Back to Patients
De-identified Patient
female
DOB: ••••-••-••
FHIR: Patient
Patient Information
FHIR: Patient
De-identified for demo. Identity fields are masked.
- Full Name
- De-identified
- Date of Birth
- ••••-••-••
- Gender
- female
- Phone
- ••••••••D)
- ••••@••••
- Address
- De-identified location
Quick Actions
6
Conditions
6
Procedures
6
Visits
0
Invoices
11
X-rays
Diagnosed Conditions
Add Condition| Condition | ICD-10-AM | SNOMED CT Ref. | Status | Onset | Notes | FHIR |
|---|---|---|---|---|---|---|
| Dental caries | — | 80967001 | resolved | 2026-03-19 | cementation done with 27 | |
| Dental caries | — | 80967001 | resolved | 2026-03-17 | dtech done 27, crown prep done for metal crown | |
| Dental pulp necrosis | — | 234946006 | resolved | 2026-03-14 | obt done with 27 | |
| Dental pulp necrosis | — | 234946006 | resolved | 2026-03-11 | bmp 20.04 db till apex 2.5 stopper wl | |
| Dental pulp necrosis | — | 234946006 | resolved | 2026-03-09 | Bmp mb 25.04 till apex. Over instrumentation 0.5 mm with 20k | |
| Necrosis of dental pulp | K04.1 | 234946006 | resolved | 2026-03-06 | a/o with 27, palatal canal found bmp palatal canal 25.04 till apex |
Dental Procedures
Add Procedure| Procedure | SNOMED CT AU | CDT Code | Tooth | Date | Status | Notes | FHIR |
|---|---|---|---|---|---|---|---|
| Crown of tooth | 424311000 | D2750 Crown, porcelain fused to high noble metal | ##27 | 2026-03-19 | completed | cementation done with 27 | |
| Dental filling | 180534004 | D2391 Resin composite - one surface, posterior | ##27 | 2026-03-17 | completed | dtech done 27, crown prep done for metal crown | |
| Root canal treatment | 234780006 | — | ##27 | 2026-03-14 | completed | obt done with 27 | |
| Root canal treatment | 234780006 | — | — | 2026-03-11 | completed | bmp 20.04 db till apex 2.5 stopper wl | |
| Root canal treatment | 234780006 | D3330 Endodontic therapy, molar tooth | ##25 | 2026-03-09 | completed | Bmp mb 25.04 till apex. Over instrumentation 0.5 mm with 20k | |
| Root canal treatment | 234780006 | D3330 Endodontic therapy, molar tooth | ##27 | 2026-03-06 | completed | a/o with 27, palatal canal found bmp palatal canal 25.04 till apex |
Appointment History
Book Appointment| Date & Time | Status | Clinical Notes | FHIR |
|---|---|---|---|
| 2026-03-19 20:55 | fulfilled | cementation done with 27 — Dr Hani | |
| 2026-03-17 21:22 | fulfilled | dtech done 27, crown prep done for metal crown — Dr Hani | |
| 2026-03-14 21:40 | fulfilled | obt done with 27 — Dr Hani | |
| 2026-03-11 22:23 | fulfilled | bmp 20.04 db till apex 2.5 stopper wl — Dr Hani | |
| 2026-03-09 22:33 | fulfilled | Bmp mb 25.04 till apex. Over instrumentation 0.5 mm with 20k — Dr Hani | |
| 2026-03-06 22:22 | fulfilled | a/o with 27, palatal canal found bmp palatal canal 25.04 till apex — Dr Hani |
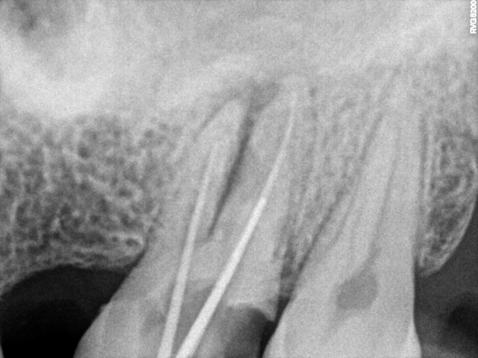
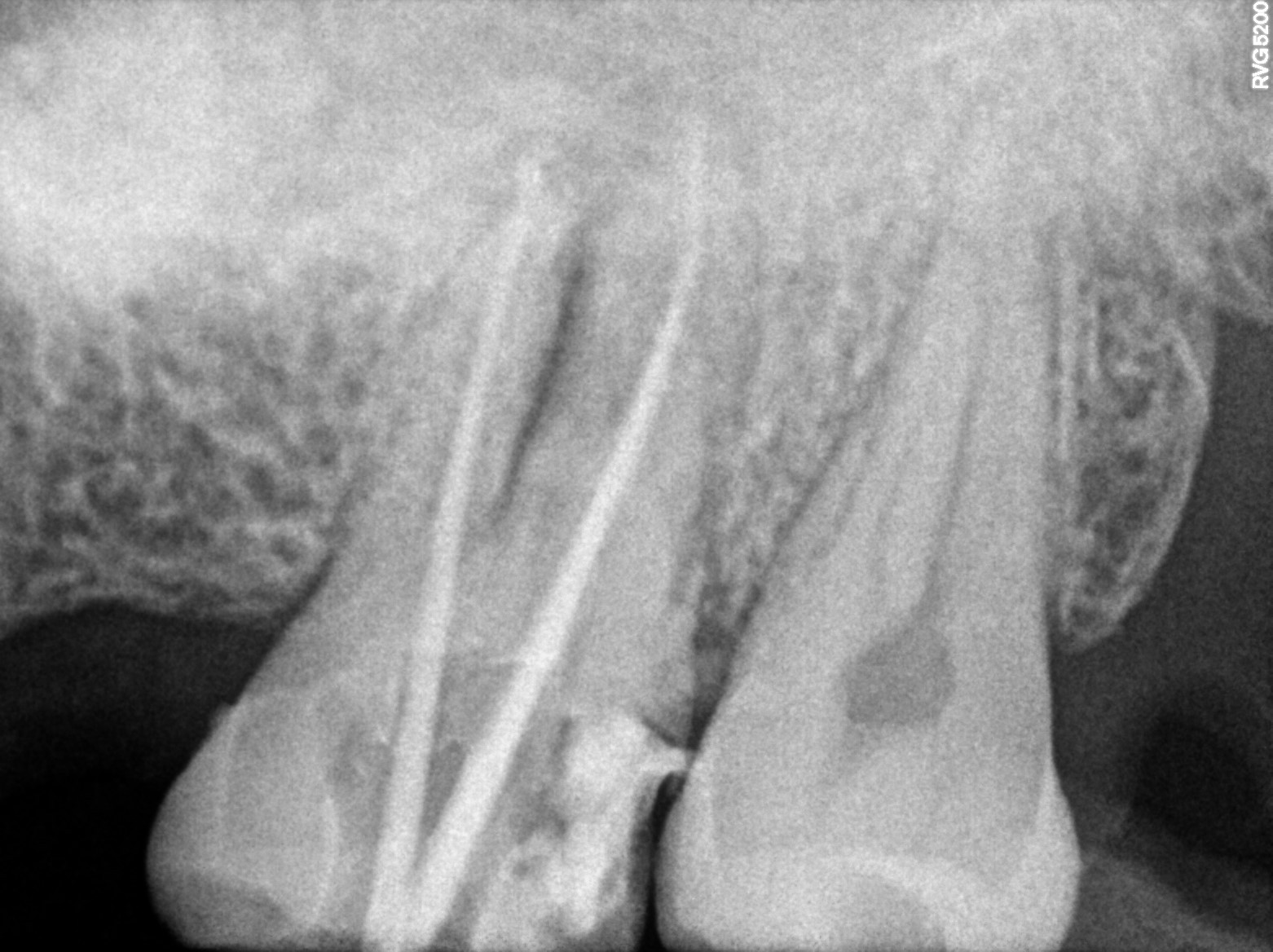
Dental Radiographs FHIR: DocumentReference · LOINC 24641-7
FHIR Bundle
xray_1772815944_1.jpg
24641-7
xray_1773248555_0.jpg
24641-7
xray_1773075490_1.jpg
24641-7
xray_1773504556_0.jpg
24641-7
xray_1772727985_1.jpg
24641-7
xray_1773075490_0.jpg
24641-7
xray_1773504647_0.jpg
24641-7
xray_1772727985_0.jpg
24641-7
xray_1773248012_0.jpg
24641-7
xray_1772815944_0.jpg
24641-7
xray_1773933794_0.jpg
24641-7
Invoices FHIR R4 Invoice · INR
FHIR BundleNo invoices recorded.