Back to Patients
De-identified Patient
male
DOB: ••••-••-••
FHIR: Patient
Patient Information
FHIR: Patient
De-identified for demo. Identity fields are masked.
- Full Name
- De-identified
- Date of Birth
- ••••-••-••
- Gender
- male
- Phone
- ••••••••D)
- ••••@••••
- Address
- De-identified location
Quick Actions
12
Conditions
15
Procedures
20
Visits
9
Invoices
6
X-rays
Diagnosed Conditions
Add Condition| Condition | ICD-10-AM | SNOMED CT Ref. | Status | Onset | Notes | FHIR |
|---|---|---|---|---|---|---|
| Dental pulp necrosis | — | 234946006 | resolved | 2026-03-04 | obt 46 | |
| Necrosis of dental pulp | K04.1 | 234946006 | resolved | 2026-02-27 | Mesial root obturated, distal root to be obturated in next appointment | |
| Necrosis of dental pulp | K04.1 | 234946006 | resolved | 2026-02-23 | A/o 36, BMP Mesial 25.04 two canals and distal 25.06 one canal///working length mesial short file 2.5 stopper and distal short file 2.5 stopper | |
| Necrosis of dental pulp | K04.1 | 234946006 | resolved | 2026-02-05 | adv rct with 43 44 | |
| Dental caries | — | 80967001 | resolved | 2024-10-03 | cementation with 35 | |
| Dental caries | — | 80967001 | resolved | 2024-09-28 | cutting with 35 & pfm & a3 | |
| Dental pulp necrosis | — | 234946006 | resolved | 2024-09-19 | obt done | |
| Dental pulp necrosis | — | 234946006 | resolved | 2024-09-17 | a/o with 35 & bmp-30-06 & hypo done | |
| Dental caries | — | 80967001 | resolved | 2023-09-23 | 45 dtech done & pfm crown cutting & impression taken & shade a3 | |
| Dental pulp necrosis | — | 234946006 | resolved | 2023-09-20 | 45 obt done | |
| Dental pulp necrosis | — | 234946006 | resolved | 2023-09-18 | bmp 30-06 & hypo done | |
| Dental pulp necrosis | — | 234946006 | resolved | 2023-09-11 | a/o 45 |
Dental Procedures
Add Procedure| Procedure | SNOMED CT AU | CDT Code | Tooth | Date | Status | Notes | FHIR |
|---|---|---|---|---|---|---|---|
| Root canal treatment | 234780006 | D3330 Endodontic therapy, molar tooth | ##46 | 2026-03-04 | completed | obt 46 | |
| Root canal treatment | 234780006 | — | — | 2026-02-27 | completed | Mesial root obturated, distal root to be obturated in next appointment | |
| Root canal treatment | 234780006 | D3330 Endodontic therapy, molar tooth | ##36 | 2026-02-23 | completed | A/o 36, BMP Mesial 25.04 two canals and distal 25.06 one canal///working length mesial short file 2.5 stopper and distal short file 2.5 stopper | |
| Root canal treatment | 234780006 | D3310 Endodontic therapy, anterior tooth | ##43, #44 | 2026-02-05 | completed | adv rct with 43 44 | |
| Dental procedure (other) | 74964007 | D9999 Unspecified adjunctive procedure, by report | — | 2026-02-05 | completed | New treatment started | |
| Crown of tooth | 424311000 | — | ##35 | 2024-10-03 | completed | cementation with 35 | |
| Dental procedure (other) | 74964007 | D9999 Unspecified adjunctive procedure, by report | — | 2024-09-28 | completed | cuttind | |
| Crown of tooth | 424311000 | D2750 Crown, porcelain fused to high noble metal | ##35 | 2024-09-28 | completed | cutting with 35 & pfm & a3 | |
| Root canal treatment | 234780006 | — | — | 2024-09-19 | completed | obt done | |
| Root canal treatment | 234780006 | D3320 Endodontic therapy, premolar tooth | ##35 | 2024-09-17 | completed | a/o with 35 & bmp-30-06 & hypo done | |
| Dental procedure (other) | 74964007 | D9999 Unspecified adjunctive procedure, by report | — | 2023-10-03 | completed | @gpay noorain | |
| Dental filling | 180534004 | D2391 Resin composite - one surface, posterior | ##45 | 2023-09-23 | completed | 45 dtech done & pfm crown cutting & impression taken & shade a3 | |
| Root canal treatment | 234780006 | — | ##45 | 2023-09-20 | completed | 45 obt done | |
| Root canal treatment | 234780006 | — | — | 2023-09-18 | completed | bmp 30-06 & hypo done | |
| Root canal treatment | 234780006 | D3320 Endodontic therapy, premolar tooth | ##45 | 2023-09-11 | completed | a/o 45 |
Appointment History
Book Appointment| Date & Time | Status | Clinical Notes | FHIR |
|---|---|---|---|
| 2026-03-04 20:27 | fulfilled | obt 46 — Dr Riyaz | |
| 2026-03-04 20:27 | fulfilled | Dental visit | |
| 2026-02-27 20:21 | fulfilled | Mesial root obturated, distal root to be obturated in next appointment — Dr Riyaz | |
| 2026-02-23 22:30 | fulfilled | Dental visit — Dr Riyaz | |
| 2026-02-23 21:31 | fulfilled | A/o 36, BMP Mesial 25.04 two canals and distal 25.06 one canal///working length mesial short file 2. — Dr Riyaz | |
| 2026-02-05 21:53 | fulfilled | adv rct with 43 44 | |
| 2026-02-05 20:22 | fulfilled | New treatment started | |
| 2024-10-03 22:23 | fulfilled | cementation with 35 — NULL | |
| 2024-09-28 22:04 | fulfilled | cutting with 35 & pfm & a3 — NULL | |
| 2024-09-28 22:03 | fulfilled | cuttind — NULL | |
| 2024-09-19 20:34 | fulfilled | Dental visit — NULL | |
| 2024-09-19 20:34 | fulfilled | obt done — NULL | |
| 2024-09-17 13:03 | fulfilled | a/o with 35 & bmp-30-06 & hypo done — NULL | |
| 2023-10-03 19:05 | fulfilled | @gpay noorain — NULL | |
| 2023-09-23 14:12 | fulfilled | 45 dtech done & pfm crown cutting & impression taken & shade a3 — NULL | |
| 2023-09-20 12:34 | fulfilled | 45 obt done — NULL | |
| 2023-09-18 14:56 | fulfilled | Dental visit — NULL | |
| 2023-09-18 12:33 | fulfilled | bmp 30-06 & hypo done — NULL | |
| 2023-09-11 14:20 | fulfilled | a/o 45 — NULL | |
| 2023-09-11 14:20 | fulfilled | Dental visit — NULL |
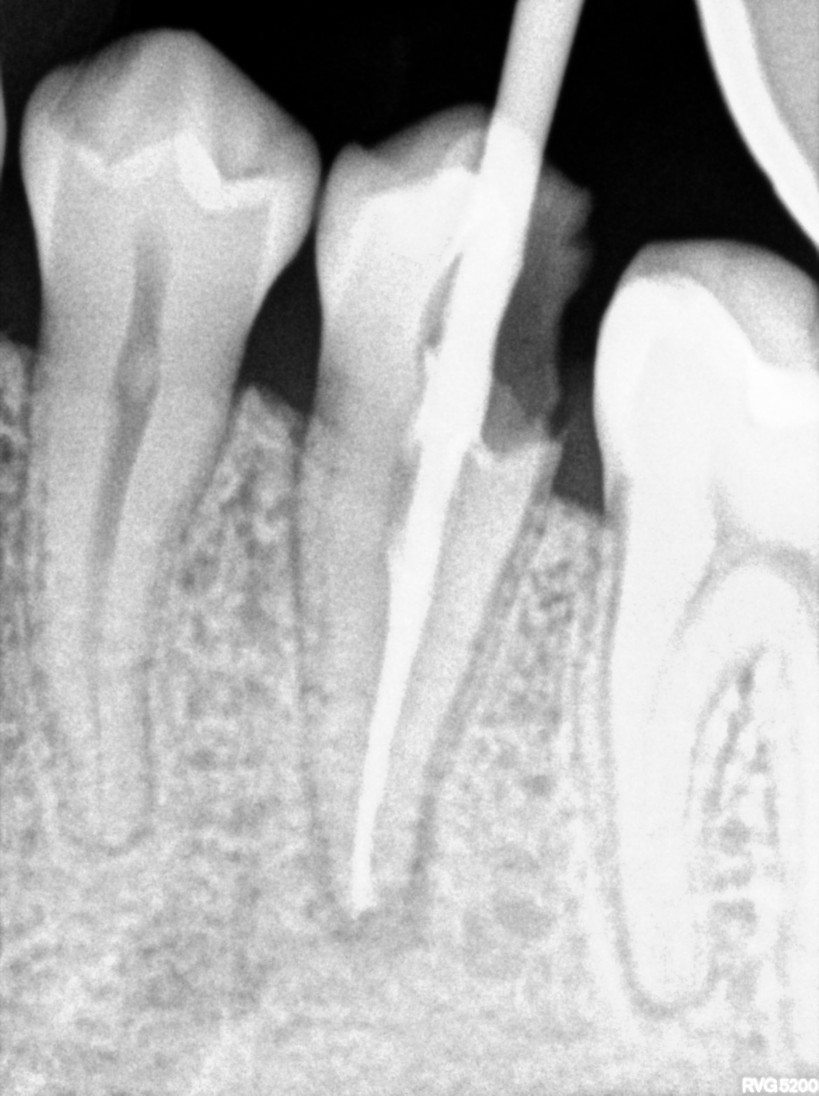
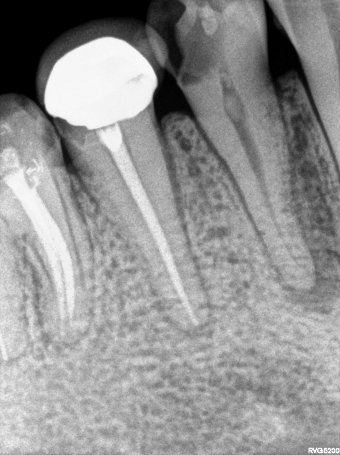
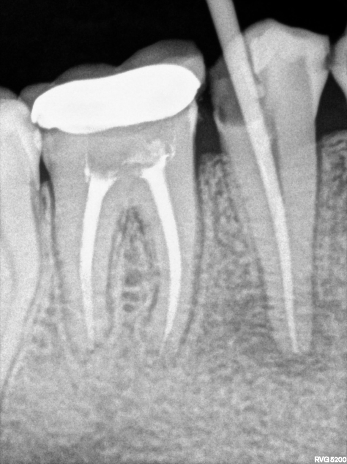
Dental Radiographs FHIR: DocumentReference · LOINC 24641-7
FHIR Bundle
xray_1772203508_0.jpg
24641-7
R55.jpg
24641-7
xray_1770308600_0.jpg
24641-7
R59.jpg
24641-7
R63.jpg
24641-7
xray_1770308600_1.jpg
24641-7
Invoices FHIR R4 Invoice · INR
FHIR Bundle⁢₹18,500
Charged
₹14,500
Paid
₹14,500
Outstanding
| Date | Procedure | Charged (₹) | Paid (₹) | Balance (₹) | Mode | Status | FHIR |
|---|---|---|---|---|---|---|---|
| 2026-03-04 | Root canal treatment | 0 | 1,000 | -1,000 | cash | cancelled | |
| 2026-02-27 | Root canal treatment | 4,500 | 1,500 | 3,000 | Cash | issued | |
| 2026-02-23 | Root canal treatment | 0 | 1,500 | -1,500 | Cash | cancelled | |
| 2024-09-28 | Crown of tooth | 3,500 | 0 | 3,500 | — | issued | |
| 2024-09-19 | Root canal treatment | 0 | 2,500 | -2,500 | — | cancelled | |
| 2024-09-17 | Root canal treatment | 3,500 | 1,000 | 2,500 | — | issued | |
| 2023-10-03 | Dental procedure (other) | 0 | 3,500 | -3,500 | — | cancelled | |
| 2023-09-18 | Root canal treatment | 0 | 2,000 | -2,000 | — | cancelled | |
| 2023-09-11 | Root canal treatment | 7,000 | 1,500 | 5,500 | — | issued |