Back to Patients
De-identified Patient
male
DOB: ••••-••-••
FHIR: Patient
Patient Information
FHIR: Patient
De-identified for demo. Identity fields are masked.
- Full Name
- De-identified
- Date of Birth
- ••••-••-••
- Gender
- male
- Phone
- ••••••••75
- ••••@••••
- Address
- De-identified location
Quick Actions
2
Conditions
2
Procedures
4
Visits
2
Invoices
2
X-rays
Diagnosed Conditions
Add Condition| Condition | ICD-10-AM | SNOMED CT Ref. | Status | Onset | Notes | FHIR |
|---|---|---|---|---|---|---|
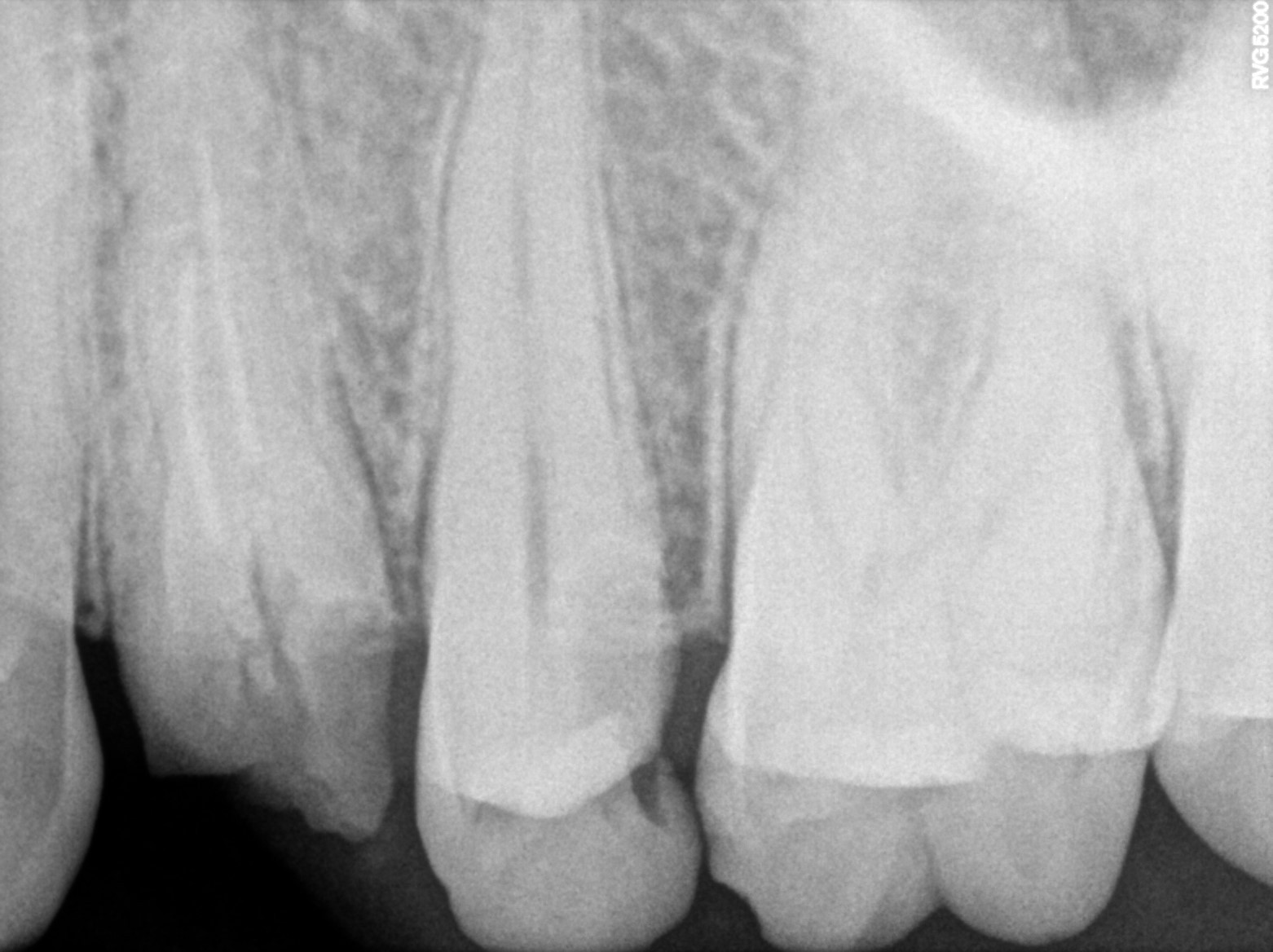
| Necrosis of dental pulp | K04.1 | 234946006 | resolved | 2026-03-04 | svrct done with 25 | |
| Necrosis of dental pulp | K04.1 | 234946006 | resolved | 2026-03-03 | adv rct with 25 |
Dental Procedures
Add Procedure| Procedure | SNOMED CT AU | CDT Code | Tooth | Date | Status | Notes | FHIR |
|---|---|---|---|---|---|---|---|
| Root canal treatment | 234780006 | — | ##25 | 2026-03-04 | completed | svrct done with 25 | |
| Root canal treatment | 234780006 | D3320 Endodontic therapy, premolar tooth | ##25 | 2026-03-03 | completed | adv rct with 25 |
Appointment History
Book Appointment| Date & Time | Status | Clinical Notes | FHIR |
|---|---|---|---|
| 2026-03-04 12:10 | fulfilled | Dental visit — Dr Riyaz | |
| 2026-03-04 11:56 | fulfilled | svrct done with 25 — Dr Riyaz | |
| 2026-03-03 20:57 | fulfilled | Dental visit — Dr Riyaz | |
| 2026-03-03 20:23 | fulfilled | adv rct with 25 — Dr Hani |
Dental Radiographs FHIR: DocumentReference · LOINC 24641-7
FHIR Bundle
xray_1772549628_0.jpg
24641-7
xray_1772549628_1.jpg
24641-7
Invoices FHIR R4 Invoice · INR
FHIR Bundle⁢₹4,500
Charged
₹4,500
Paid
₹1,000
Outstanding
| Date | Procedure | Charged (₹) | Paid (₹) | Balance (₹) | Mode | Status | FHIR |
|---|---|---|---|---|---|---|---|
| 2026-03-04 | Root canal treatment | 4,500 | 3,500 | 1,000 | tabassum | issued | |
| 2026-03-03 | Root canal treatment | 0 | 1,000 | -1,000 | tabassum | cancelled |