Back to Patients
De-identified Patient
female
DOB: ••••-••-••
FHIR: Patient
Patient Information
FHIR: Patient
De-identified for demo. Identity fields are masked.
- Full Name
- De-identified
- Date of Birth
- ••••-••-••
- Gender
- female
- Phone
- ••••••••D)
- ••••@••••
- Address
- De-identified location
Quick Actions
7
Conditions
14
Procedures
20
Visits
11
Invoices
5
X-rays
Diagnosed Conditions
Add Condition| Condition | ICD-10-AM | SNOMED CT Ref. | Status | Onset | Notes | FHIR |
|---|---|---|---|---|---|---|
| Dentofacial anomaly, unspecified | M26.9 | 6574001 | active | 2026-02-16 | 13 ligature engaged. Lower bonding post ramadan | |
| Dentofacial anomaly, unspecified | M26.9 | 6574001 | active | 2026-01-28 | 13 ligature wire enaged for erutpion | |
| Dentofacial anomaly, unspecified | M26.9 | 6574001 | active | 2026-01-13 | 16 and 26 molar tube bonded and upper 14 niti wire engaged, ligature wire with 13 | |
| Dentofacial anomaly, unspecified | M26.9 | 6574001 | active | 2025-12-17 | canine exposure, ligature wire | |
| Dentofacial anomaly, unspecified | M26.9 | 6574001 | active | 2025-12-03 | upper 5-5 bonding done,14 niti wire engaged | |
| Dental caries | — | 80967001 | resolved | 2024-11-29 | type ix with 17 | |
| Dental caries | — | 80967001 | resolved | 2024-06-11 | 37 type ix |
Dental Procedures
Add Procedure| Procedure | SNOMED CT AU | CDT Code | Tooth | Date | Status | Notes | FHIR |
|---|---|---|---|---|---|---|---|
| Orthodontic treatment | 234952002 | — | ##13 | 2026-02-16 | completed | 13 ligature engaged. Lower bonding post ramadan | |
| Orthodontic treatment | 234952002 | — | ##13 | 2026-01-28 | completed | 13 ligature wire enaged for erutpion | |
| Orthodontic treatment | 234952002 | — | ##16, #26, #14, #13 | 2026-01-13 | completed | 16 and 26 molar tube bonded and upper 14 niti wire engaged, ligature wire with 13 | |
| Orthodontic treatment | 234952002 | — | — | 2025-12-17 | completed | canine exposure, ligature wire | |
| Orthodontic treatment | 234952002 | — | — | 2025-12-17 | completed | canine exposure, ligature wire | |
| Orthodontic treatment | 234952002 | D8090 Comprehensive orthodontic treatment | ##14 | 2025-12-03 | completed | upper 5-5 bonding done,14 niti wire engaged | |
| Dental consultation and report | 103697008 | D0140 Limited oral evaluation | — | 2025-12-03 | completed | adv ortho for canine | |
| Dental procedure (other) | 74964007 | D9999 Unspecified adjunctive procedure, by report | — | 2025-12-01 | completed | new treatment started | |
| Dental filling | 180534004 | D2940 Protective restoration (GIC) | ##17 | 2024-11-29 | completed | type ix with 17 | |
| Dental filling | 180534004 | D2940 Protective restoration (GIC) | ##47 | 2024-10-17 | completed | type ix with 47 | |
| Tooth extraction | 424451000 | D7140 Extraction, erupted tooth or exposed root | ##13 | 2024-10-17 | completed | adv- orthodontic canine extrusion with 13@45k | |
| Dental filling | 180534004 | D2940 Protective restoration (GIC) | ##37 | 2024-06-11 | completed | 37 type ix | |
| Dental procedure (other) | 74964007 | D9999 Unspecified adjunctive procedure, by report | ##47 | 2023-10-10 | completed | 47 temp | |
| Tooth extraction | 424451000 | — | — | 2023-08-02 | completed | 5c extraction done |
Appointment History
Book Appointment| Date & Time | Status | Clinical Notes | FHIR |
|---|---|---|---|
| 2026-03-07 20:41 | fulfilled | Dental visit — Dr Riyaz | |
| 2026-02-22 06:02 | fulfilled | Dental visit | |
| 2026-02-16 12:04 | fulfilled | 13 ligature engaged. Lower bonding post ramadan — Dr Hani | |
| 2026-01-28 20:29 | fulfilled | 13 ligature wire enaged for erutpion — Dr Riyaz | |
| 2026-01-15 20:15 | fulfilled | Dental visit — Dr Riyaz | |
| 2026-01-13 14:32 | fulfilled | 16 and 26 molar tube bonded and upper 14 niti wire engaged, ligature wire with 13 — Dr Hani | |
| 2025-12-17 22:27 | fulfilled | canine exposure, ligature wire — Dr Riyaz | |
| 2025-12-17 22:27 | fulfilled | canine exposure, ligature wire — Dr Riyaz | |
| 2025-12-03 18:26 | fulfilled | adv ortho for canine — Dr Riyaz | |
| 2025-12-03 13:16 | fulfilled | upper 5-5 bonding done,14 niti wire engaged — Dr Hani | |
| 2025-12-01 18:25 | fulfilled | new treatment started | |
| 2025-09-03 18:25 | fulfilled | Dental visit | |
| 2024-11-29 19:58 | fulfilled | type ix with 17 — NULL | |
| 2024-10-17 20:13 | fulfilled | adv- orthodontic canine extrusion with 13@45k — NULL | |
| 2024-10-17 20:13 | fulfilled | type ix with 47 — NULL | |
| 2024-06-11 14:50 | fulfilled | Dental visit — NULL | |
| 2024-06-11 14:01 | fulfilled | 37 type ix — NULL | |
| 2023-10-10 21:08 | fulfilled | 47 temp — NULL | |
| 2023-10-10 20:26 | fulfilled | Dental visit — NULL | |
| 2023-08-02 21:35 | fulfilled | 5c extraction done — NULL |
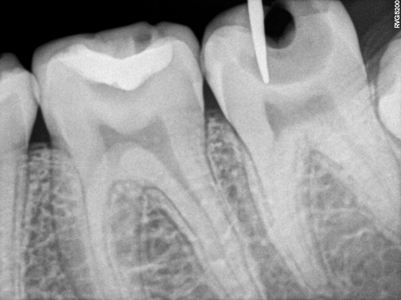
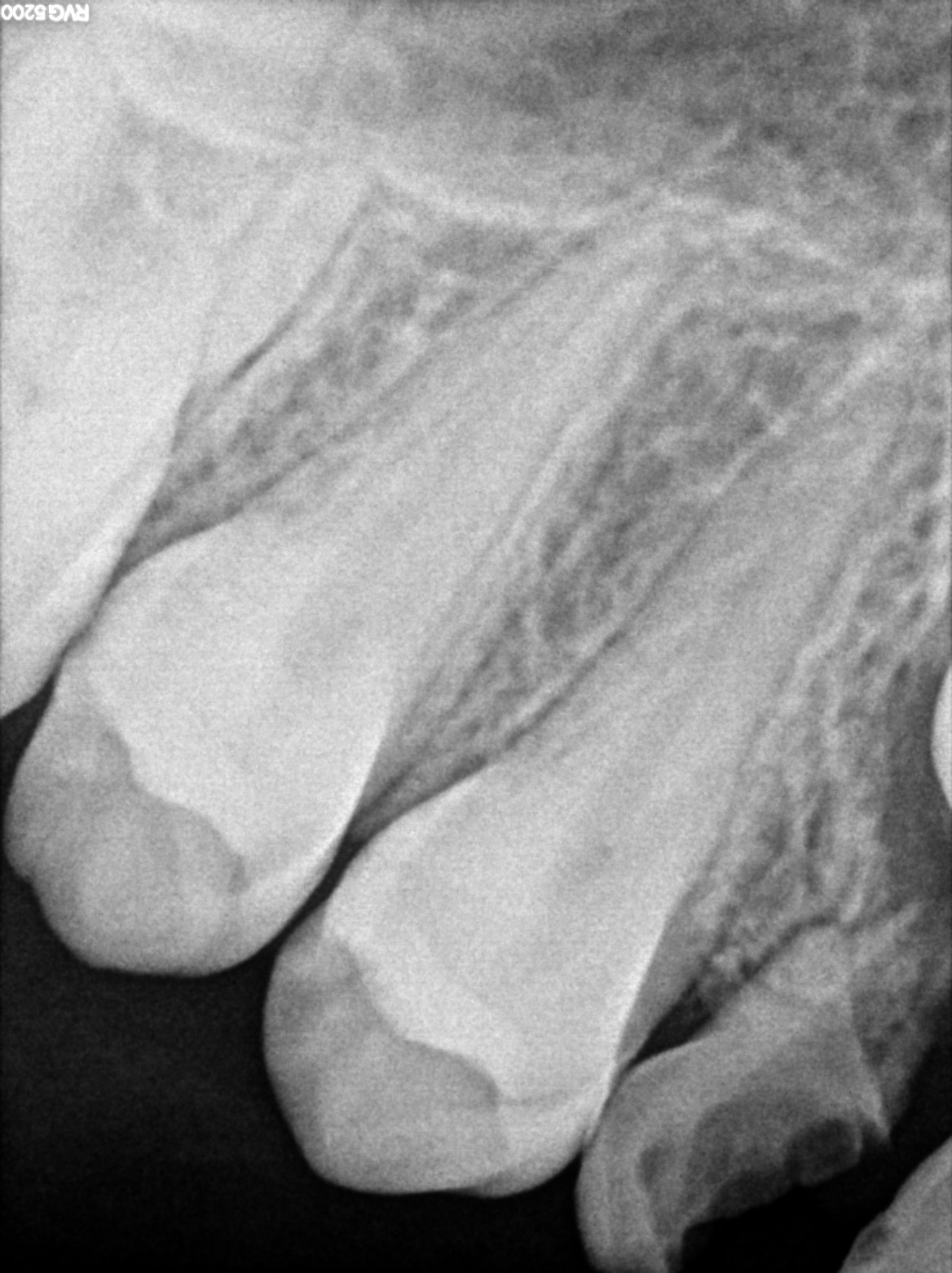
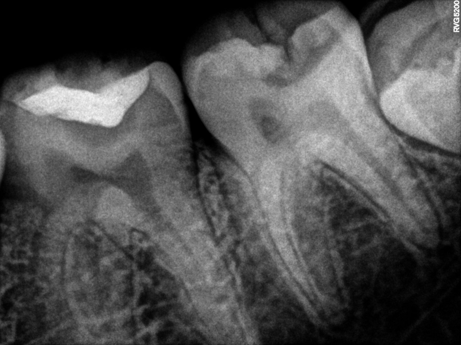
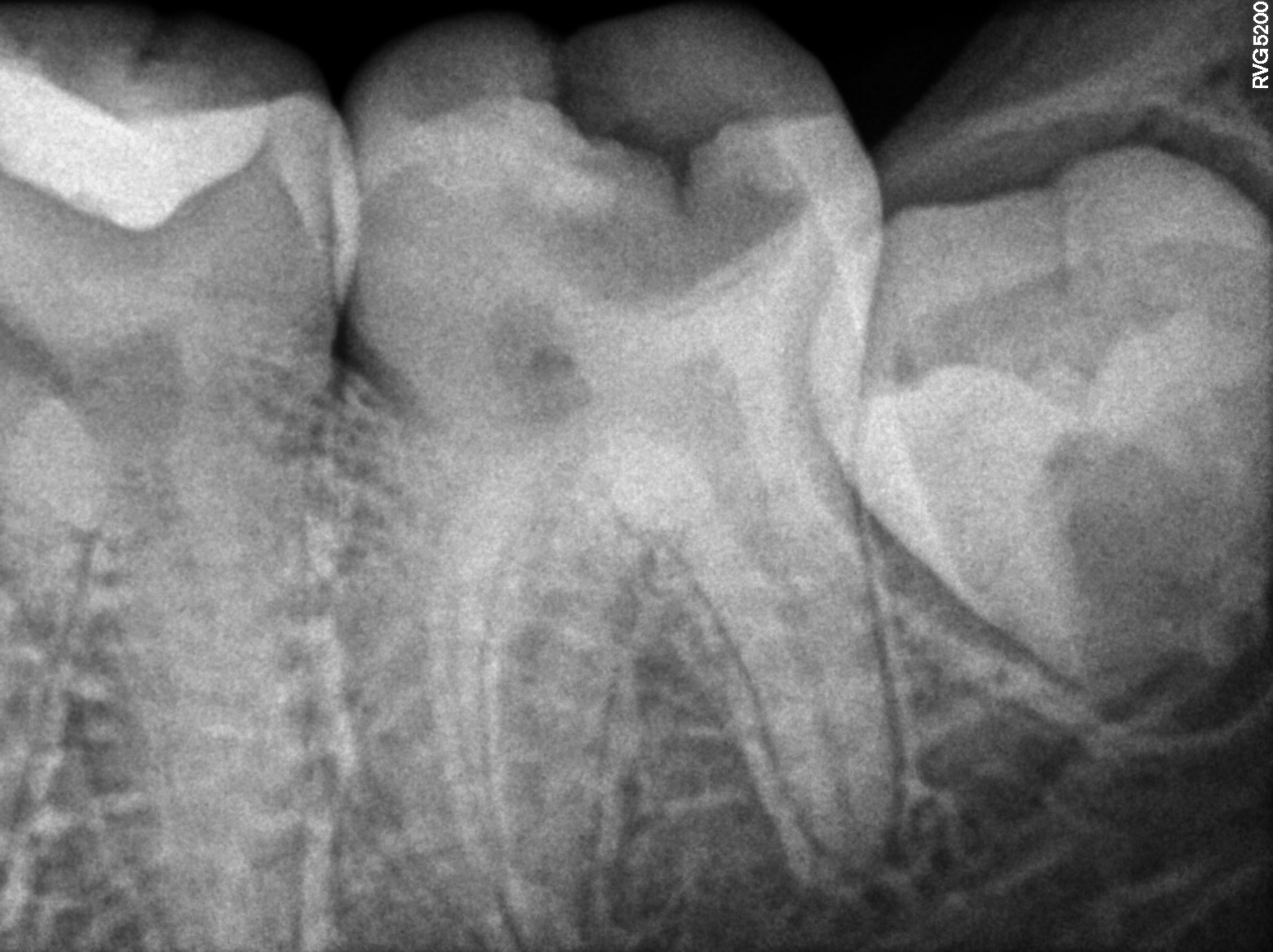
Dental Radiographs FHIR: DocumentReference · LOINC 24641-7
FHIR Bundle
R5.3.jpg
24641-7
R53.jpg
24641-7
R64.jpg
24641-7
R54.jpg
24641-7
R62.jpg
24641-7
Invoices FHIR R4 Invoice · INR
FHIR Bundle⁢₹49,500
Charged
₹20,500
Paid
₹41,800
Outstanding
| Date | Procedure | Charged (₹) | Paid (₹) | Balance (₹) | Mode | Status | FHIR |
|---|---|---|---|---|---|---|---|
| 2026-03-07 | Dental procedure | 0 | 3,000 | -3,000 | gpay | cancelled | |
| 2026-02-22 | Dental procedure | 0 | 5,000 | -5,000 | Gpay | cancelled | |
| 2026-01-15 | Dental procedure | 0 | 3,000 | -3,000 | gpay | cancelled | |
| 2025-12-03 | Dental consultation and report | 45,000 | 5,000 | 40,000 | cash | issued | |
| 2025-09-03 | Dental procedure | 400 | 0 | 400 | — | issued | |
| 2024-11-29 | Dental filling | 1,200 | 1,000 | 200 | — | issued | |
| 2024-10-17 | Dental filling | 1,200 | 1,500 | -300 | — | balanced | |
| 2024-06-11 | Dental filling | 1,200 | 0 | 1,200 | — | issued | |
| 2024-06-11 | Dental filling | 0 | 1,000 | -1,000 | — | cancelled | |
| 2023-10-10 | Dental procedure (other) | 0 | 500 | -500 | — | cancelled | |
| 2023-08-02 | Tooth extraction | 500 | 500 | 0 | — | balanced |