Back to Patients
De-identified Patient
male
DOB: ••••-••-••
FHIR: Patient
Patient Information
FHIR: Patient
De-identified for demo. Identity fields are masked.
- Full Name
- De-identified
- Date of Birth
- ••••-••-••
- Gender
- male
- Phone
- ••••••••D)
- ••••@••••
- Address
- De-identified location
Quick Actions
7
Conditions
8
Procedures
8
Visits
0
Invoices
13
X-rays
Diagnosed Conditions
Add Condition| Condition | ICD-10-AM | SNOMED CT Ref. | Status | Onset | Notes | FHIR |
|---|---|---|---|---|---|---|
| Dental caries | — | 80967001 | resolved | 2026-03-17 | cementation done with 36 | |
| Dental caries | — | 80967001 | resolved | 2026-03-13 | dtech done with 36, crown prep done with 36 metal crown | |
| Dental pulp necrosis | — | 234946006 | resolved | 2026-03-09 | obt done with 36, next appt dtech and crown prep for metal crown | |
| Dental pulp necrosis | — | 234946006 | resolved | 2026-03-06 | bmp mb 20.04,ml db dl 25.04 till apex | |
| Dental pulp necrosis | — | 234946006 | resolved | 2026-03-04 | bmp- mb 20.04 coronal 1/3rd ml 20k till apex db and dl 20.04 1 mm short of apex working length long file 3 stopper | |
| Necrosis of dental pulp | K04.1 | 234946006 | resolved | 2026-02-28 | Bmp 20k till apex both the canals | |
| Dental pulp necrosis | — | 234946006 | resolved | 2026-02-27 | a/o with 36, bmp distal 20k 1 mm short of apex and mb 10k till apex, ml to be negotiated |
Dental Procedures
Add Procedure| Procedure | SNOMED CT AU | CDT Code | Tooth | Date | Status | Notes | FHIR |
|---|---|---|---|---|---|---|---|
| Crown of tooth | 424311000 | D2750 Crown, porcelain fused to high noble metal | ##36 | 2026-03-17 | completed | cementation done with 36 | |
| Dental filling | 180534004 | D2391 Resin composite - one surface, posterior | ##36 | 2026-03-13 | completed | dtech done with 36, crown prep done with 36 metal crown | |
| Root canal treatment | 234780006 | — | ##36 | 2026-03-09 | completed | obt done with 36, next appt dtech and crown prep for metal crown | |
| Root canal treatment | 234780006 | D3330 Endodontic therapy, molar tooth | ##25 | 2026-03-06 | completed | bmp mb 20.04,ml db dl 25.04 till apex | |
| Root canal treatment | 234780006 | — | — | 2026-03-04 | completed | bmp- mb 20.04 coronal 1/3rd ml 20k till apex db and dl 20.04 1 mm short of apex working length long file 3 stopper | |
| Root canal treatment | 234780006 | — | — | 2026-02-28 | completed | Bmp 20k till apex both the canals | |
| Root canal treatment | 234780006 | D3330 Endodontic therapy, molar tooth | ##36 | 2026-02-27 | completed | a/o with 36, bmp distal 20k 1 mm short of apex and mb 10k till apex, ml to be negotiated | |
| Root canal treatment | 234780006 | D3310 Endodontic therapy, anterior tooth | ##22 | 2026-02-27 | completed | distal working length 22 mm, mb short file 1 stopper |
Appointment History
Book Appointment| Date & Time | Status | Clinical Notes | FHIR |
|---|---|---|---|
| 2026-03-17 12:29 | fulfilled | cementation done with 36 — Dr Hani | |
| 2026-03-13 13:06 | fulfilled | dtech done with 36, crown prep done with 36 metal crown — Dr Hani | |
| 2026-03-09 12:43 | fulfilled | obt done with 36, next appt dtech and crown prep for metal crown — Dr Hani | |
| 2026-03-06 12:59 | fulfilled | bmp mb 20.04,ml db dl 25.04 till apex — Dr Hani | |
| 2026-03-04 14:01 | fulfilled | bmp- mb 20.04 coronal 1/3rd ml 20k till apex db and dl 20.04 1 mm short of apex working length long — Dr Hani | |
| 2026-02-28 21:01 | fulfilled | Bmp 20k till apex both the canals — Dr Hani | |
| 2026-02-27 13:45 | fulfilled | distal working length 22 mm, mb short file 1 stopper | |
| 2026-02-27 13:25 | fulfilled | a/o with 36, bmp distal 20k 1 mm short of apex and mb 10k till apex, ml to be negotiated — Dr Hani |
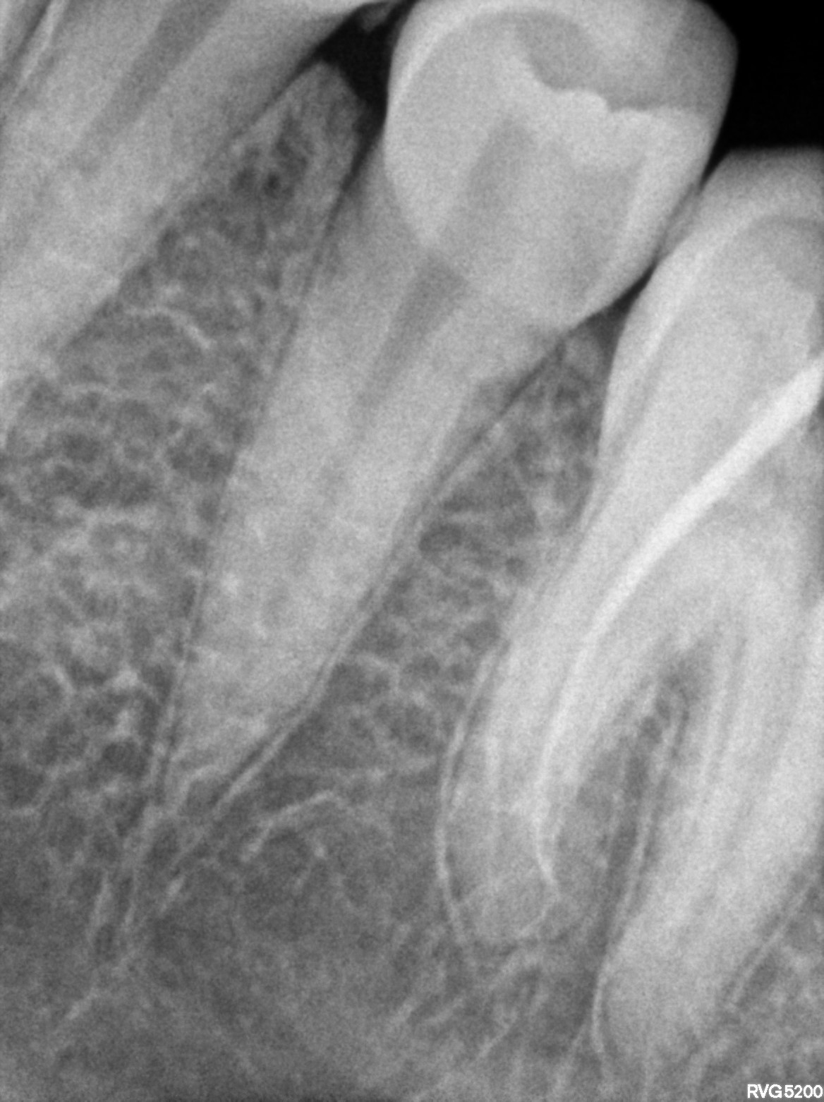
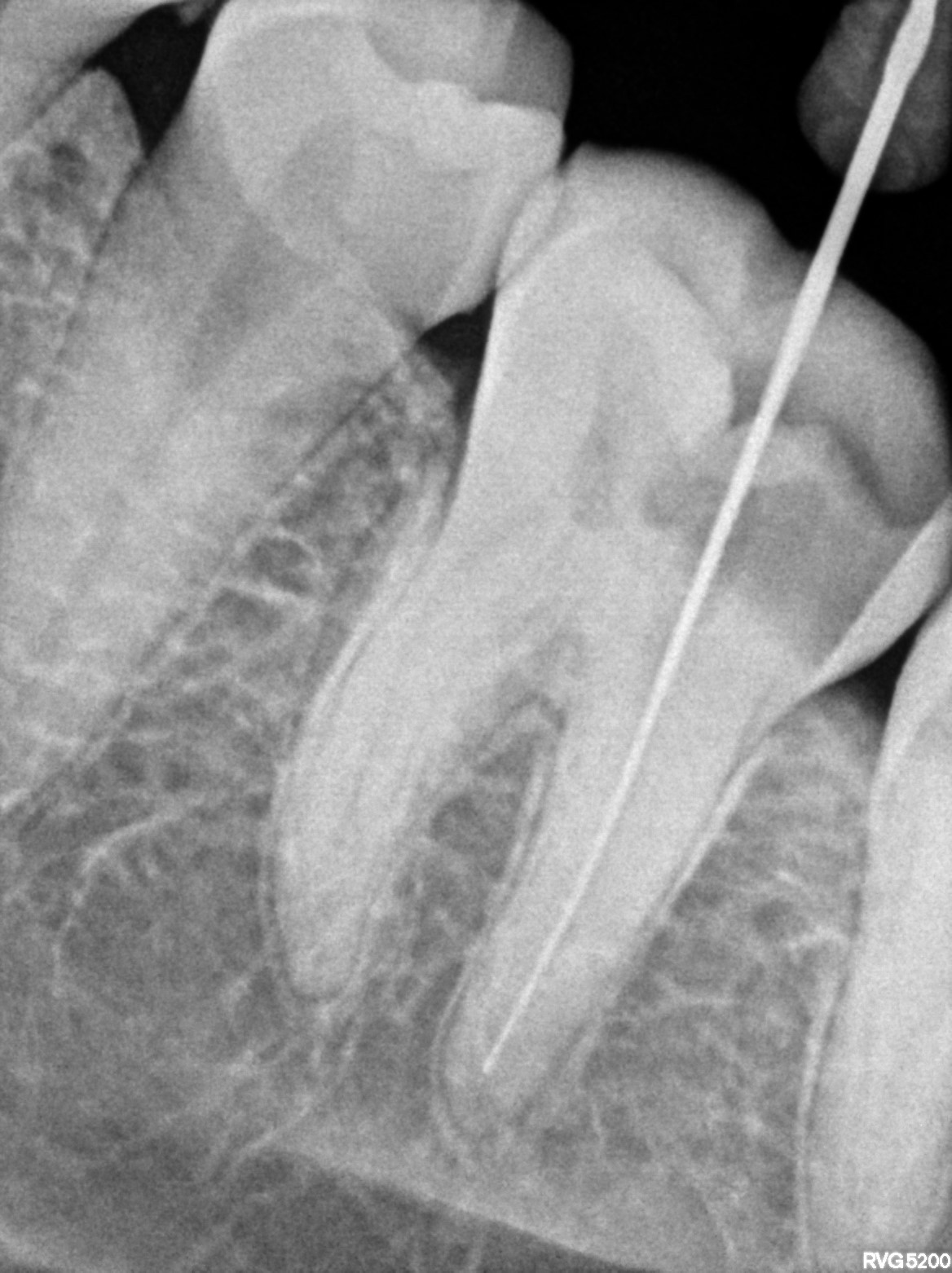
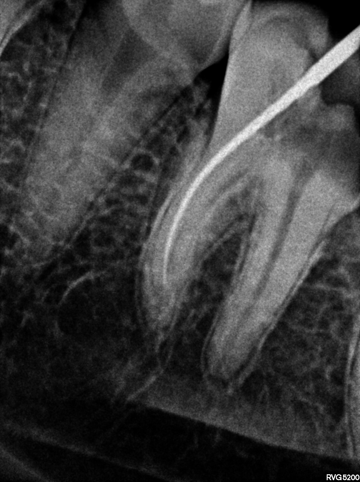
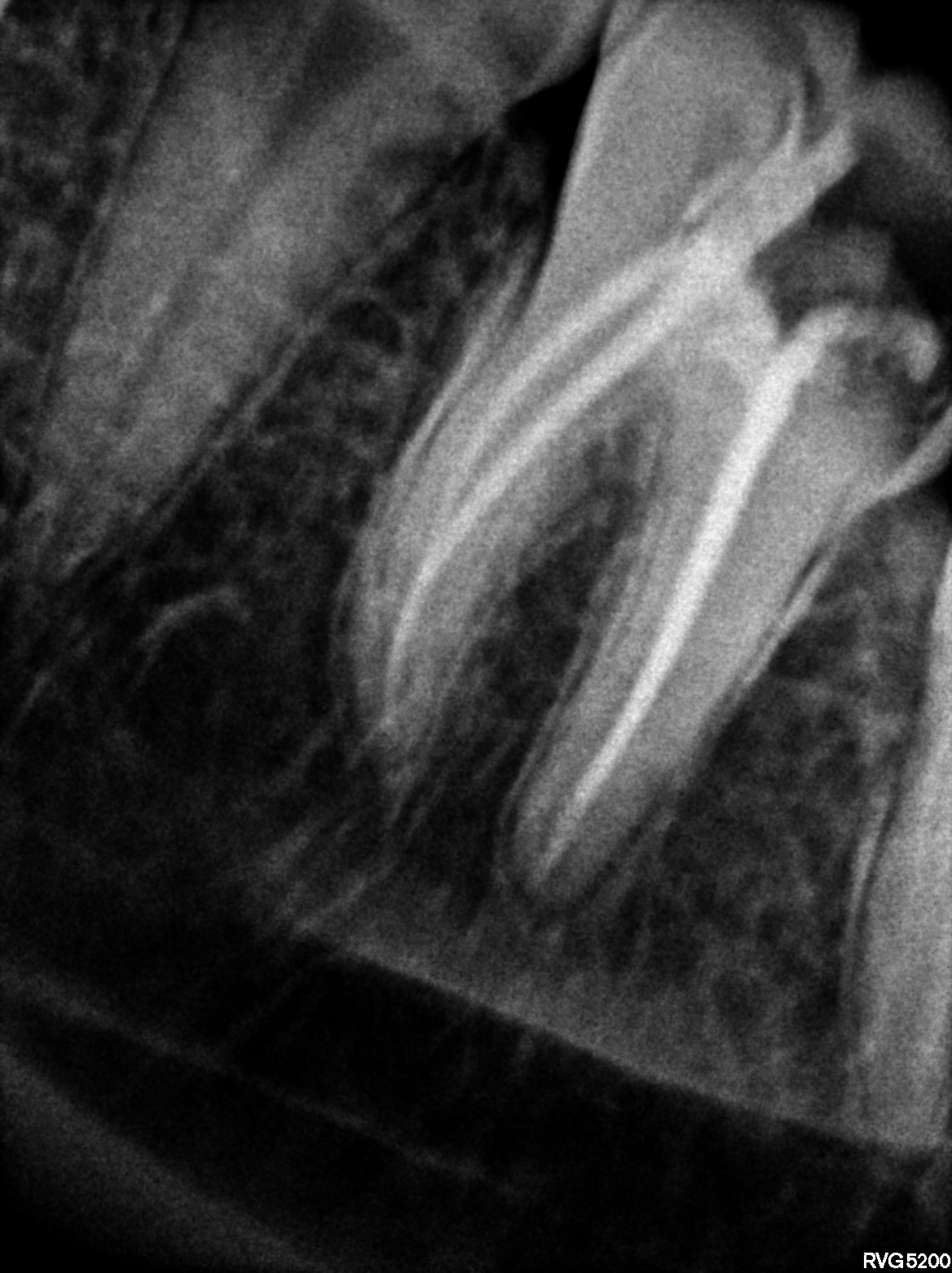
Dental Radiographs FHIR: DocumentReference · LOINC 24641-7
FHIR Bundle
xray_1772180286_0.jpg
24641-7
xray_1772613109_4.jpg
24641-7
xray_1772613108_3.jpg
24641-7
xray_1772782008_2.jpg
24641-7
xray_1772613108_2.jpg
24641-7
xray_1772180286_1.jpg
24641-7
xray_1772782008_0.jpg
24641-7
xray_1772613108_0.jpg
24641-7
xray_1772782008_1.jpg
24641-7
xray_1772613108_1.jpg
24641-7
xray_1773040469_0.jpg
24641-7
xray_1772782152_0.jpg
24641-7
xray_1772180352_0.jpg
24641-7
Invoices FHIR R4 Invoice · INR
FHIR BundleNo invoices recorded.