Back to Patients
De-identified Patient
female
DOB: ••••-••-••
FHIR: Patient
Patient Information
FHIR: Patient
De-identified for demo. Identity fields are masked.
- Full Name
- De-identified
- Date of Birth
- ••••-••-••
- Gender
- female
- Phone
- ••••••••D)
- ••••@••••
- Address
- De-identified location
Quick Actions
4
Conditions
6
Procedures
11
Visits
8
Invoices
4
X-rays
Diagnosed Conditions
Add Condition| Condition | ICD-10-AM | SNOMED CT Ref. | Status | Onset | Notes | FHIR |
|---|---|---|---|---|---|---|
| Dental caries | — | 80967001 | resolved | 2026-01-21 | cementation done with 36 | |
| Dental caries | — | 80967001 | resolved | 2026-01-17 | dtech and crown prep done with 36 pfm crown shade a3 tausif lab | |
| Dental pulp necrosis | — | 234946006 | resolved | 2026-01-03 | obt done with 36 | |
| Dental pulp necrosis | — | 234946006 | resolved | 2025-12-23 | a/o with 36, bmp distal 20.06 and mesial 20.04 |
Dental Procedures
Add Procedure| Procedure | SNOMED CT AU | CDT Code | Tooth | Date | Status | Notes | FHIR |
|---|---|---|---|---|---|---|---|
| Tooth extraction | 424451000 | D7140 Extraction, erupted tooth or exposed root | ##48 | 2026-03-17 | completed | extn done with 48-dr tejas next appt suture removal | |
| Dental procedure (other) | 74964007 | D9999 Unspecified adjunctive procedure, by report | — | 2026-03-17 | completed | omfs | |
| Crown of tooth | 424311000 | D2750 Crown, porcelain fused to high noble metal | ##36 | 2026-01-21 | completed | cementation done with 36 | |
| Dental filling | 180534004 | D2391 Resin composite - one surface, posterior | ##36 | 2026-01-17 | completed | dtech and crown prep done with 36 pfm crown shade a3 tausif lab | |
| Root canal treatment | 234780006 | — | ##36 | 2026-01-03 | completed | obt done with 36 | |
| Root canal treatment | 234780006 | D3330 Endodontic therapy, molar tooth | ##36 | 2025-12-23 | completed | a/o with 36, bmp distal 20.06 and mesial 20.04 |
Appointment History
Book Appointment| Date & Time | Status | Clinical Notes | FHIR |
|---|---|---|---|
| 2026-03-18 20:22 | fulfilled | Dental visit — Dr Riyaz | |
| 2026-03-17 14:25 | fulfilled | omfs — Dr Riyaz | |
| 2026-03-17 14:25 | fulfilled | Dental visit | |
| 2026-03-17 14:22 | fulfilled | extn done with 48-dr tejas next appt suture removal | |
| 2026-01-21 14:29 | fulfilled | Dental visit — Dr Hani | |
| 2026-01-21 13:59 | fulfilled | cementation done with 36 — Dr Hani | |
| 2026-01-17 14:49 | fulfilled | dtech and crown prep done with 36 pfm crown shade a3 tausif lab — Dr Hani | |
| 2026-01-03 14:33 | fulfilled | Dental visit — Dr Riyaz | |
| 2026-01-03 14:12 | fulfilled | obt done with 36 — Dr Riyaz | |
| 2025-12-23 15:46 | fulfilled | Dental visit — Dr Riyaz | |
| 2025-12-23 15:12 | fulfilled | a/o with 36, bmp distal 20.06 and mesial 20.04 — Dr Riyaz |
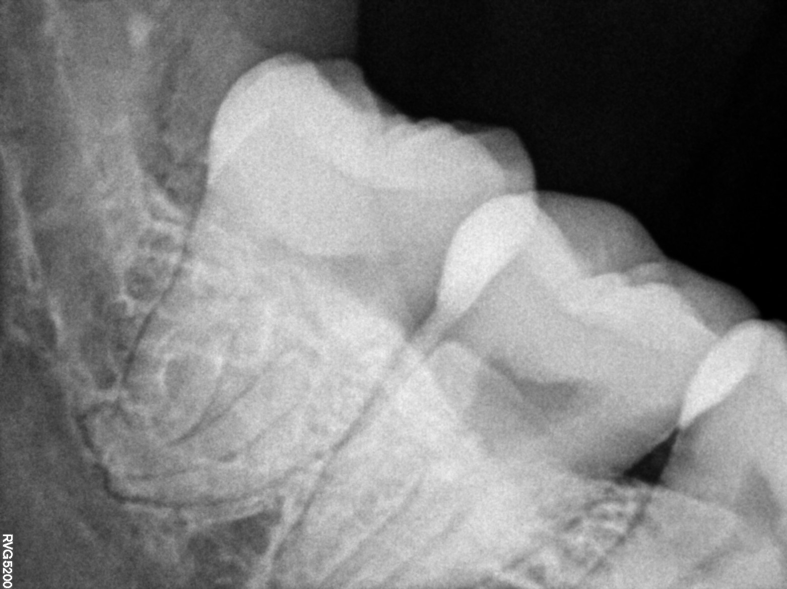
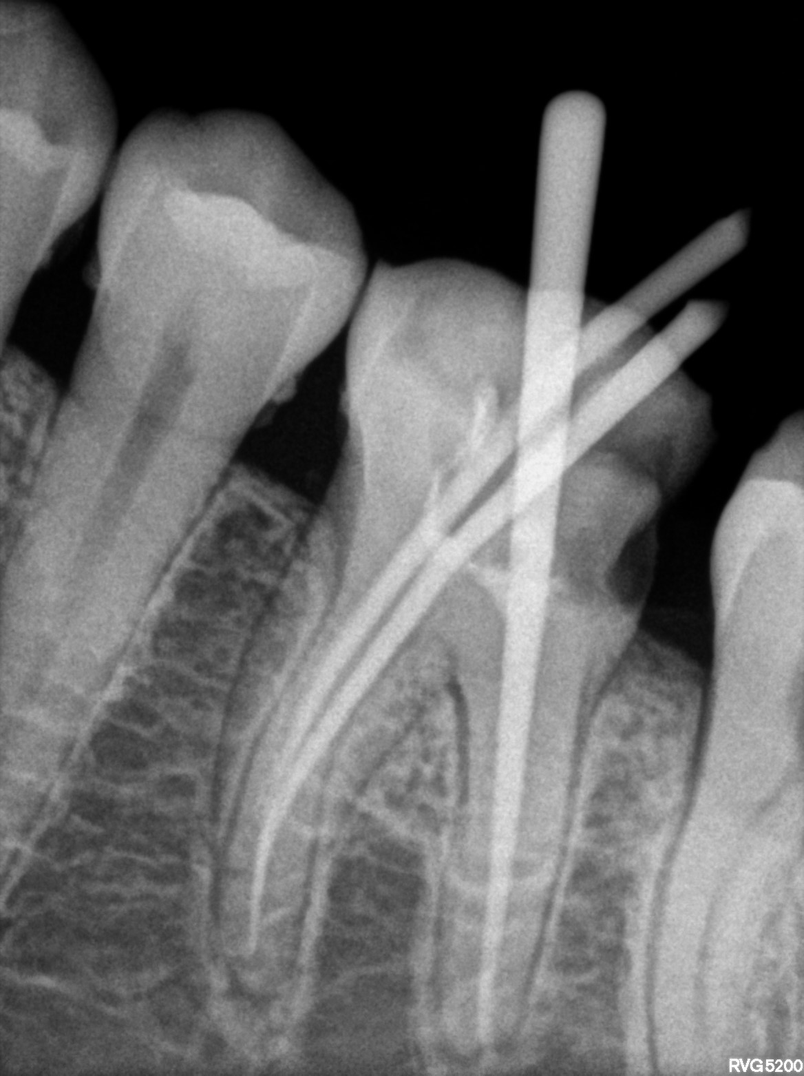
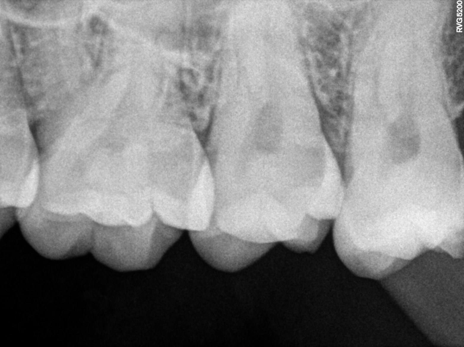
Dental Radiographs FHIR: DocumentReference · LOINC 24641-7
FHIR Bundle
xray_1766483090_1.jpg
24641-7
xray_1767429752_0.jpg
24641-7
xray_1773646340_0.jpg
24641-7
xray_1766483090_0.jpg
24641-7
Invoices FHIR R4 Invoice · INR
FHIR Bundle⁢₹15,000
Charged
₹11,500
Paid
₹18,000
Outstanding
| Date | Procedure | Charged (₹) | Paid (₹) | Balance (₹) | Mode | Status | FHIR |
|---|---|---|---|---|---|---|---|
| 2026-03-18 | Dental procedure | 0 | 6,500 | -6,500 | gpay | cancelled | |
| 2026-03-17 | Dental procedure (other) | 0 | -3,000 | 3,000 | — | cancelled | |
| 2026-03-17 | Dental procedure (other) | 7,000 | 0 | 7,000 | — | issued | |
| 2026-01-21 | Crown of tooth | 0 | 3,500 | -3,500 | tabassum | cancelled | |
| 2026-01-17 | Dental filling | 3,500 | 0 | 3,500 | — | issued | |
| 2026-01-03 | Root canal treatment | 0 | 2,000 | -2,000 | online | cancelled | |
| 2025-12-23 | Root canal treatment | 4,500 | 0 | 4,500 | — | issued | |
| 2025-12-23 | Root canal treatment | 0 | 2,500 | -2,500 | Online | cancelled |