Back to Patients
De-identified Patient
male
DOB: ••••-••-••
FHIR: Patient
Patient Information
FHIR: Patient
De-identified for demo. Identity fields are masked.
- Full Name
- De-identified
- Date of Birth
- ••••-••-••
- Gender
- male
- Phone
- ••••••••D)
- ••••@••••
- Address
- De-identified location
Quick Actions
11
Conditions
14
Procedures
21
Visits
14
Invoices
5
X-rays
Diagnosed Conditions
Add Condition| Condition | ICD-10-AM | SNOMED CT Ref. | Status | Onset | Notes | FHIR |
|---|---|---|---|---|---|---|
| Dental caries | — | 80967001 | resolved | 2026-03-05 | recementation with 38 | |
| Periapical abscess without sinus | K04.7 | 234947002 | resolved | 2025-04-05 | gingival abscess with 47 48, | |
| Dental caries | — | 80967001 | resolved | 2024-10-07 | CROWN CEM 25 | |
| Dental caries | — | 80967001 | resolved | 2024-09-28 | crown pre metal 25 | |
| Dental pulp necrosis | — | 234946006 | resolved | 2024-09-26 | obt 25 | |
| Necrosis of dental pulp | K04.1 | 234946006 | resolved | 2024-09-23 | bmp both canal 20-047 - Buccal over insturmented | |
| Dental pulp necrosis | — | 234946006 | resolved | 2024-09-17 | a/o | |
| Dental caries | — | 80967001 | resolved | 2021-08-31 | crown prep metal 38 | |
| Dental pulp necrosis | — | 234946006 | resolved | 2021-06-16 | obt 38 | |
| Dental pulp necrosis | — | 234946006 | resolved | 2021-06-12 | bmp | |
| Necrosis of dental pulp | K04.1 | 234946006 | resolved | 2021-06-08 | a/o 38 all three canals 25-04 till apex & hypo done |
Dental Procedures
Add Procedure| Procedure | SNOMED CT AU | CDT Code | Tooth | Date | Status | Notes | FHIR |
|---|---|---|---|---|---|---|---|
| Crown of tooth | 424311000 | — | ##38 | 2026-03-05 | completed | recementation with 38 | |
| Dental procedure (other) | 74964007 | D9999 Unspecified adjunctive procedure, by report | — | 2025-04-05 | completed | New Treatment Started | |
| Dental procedure (other) | 74964007 | D9999 Unspecified adjunctive procedure, by report | ##47, #48 | 2025-04-05 | completed | gingival abscess with 47 48, | |
| Crown of tooth | 424311000 | — | ##25 | 2024-10-07 | completed | CROWN CEM 25 | |
| Crown of tooth | 424311000 | D2750 Crown, porcelain fused to high noble metal | ##25 | 2024-09-28 | completed | crown pre metal 25 | |
| Root canal treatment | 234780006 | — | ##25 | 2024-09-26 | completed | obt 25 | |
| Root canal treatment | 234780006 | — | — | 2024-09-23 | completed | bmp both canal 20-047 - Buccal over insturmented | |
| Root canal treatment | 234780006 | — | — | 2024-09-17 | completed | a/o | |
| Root canal treatment | 234780006 | D3320 Endodontic therapy, premolar tooth | ##25 | 2024-09-17 | completed | a/o 25 20-04 pal canal- Buccal may be there | |
| Crown of tooth | 424311000 | D2750 Crown, porcelain fused to high noble metal | ##38 | 2021-08-31 | completed | crown prep metal 38 | |
| Root canal treatment | 234780006 | — | ##38 | 2021-06-16 | completed | obt 38 | |
| Root canal treatment | 234780006 | — | — | 2021-06-12 | completed | bmp | |
| Root canal treatment | 234780006 | D3330 Endodontic therapy, molar tooth | ##38 | 2021-06-08 | completed | a/o 38 all three canals 25-04 till apex & hypo done | |
| Dental procedure (other) | 74964007 | D9999 Unspecified adjunctive procedure, by report | — | 2020-03-07 | completed | fff |
Appointment History
Book Appointment| Date & Time | Status | Clinical Notes | FHIR |
|---|---|---|---|
| 2026-03-05 20:31 | fulfilled | recementation with 38 — Dr Hani | |
| 2025-04-05 12:30 | fulfilled | New Treatment Started — NULL | |
| 2025-04-05 12:30 | fulfilled | gingival abscess with 47 48, | |
| 2024-10-07 13:25 | fulfilled | CROWN CEM 25 — NULL | |
| 2024-09-28 13:02 | fulfilled | Dental visit — NULL | |
| 2024-09-28 13:00 | fulfilled | crown pre metal 25 — NULL | |
| 2024-09-26 13:54 | fulfilled | obt 25 — NULL | |
| 2024-09-23 14:32 | fulfilled | bmp both canal 20-047 - Buccal over insturmented — NULL | |
| 2024-09-23 14:32 | fulfilled | Dental visit — NULL | |
| 2024-09-17 13:43 | fulfilled | a/o 25 20-04 pal canal- Buccal may be there — NULL | |
| 2024-09-17 13:43 | fulfilled | a/o — NULL | |
| 2021-09-10 13:27 | fulfilled | Dental visit — NULL | |
| 2021-08-31 12:51 | fulfilled | Dental visit — NULL | |
| 2021-08-31 12:51 | fulfilled | crown prep metal 38 — NULL | |
| 2021-06-16 11:58 | fulfilled | obt 38 — NULL | |
| 2021-06-12 10:52 | fulfilled | Dental visit — NULL | |
| 2021-06-12 10:51 | fulfilled | bmp — NULL | |
| 2021-06-10 11:38 | fulfilled | Dental visit — NULL | |
| 2021-06-08 12:36 | fulfilled | Dental visit — NULL | |
| 2021-06-08 12:36 | fulfilled | a/o 38 all three canals 25-04 till apex & hypo done — NULL | |
| 2020-03-07 12:59 | fulfilled | fff — NULL |
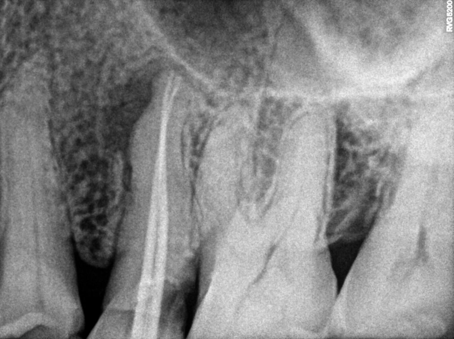
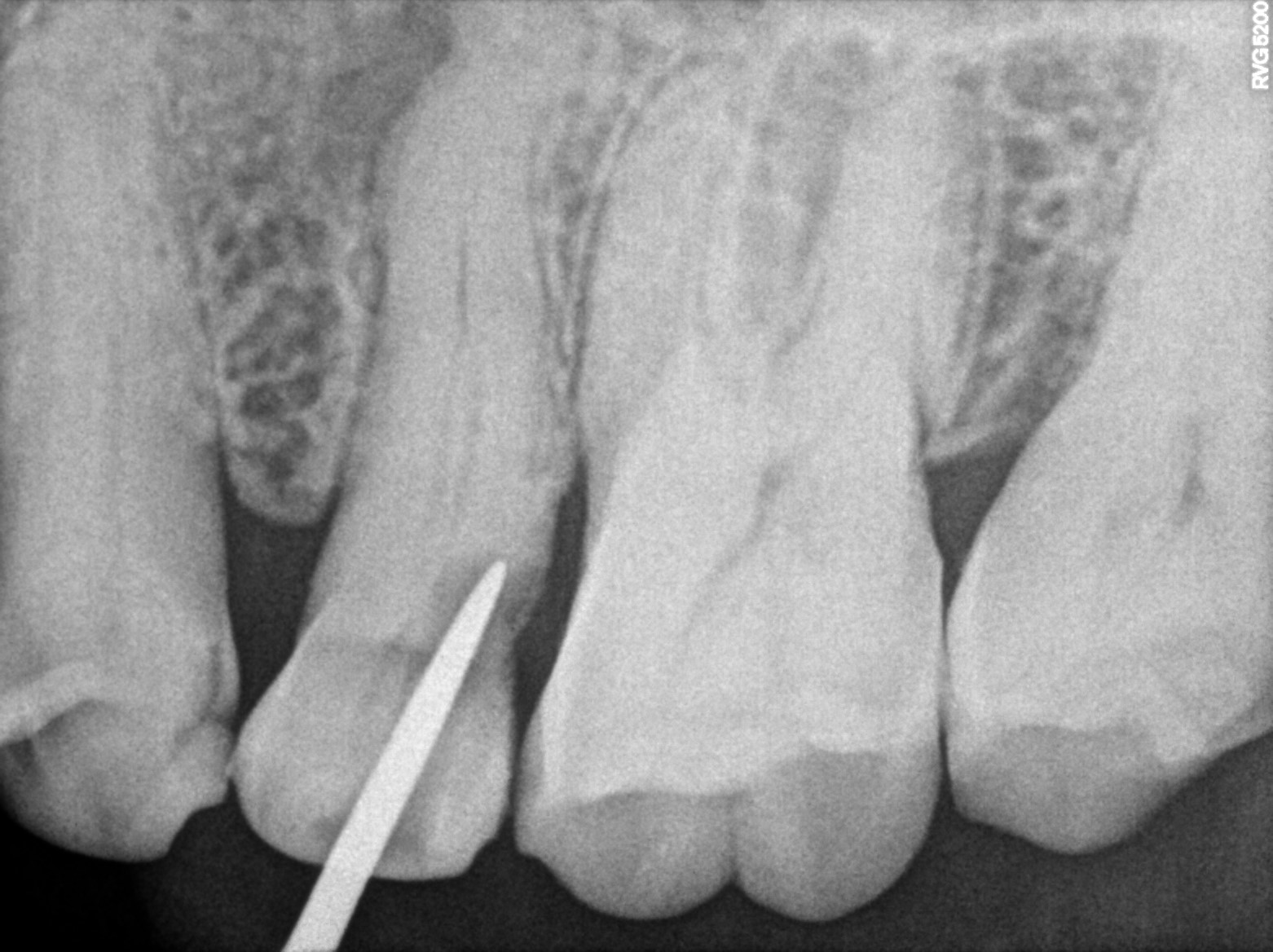
Dental Radiographs FHIR: DocumentReference · LOINC 24641-7
FHIR Bundle
R55.jpg
24641-7
R60.jpg
24641-7
R61.jpg
24641-7
R59.jpg
24641-7
R56.jpg
24641-7
Invoices FHIR R4 Invoice · INR
FHIR Bundle⁢₹11,500
Charged
₹11,500
Paid
₹10,000
Outstanding
| Date | Procedure | Charged (₹) | Paid (₹) | Balance (₹) | Mode | Status | FHIR |
|---|---|---|---|---|---|---|---|
| 2026-03-05 | Crown of tooth | 400 | 400 | 0 | cash | balanced | |
| 2025-04-05 | Dental procedure (other) | -400 | 0 | -400 | — | balanced | |
| 2024-10-07 | Crown of tooth | 0 | 2,000 | -2,000 | — | cancelled | |
| 2024-09-28 | Crown of tooth | 0 | 1,000 | -1,000 | — | cancelled | |
| 2024-09-26 | Root canal treatment | 0 | 1,000 | -1,000 | — | cancelled | |
| 2024-09-23 | Root canal treatment | 0 | 1,000 | -1,000 | — | cancelled | |
| 2024-09-17 | Root canal treatment | 6,000 | 1,000 | 5,000 | — | issued | |
| 2021-09-10 | Dental procedure | 0 | 1,500 | -1,500 | — | cancelled | |
| 2021-08-31 | Crown of tooth | 1,000 | 0 | 1,000 | — | issued | |
| 2021-06-16 | Root canal treatment | 0 | 600 | -600 | — | cancelled | |
| 2021-06-12 | Root canal treatment | 0 | 1,500 | -1,500 | — | cancelled | |
| 2021-06-10 | Dental procedure | 0 | 1,000 | -1,000 | — | cancelled | |
| 2021-06-08 | Root canal treatment | 500 | 0 | 500 | — | issued | |
| 2021-06-08 | Root canal treatment | 4,000 | 500 | 3,500 | — | issued |