Back to Patients
De-identified Patient
female
DOB: ••••-••-••
FHIR: Patient
Patient Information
FHIR: Patient
De-identified for demo. Identity fields are masked.
- Full Name
- De-identified
- Date of Birth
- ••••-••-••
- Gender
- female
- Phone
- ••••••••D)
- ••••@••••
- Address
- De-identified location
Quick Actions
9
Conditions
11
Procedures
17
Visits
8
Invoices
19
X-rays
Diagnosed Conditions
Add Condition| Condition | ICD-10-AM | SNOMED CT Ref. | Status | Onset | Notes | FHIR |
|---|---|---|---|---|---|---|
| Dental caries | — | 80967001 | resolved | 2026-03-19 | temp cementation done with 32-46... | |
| Dental caries | — | 80967001 | resolved | 2025-12-12 | temp cementation done with 32-46 | |
| Dental pulp necrosis | — | 234946006 | resolved | 2025-12-06 | OBT WITH 44 DONE, | |
| Dental caries | — | 80967001 | resolved | 2025-12-01 | impression taken for new bridge 32-46, | |
| Necrosis of dental pulp | K04.1 | 234946006 | resolved | 2025-11-29 | svrct with 32 | |
| Dental pulp necrosis | — | 234946006 | resolved | 2025-11-27 | obt with 42 43, bmp with 44 25.06 till apex | |
| Dental pulp necrosis | — | 234946006 | resolved | 2025-11-25 | a/o with 43 30.04 till apex and 42 25.04 till apex | |
| Necrosis of dental pulp | K04.1 | 234946006 | resolved | 2025-11-24 | re rct with 44, WL 30.04 3 stopper till apex | |
| Necrosis of dental pulp | K04.1 | 234946006 | resolved | 2025-11-17 | Adv bridge retrieval followed by rct with 3 teeth and a new bridge w.r.t 32 to 46 @49k approx |
Dental Procedures
Add Procedure| Procedure | SNOMED CT AU | CDT Code | Tooth | Date | Status | Notes | FHIR |
|---|---|---|---|---|---|---|---|
| Crown of tooth | 424311000 | — | ##32, #46 | 2026-03-19 | completed | temp cementation done with 32-46... | |
| Crown of tooth | 424311000 | D2750 Crown, porcelain fused to high noble metal | ##32, #46 | 2025-12-12 | completed | temp cementation done with 32-46 | |
| Root canal treatment | 234780006 | — | ##44 | 2025-12-06 | completed | OBT WITH 44 DONE, | |
| Dental procedure (other) | 74964007 | D9999 Unspecified adjunctive procedure, by report | — | 2025-12-01 | completed | bridge retrieval done | |
| Dental prosthesis construction | 234783000 | D9999 Unspecified adjunctive procedure, by report | ##32, #46 | 2025-12-01 | completed | impression taken for new bridge 32-46, | |
| Root canal treatment | 234780006 | D3310 Endodontic therapy, anterior tooth | ##32 | 2025-11-29 | completed | svrct with 32 | |
| Root canal treatment | 234780006 | D3310 Endodontic therapy, anterior tooth | ##42, #43, #44 | 2025-11-27 | completed | obt with 42 43, bmp with 44 25.06 till apex | |
| Root canal treatment | 234780006 | D3310 Endodontic therapy, anterior tooth | ##43, #42 | 2025-11-25 | completed | a/o with 43 30.04 till apex and 42 25.04 till apex | |
| Root canal treatment | 234780006 | D3347 Retreatment of previous root canal therapy - premolar | ##44 | 2025-11-24 | completed | re rct with 44, WL 30.04 3 stopper till apex | |
| Root canal treatment | 234780006 | — | — | 2025-11-24 | completed | adv 4rct , 8cap , bridge retrieval @ 49k | |
| Root canal treatment | 234780006 | D3310 Endodontic therapy, anterior tooth | ##32, #46 | 2025-11-17 | completed | Adv bridge retrieval followed by rct with 3 teeth and a new bridge w.r.t 32 to 46 @49k approx |
Appointment History
Book Appointment| Date & Time | Status | Clinical Notes | FHIR |
|---|---|---|---|
| 2026-03-19 13:02 | fulfilled | temp cementation done with 32-46... — Dr Hani | |
| 2025-12-12 12:45 | fulfilled | temp cementation done with 32-46 — Dr Riyaz | |
| 2025-12-06 13:57 | fulfilled | Dental visit — Dr Riyaz | |
| 2025-12-06 12:55 | fulfilled | OBT WITH 44 DONE, — Dr Riyaz | |
| 2025-12-03 12:27 | fulfilled | Dental visit | |
| 2025-12-01 13:57 | fulfilled | impression taken for new bridge 32-46, — Dr Riyaz | |
| 2025-12-01 13:52 | fulfilled | Dental visit | |
| 2025-12-01 13:16 | fulfilled | bridge retrieval done — Dr Riyaz | |
| 2025-11-29 13:20 | fulfilled | Dental visit — Dr Riyaz | |
| 2025-11-29 12:43 | fulfilled | svrct with 32 | |
| 2025-11-27 14:53 | fulfilled | Dental visit | |
| 2025-11-27 14:36 | fulfilled | obt with 42 43, bmp with 44 25.06 till apex — Dr Riyaz | |
| 2025-11-25 12:44 | fulfilled | a/o with 43 30.04 till apex and 42 25.04 till apex — Dr Riyaz | |
| 2025-11-24 21:51 | fulfilled | adv 4rct , 8cap , bridge retrieval @ 49k | |
| 2025-11-24 13:41 | fulfilled | Dental visit — Dr Riyaz | |
| 2025-11-24 13:36 | fulfilled | re rct with 44, WL 30.04 3 stopper till apex — Dr Riyaz | |
| 2025-11-17 15:20 | fulfilled | Adv bridge retrieval followed by rct with 3 teeth and a new bridge w.r.t 32 to 46 @49k approx |
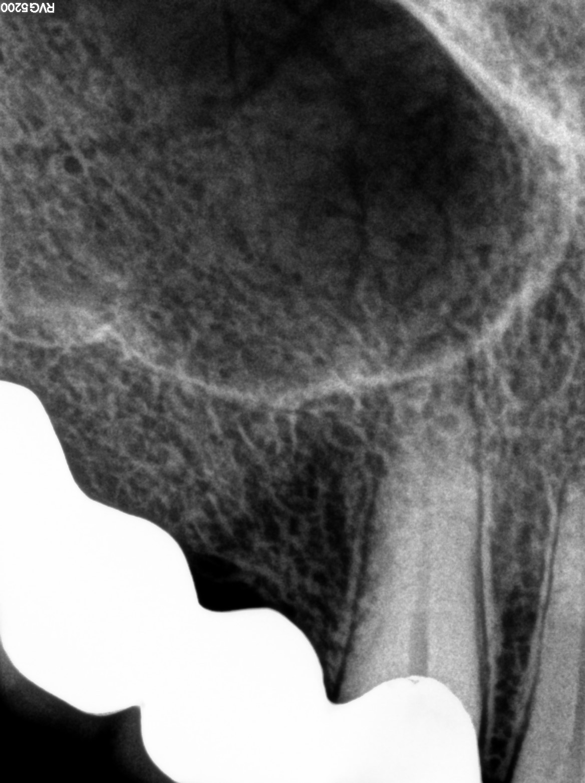
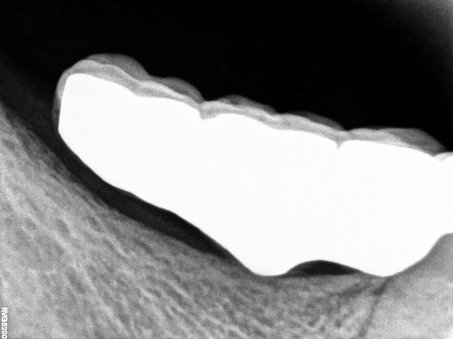
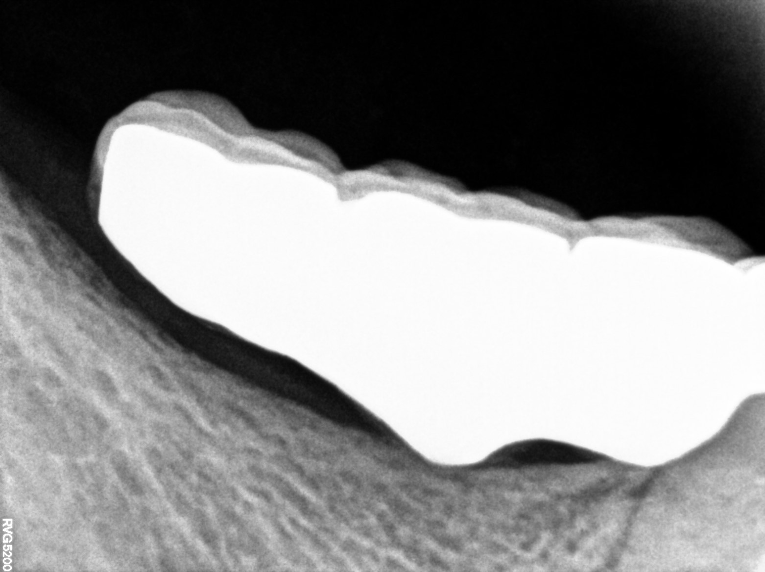
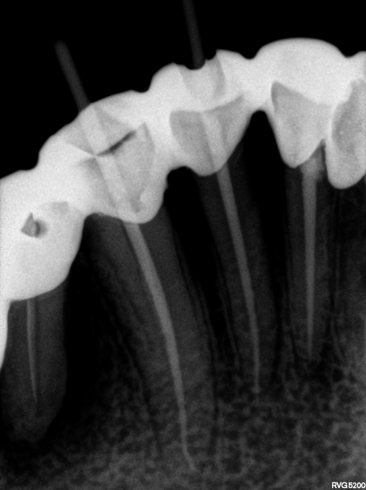
Dental Radiographs FHIR: DocumentReference · LOINC 24641-7
FHIR Bundle
xray_1765005927_0.jpg
24641-7
xray_1763362538_4.jpg
24641-7
xray_1764234367_1.jpg
24641-7
xray_1763362538_0.jpg
24641-7
xray_1763362542_4.jpg
24641-7
xray_1764234367_0.jpg
24641-7
xray_1763362538_5.jpg
24641-7
xray_1763362542_5.jpg
24641-7
xray_1764234367_2.jpg
24641-7
xray_1764402791_0.jpg
24641-7
xray_1773905527_1.jpg
24641-7
xray_1763362541_0.jpg
24641-7
xray_1763362541_1.jpg
24641-7
xray_1763362542_2.jpg
24641-7
xray_1763362538_2.jpg
24641-7
xray_1763362538_1.jpg
24641-7
xray_1763362538_3.jpg
24641-7
xray_1763362542_3.jpg
24641-7
xray_1773905527_0.jpg
24641-7
Invoices FHIR R4 Invoice · INR
FHIR Bundle⁢₹46,000
Charged
₹46,000
Paid
₹49,000
Outstanding
| Date | Procedure | Charged (₹) | Paid (₹) | Balance (₹) | Mode | Status | FHIR |
|---|---|---|---|---|---|---|---|
| 2025-12-06 | Root canal treatment | 0 | 8,000 | -8,000 | cash | cancelled | |
| 2025-12-03 | Dental procedure | 0 | 5,000 | -5,000 | — | cancelled | |
| 2025-12-01 | Dental procedure (other) | -3,000 | 20,000 | -23,000 | — | balanced | |
| 2025-11-29 | Root canal treatment | 0 | 3,000 | -3,000 | cash | cancelled | |
| 2025-11-27 | Root canal treatment | 0 | 3,000 | -3,000 | cash | cancelled | |
| 2025-11-25 | Root canal treatment | 0 | 3,000 | -3,000 | — | cancelled | |
| 2025-11-24 | Root canal treatment | 49,000 | 0 | 49,000 | — | issued | |
| 2025-11-24 | Root canal treatment | 0 | 4,000 | -4,000 | — | cancelled |