | — | cancelled | |
| 2020-10-17 | Root canal treatment | 3,500 | 1,000 | 2,500 | — | issued | |
| 2020-01-13 | Dental procedure (other) | 2,500 | 1,500 | 1,000 | — | issued |