Back to Patients
De-identified Patient
female
DOB: ••••-••-••
FHIR: Patient
Patient Information
FHIR: Patient
De-identified for demo. Identity fields are masked.
- Full Name
- De-identified
- Date of Birth
- ••••-••-••
- Gender
- female
- Phone
- ••••••••D)
- ••••@••••
- Address
- De-identified location
Quick Actions
17
Conditions
23
Procedures
35
Visits
19
Invoices
3
X-rays
Diagnosed Conditions
Add Condition| Condition | ICD-10-AM | SNOMED CT Ref. | Status | Onset | Notes | FHIR |
|---|---|---|---|---|---|---|
| Dental caries | — | 80967001 | resolved | 2026-03-09 | adv extn with 38- omfs | |
| Dental caries | — | 80967001 | resolved | 2026-03-02 | Cementation done with 16 17 | |
| Dental caries | — | 80967001 | resolved | 2026-02-23 | Re impression taken | |
| Dental caries | — | 80967001 | resolved | 2026-02-18 | Mta placed on pulpal floor, crown preparation done with 16 17 for metal crown | |
| Dental pulp necrosis | — | 234946006 | resolved | 2026-02-07 | db not found, mb2 and palatal obt done | |
| Dental pulp necrosis | — | 234946006 | resolved | 2026-02-05 | bmp mb2 20.04 and palatal 20.06 | |
| Chronic periodontitis, unspecified | K05.30 | 109600005 | resolved | 2026-02-02 | extn done with mobile crown fragment with 17 | |
| Necrosis of dental pulp | K04.1 | 234946006 | resolved | 2026-02-02 | adv extn of mobile fragment with 17@500 and re rct with 16@6500 followed by 2 unit bridge metal @3k and pfm @7k | |
| Dental caries | — | 80967001 | resolved | 2021-10-09 | permanent cementation 44 & 45 & & 13 & 14 & 15 & 12 & 11 & 21 & 22 & 23 & 24 & 25 | |
| Dental pulp necrosis | — | 234946006 | resolved | 2021-10-05 | obt 45 | |
| Dental caries | — | 80967001 | resolved | 2021-09-29 | zinc phosphate cemnetation 9unit- Joyti lab | |
| Dental pulp necrosis | — | 234946006 | resolved | 2021-09-15 | obt 11 & 21 & 22 & 23 | |
| Dental pulp necrosis | — | 234946006 | resolved | 2021-09-11 | a/o 11 25-06 | |
| Dental pulp necrosis | — | 234946006 | resolved | 2021-09-10 | a/o 21 & 22 & 23 21-20-06 till apex & 22 & 23-25-04 till apex | |
| Dental pulp necrosis | — | 234946006 | resolved | 2021-09-02 | obt 12 | |
| Dental pulp necrosis | — | 234946006 | resolved | 2021-08-30 | a/o 12 25-06 - 1mm short of apex- | |
| Dental caries | — | 80967001 | resolved | 2021-08-27 | 3 pfm and 3 clp @12k |
Dental Procedures
Add Procedure| Procedure | SNOMED CT AU | CDT Code | Tooth | Date | Status | Notes | FHIR |
|---|---|---|---|---|---|---|---|
| Dental consultation and report | 103697008 | D0140 Limited oral evaluation | ##38 | 2026-03-09 | completed | adv extn with 38- omfs | |
| Dental procedure (other) | 74964007 | D9999 Unspecified adjunctive procedure, by report | — | 2026-03-02 | completed | 2 unit metal | |
| Crown of tooth | 424311000 | — | ##16, #17 | 2026-03-02 | completed | Cementation done with 16 17 | |
| Dental prosthesis construction | 234783000 | D9999 Unspecified adjunctive procedure, by report | — | 2026-02-23 | completed | Re impression taken | |
| Crown of tooth | 424311000 | D2750 Crown, porcelain fused to high noble metal | ##16, #17 | 2026-02-18 | completed | Mta placed on pulpal floor, crown preparation done with 16 17 for metal crown | |
| Root canal treatment | 234780006 | — | — | 2026-02-07 | completed | db not found, mb2 and palatal obt done | |
| Root canal treatment | 234780006 | — | — | 2026-02-05 | completed | bmp mb2 20.04 and palatal 20.06 | |
| Root canal treatment | 234780006 | D3348 Retreatment of previous root canal therapy - molar | ##17, #16 | 2026-02-02 | completed | adv extn of mobile fragment with 17@500 and re rct with 16@6500 followed by 2 unit bridge metal @3k and pfm @7k | |
| Dental procedure (other) | 74964007 | D9999 Unspecified adjunctive procedure, by report | — | 2026-02-02 | completed | New Treatment Started | |
| Dental procedure (other) | 74964007 | D9999 Unspecified adjunctive procedure, by report | — | 2026-02-02 | completed | advance | |
| Tooth extraction | 424451000 | D7140 Extraction, erupted tooth or exposed root | ##17 | 2026-02-02 | completed | extn done with mobile crown fragment with 17 | |
| Root canal treatment | 234780006 | D3348 Retreatment of previous root canal therapy - molar | ##16 | 2026-02-02 | completed | re rct with 16, bmp palatal 25.04 2 stopper short file | |
| Crown of tooth | 424311000 | D2750 Crown, porcelain fused to high noble metal | ##44, #45, #13, #14, #15, #12, #11, #21, #22, #23, #24, #25 | 2021-10-09 | completed | permanent cementation 44 & 45 & & 13 & 14 & 15 & 12 & 11 & 21 & 22 & 23 & 24 & 25 | |
| Root canal treatment | 234780006 | D3320 Endodontic therapy, premolar tooth | ##45 | 2021-10-05 | completed | obt 45 | |
| Crown of tooth | 424311000 | — | — | 2021-09-29 | completed | zinc phosphate cemnetation 9unit- Joyti lab | |
| Root canal treatment | 234780006 | D3310 Endodontic therapy, anterior tooth | ##11, #21, #22, #23 | 2021-09-15 | completed | obt 11 & 21 & 22 & 23 | |
| Root canal treatment | 234780006 | D3310 Endodontic therapy, anterior tooth | ##11 | 2021-09-11 | completed | a/o 11 25-06 | |
| Root canal treatment | 234780006 | D3310 Endodontic therapy, anterior tooth | ##21, #22, #23 | 2021-09-10 | completed | a/o 21 & 22 & 23 21-20-06 till apex & 22 & 23-25-04 till apex | |
| Root canal treatment | 234780006 | — | ##12 | 2021-09-02 | completed | obt 12 | |
| Dental procedure (other) | 74964007 | D9999 Unspecified adjunctive procedure, by report | ##13, #14, #15 | 2021-09-02 | completed | clp 13 & 14 & 15 palatal | |
| Dental procedure (other) | 74964007 | D9999 Unspecified adjunctive procedure, by report | ##13, #14, #15 | 2021-08-30 | completed | clp 13 & 14 & 15 | |
| Root canal treatment | 234780006 | D3310 Endodontic therapy, anterior tooth | ##12 | 2021-08-30 | completed | a/o 12 25-06 - 1mm short of apex- | |
| Crown of tooth | 424311000 | — | — | 2021-08-27 | completed | 3 pfm and 3 clp @12k |
Appointment History
Book Appointment| Date & Time | Status | Clinical Notes | FHIR |
|---|---|---|---|
| 2026-03-09 12:49 | fulfilled | adv extn with 38- omfs — Dr Riyaz | |
| 2026-03-02 12:26 | fulfilled | Cementation done with 16 17 — Dr Riyaz | |
| 2026-03-02 12:25 | fulfilled | 2 unit metal | |
| 2026-02-23 12:01 | fulfilled | Re impression taken — Dr Riyaz | |
| 2026-02-23 11:50 | fulfilled | Dental visit — Dr Riyaz | |
| 2026-02-18 14:12 | fulfilled | Mta placed on pulpal floor, crown preparation done with 16 17 for metal crown — Dr Riyaz | |
| 2026-02-08 13:47 | fulfilled | Dental visit — Dr Riyaz | |
| 2026-02-07 13:00 | fulfilled | db not found, mb2 and palatal obt done — Dr Riyaz | |
| 2026-02-05 12:37 | fulfilled | bmp mb2 20.04 and palatal 20.06 — Dr Riyaz | |
| 2026-02-02 21:09 | fulfilled | Dental visit — Dr Riyaz | |
| 2026-02-02 20:51 | fulfilled | extn done with mobile crown fragment with 17 — Dr Riyaz | |
| 2026-02-02 20:51 | fulfilled | re rct with 16, bmp palatal 25.04 2 stopper short file — Dr Riyaz | |
| 2026-02-02 14:46 | fulfilled | advance — Dr Hani | |
| 2026-02-02 12:48 | fulfilled | adv extn of mobile fragment with 17@500 and re rct with 16@6500 followed by 2 unit bridge metal @3k — Dr Riyaz | |
| 2026-02-02 12:39 | fulfilled | New Treatment Started | |
| 2021-10-09 14:38 | fulfilled | Dental visit — NULL | |
| 2021-10-09 14:38 | fulfilled | permanent cementation 44 & 45 & & 13 & 14 & 15 & 12 & 11 & 21 & 22 & 23 & 24 & 25 — NULL | |
| 2021-10-05 15:05 | fulfilled | obt 45 — NULL | |
| 2021-09-29 17:04 | fulfilled | zinc phosphate cemnetation 9unit- Joyti lab — NULL | |
| 2021-09-29 17:04 | fulfilled | Dental visit — NULL | |
| 2021-09-25 17:04 | fulfilled | Dental visit — NULL | |
| 2021-09-15 15:23 | fulfilled | obt 11 & 21 & 22 & 23 — NULL | |
| 2021-09-15 15:21 | fulfilled | Dental visit — NULL | |
| 2021-09-11 14:16 | fulfilled | a/o 11 25-06 — NULL | |
| 2021-09-11 14:16 | fulfilled | Dental visit — NULL | |
| 2021-09-10 12:27 | fulfilled | Dental visit — NULL | |
| 2021-09-10 00:00 | fulfilled | a/o 21 & 22 & 23 21-20-06 till apex & 22 & 23-25-04 till apex — NULL | |
| 2021-09-07 15:15 | fulfilled | Dental visit — NULL | |
| 2021-09-02 15:42 | fulfilled | Dental visit — NULL | |
| 2021-09-02 14:26 | fulfilled | Dental visit — NULL | |
| 2021-09-02 14:26 | fulfilled | clp 13 & 14 & 15 palatal — NULL | |
| 2021-09-02 14:08 | fulfilled | obt 12 — NULL | |
| 2021-08-30 17:04 | fulfilled | a/o 12 25-06 - 1mm short of apex- — NULL | |
| 2021-08-30 17:02 | fulfilled | clp 13 & 14 & 15 — NULL | |
| 2021-08-27 16:06 | fulfilled | 3 pfm and 3 clp @12k — NULL |
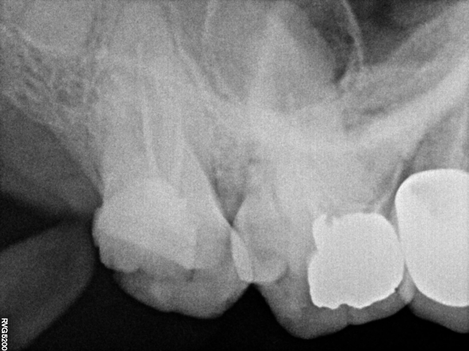
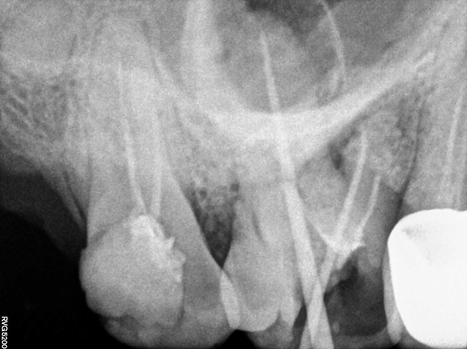
Dental Radiographs FHIR: DocumentReference · LOINC 24641-7
FHIR Bundle
xray_1773040794_0.jpg
24641-7
xray_1770449444_0.jpg
24641-7
xray_1770020722_0.jpg
24641-7
Invoices FHIR R4 Invoice · INR
FHIR Bundle⁢₹28,000
Charged
₹61,000
Paid
₹27,000
Outstanding
| Date | Procedure | Charged (₹) | Paid (₹) | Balance (₹) | Mode | Status | FHIR |
|---|---|---|---|---|---|---|---|
| 2026-03-02 | Crown of tooth | 3,000 | 0 | 3,000 | — | issued | |
| 2026-02-23 | Dental prosthesis construction | 0 | 3,000 | -3,000 | Tabassum | cancelled | |
| 2026-02-08 | Dental procedure | 0 | 2,500 | -2,500 | gpay | cancelled | |
| 2026-02-05 | Root canal treatment | 0 | 2,000 | -2,000 | tabassum | cancelled | |
| 2026-02-02 | Dental procedure (other) | 0 | 500 | -500 | tabssum | cancelled | |
| 2026-02-02 | Dental procedure (other) | 0 | 2,000 | -2,000 | Taba | cancelled | |
| 2026-02-02 | Dental procedure (other) | 6,500 | 0 | 6,500 | — | issued | |
| 2026-02-02 | Dental procedure (other) | 500 | 0 | 500 | — | issued | |
| 2021-10-09 | Crown of tooth | 0 | 3,000 | -3,000 | — | cancelled | |
| 2021-10-05 | Root canal treatment | 0 | 7,000 | -7,000 | — | cancelled | |
| 2021-09-29 | Crown of tooth | 0 | 8,000 | -8,000 | — | cancelled | |
| 2021-09-25 | Dental procedure | 0 | 10,000 | -10,000 | — | cancelled | |
| 2021-09-15 | Root canal treatment | 0 | 5,000 | -5,000 | — | cancelled | |
| 2021-09-11 | Root canal treatment | 0 | 5,500 | -5,500 | — | cancelled | |
| 2021-09-10 | Root canal treatment | 0 | 4,500 | -4,500 | — | cancelled | |
| 2021-09-07 | Dental procedure | 0 | 2,000 | -2,000 | — | cancelled | |
| 2021-09-02 | Dental procedure (other) | 0 | 5,000 | -5,000 | — | cancelled | |
| 2021-09-02 | Dental procedure (other) | 6,000 | 0 | 6,000 | — | issued | |
| 2021-08-27 | Crown of tooth | 12,000 | 1,000 | 11,000 | — | issued |