Back to Patients
De-identified Patient
female
DOB: ••••-••-••
FHIR: Patient
Patient Information
FHIR: Patient
De-identified for demo. Identity fields are masked.
- Full Name
- De-identified
- Date of Birth
- ••••-••-••
- Gender
- female
- Phone
- ••••••••D)
- ••••@••••
- Address
- De-identified location
Quick Actions
11
Conditions
13
Procedures
21
Visits
13
Invoices
7
X-rays
Diagnosed Conditions
Add Condition| Condition | ICD-10-AM | SNOMED CT Ref. | Status | Onset | Notes | FHIR |
|---|---|---|---|---|---|---|
| Necrosis of dental pulp | K04.1 | 234946006 | resolved | 2026-03-11 | Obturation done with 37 | |
| Dental pulp necrosis | — | 234946006 | resolved | 2026-03-04 | Hypo done and calcium hydroxide dressing given | |
| Dental pulp necrosis | — | 234946006 | resolved | 2026-02-27 | bmp mesial 25.04 2stoppe short file buccal cusp. dista jus hypo done | |
| Necrosis of dental pulp | K04.1 | 234946006 | resolved | 2026-02-23 | A/o 37, distal 25.06 till apex WL 2 stopper, mesial canal 20.04 arbitrary WL 2 stopper | |
| Dental caries | — | 80967001 | resolved | 2025-10-13 | cementation with 45 46 47 done | |
| Dental caries | — | 80967001 | resolved | 2025-10-08 | impression taken with 45 47, metal 3 unit bridge | |
| Dental caries | — | 80967001 | resolved | 2025-10-03 | dtech 47,45 . partial prep done 47 ,45 . occlusal reduction pending. imp not taken | |
| Dental pulp necrosis | — | 234946006 | resolved | 2025-09-26 | obt 47,45 | |
| Necrosis of dental pulp | K04.1 | 234946006 | resolved | 2025-09-22 | bmp 25.04 increased 2 stopper all 4 canals | |
| Dental pulp necrosis | — | 234946006 | resolved | 2025-09-19 | a/o with 45, bmp 25.06 till apex | |
| Necrosis of dental pulp | K04.1 | 234946006 | resolved | 2025-09-13 | adv 4 rct and 6 metal cap @ 24k with discount in 3rd and 4th quad adv failed rct and instrument in 36 |
Dental Procedures
Add Procedure| Procedure | SNOMED CT AU | CDT Code | Tooth | Date | Status | Notes | FHIR |
|---|---|---|---|---|---|---|---|
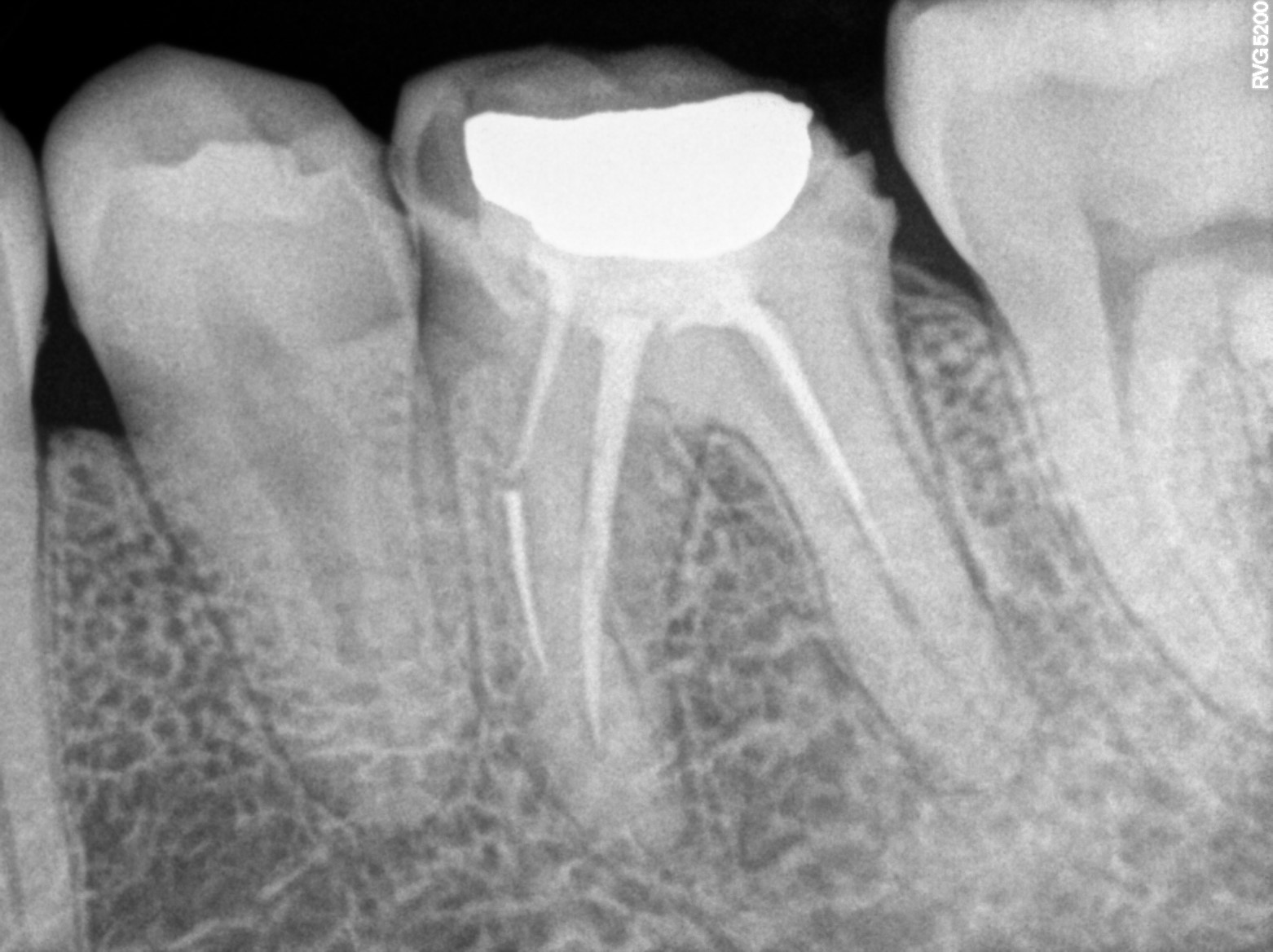
| Root canal treatment | 234780006 | — | ##37 | 2026-03-11 | completed | Obturation done with 37 | |
| Root canal treatment | 234780006 | — | — | 2026-03-04 | completed | Hypo done and calcium hydroxide dressing given | |
| Root canal treatment | 234780006 | — | ##25 | 2026-02-27 | completed | bmp mesial 25.04 2stoppe short file buccal cusp. dista jus hypo done | |
| Root canal treatment | 234780006 | D3330 Endodontic therapy, molar tooth | ##37 | 2026-02-23 | completed | A/o 37, distal 25.06 till apex WL 2 stopper, mesial canal 20.04 arbitrary WL 2 stopper | |
| Dental procedure (other) | 74964007 | D9999 Unspecified adjunctive procedure, by report | — | 2026-02-23 | completed | New treatment started | |
| Crown of tooth | 424311000 | D2750 Crown, porcelain fused to high noble metal | ##45, #46, #47 | 2025-10-13 | completed | cementation with 45 46 47 done | |
| Dental prosthesis construction | 234783000 | D9999 Unspecified adjunctive procedure, by report | ##45, #47 | 2025-10-08 | completed | impression taken with 45 47, metal 3 unit bridge | |
| Dental filling | 180534004 | D2391 Resin composite - one surface, posterior | ##47, #45 | 2025-10-03 | completed | dtech 47,45 . partial prep done 47 ,45 . occlusal reduction pending. imp not taken | |
| Root canal treatment | 234780006 | D3330 Endodontic therapy, molar tooth | ##47, #45 | 2025-09-26 | completed | obt 47,45 | |
| Root canal treatment | 234780006 | D3330 Endodontic therapy, molar tooth | ##25 | 2025-09-22 | completed | bmp 25.04 increased 2 stopper all 4 canals | |
| Root canal treatment | 234780006 | D3320 Endodontic therapy, premolar tooth | ##45 | 2025-09-19 | completed | a/o with 45, bmp 25.06 till apex | |
| Root canal treatment | 234780006 | D3330 Endodontic therapy, molar tooth | ##47 | 2025-09-19 | completed | a/o 47, bmp 25.04 till apex all 4 canals | |
| Root canal treatment | 234780006 | D3330 Endodontic therapy, molar tooth | ##36 | 2025-09-13 | completed | adv 4 rct and 6 metal cap @ 24k with discount in 3rd and 4th quad adv failed rct and instrument in 36 |
Appointment History
Book Appointment| Date & Time | Status | Clinical Notes | FHIR |
|---|---|---|---|
| 2026-03-11 20:54 | fulfilled | Obturation done with 37 — Dr Riyaz | |
| 2026-03-04 22:27 | fulfilled | Dental visit | |
| 2026-03-04 22:26 | fulfilled | Dental visit — Dr Riyaz | |
| 2026-03-04 22:25 | fulfilled | Hypo done and calcium hydroxide dressing given — Dr Riyaz | |
| 2026-02-27 20:43 | fulfilled | bmp mesial 25.04 2stoppe short file buccal cusp. dista jus hypo done | |
| 2026-02-23 22:30 | fulfilled | Dental visit — Dr Riyaz | |
| 2026-02-23 22:13 | fulfilled | A/o 37, distal 25.06 till apex WL 2 stopper, mesial canal 20.04 arbitrary WL 2 stopper — Dr Riyaz | |
| 2026-02-23 22:10 | fulfilled | New treatment started | |
| 2025-10-13 13:49 | fulfilled | cementation with 45 46 47 done — Dr Riyaz | |
| 2025-10-08 21:13 | fulfilled | impression taken with 45 47, metal 3 unit bridge — Dr Riyaz | |
| 2025-10-03 20:08 | fulfilled | Dental visit — Dr Riyaz | |
| 2025-10-03 20:04 | fulfilled | dtech 47,45 . partial prep done 47 ,45 . occlusal reduction pending. imp not taken | |
| 2025-10-03 20:04 | fulfilled | Dental visit — Dr Riyaz | |
| 2025-09-26 20:13 | fulfilled | obt 47,45 — Dr Riyaz | |
| 2025-09-22 19:59 | fulfilled | bmp 25.04 increased 2 stopper all 4 canals — Dr Riyaz | |
| 2025-09-19 20:16 | fulfilled | a/o 47, bmp 25.04 till apex all 4 canals | |
| 2025-09-19 20:14 | fulfilled | a/o with 45, bmp 25.06 till apex | |
| 2025-09-19 12:01 | fulfilled | Dental visit — Dr Riyaz | |
| 2025-09-18 11:12 | fulfilled | Dental visit — Dr Riyaz | |
| 2025-09-13 21:18 | fulfilled | adv 4 rct and 6 metal cap @ 24k with discount in 3rd and 4th quad adv failed rct and instrument — Dr Riyaz | |
| 2025-09-13 20:16 | fulfilled | Dental visit |
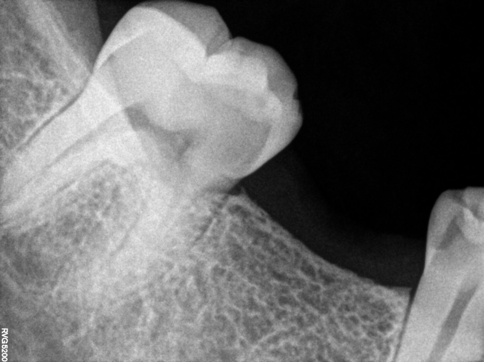
Dental Radiographs FHIR: DocumentReference · LOINC 24641-7
FHIR Bundle
xray_1757778558_1.jpg
24641-7
xray_1758897542_0.jpg
24641-7
xray_1773248545_0.jpg
24641-7
xray_1758897542_1.jpg
24641-7
xray_1757778559_3.jpg
24641-7
xray_1757778559_2.jpg
24641-7
xray_1757778558_0.jpg
24641-7
Invoices FHIR R4 Invoice · INR
FHIR Bundle⁢₹28,700
Charged
₹16,700
Paid
₹28,500
Outstanding
| Date | Procedure | Charged (₹) | Paid (₹) | Balance (₹) | Mode | Status | FHIR |
|---|---|---|---|---|---|---|---|
| 2026-03-04 | Root canal treatment | 0 | 1,000 | -1,000 | Cash | cancelled | |
| 2026-03-04 | Root canal treatment | 4,500 | 0 | 4,500 | — | issued | |
| 2026-03-04 | Root canal treatment | 0 | 1,500 | -1,500 | Tabassum | cancelled | |
| 2026-02-23 | Dental procedure (other) | 0 | 2,000 | -2,000 | Cash | cancelled | |
| 2025-10-08 | Dental prosthesis construction | 0 | 1,000 | -1,000 | cash | cancelled | |
| 2025-10-03 | Dental filling | 0 | 3,000 | -3,000 | tabassum | cancelled | |
| 2025-10-03 | Dental filling | 0 | 1,000 | -1,000 | cash | cancelled | |
| 2025-09-26 | Root canal treatment | 0 | 2,000 | -2,000 | cash | cancelled | |
| 2025-09-22 | Root canal treatment | 0 | 2,000 | -2,000 | tabassum | cancelled | |
| 2025-09-19 | Root canal treatment | 0 | 2,000 | -2,000 | cash | cancelled | |
| 2025-09-18 | Dental procedure | 0 | 1,000 | -1,000 | tabassum | cancelled | |
| 2025-09-13 | Root canal treatment | 24,000 | 0 | 24,000 | — | issued | |
| 2025-09-13 | Root canal treatment | 200 | 200 | 0 | cash | balanced |