Back to Patients
De-identified Patient
male
DOB: ••••-••-••
FHIR: Patient
Patient Information
FHIR: Patient
De-identified for demo. Identity fields are masked.
- Full Name
- De-identified
- Date of Birth
- ••••-••-••
- Gender
- male
- Phone
- ••••••••D)
- ••••@••••
- Address
- De-identified location
Quick Actions
22
Conditions
24
Procedures
27
Visits
14
Invoices
9
X-rays
Diagnosed Conditions
Add Condition| Condition | ICD-10-AM | SNOMED CT Ref. | Status | Onset | Notes | FHIR |
|---|---|---|---|---|---|---|
| Dental caries | — | 80967001 | resolved | 2026-03-13 | crown cem 38 | |
| Dental caries | — | 80967001 | resolved | 2025-09-23 | recmentation 38. adv new crown if it dislodges within 6 months | |
| Dental caries | — | 80967001 | resolved | 2025-07-10 | recementation with 48, new crown advised if crown dislodges within 6 months | |
| Dental caries | — | 80967001 | resolved | 2025-01-04 | cementation done with 37 metal | |
| Dental caries | — | 80967001 | resolved | 2024-12-30 | new crown advised & cutting modified with 37 & impression taken- | |
| Dental caries | — | 80967001 | resolved | 2024-11-25 | recemtation wih 37 & withi 6 months if cap is disloged | |
| Dental caries | — | 80967001 | resolved | 2024-10-07 | cutting with 37 & metal cap | |
| Dental caries | — | 80967001 | resolved | 2024-09-05 | dtech done | |
| Dental caries, unspecified | K02.9 | 80967001 | resolved | 2024-09-02 | adv- temporary restoration with 37/temp resto with endo crown | |
| Dental pulp necrosis | — | 234946006 | resolved | 2024-09-02 | paid advance | |
| Dental caries | — | 80967001 | resolved | 2023-03-02 | 48 recementation done & within 6 months if the cap comes out will make a new cap | |
| Dental caries | — | 80967001 | resolved | 2023-02-17 | crown cem 48 | |
| Dental caries | — | 80967001 | resolved | 2023-02-13 | impression taken | |
| Dental caries | — | 80967001 | resolved | 2023-02-11 | 48 & crown cutting done(endo crown) | |
| Dental pulp necrosis | — | 234946006 | resolved | 2023-02-02 | obt done 48 | |
| Necrosis of dental pulp | K04.1 | 234946006 | resolved | 2023-01-28 | bmp 3 canal disrtal 25-6 & mesial both canal 30-04 hypo done | |
| Necrosis of dental pulp | K04.1 | 234946006 | resolved | 2023-01-23 | 48 & bmp 30-04 both canals & hypo done | |
| Necrosis of dental pulp | K04.1 | 234946006 | resolved | 2023-01-20 | a/o 48 & bmp 20k till apex both canals & hypo done | |
| Dental caries | — | 80967001 | resolved | 2019-10-07 | adv extn 38 @4-5 to 5 | |
| Dental pulp necrosis | — | 234946006 | resolved | 2018-06-21 | obt 37 | |
| Dental pulp necrosis | — | 234946006 | resolved | 2018-06-15 | bmp 37 | |
| Dental pulp necrosis | — | 234946006 | resolved | 2018-06-12 | a/o 37 |
Dental Procedures
Add Procedure| Procedure | SNOMED CT AU | CDT Code | Tooth | Date | Status | Notes | FHIR |
|---|---|---|---|---|---|---|---|
| Crown of tooth | 424311000 | — | ##38 | 2026-03-13 | completed | crown cem 38 | |
| Crown of tooth | 424311000 | D2750 Crown, porcelain fused to high noble metal | ##38 | 2025-09-23 | completed | recmentation 38. adv new crown if it dislodges within 6 months | |
| Crown of tooth | 424311000 | — | ##48 | 2025-07-10 | completed | recementation with 48, new crown advised if crown dislodges within 6 months | |
| Crown of tooth | 424311000 | — | ##37 | 2025-01-04 | completed | cementation done with 37 metal | |
| Crown of tooth | 424311000 | — | ##37 | 2024-12-30 | completed | new crown advised & cutting modified with 37 & impression taken- | |
| Crown of tooth | 424311000 | — | ##37 | 2024-11-25 | completed | recemtation wih 37 & withi 6 months if cap is disloged | |
| Crown of tooth | 424311000 | — | — | 2024-11-25 | completed | if cap is disloged within 6 months & new cap advised | |
| Dental procedure (other) | 74964007 | D9999 Unspecified adjunctive procedure, by report | ##37 | 2024-10-11 | completed | cementaiion with 37 | |
| Crown of tooth | 424311000 | D2750 Crown, porcelain fused to high noble metal | ##37 | 2024-10-07 | completed | cutting with 37 & metal cap | |
| Dental filling | 180534004 | — | — | 2024-09-05 | completed | dtech done | |
| Dental filling | 180534004 | D2391 Resin composite - one surface, posterior | ##37 | 2024-09-02 | completed | adv- temporary restoration with 37/temp resto with endo crown | |
| Root canal treatment | 234780006 | — | — | 2024-09-02 | completed | paid advance | |
| Crown of tooth | 424311000 | — | ##48 | 2023-03-02 | completed | 48 recementation done & within 6 months if the cap comes out will make a new cap | |
| Crown of tooth | 424311000 | — | ##48 | 2023-02-17 | completed | crown cem 48 | |
| Dental prosthesis construction | 234783000 | D9999 Unspecified adjunctive procedure, by report | — | 2023-02-13 | completed | impression taken | |
| Crown of tooth | 424311000 | D2750 Crown, porcelain fused to high noble metal | ##48 | 2023-02-11 | completed | 48 & crown cutting done(endo crown) | |
| Root canal treatment | 234780006 | — | ##48 | 2023-02-02 | completed | obt done 48 | |
| Root canal treatment | 234780006 | D3320 Endodontic therapy, premolar tooth | ##25 | 2023-01-28 | completed | bmp 3 canal disrtal 25-6 & mesial both canal 30-04 hypo done | |
| Root canal treatment | 234780006 | — | ##48 | 2023-01-23 | completed | 48 & bmp 30-04 both canals & hypo done | |
| Root canal treatment | 234780006 | D3330 Endodontic therapy, molar tooth | ##48 | 2023-01-20 | completed | a/o 48 & bmp 20k till apex both canals & hypo done | |
| Dental consultation and report | 103697008 | D0140 Limited oral evaluation | ##38 | 2019-10-07 | completed | adv extn 38 @4-5 to 5 | |
| Root canal treatment | 234780006 | — | ##37 | 2018-06-21 | completed | obt 37 | |
| Root canal treatment | 234780006 | — | ##37 | 2018-06-15 | completed | bmp 37 | |
| Root canal treatment | 234780006 | D3330 Endodontic therapy, molar tooth | ##37 | 2018-06-12 | completed | a/o 37 |
Appointment History
Book Appointment| Date & Time | Status | Clinical Notes | FHIR |
|---|---|---|---|
| 2026-03-13 21:44 | fulfilled | Dental visit — Dr Riyaz | |
| 2026-03-13 21:35 | fulfilled | crown cem 38 | |
| 2025-09-23 21:04 | fulfilled | recmentation 38. adv new crown if it dislodges within 6 months — Dr Hani | |
| 2025-07-10 20:16 | fulfilled | Dental visit — Dr Riyaz | |
| 2025-07-10 19:59 | fulfilled | recementation with 48, new crown advised if crown dislodges within 6 months — Dr Riyaz | |
| 2025-01-04 21:49 | fulfilled | cementation done with 37 metal — NULL | |
| 2024-12-30 21:34 | fulfilled | new crown advised & cutting modified with 37 & impression taken- — NULL | |
| 2024-11-25 21:29 | fulfilled | if cap is disloged within 6 months & new cap advised — NULL | |
| 2024-11-25 21:18 | fulfilled | recemtation wih 37 & withi 6 months if cap is disloged — NULL | |
| 2024-10-11 21:51 | fulfilled | cementaiion with 37 — NULL | |
| 2024-10-07 21:56 | fulfilled | cutting with 37 & metal cap — NULL | |
| 2024-09-05 21:55 | fulfilled | dtech done — NULL | |
| 2024-09-02 22:05 | fulfilled | paid advance — NULL | |
| 2024-09-02 21:57 | fulfilled | adv- temporary restoration with 37/temp resto with endo crown — NULL | |
| 2023-03-02 12:09 | fulfilled | 48 recementation done & within 6 months if the cap comes out will make a new cap — NULL | |
| 2023-02-17 22:14 | fulfilled | crown cem 48 — NULL | |
| 2023-02-13 11:42 | fulfilled | impression taken — NULL | |
| 2023-02-11 14:37 | fulfilled | 48 & crown cutting done(endo crown) — NULL | |
| 2023-02-02 15:14 | fulfilled | Dental visit — NULL | |
| 2023-02-02 15:13 | fulfilled | obt done 48 — NULL | |
| 2023-01-28 13:34 | fulfilled | bmp 3 canal disrtal 25-6 & mesial both canal 30-04 hypo done — NULL | |
| 2023-01-23 21:00 | fulfilled | 48 & bmp 30-04 both canals & hypo done — NULL | |
| 2023-01-20 12:16 | fulfilled | a/o 48 & bmp 20k till apex both canals & hypo done — NULL | |
| 2019-10-07 21:48 | fulfilled | adv extn 38 @4-5 to 5 — NULL | |
| 2018-06-21 11:24 | fulfilled | obt 37 — NULL | |
| 2018-06-15 21:51 | fulfilled | bmp 37 — NULL | |
| 2018-06-12 19:00 | fulfilled | a/o 37 — NULL |
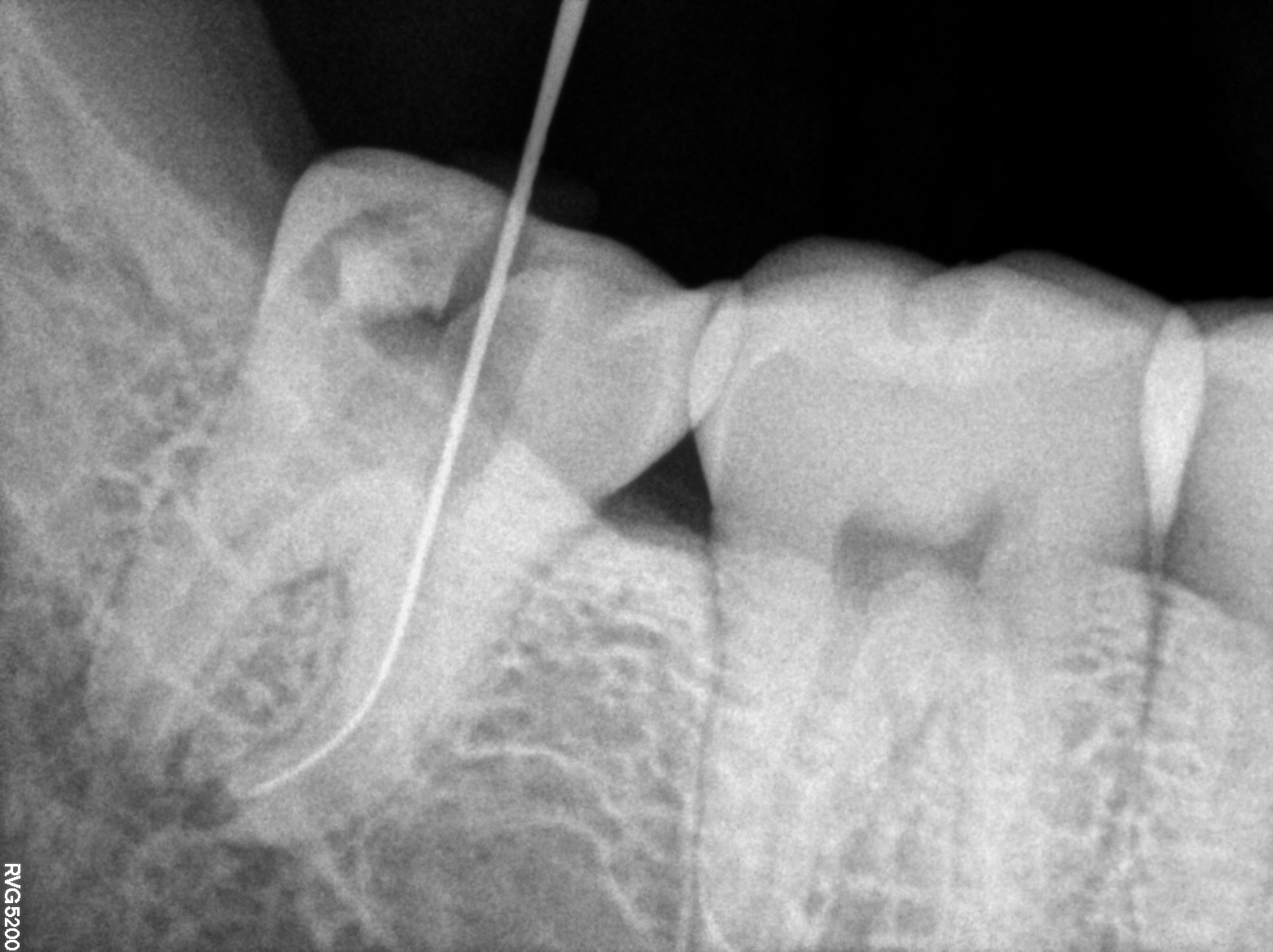
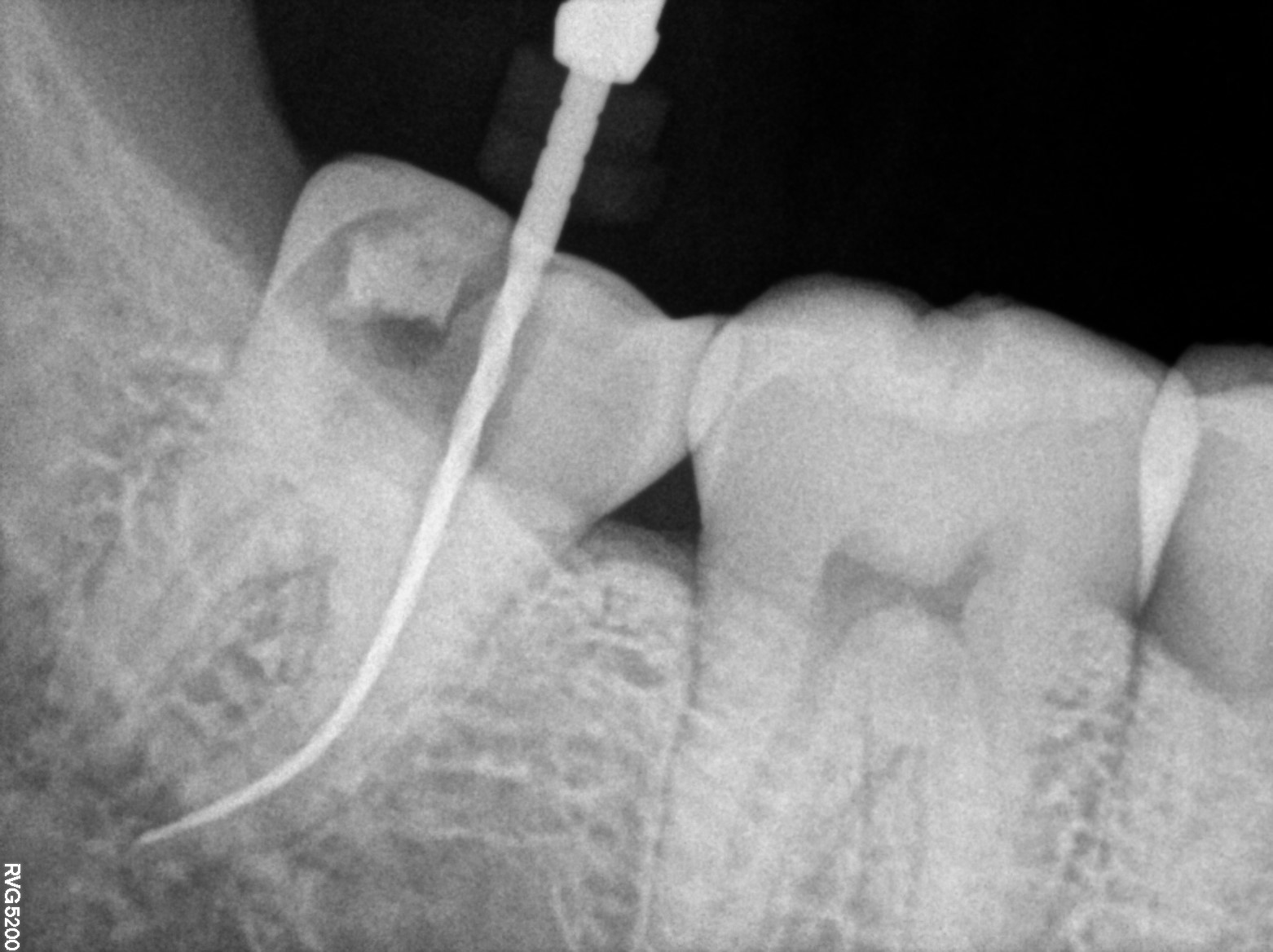
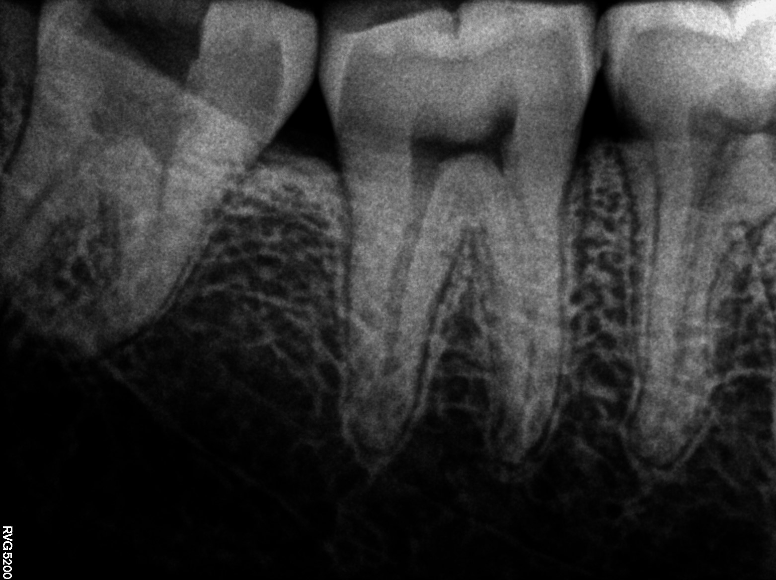
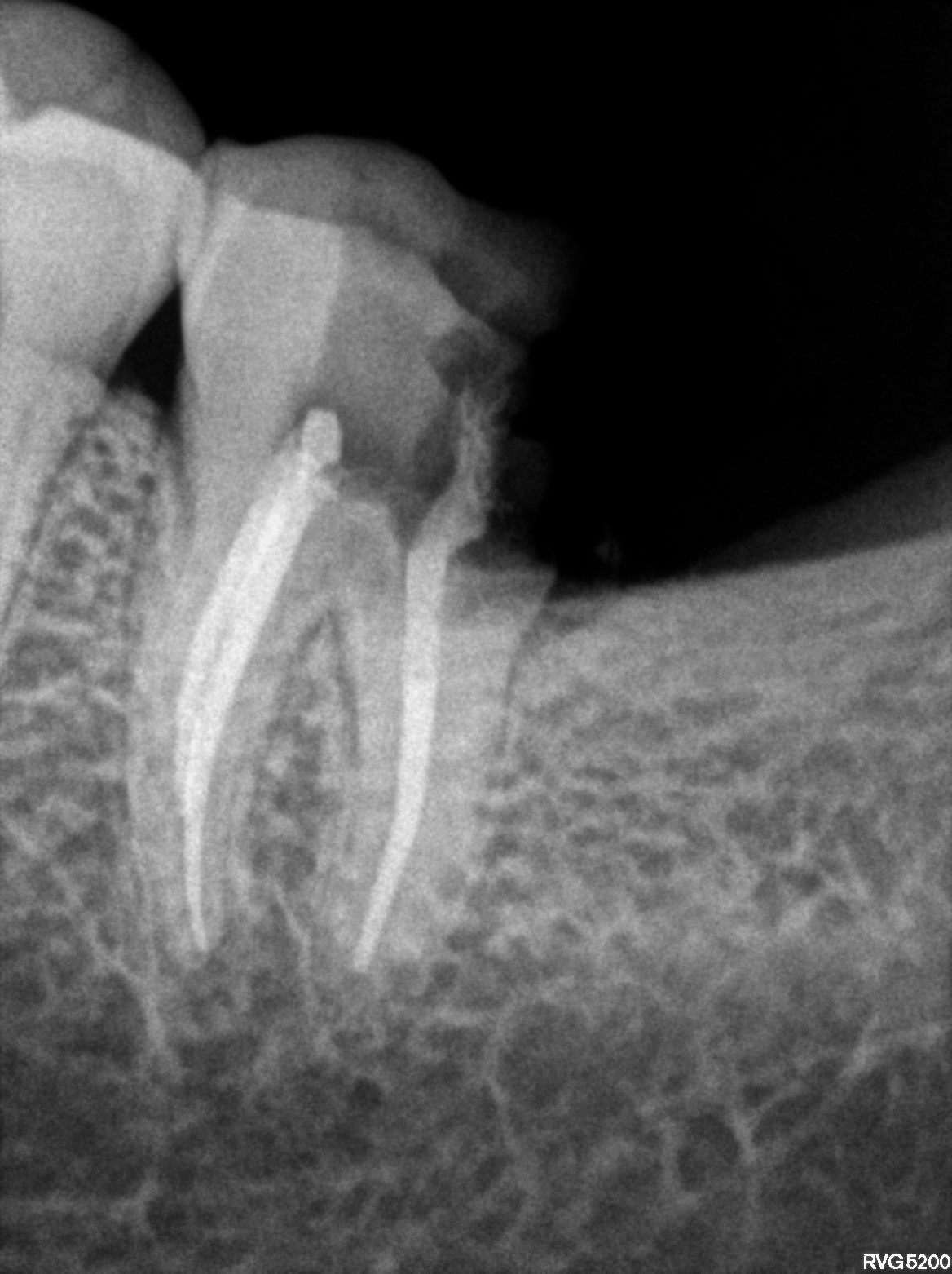
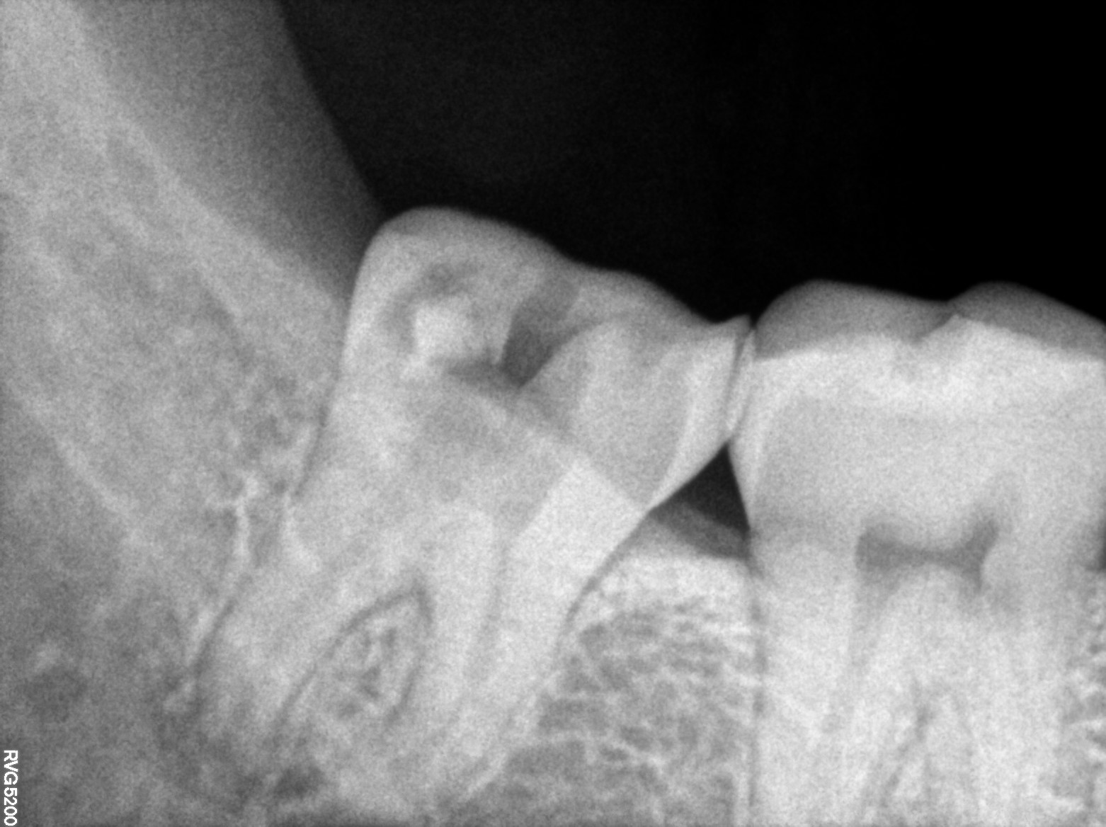
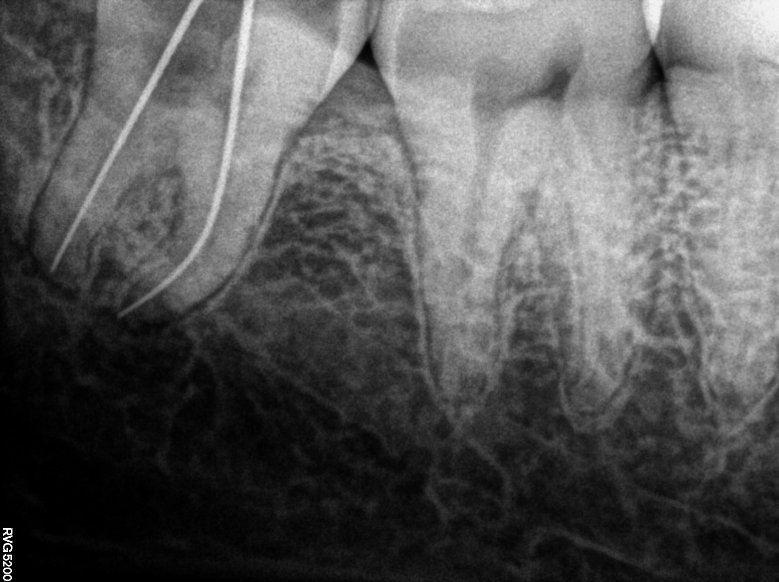
Dental Radiographs FHIR: DocumentReference · LOINC 24641-7
FHIR Bundle
R55.jpg
24641-7
R61.jpg
24641-7
R65.jpg
24641-7
R74.jpg
24641-7
R61 (2).jpg
24641-7
R63.jpg
24641-7
R56.jpg
24641-7
R75.jpg
24641-7
R64.jpg
24641-7
Invoices FHIR R4 Invoice · INR
FHIR Bundle⁢₹11,400
Charged
₹12,200
Paid
₹3,300
Outstanding
| Date | Procedure | Charged (₹) | Paid (₹) | Balance (₹) | Mode | Status | FHIR |
|---|---|---|---|---|---|---|---|
| 2026-03-13 | Crown of tooth | 300 | 300 | 0 | cash | balanced | |
| 2025-09-23 | Crown of tooth | 400 | 400 | 0 | online | balanced | |
| 2025-07-10 | Crown of tooth | 400 | 400 | 0 | online | balanced | |
| 2025-01-04 | Crown of tooth | 300 | 300 | 0 | — | balanced | |
| 2024-10-07 | Crown of tooth | 1,700 | 1,700 | 0 | — | balanced | |
| 2024-09-05 | Dental filling | 0 | 300 | -300 | — | cancelled | |
| 2024-09-02 | Dental filling | 0 | 500 | -500 | — | cancelled | |
| 2023-02-17 | Crown of tooth | 0 | 800 | -800 | — | cancelled | |
| 2023-02-11 | Crown of tooth | 1,800 | 1,000 | 800 | — | issued | |
| 2023-02-02 | Root canal treatment | 0 | 1,000 | -1,000 | — | cancelled | |
| 2023-01-20 | Root canal treatment | 4,000 | 3,000 | 1,000 | — | issued | |
| 2018-06-21 | Root canal treatment | 0 | 500 | -500 | — | cancelled | |
| 2018-06-15 | Root canal treatment | 0 | 1,000 | -1,000 | — | cancelled | |
| 2018-06-12 | Root canal treatment | 2,500 | 1,000 | 1,500 | — | issued |