Back to Patients
De-identified Patient
male
DOB: ••••-••-••
FHIR: Patient
Patient Information
FHIR: Patient
De-identified for demo. Identity fields are masked.
- Full Name
- De-identified
- Date of Birth
- ••••-••-••
- Gender
- male
- Phone
- ••••••••D)
- ••••@••••
- Address
- De-identified location
Quick Actions
4
Conditions
6
Procedures
8
Visits
6
Invoices
3
X-rays
Diagnosed Conditions
Add Condition| Condition | ICD-10-AM | SNOMED CT Ref. | Status | Onset | Notes | FHIR |
|---|---|---|---|---|---|---|
| Dental caries, unspecified | K02.9 | 80967001 | resolved | 2026-03-19 | class 2 composite filling with 18 for food lodgment done. he was not willing for extraction, so this provisional treatment was performed with no guarantee | |
| Dental caries | — | 80967001 | resolved | 2023-03-09 | crown cementation done with 17 & 46 | |
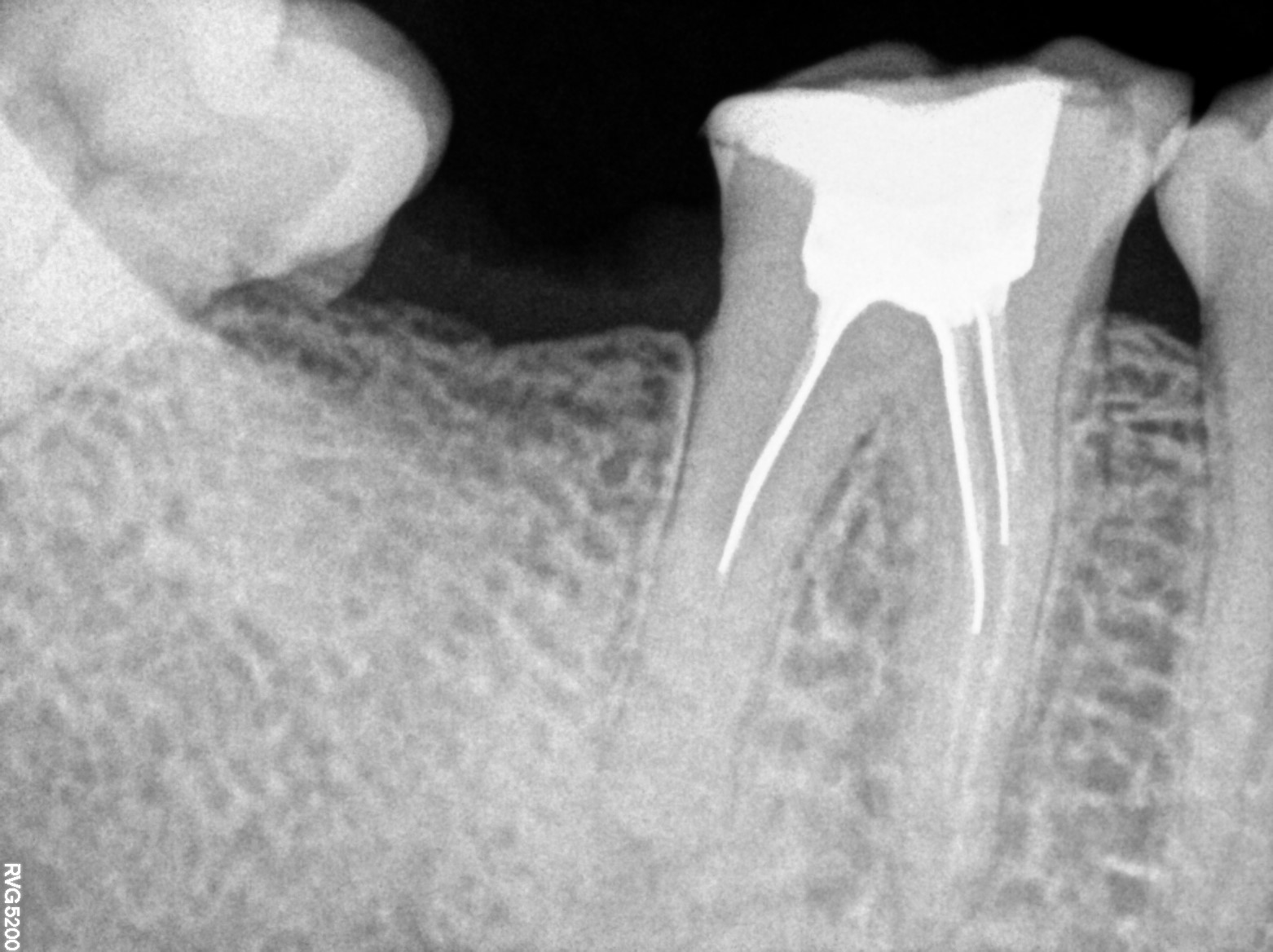
| Necrosis of dental pulp | K04.1 | 234946006 | resolved | 2023-03-06 | all metal crown preparation with 17 & 46 and D-tech done with 17 impression recorded & root canal treatment done elsewhere & | |
| Dental caries, unspecified | K02.9 | 80967001 | resolved | 2011-06-22 | type ix filling 38 |
Dental Procedures
Add Procedure| Procedure | SNOMED CT AU | CDT Code | Tooth | Date | Status | Notes | FHIR |
|---|---|---|---|---|---|---|---|
| Dental filling | 180534004 | D2391 Resin composite - one surface, posterior | #18 | 2026-03-19 | completed | filling done | |
| Dental filling | 180534004 | D2391 Resin composite - one surface, posterior | ##18 | 2026-03-19 | completed | class 2 composite filling with 18 for food lodgment done. he was not willing for extraction, so this provisional treatment was performed with no guarantee | |
| Crown of tooth | 424311000 | D2750 Crown, porcelain fused to high noble metal | ##17, #46 | 2023-03-09 | completed | crown cementation done with 17 & 46 | |
| Root canal treatment | 234780006 | D3330 Endodontic therapy, molar tooth | ##17, #46 | 2023-03-06 | completed | all metal crown preparation with 17 & 46 and D-tech done with 17 impression recorded & root canal treatment done elsewhere & | |
| Dental filling | 180534004 | D2940 Protective restoration (GIC) | ##38 | 2011-06-22 | completed | type ix filling 38 | |
| Dental filling | 180534004 | D2940 Protective restoration (GIC) | ##38 | 2011-06-22 | completed | adv comppsoite over type ix in 38 |
Appointment History
Book Appointment| Date & Time | Status | Clinical Notes | FHIR |
|---|---|---|---|
| 2026-03-25 19:18 | booked | Follow-up with Dr Riyaz Quereshi | |
| 2026-03-19 21:23 | fulfilled | class 2 composite filling with 18 for food lodgment done. he was not willing for extraction, so this — Dr Riyaz | |
| 2023-03-09 11:39 | fulfilled | crown cementation done with 17 & 46 — NULL | |
| 2023-03-09 11:38 | fulfilled | Dental visit — NULL | |
| 2023-03-06 13:25 | fulfilled | Dental visit — NULL | |
| 2023-03-06 00:00 | fulfilled | all metal crown preparation with 17 & 46 and D-tech done with 17 impression recorded & root canal tr — NULL | |
| 2011-06-22 21:26 | fulfilled | adv comppsoite over type ix in 38 — NULL | |
| 2011-06-22 21:26 | fulfilled | type ix filling 38 — NULL |
Dental Radiographs FHIR: DocumentReference · LOINC 24641-7
FHIR Bundle
R53.jpg
24641-7
xray_1772726444_0.jpg
24641-7
R54.jpg
24641-7
Invoices FHIR R4 Invoice · INR
FHIR Bundle⁢₹8,100
Charged
₹8,100
Paid
₹6,200
Outstanding
| Date | Procedure | Charged (₹) | Paid (₹) | Balance (₹) | Mode | Status | FHIR |
|---|---|---|---|---|---|---|---|
| 2026-03-19 | Dental filling | 1,500 | 1,500 | 0 | online | balanced | |
| 2023-03-09 | Crown of tooth | 2,200 | 0 | 2,200 | — | issued | |
| 2023-03-09 | Crown of tooth | 0 | 4,200 | -4,200 | — | cancelled | |
| 2023-03-06 | Root canal treatment | 0 | 2,000 | -2,000 | — | cancelled | |
| 2023-03-06 | Root canal treatment | 4,000 | 0 | 4,000 | — | issued | |
| 2011-06-22 | Dental filling | 400 | 400 | 0 | — | balanced |