Back to Patients
De-identified Patient
female
DOB: ••••-••-••
FHIR: Patient
Patient Information
FHIR: Patient
De-identified for demo. Identity fields are masked.
- Full Name
- De-identified
- Date of Birth
- ••••-••-••
- Gender
- female
- Phone
- ••••••••43
- ••••@••••
- Address
- De-identified location
Quick Actions
5
Conditions
7
Procedures
8
Visits
4
Invoices
2
X-rays
Diagnosed Conditions
Add Condition| Condition | ICD-10-AM | SNOMED CT Ref. | Status | Onset | Notes | FHIR |
|---|---|---|---|---|---|---|
| Dental caries | — | 80967001 | resolved | 2026-03-18 | cementation done with coping, impression taken for rpd | |
| Dental caries | — | 80967001 | resolved | 2026-03-11 | impression taken for coping with 14 15 | |
| Dental caries | — | 80967001 | resolved | 2025-04-30 | type ix with 16,distal smooth surface lesion | |
| Dental caries | — | 80967001 | resolved | 2025-04-26 | cutting done with 27 | |
| Dental pulp necrosis | — | 234946006 | resolved | 2025-04-12 | dtech done with 27,adv-metal endocrown with 27 if no pain |
Dental Procedures
Add Procedure| Procedure | SNOMED CT AU | CDT Code | Tooth | Date | Status | Notes | FHIR |
|---|---|---|---|---|---|---|---|
| Crown of tooth | 424311000 | — | — | 2026-03-18 | completed | cementation done with coping, impression taken for rpd | |
| Dental prosthesis construction | 234783000 | D9999 Unspecified adjunctive procedure, by report | ##14, #15 | 2026-03-11 | completed | impression taken for coping with 14 15 | |
| Dental filling | 180534004 | D2940 Protective restoration (GIC) | ##16 | 2025-04-30 | completed | type ix with 16,distal smooth surface lesion | |
| Crown of tooth | 424311000 | D2750 Crown, porcelain fused to high noble metal | ##17 | 2025-04-30 | completed | cementaion with 17,endo crown metal | |
| Crown of tooth | 424311000 | D2750 Crown, porcelain fused to high noble metal | ##27 | 2025-04-26 | completed | cutting done with 27 | |
| Dental procedure (other) | 74964007 | D9999 Unspecified adjunctive procedure, by report | — | 2025-04-12 | completed | New Treatment Started | |
| Root canal treatment | 234780006 | D3330 Endodontic therapy, molar tooth | ##27 | 2025-04-12 | completed | dtech done with 27,adv-metal endocrown with 27 if no pain |
Appointment History
Book Appointment| Date & Time | Status | Clinical Notes | FHIR |
|---|---|---|---|
| 2026-03-18 21:54 | fulfilled | cementation done with coping, impression taken for rpd — Dr Riyaz | |
| 2026-03-11 21:55 | fulfilled | impression taken for coping with 14 15 — Dr Riyaz | |
| 2025-04-30 13:11 | fulfilled | Dental visit — Dr Aaliya | |
| 2025-04-30 13:04 | fulfilled | cementaion with 17,endo crown metal — Dr Aaliya | |
| 2025-04-30 13:02 | fulfilled | type ix with 16,distal smooth surface lesion — Dr Aaliya | |
| 2025-04-26 13:32 | fulfilled | cutting done with 27 — Dr Aaliya | |
| 2025-04-12 13:36 | fulfilled | New Treatment Started — NULL | |
| 2025-04-12 13:36 | fulfilled | dtech done with 27,adv-metal endocrown with 27 if no pain — Dr Aaliya |
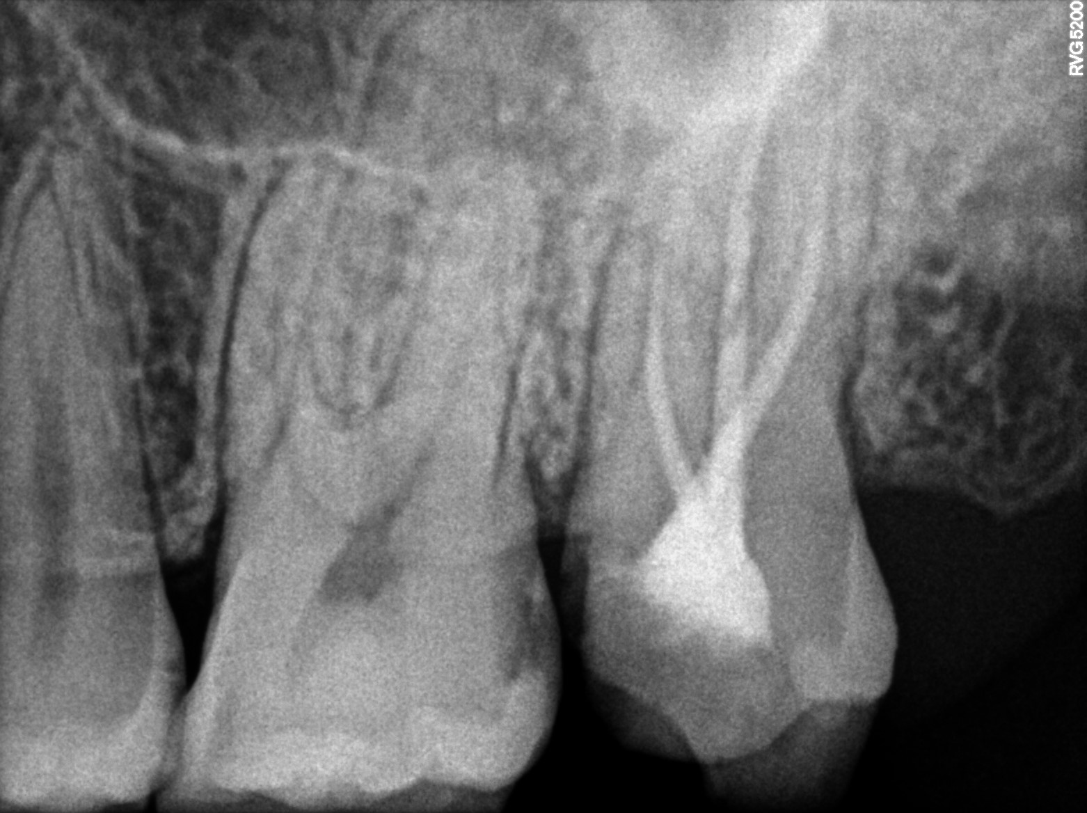
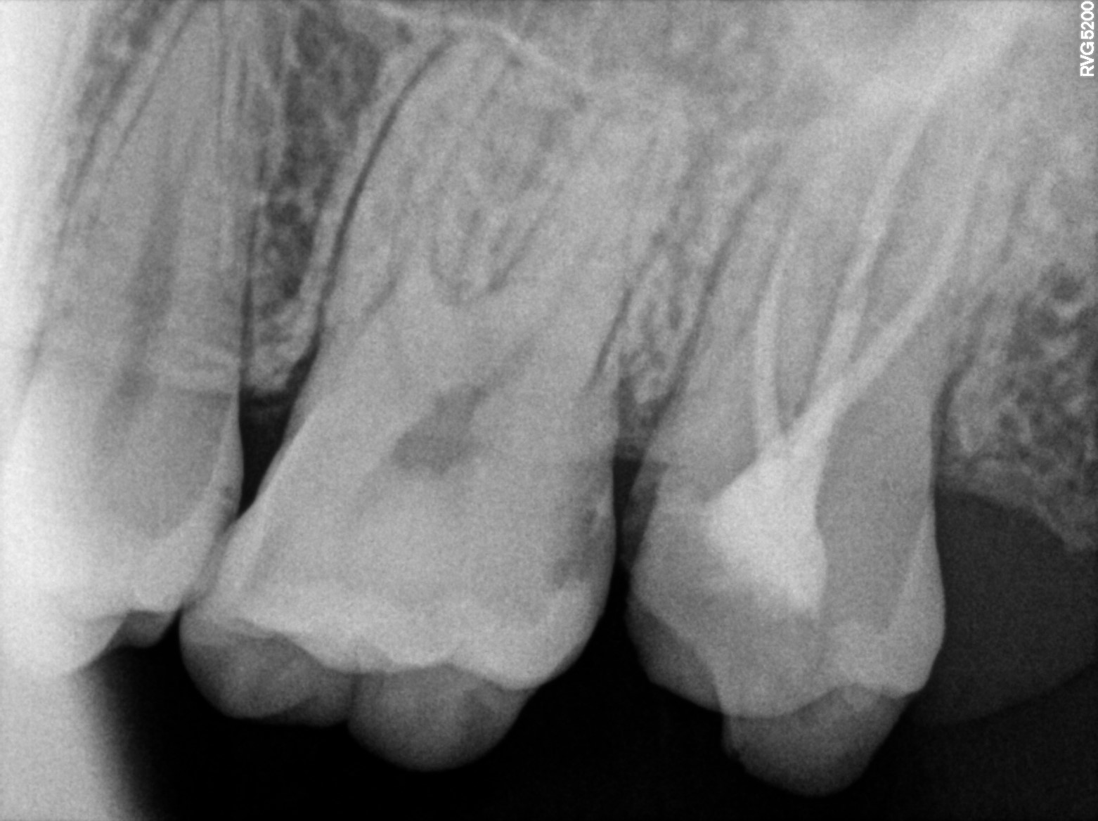
Dental Radiographs FHIR: DocumentReference · LOINC 24641-7
FHIR Bundle
xray_1744445837.jpg
24641-7
xray_1744445313.jpg
24641-7
Invoices FHIR R4 Invoice · INR
FHIR Bundle⁢₹3,500
Charged
₹3,500
Paid
₹2,000
Outstanding
| Date | Procedure | Charged (₹) | Paid (₹) | Balance (₹) | Mode | Status | FHIR |
|---|---|---|---|---|---|---|---|
| 2025-04-30 | Crown of tooth | 0 | 2,000 | -2,000 | sanagpay | cancelled | |
| 2025-04-30 | Crown of tooth | 1,200 | 0 | 1,200 | — | issued | |
| 2025-04-26 | Crown of tooth | 1,800 | 1,000 | 800 | online | issued | |
| 2025-04-12 | Dental procedure (other) | 500 | 500 | 0 | online | balanced |