Back to Patients
De-identified Patient
female
DOB: ••••-••-••
FHIR: Patient
Patient Information
FHIR: Patient
De-identified for demo. Identity fields are masked.
- Full Name
- De-identified
- Date of Birth
- ••••-••-••
- Gender
- female
- Phone
- ••••••••54
- ••••@••••
- Address
- De-identified location
Quick Actions
19
Conditions
26
Procedures
32
Visits
24
Invoices
7
X-rays
Diagnosed Conditions
Add Condition| Condition | ICD-10-AM | SNOMED CT Ref. | Status | Onset | Notes | FHIR |
|---|---|---|---|---|---|---|
| Dental caries, unspecified | K02.9 | 80967001 | resolved | 2026-03-04 | 46 TYPE IX CLASS 2 | |
| Necrosis of dental pulp | K04.1 | 234946006 | resolved | 2026-03-04 | ADV RCT WITH 36 37 | |
| Dental caries | — | 80967001 | resolved | 2025-08-25 | dtech with 48 | |
| Dental caries | — | 80967001 | resolved | 2025-05-29 | crown cem 16 metal | |
| Dental caries | — | 80967001 | resolved | 2025-05-22 | crown prep metal 26 | |
| Dental pulp necrosis | — | 234946006 | resolved | 2025-05-16 | obt 26 | |
| Dental pulp necrosis | — | 234946006 | resolved | 2025-05-12 | a/o with 26,bmpbuccal-20.04,p-20.06,hypo done | |
| Dental caries | — | 80967001 | resolved | 2025-04-25 | dtech 27 as temp, enameloplasty 47,48 | |
| Necrosis of dental pulp | K04.1 | 234946006 | resolved | 2025-03-11 | adv rct 27 @ 7k to 8k for metal | |
| Dental caries, unspecified | K02.9 | 80967001 | resolved | 2023-06-05 | dtech 47 - Adv crown or amalgam on next visit | |
| Dental caries, unspecified | K02.9 | 80967001 | resolved | 2021-01-15 | composite por 47- told crown not needed to avoid food lodgment and because of small crown | |
| Dental pulp necrosis | — | 234946006 | resolved | 2021-01-04 | obt 47 | |
| Dental pulp necrosis | — | 234946006 | resolved | 2020-12-31 | a/o 47 mesial 25-04 & distal 25-04 | |
| Necrosis of dental pulp | K04.1 | 234946006 | resolved | 2020-10-27 | composite 47- adv rct and cap if filling breaks- Cap not done because cap is difficult to make | |
| Dental caries | — | 80967001 | resolved | 2020-10-20 | type ix 47 / adv metal cap 47 & 48@1500 each | |
| Gingivitis | — | 39224006 | resolved | 2019-06-13 | 47 48 enamelopasty done | |
| Deposits on teeth | K03.6 | 109606002 | resolved | 2019-02-08 | scaling and enameloplast done @ 47 and 48 - Adve xt 48 if not relived | |
| Dental caries | — | 80967001 | resolved | 2017-08-21 | crown cut andf removed 48 | |
| Impacted teeth | K01.1 | 109609009 | resolved | 2017-08-21 | adv ext 38 & 48 - Both impacted |
Dental Procedures
Add Procedure| Procedure | SNOMED CT AU | CDT Code | Tooth | Date | Status | Notes | FHIR |
|---|---|---|---|---|---|---|---|
| Dental filling | 180534004 | D2940 Protective restoration (GIC) | ##46 | 2026-03-04 | completed | 46 TYPE IX CLASS 2 | |
| Root canal treatment | 234780006 | D3330 Endodontic therapy, molar tooth | ##36, #37 | 2026-03-04 | completed | ADV RCT WITH 36 37 | |
| Dental filling | 180534004 | D2391 Resin composite - one surface, posterior | ##48 | 2025-08-25 | completed | dtech with 48 | |
| Crown of tooth | 424311000 | D2750 Crown, porcelain fused to high noble metal | ##16 | 2025-05-29 | completed | crown cem 16 metal | |
| Crown of tooth | 424311000 | — | ##26 | 2025-05-29 | completed | crown cementation 26 | |
| Crown of tooth | 424311000 | D2750 Crown, porcelain fused to high noble metal | ##26 | 2025-05-22 | completed | crown prep metal 26 | |
| Dental procedure (other) | 74964007 | D9999 Unspecified adjunctive procedure, by report | — | 2025-05-16 | completed | moh | |
| Root canal treatment | 234780006 | — | ##26 | 2025-05-16 | completed | obt 26 | |
| Root canal treatment | 234780006 | D3330 Endodontic therapy, molar tooth | ##26 | 2025-05-12 | completed | a/o with 26,bmpbuccal-20.04,p-20.06,hypo done | |
| Dental filling | 180534004 | D2391 Resin composite - one surface, posterior | ##27, #47, #48 | 2025-04-25 | completed | dtech 27 as temp, enameloplasty 47,48 | |
| Root canal treatment | 234780006 | D3330 Endodontic therapy, molar tooth | ##27 | 2025-03-11 | completed | adv rct 27 @ 7k to 8k for metal | |
| Dental filling | 180534004 | D2150 Amalgam - two surfaces | ##47 | 2023-06-05 | completed | dtech 47 - Adv crown or amalgam on next visit | |
| Dental filling | 180534004 | D2391 Resin composite - one surface, posterior | ##47 | 2021-01-15 | completed | composite por 47- told crown not needed to avoid food lodgment and because of small crown | |
| Root canal treatment | 234780006 | — | ##47 | 2021-01-04 | completed | obt 47 | |
| Root canal treatment | 234780006 | — | ##47 | 2020-12-31 | completed | a/o 47 mesial 25-04 & distal 25-04 | |
| Tooth extraction | 424451000 | D7140 Extraction, erupted tooth or exposed root | ##48 | 2020-11-30 | completed | sugical extn 48 | |
| Dental procedure (other) | 74964007 | D9999 Unspecified adjunctive procedure, by report | — | 2020-11-30 | completed | dr ikhlas | |
| Root canal treatment | 234780006 | D3330 Endodontic therapy, molar tooth | ##47 | 2020-10-27 | completed | composite 47- adv rct and cap if filling breaks- Cap not done because cap is difficult to make | |
| Dental filling | 180534004 | D2940 Protective restoration (GIC) | ##47, #48 | 2020-10-20 | completed | type ix 47 / adv metal cap 47 & 48@1500 each | |
| Enameloplasty | 47848009 | D9971 Odontoplasty | ##47, #48 | 2019-06-13 | completed | 47 48 enamelopasty done | |
| Dental scaling | 52065007 | D1110 Prophylaxis - adult | ##47, #48 | 2019-02-08 | completed | scaling and enameloplast done @ 47 and 48 - Adve xt 48 if not relived | |
| Dental procedure (other) | 74964007 | D9999 Unspecified adjunctive procedure, by report | ##18 | 2018-06-02 | completed | food impaction 18- sensitivty 3rd quadrant- | |
| Tooth extraction | 424451000 | D7140 Extraction, erupted tooth or exposed root | ##38 | 2017-10-11 | completed | surgica; ext 38 dr hamid | |
| Dental procedure (other) | 74964007 | D9999 Unspecified adjunctive procedure, by report | — | 2017-10-11 | completed | dr hamid | |
| Crown of tooth | 424311000 | D2750 Crown, porcelain fused to high noble metal | ##48 | 2017-08-21 | completed | crown cut andf removed 48 | |
| Dental consultation and report | 103697008 | D0140 Limited oral evaluation | ##38, #48 | 2017-08-21 | completed | adv ext 38 & 48 - Both impacted |
Appointment History
Book Appointment| Date & Time | Status | Clinical Notes | FHIR |
|---|---|---|---|
| 2026-03-04 21:55 | fulfilled | Dental visit — Dr Riyaz | |
| 2026-03-04 21:54 | fulfilled | ADV RCT WITH 36 37 — Dr Riyaz | |
| 2026-03-04 21:53 | fulfilled | 46 TYPE IX CLASS 2 — Dr Riyaz | |
| 2025-08-25 21:40 | fulfilled | dtech with 48 — Dr Riyaz | |
| 2025-05-29 21:47 | fulfilled | crown cementation 26 — Dr Riyaz | |
| 2025-05-29 20:40 | fulfilled | crown cem 16 metal — Dr Riyaz | |
| 2025-05-22 21:00 | fulfilled | crown prep metal 26 — Dr Riyaz | |
| 2025-05-16 21:41 | fulfilled | Dental visit — Dr Riyaz | |
| 2025-05-16 21:40 | fulfilled | Dental visit | |
| 2025-05-16 21:05 | fulfilled | obt 26 — Dr Riyaz | |
| 2025-05-16 20:37 | fulfilled | moh | |
| 2025-05-12 20:57 | fulfilled | Dental visit — Dr Riyaz | |
| 2025-05-12 20:06 | fulfilled | a/o with 26,bmpbuccal-20.04,p-20.06,hypo done — Dr Riyaz | |
| 2025-04-25 21:51 | fulfilled | dtech 27 as temp, enameloplasty 47,48 — Dr Riyaz | |
| 2025-03-11 20:44 | fulfilled | adv rct 27 @ 7k to 8k for metal — NULL | |
| 2023-06-05 20:41 | fulfilled | dtech 47 - Adv crown or amalgam on next visit — NULL | |
| 2021-01-15 16:37 | fulfilled | composite por 47- told crown not needed to avoid food lodgment and because of small crown — NULL | |
| 2021-01-04 15:43 | fulfilled | obt 47 — NULL | |
| 2020-12-31 16:20 | fulfilled | a/o 47 mesial 25-04 & distal 25-04 — NULL | |
| 2020-11-30 15:58 | fulfilled | dr ikhlas — NULL | |
| 2020-11-30 15:57 | fulfilled | sugical extn 48 — NULL | |
| 2020-10-27 14:27 | fulfilled | composite 47- adv rct and cap if filling breaks- Cap not done because cap is difficult to make — NULL | |
| 2020-10-20 15:40 | fulfilled | type ix 47 / adv metal cap 47 & 48@1500 each — NULL | |
| 2020-09-14 15:08 | fulfilled | Dental visit — NULL | |
| 2019-06-13 18:04 | fulfilled | 47 48 enamelopasty done — NULL | |
| 2019-02-08 21:04 | fulfilled | scaling and enameloplast done @ 47 and 48 - Adve xt 48 if not relived — NULL | |
| 2018-06-02 17:04 | fulfilled | food impaction 18- sensitivty 3rd quadrant- — NULL | |
| 2017-10-11 18:43 | fulfilled | dr hamid — NULL | |
| 2017-10-11 18:43 | fulfilled | surgica; ext 38 dr hamid — NULL | |
| 2017-10-09 17:31 | fulfilled | Dental visit — NULL | |
| 2017-08-21 13:30 | fulfilled | adv ext 38 & 48 - Both impacted — NULL | |
| 2017-08-21 13:30 | fulfilled | crown cut andf removed 48 — NULL |
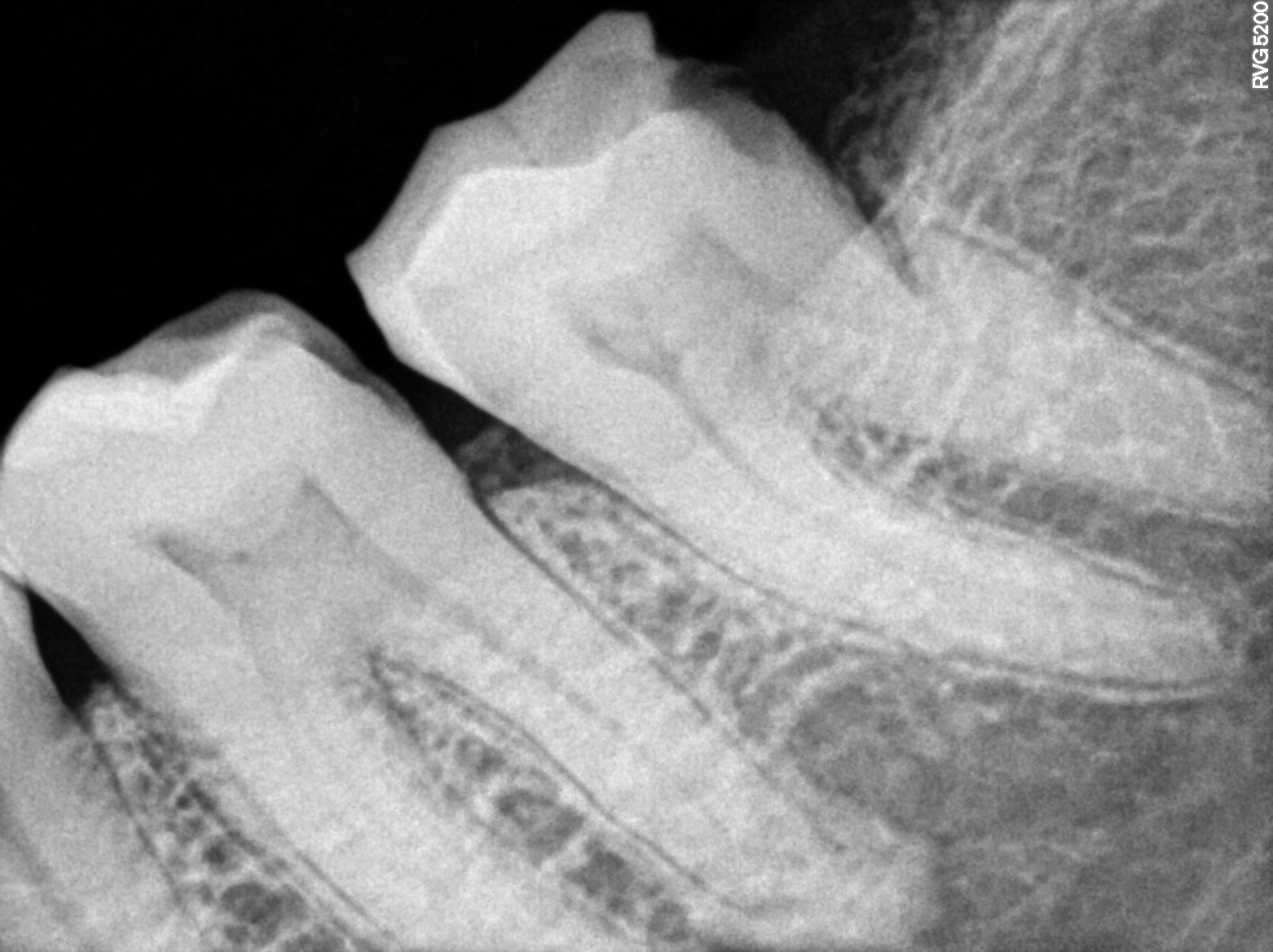
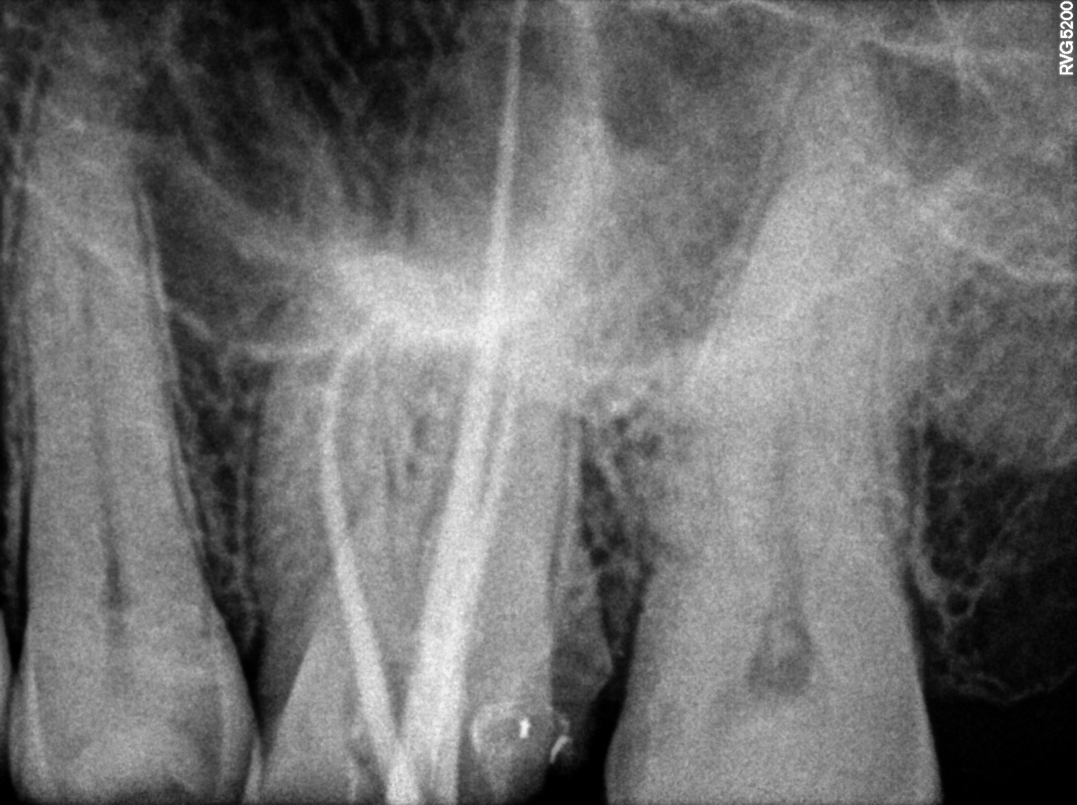
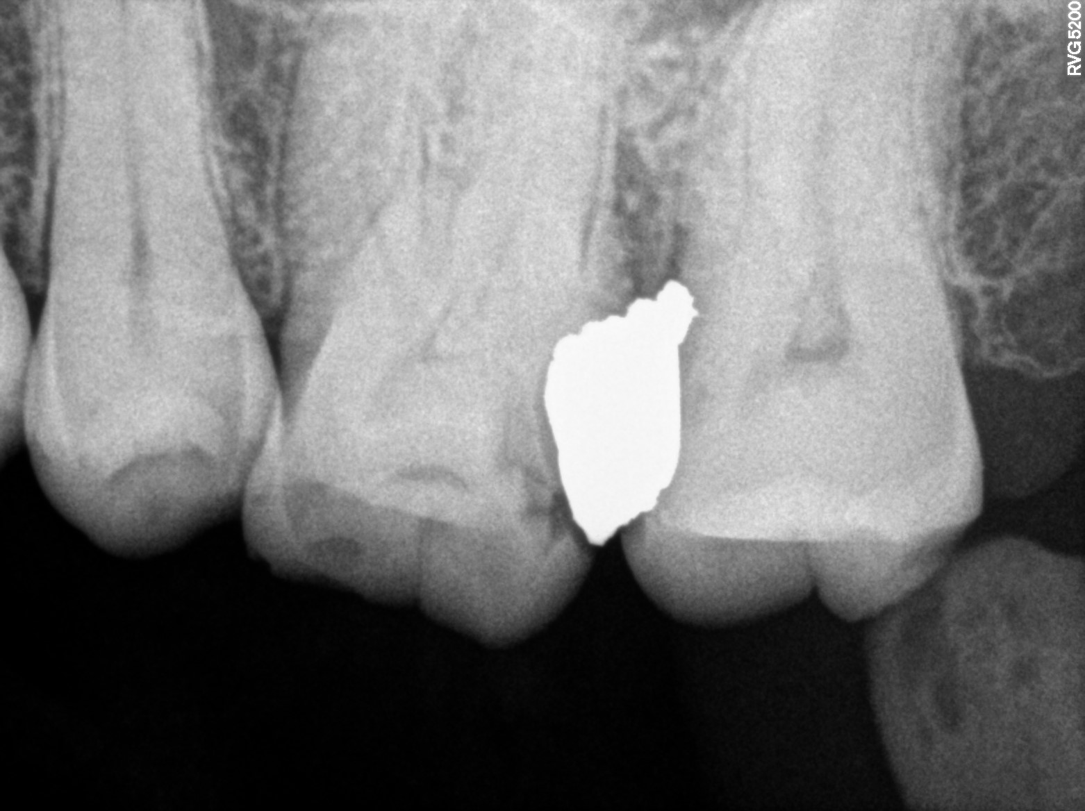
Dental Radiographs FHIR: DocumentReference · LOINC 24641-7
FHIR Bundle
xray_1741706089.jpg
24641-7
xray_1747409705_0.jpg
24641-7
xray_1747409705_1.jpg
24641-7
xray_1747063643_0.jpg
24641-7
R61.jpg
24641-7
xray_1772641410_0.jpg
24641-7
xray_1772641410_1.jpg
24641-7
Invoices FHIR R4 Invoice · INR
FHIR Bundle⁢₹27,700
Charged
₹23,500
Paid
₹13,500
Outstanding
| Date | Procedure | Charged (₹) | Paid (₹) | Balance (₹) | Mode | Status | FHIR |
|---|---|---|---|---|---|---|---|
| 2026-03-04 | Dental filling | 1,500 | 1,500 | 0 | — | balanced | |
| 2025-08-25 | Dental filling | 500 | 500 | 0 | — | balanced | |
| 2025-05-29 | Crown of tooth | 0 | 1,000 | -1,000 | cash | cancelled | |
| 2025-05-22 | Crown of tooth | 1,500 | 1,500 | 0 | cash | balanced | |
| 2025-05-16 | Dental procedure (other) | 0 | 1,500 | -1,500 | cash | cancelled | |
| 2025-05-12 | Root canal treatment | 4,500 | 0 | 4,500 | — | issued | |
| 2025-05-12 | Root canal treatment | 0 | 1,500 | -1,500 | cash | cancelled | |
| 2025-04-25 | Dental filling | 1,000 | 1,000 | 0 | — | balanced | |
| 2023-06-05 | Dental filling | 1,000 | 1,000 | 0 | — | balanced | |
| 2021-01-15 | Dental filling | 0 | 1,800 | -1,800 | — | cancelled | |
| 2021-01-04 | Root canal treatment | 0 | 3,500 | -3,500 | — | cancelled | |
| 2020-12-31 | Root canal treatment | 4,000 | 0 | 4,000 | — | issued | |
| 2020-11-30 | Dental procedure (other) | 8,000 | 8,000 | 0 | — | balanced | |
| 2020-11-30 | Dental procedure (other) | -4,800 | -4,800 | 0 | — | balanced | |
| 2020-10-27 | Root canal treatment | 1,000 | 1,000 | 0 | — | balanced | |
| 2020-10-20 | Dental filling | 1,000 | 1,000 | 0 | — | balanced | |
| 2020-09-14 | Dental procedure | 200 | 200 | 0 | — | balanced | |
| 2019-06-13 | Enameloplasty | 200 | 200 | 0 | — | balanced | |
| 2019-02-08 | Dental scaling | 500 | 500 | 0 | — | balanced | |
| 2018-06-02 | Dental procedure (other) | 100 | 100 | 0 | — | balanced | |
| 2017-10-11 | Dental procedure (other) | 0 | -2,000 | 2,000 | — | cancelled | |
| 2017-10-11 | Dental procedure (other) | 3,000 | 3,000 | 0 | — | balanced | |
| 2017-10-09 | Dental procedure | 4,000 | 1,000 | 3,000 | — | issued | |
| 2017-08-21 | Crown of tooth | 500 | 500 | 0 | — | balanced |