Back to Patients
De-identified Patient
female
DOB: ••••-••-••
FHIR: Patient
Patient Information
FHIR: Patient
De-identified for demo. Identity fields are masked.
- Full Name
- De-identified
- Date of Birth
- ••••-••-••
- Gender
- female
- Phone
- ••••••••81
- ••••@••••
- Address
- De-identified location
Quick Actions
77
Conditions
98
Procedures
110
Visits
77
Invoices
25
X-rays
Diagnosed Conditions
Add Condition| Condition | ICD-10-AM | SNOMED CT Ref. | Status | Onset | Notes | FHIR |
|---|---|---|---|---|---|---|
| Dental caries | — | 80967001 | resolved | 2025-12-02 | recementation 46 | |
| Dental caries | — | 80967001 | resolved | 2025-07-03 | recmentation 48 . adv new crown if needed | |
| Dental caries | — | 80967001 | resolved | 2025-04-30 | crown prep pfm lower ant 4 to 5 unit | |
| Dental pulp necrosis | — | 234946006 | resolved | 2025-04-18 | obt wih 32 33 41 42 | |
| Dental pulp necrosis | — | 234946006 | resolved | 2025-04-09 | a/o 32 33 41 42, bmp 20.04 till apex .... 20.04 long file for 33 | |
| Dental caries | — | 80967001 | resolved | 2024-12-09 | recementation 46 | |
| Dental caries | — | 80967001 | resolved | 2024-07-09 | crown cem 13 & 14 | |
| Dental caries | — | 80967001 | resolved | 2024-07-02 | crown prep 13 & 14 | |
| Dental pulp necrosis | — | 234946006 | resolved | 2024-06-11 | obt done with 13 & 14 | |
| Dental pulp necrosis | — | 234946006 | resolved | 2024-06-06 | a/o 13 20-04 & 14 buccal 20-04 & pal 25k fie | |
| Necrosis of dental pulp | K04.1 | 234946006 | resolved | 2024-03-09 | dtech 14 as temp due to dislogmed filling in 14 and upcoming ramzan- Adv 14 13 rct and cap | |
| Dental caries | — | 80967001 | resolved | 2024-01-30 | crown cem 21 & 22 | |
| Dental caries | — | 80967001 | resolved | 2024-01-25 | crown prep pfm 21 & 22 a2 inciscal- Middle and cevical a3 | |
| Dental pulp necrosis | — | 234946006 | resolved | 2024-01-15 | obt 21 & 22 | |
| Dental pulp necrosis | — | 234946006 | resolved | 2024-01-10 | a/o with 21 & 22-bmp 30-04 ill apex | |
| Dental pulp necrosis | — | 234946006 | resolved | 2024-01-06 | a/o 21 & 22 25-04 done | |
| Dental caries | — | 80967001 | resolved | 2023-03-30 | 12 & 16 & 43 cap cementation done | |
| Dental caries | — | 80967001 | resolved | 2023-03-22 | tooth prep done with 12 & 43 & 16 impression recorded & d3 shade 12 & 43 pfm 16 metal | |
| Necrosis of dental pulp | K04.1 | 234946006 | resolved | 2023-03-21 | 16 obt done 20-04 all three canals | |
| Necrosis of dental pulp | K04.1 | 234946006 | resolved | 2023-03-18 | 16 & bmp 20-04 all 3 canal & hypo done | |
| Dental pulp necrosis | — | 234946006 | resolved | 2023-03-15 | 12 & 43 obt done 16 ao done | |
| Dental pulp necrosis | — | 234946006 | resolved | 2023-03-13 | 12 & hypo done | |
| Dental pulp necrosis | — | 234946006 | resolved | 2023-03-10 | 12 & 43 ao and bmp done with 25-04 & hypo done | |
| Dental caries | — | 80967001 | resolved | 2023-01-12 | 44 cap cementation done | |
| Dental caries | — | 80967001 | resolved | 2023-01-03 | 34 cap cementation done | |
| Dental pulp necrosis | — | 234946006 | resolved | 2022-12-30 | 44 obt done | |
| Dental caries | — | 80967001 | resolved | 2022-12-30 | crown prep metal 44 & 34 | |
| Dental pulp necrosis | — | 234946006 | resolved | 2022-12-27 | a/o 44 30-04 | |
| Dental pulp necrosis | — | 234946006 | resolved | 2022-12-19 | 34 obt done | |
| Dental pulp necrosis | — | 234946006 | resolved | 2022-12-14 | a/o 34 30-04 till paex & hypo done | |
| Necrosis of dental pulp | K04.1 | 234946006 | resolved | 2022-08-04 | rct with 16 if needed | |
| Dental pulp necrosis | — | 234946006 | resolved | 2022-03-28 | type ix 16 payment- Adv rc if needed | |
| Dental caries | — | 80967001 | resolved | 2022-02-17 | type ix 16 | |
| Dental caries | — | 80967001 | resolved | 2021-09-07 | crown cem 26 metal | |
| Dental caries | — | 80967001 | resolved | 2021-08-30 | crown prep metal 26 | |
| Dental pulp necrosis | — | 234946006 | resolved | 2021-08-16 | obt 26 | |
| Necrosis of dental pulp | K04.1 | 234946006 | resolved | 2021-08-11 | a/o 26 & all canals 20-04 till ape & hypo done | |
| Dental caries | — | 80967001 | resolved | 2021-08-09 | crown cut and removed 26 | |
| Dental pulp necrosis | — | 234946006 | resolved | 2021-08-09 | a/o 26 | |
| Dental caries | — | 80967001 | resolved | 2020-02-29 | crown cem 15 | |
| Dental caries | — | 80967001 | resolved | 2020-02-25 | crown prep metal 15 | |
| Dental pulp necrosis | — | 234946006 | resolved | 2020-02-17 | obt 15 | |
| Dental pulp necrosis | — | 234946006 | resolved | 2020-02-15 | a/o 15 25-04 bmp done till apex | |
| Dental caries | — | 80967001 | resolved | 2019-09-12 | crown cem 24 with gingivectomy | |
| Necrosis of dental pulp | K04.1 | 234946006 | resolved | 2019-08-27 | crown prep metal 34 of rct done somewhere else | |
| Dental pulp necrosis | — | 234946006 | resolved | 2019-04-17 | OBT 24 | |
| Necrosis of dental pulp | K04.1 | 234946006 | resolved | 2019-04-13 | a/o 24 - Buccal 20 sep at apex- Bmp done both canals f1 | |
| Dental caries | — | 80967001 | resolved | 2019-04-06 | type ix rest 13 mesial- | |
| Dental caries | — | 80967001 | resolved | 2019-03-04 | crown cem 23 | |
| Dental caries | — | 80967001 | resolved | 2019-02-27 | crown prep pfm 23 | |
| Dental pulp necrosis | — | 234946006 | resolved | 2018-12-27 | obt 23 | |
| Dental pulp necrosis | — | 234946006 | resolved | 2018-12-19 | a/o 23 f1 full lenght- Bmp done | |
| Dental pulp necrosis | — | 234946006 | resolved | 2018-07-04 | obt 45 | |
| Dental caries | — | 80967001 | resolved | 2018-07-04 | crown prep metal 45 naved | |
| Dental pulp necrosis | — | 234946006 | resolved | 2018-06-30 | a/o 45 | |
| Dental caries | — | 80967001 | resolved | 2017-11-14 | ext 28 - 27 crown disloged with enmass # crown of rc treatte- Pt told 27 cannot be put back | |
| Dental caries | — | 80967001 | resolved | 2017-08-30 | recementation 36 & 37 & 38 | |
| Dental caries | — | 80967001 | resolved | 2017-08-26 | 36 & 37 & 38 crown removed - Infectionbelw- Recalled agfter 3 day for recementation | |
| Dental caries | — | 80967001 | resolved | 2016-08-23 | crown cem metal apna lab | |
| Dental caries | — | 80967001 | resolved | 2016-08-13 | crown prep metal | |
| Dental pulp necrosis | — | 234946006 | resolved | 2016-08-01 | obt 25 | |
| Dental caries, unspecified | K02.9 | 80967001 | resolved | 2016-07-27 | adv rct 25 rvg done- Proximal caries detected@2900 | |
| Dental pulp necrosis | — | 234946006 | resolved | 2016-07-27 | a/o 25 f1 | |
| Dental caries | — | 80967001 | resolved | 2016-03-26 | crown cut and removed 17 | |
| Dental caries, unspecified | K02.9 | 80967001 | resolved | 2011-01-15 | composite filling 1213 | |
| Dental caries | — | 80967001 | resolved | 2010-07-26 | recementation 16 & 17 | |
| Dental caries | — | 80967001 | resolved | 2010-07-08 | crorwn cementation temporary with IRM | |
| Dental caries | — | 80967001 | resolved | 2010-07-06 | crown prep metal 36 & 37 & 38 | |
| Necrosis of dental pulp | K04.1 | 234946006 | resolved | 2010-06-23 | obturation 36 | |
| Dental pulp necrosis | — | 234946006 | resolved | 2010-06-09 | bmp same Mb 16m & ml 17mm & dis 185mm | |
| Dental pulp necrosis | — | 234946006 | resolved | 2010-06-07 | bmp same length Okay | |
| Dental pulp necrosis | — | 234946006 | resolved | 2010-06-04 | A/o 36 mesial 18mm 25 distal 20mm 30 | |
| Dental pulp necrosis | — | 234946006 | resolved | 2010-03-15 | opd c/o pain in three quadrants 1 & 3 & 4 | |
| Dental caries | — | 80967001 | resolved | 2009-11-04 | crown cementation | |
| Dental caries | — | 80967001 | resolved | 2009-10-30 | crown prep 27 metal | |
| Necrosis of dental pulp | K04.1 | 234946006 | resolved | 2009-10-16 | obturation 27 | |
| Dental pulp necrosis | — | 234946006 | resolved | 2009-10-13 | bmp okay |
Dental Procedures
Add Procedure| Procedure | SNOMED CT AU | CDT Code | Tooth | Date | Status | Notes | FHIR |
|---|---|---|---|---|---|---|---|
| Tooth extraction | 424451000 | D7140 Extraction, erupted tooth or exposed root | ##48 | 2026-03-03 | completed | extn done with 48 | |
| Dental procedure (other) | 74964007 | D9999 Unspecified adjunctive procedure, by report | — | 2026-03-03 | completed | rs 1300 balance | |
| Crown of tooth | 424311000 | — | ##46 | 2025-12-02 | completed | recementation 46 | |
| Crown of tooth | 424311000 | D2750 Crown, porcelain fused to high noble metal | ##48 | 2025-07-03 | completed | recmentation 48 . adv new crown if needed | |
| Dental procedure (other) | 74964007 | D9999 Unspecified adjunctive procedure, by report | — | 2025-05-03 | completed | metal trial | |
| Crown of tooth | 424311000 | — | — | 2025-04-30 | completed | crown prep pfm lower ant 4 to 5 unit | |
| Root canal treatment | 234780006 | — | ##32, #33, #41, #42 | 2025-04-18 | completed | obt wih 32 33 41 42 | |
| Dental procedure (other) | 74964007 | D9999 Unspecified adjunctive procedure, by report | ##32, #33 | 2025-04-12 | completed | CaOH dressing with 32 33 | |
| Root canal treatment | 234780006 | D3310 Endodontic therapy, anterior tooth | ##32, #33, #41, #42 | 2025-04-09 | completed | a/o 32 33 41 42, bmp 20.04 till apex .... 20.04 long file for 33 | |
| Dental procedure (other) | 74964007 | D9999 Unspecified adjunctive procedure, by report | — | 2025-04-09 | completed | New Treatment Started | |
| Tooth extraction | 424451000 | D7140 Extraction, erupted tooth or exposed root | ##41 | 2025-04-09 | completed | extn with 41 | |
| Root canal treatment | 234780006 | — | — | 2025-04-09 | completed | 4 rct with 4 fillings and 1 extn | |
| Crown of tooth | 424311000 | — | ##46 | 2024-12-09 | completed | recementation 46 | |
| Crown of tooth | 424311000 | — | ##13, #14 | 2024-07-09 | completed | crown cem 13 & 14 | |
| Crown of tooth | 424311000 | D2750 Crown, porcelain fused to high noble metal | ##13, #14 | 2024-07-02 | completed | crown prep 13 & 14 | |
| Root canal treatment | 234780006 | — | ##13, #14 | 2024-06-11 | completed | obt done with 13 & 14 | |
| Root canal treatment | 234780006 | D3310 Endodontic therapy, anterior tooth | ##13, #14 | 2024-06-06 | completed | a/o 13 20-04 & 14 buccal 20-04 & pal 25k fie | |
| Root canal treatment | 234780006 | D3320 Endodontic therapy, premolar tooth | ##14, #13 | 2024-03-09 | completed | dtech 14 as temp due to dislogmed filling in 14 and upcoming ramzan- Adv 14 13 rct and cap | |
| Crown of tooth | 424311000 | — | ##21, #22 | 2024-01-30 | completed | crown cem 21 & 22 | |
| Crown of tooth | 424311000 | D2750 Crown, porcelain fused to high noble metal | ##21, #22 | 2024-01-25 | completed | crown prep pfm 21 & 22 a2 inciscal- Middle and cevical a3 | |
| Root canal treatment | 234780006 | — | ##21, #22 | 2024-01-15 | completed | obt 21 & 22 | |
| Root canal treatment | 234780006 | — | ##21, #22 | 2024-01-10 | completed | a/o with 21 & 22-bmp 30-04 ill apex | |
| Root canal treatment | 234780006 | D3310 Endodontic therapy, anterior tooth | ##21, #22 | 2024-01-06 | completed | a/o 21 & 22 25-04 done | |
| Crown of tooth | 424311000 | D2750 Crown, porcelain fused to high noble metal | ##12, #16, #43 | 2023-03-30 | completed | 12 & 16 & 43 cap cementation done | |
| Crown of tooth | 424311000 | D2750 Crown, porcelain fused to high noble metal | ##12, #43, #16 | 2023-03-22 | completed | tooth prep done with 12 & 43 & 16 impression recorded & d3 shade 12 & 43 pfm 16 metal | |
| Root canal treatment | 234780006 | — | ##16 | 2023-03-21 | completed | 16 obt done 20-04 all three canals | |
| Dental procedure (other) | 74964007 | D9999 Unspecified adjunctive procedure, by report | ##12, #43, #16 | 2023-03-21 | completed | d tech done in 12 & 43 & 16- | |
| Root canal treatment | 234780006 | — | ##16 | 2023-03-18 | completed | 16 & bmp 20-04 all 3 canal & hypo done | |
| Root canal treatment | 234780006 | D3310 Endodontic therapy, anterior tooth | ##12, #43, #16 | 2023-03-15 | completed | 12 & 43 obt done 16 ao done | |
| Root canal treatment | 234780006 | — | ##16 | 2023-03-15 | completed | a/o 16 & bmp 10k all 3 canals | |
| Root canal treatment | 234780006 | D3310 Endodontic therapy, anterior tooth | ##12 | 2023-03-13 | completed | 12 & hypo done | |
| Root canal treatment | 234780006 | D3310 Endodontic therapy, anterior tooth | ##12, #43 | 2023-03-10 | completed | 12 & 43 ao and bmp done with 25-04 & hypo done | |
| Dental procedure (other) | 74964007 | D9999 Unspecified adjunctive procedure, by report | ##46 | 2023-01-16 | completed | crrown cem 46 | |
| Crown of tooth | 424311000 | D2750 Crown, porcelain fused to high noble metal | ##44 | 2023-01-12 | completed | 44 cap cementation done | |
| Crown of tooth | 424311000 | D2750 Crown, porcelain fused to high noble metal | ##46 | 2023-01-12 | completed | crown prep metL 46 | |
| Crown of tooth | 424311000 | D2750 Crown, porcelain fused to high noble metal | ##34 | 2023-01-03 | completed | 34 cap cementation done | |
| Root canal treatment | 234780006 | — | ##44 | 2022-12-30 | completed | 44 obt done | |
| Crown of tooth | 424311000 | D2750 Crown, porcelain fused to high noble metal | ##44, #34 | 2022-12-30 | completed | crown prep metal 44 & 34 | |
| Root canal treatment | 234780006 | D3320 Endodontic therapy, premolar tooth | ##44 | 2022-12-27 | completed | a/o 44 30-04 | |
| Root canal treatment | 234780006 | — | ##34 | 2022-12-19 | completed | 34 obt done | |
| Root canal treatment | 234780006 | — | ##34 | 2022-12-19 | completed | rct + crown 34 | |
| Root canal treatment | 234780006 | — | ##34 | 2022-12-14 | completed | a/o 34 30-04 till paex & hypo done | |
| Root canal treatment | 234780006 | — | ##16 | 2022-08-04 | completed | rct with 16 if needed | |
| Root canal treatment | 234780006 | D3330 Endodontic therapy, molar tooth | ##16 | 2022-03-28 | completed | type ix 16 payment- Adv rc if needed | |
| Dental filling | 180534004 | D2940 Protective restoration (GIC) | ##16 | 2022-02-17 | completed | type ix 16 | |
| Dental procedure (other) | 74964007 | D9999 Unspecified adjunctive procedure, by report | ##11 | 2021-10-12 | completed | 11 brakcetc changed | |
| Crown of tooth | 424311000 | — | ##26 | 2021-09-07 | completed | crown cem 26 metal | |
| Crown of tooth | 424311000 | — | ##26 | 2021-08-30 | completed | crown prep metal 26 | |
| Root canal treatment | 234780006 | — | ##26 | 2021-08-16 | completed | obt 26 | |
| Root canal treatment | 234780006 | — | ##26 | 2021-08-11 | completed | a/o 26 & all canals 20-04 till ape & hypo done | |
| Crown of tooth | 424311000 | D2750 Crown, porcelain fused to high noble metal | ##26 | 2021-08-09 | completed | crown cut and removed 26 | |
| Root canal treatment | 234780006 | D3330 Endodontic therapy, molar tooth | ##26 | 2021-08-09 | completed | a/o 26 | |
| Crown of tooth | 424311000 | — | ##15 | 2020-02-29 | completed | crown cem 15 | |
| Crown of tooth | 424311000 | D2750 Crown, porcelain fused to high noble metal | ##15 | 2020-02-25 | completed | crown prep metal 15 | |
| Root canal treatment | 234780006 | — | ##15 | 2020-02-17 | completed | obt 15 | |
| Root canal treatment | 234780006 | D3320 Endodontic therapy, premolar tooth | ##15 | 2020-02-15 | completed | a/o 15 25-04 bmp done till apex | |
| Crown of tooth | 424311000 | D2750 Crown, porcelain fused to high noble metal | ##24 | 2019-09-12 | completed | crown cem 24 with gingivectomy | |
| Root canal treatment | 234780006 | D3320 Endodontic therapy, premolar tooth | ##34 | 2019-08-27 | completed | crown prep metal 34 of rct done somewhere else | |
| Root canal treatment | 234780006 | — | ##24 | 2019-04-17 | completed | OBT 24 | |
| Root canal treatment | 234780006 | D3320 Endodontic therapy, premolar tooth | ##24 | 2019-04-13 | completed | a/o 24 - Buccal 20 sep at apex- Bmp done both canals f1 | |
| Dental procedure (other) | 74964007 | D9999 Unspecified adjunctive procedure, by report | ##14, #15 | 2019-04-08 | completed | comppsite 14 mesial & 15 mesial | |
| Dental filling | 180534004 | D2940 Protective restoration (GIC) | ##13 | 2019-04-06 | completed | type ix rest 13 mesial- | |
| Dental filling | 180534004 | D2940 Protective restoration (GIC) | ##14 | 2019-04-06 | completed | type ix class 2 14 mesial- Sandwich tech to be done | |
| Crown of tooth | 424311000 | — | ##23 | 2019-03-04 | completed | crown cem 23 | |
| Crown of tooth | 424311000 | D2750 Crown, porcelain fused to high noble metal | ##23 | 2019-02-27 | completed | crown prep pfm 23 | |
| Root canal treatment | 234780006 | — | ##23 | 2018-12-27 | completed | obt 23 | |
| Root canal treatment | 234780006 | D3310 Endodontic therapy, anterior tooth | ##23 | 2018-12-19 | completed | a/o 23 f1 full lenght- Bmp done | |
| Root canal treatment | 234780006 | — | ##45 | 2018-07-04 | completed | obt 45 | |
| Crown of tooth | 424311000 | D2750 Crown, porcelain fused to high noble metal | ##45 | 2018-07-04 | completed | crown prep metal 45 naved | |
| Root canal treatment | 234780006 | D3320 Endodontic therapy, premolar tooth | ##45 | 2018-06-30 | completed | a/o 45 | |
| Crown of tooth | 424311000 | D2750 Crown, porcelain fused to high noble metal | ##28, #27 | 2017-11-14 | completed | ext 28 - 27 crown disloged with enmass # crown of rc treatte- Pt told 27 cannot be put back | |
| Crown of tooth | 424311000 | — | ##36, #37, #38 | 2017-08-30 | completed | recementation 36 & 37 & 38 | |
| Crown of tooth | 424311000 | — | ##36, #37, #38 | 2017-08-30 | completed | crown cem 36 & 37 & 38 | |
| Crown of tooth | 424311000 | — | ##36, #37, #38 | 2017-08-26 | completed | 36 & 37 & 38 crown removed - Infectionbelw- Recalled agfter 3 day for recementation | |
| Crown of tooth | 424311000 | — | — | 2016-08-23 | completed | crown cem metal apna lab | |
| Crown of tooth | 424311000 | — | — | 2016-08-13 | completed | crown prep metal | |
| Root canal treatment | 234780006 | — | ##25 | 2016-08-01 | completed | obt 25 | |
| Root canal treatment | 234780006 | D3320 Endodontic therapy, premolar tooth | ##25 | 2016-07-27 | completed | adv rct 25 rvg done- Proximal caries detected@2900 | |
| Dental consultation and report | 103697008 | D0140 Limited oral evaluation | ##28 | 2016-07-27 | completed | adv ext 28 | |
| Root canal treatment | 234780006 | — | ##25 | 2016-07-27 | completed | a/o 25 f1 | |
| Crown of tooth | 424311000 | D2750 Crown, porcelain fused to high noble metal | ##17 | 2016-03-26 | completed | crown cut and removed 17 | |
| Dental procedure (other) | 74964007 | D9999 Unspecified adjunctive procedure, by report | ##17 | 2016-03-26 | completed | ext 17 | |
| Dental consultation and report | 103697008 | D0140 Limited oral evaluation | ##18 | 2016-03-26 | completed | adv ext 18 | |
| Dental procedure (other) | 74964007 | D9999 Unspecified adjunctive procedure, by report | — | 2011-01-17 | completed | payment | |
| Dental filling | 180534004 | — | — | 2011-01-15 | completed | composite filling 1213 | |
| Crown of tooth | 424311000 | D2750 Crown, porcelain fused to high noble metal | ##16, #17 | 2010-07-26 | completed | recementation 16 & 17 | |
| Dental filling | 180534004 | — | — | 2010-07-08 | completed | crorwn cementation temporary with IRM | |
| Crown of tooth | 424311000 | D2750 Crown, porcelain fused to high noble metal | ##36, #37, #38 | 2010-07-06 | completed | crown prep metal 36 & 37 & 38 | |
| Root canal treatment | 234780006 | D3330 Endodontic therapy, molar tooth | ##36 | 2010-06-23 | completed | obturation 36 | |
| Root canal treatment | 234780006 | — | — | 2010-06-09 | completed | bmp same Mb 16m & ml 17mm & dis 185mm | |
| Root canal treatment | 234780006 | — | — | 2010-06-07 | completed | bmp same length Okay | |
| Root canal treatment | 234780006 | D3330 Endodontic therapy, molar tooth | ##36, #25 | 2010-06-04 | completed | A/o 36 mesial 18mm 25 distal 20mm 30 | |
| Root canal treatment | 234780006 | — | — | 2010-03-15 | completed | opd c/o pain in three quadrants 1 & 3 & 4 | |
| Crown of tooth | 424311000 | — | — | 2009-11-04 | completed | crown cementation | |
| Crown of tooth | 424311000 | D2750 Crown, porcelain fused to high noble metal | ##27 | 2009-10-30 | completed | crown prep 27 metal | |
| Root canal treatment | 234780006 | D3330 Endodontic therapy, molar tooth | ##27 | 2009-10-16 | completed | obturation 27 | |
| Root canal treatment | 234780006 | — | — | 2009-10-13 | completed | bmp okay | |
| Dental procedure (other) | 74964007 | D9999 Unspecified adjunctive procedure, by report | ##27, #25, #35 | 2009-10-07 | completed | Access 27 mesial 15mm 25 & distal 16mm 30 & palatal 185 35 |
Appointment History
Book Appointment| Date & Time | Status | Clinical Notes | FHIR |
|---|---|---|---|
| 2026-03-09 20:39 | fulfilled | Dental visit — Dr Riyaz | |
| 2026-03-03 14:01 | fulfilled | rs 1300 balance — Dr Riyaz | |
| 2026-03-03 13:47 | fulfilled | extn done with 48 — Dr Riyaz | |
| 2025-12-02 12:46 | fulfilled | Dental visit | |
| 2025-12-02 12:13 | fulfilled | recementation 46 | |
| 2025-07-03 13:08 | fulfilled | recmentation 48 . adv new crown if needed — Dr Riyaz | |
| 2025-05-03 14:04 | fulfilled | metal trial — Dr Riyaz | |
| 2025-04-30 13:36 | fulfilled | crown prep pfm lower ant 4 to 5 unit — Dr Riyaz | |
| 2025-04-18 12:20 | fulfilled | obt wih 32 33 41 42 — Dr Riyaz | |
| 2025-04-12 13:48 | fulfilled | CaOH dressing with 32 33 — Dr Riyaz | |
| 2025-04-09 15:08 | fulfilled | New Treatment Started — NULL | |
| 2025-04-09 15:08 | fulfilled | extn with 41 — Dr Riyaz | |
| 2025-04-09 15:08 | fulfilled | 4 rct with 4 fillings and 1 extn — Dr Riyaz | |
| 2025-04-09 15:06 | fulfilled | a/o 32 33 41 42, bmp 20.04 till apex .... 20.04 long file for 33 | |
| 2024-12-09 13:14 | fulfilled | recementation 46 — NULL | |
| 2024-07-09 12:56 | fulfilled | crown cem 13 & 14 — NULL | |
| 2024-07-02 12:59 | fulfilled | crown prep 13 & 14 — NULL | |
| 2024-06-11 13:49 | fulfilled | obt done with 13 & 14 — NULL | |
| 2024-06-06 11:55 | fulfilled | a/o 13 20-04 & 14 buccal 20-04 & pal 25k fie — NULL | |
| 2024-03-09 13:43 | fulfilled | Dental visit — NULL | |
| 2024-03-09 13:01 | fulfilled | dtech 14 as temp due to dislogmed filling in 14 and upcoming ramzan- Adv 14 13 rct and cap — NULL | |
| 2024-01-30 12:32 | fulfilled | crown cem 21 & 22 — NULL | |
| 2024-01-25 12:56 | fulfilled | crown prep pfm 21 & 22 a2 inciscal- Middle and cevical a3 — NULL | |
| 2024-01-15 14:30 | fulfilled | obt 21 & 22 — NULL | |
| 2024-01-10 13:49 | fulfilled | a/o with 21 & 22-bmp 30-04 ill apex — NULL | |
| 2024-01-06 12:41 | fulfilled | a/o 21 & 22 25-04 done — NULL | |
| 2023-03-30 13:14 | fulfilled | 12 & 16 & 43 cap cementation done — NULL | |
| 2023-03-22 12:46 | fulfilled | tooth prep done with 12 & 43 & 16 impression recorded & d3 shade 12 & 43 pfm 16 metal — NULL | |
| 2023-03-21 13:17 | fulfilled | d tech done in 12 & 43 & 16- — NULL | |
| 2023-03-21 12:51 | fulfilled | 16 obt done 20-04 all three canals — NULL | |
| 2023-03-18 14:09 | fulfilled | 16 & bmp 20-04 all 3 canal & hypo done — NULL | |
| 2023-03-15 14:47 | fulfilled | a/o 16 & bmp 10k all 3 canals — NULL | |
| 2023-03-15 14:26 | fulfilled | 12 & 43 obt done 16 ao done — NULL | |
| 2023-03-13 13:31 | fulfilled | 12 & hypo done — NULL | |
| 2023-03-10 13:44 | fulfilled | 12 & 43 ao and bmp done with 25-04 & hypo done — NULL | |
| 2023-03-10 13:08 | fulfilled | Dental visit — NULL | |
| 2023-01-16 15:15 | fulfilled | crrown cem 46 — NULL | |
| 2023-01-12 14:53 | fulfilled | crown prep metL 46 — NULL | |
| 2023-01-12 14:53 | fulfilled | Dental visit — NULL | |
| 2023-01-12 14:53 | fulfilled | Dental visit — NULL | |
| 2023-01-12 13:19 | fulfilled | 44 cap cementation done — NULL | |
| 2023-01-03 13:38 | fulfilled | 34 cap cementation done — NULL | |
| 2022-12-30 15:18 | fulfilled | crown prep metal 44 & 34 — NULL | |
| 2022-12-30 12:26 | fulfilled | 44 obt done — NULL | |
| 2022-12-27 15:05 | fulfilled | a/o 44 30-04 — NULL | |
| 2022-12-19 14:59 | fulfilled | rct + crown 34 — NULL | |
| 2022-12-19 14:12 | fulfilled | 34 obt done — NULL | |
| 2022-12-14 13:14 | fulfilled | a/o 34 30-04 till paex & hypo done — NULL | |
| 2022-08-04 13:58 | fulfilled | rct with 16 if needed — NULL | |
| 2022-03-28 15:52 | fulfilled | type ix 16 payment- Adv rc if needed — NULL | |
| 2022-02-17 15:52 | fulfilled | type ix 16 — NULL | |
| 2021-10-12 12:32 | fulfilled | 11 brakcetc changed — NULL | |
| 2021-09-07 13:40 | fulfilled | crown cem 26 metal — NULL | |
| 2021-08-30 12:38 | fulfilled | crown prep metal 26 — NULL | |
| 2021-08-16 16:56 | fulfilled | Dental visit — NULL | |
| 2021-08-16 14:15 | fulfilled | obt 26 — NULL | |
| 2021-08-11 14:39 | fulfilled | Dental visit — NULL | |
| 2021-08-11 14:35 | fulfilled | a/o 26 & all canals 20-04 till ape & hypo done — NULL | |
| 2021-08-09 17:04 | fulfilled | a/o 26 — NULL | |
| 2021-08-09 17:04 | fulfilled | crown cut and removed 26 — NULL | |
| 2020-02-29 18:36 | fulfilled | crown cem 15 — NULL | |
| 2020-02-25 13:46 | fulfilled | crown prep metal 15 — NULL | |
| 2020-02-17 14:06 | fulfilled | obt 15 — NULL | |
| 2020-02-15 20:00 | fulfilled | Dental visit — NULL | |
| 2020-02-15 13:36 | fulfilled | a/o 15 25-04 bmp done till apex — NULL | |
| 2019-09-12 12:08 | fulfilled | crown cem 24 with gingivectomy — NULL | |
| 2019-08-27 13:56 | fulfilled | crown prep metal 34 of rct done somewhere else — NULL | |
| 2019-04-17 14:31 | fulfilled | OBT 24 — NULL | |
| 2019-04-13 13:58 | fulfilled | a/o 24 - Buccal 20 sep at apex- Bmp done both canals f1 — NULL | |
| 2019-04-08 14:50 | fulfilled | comppsite 14 mesial & 15 mesial — NULL | |
| 2019-04-06 14:52 | fulfilled | Dental visit — NULL | |
| 2019-04-06 14:52 | fulfilled | Dental visit — NULL | |
| 2019-04-06 14:52 | fulfilled | Dental visit — NULL | |
| 2019-04-06 14:30 | fulfilled | type ix class 2 14 mesial- Sandwich tech to be done — NULL | |
| 2019-04-06 14:30 | fulfilled | type ix rest 13 mesial- — NULL | |
| 2019-03-04 12:58 | fulfilled | crown cem 23 — NULL | |
| 2019-02-27 14:17 | fulfilled | crown prep pfm 23 — NULL | |
| 2018-12-27 14:45 | fulfilled | obt 23 — NULL | |
| 2018-12-19 13:43 | fulfilled | a/o 23 f1 full lenght- Bmp done — NULL | |
| 2018-07-04 13:20 | fulfilled | crown prep metal 45 naved — NULL | |
| 2018-07-04 13:20 | fulfilled | obt 45 — NULL | |
| 2018-06-30 12:12 | fulfilled | a/o 45 — NULL | |
| 2017-11-14 10:41 | fulfilled | ext 28 - 27 crown disloged with enmass # crown of rc treatte- Pt told 27 cannot be put back — NULL | |
| 2017-08-30 13:20 | fulfilled | crown cem 36 & 37 & 38 — NULL | |
| 2017-08-30 13:20 | fulfilled | recementation 36 & 37 & 38 — NULL | |
| 2017-08-26 18:59 | fulfilled | 36 & 37 & 38 crown removed - Infectionbelw- Recalled agfter 3 day for recementation — NULL | |
| 2016-08-23 13:07 | fulfilled | crown cem metal apna lab — NULL | |
| 2016-08-13 20:26 | fulfilled | crown prep metal — NULL | |
| 2016-08-01 11:50 | fulfilled | obt 25 — NULL | |
| 2016-07-27 18:36 | fulfilled | a/o 25 f1 — NULL | |
| 2016-07-27 18:08 | fulfilled | adv ext 28 — NULL | |
| 2016-07-27 17:56 | fulfilled | adv rct 25 rvg done- Proximal caries detected@2900 — NULL | |
| 2016-03-26 11:13 | fulfilled | adv ext 18 — NULL | |
| 2016-03-26 11:13 | fulfilled | ext 17 — NULL | |
| 2016-03-26 10:41 | fulfilled | crown cut and removed 17 — NULL | |
| 2011-01-17 17:15 | fulfilled | payment — NULL | |
| 2011-01-15 14:05 | fulfilled | composite filling 1213 — NULL | |
| 2010-07-26 19:02 | fulfilled | recementation 16 & 17 — NULL | |
| 2010-07-08 12:48 | fulfilled | crorwn cementation temporary with IRM — NULL | |
| 2010-07-06 13:01 | fulfilled | crown prep metal 36 & 37 & 38 — NULL | |
| 2010-06-23 20:37 | fulfilled | obturation 36 — NULL | |
| 2010-06-09 20:10 | fulfilled | bmp same Mb 16m & ml 17mm & dis 185mm — NULL | |
| 2010-06-07 11:35 | fulfilled | bmp same length Okay — NULL | |
| 2010-06-04 20:33 | fulfilled | A/o 36 mesial 18mm 25 distal 20mm 30 — NULL | |
| 2010-03-15 21:09 | fulfilled | opd c/o pain in three quadrants 1 & 3 & 4 — NULL | |
| 2009-11-04 12:49 | fulfilled | crown cementation — NULL | |
| 2009-10-30 17:54 | fulfilled | crown prep 27 metal — NULL | |
| 2009-10-16 19:01 | fulfilled | obturation 27 — NULL | |
| 2009-10-13 19:04 | fulfilled | bmp okay — NULL | |
| 2009-10-07 18:56 | fulfilled | Access 27 mesial 15mm 25 & distal 16mm 30 & palatal 185 35 — NULL |
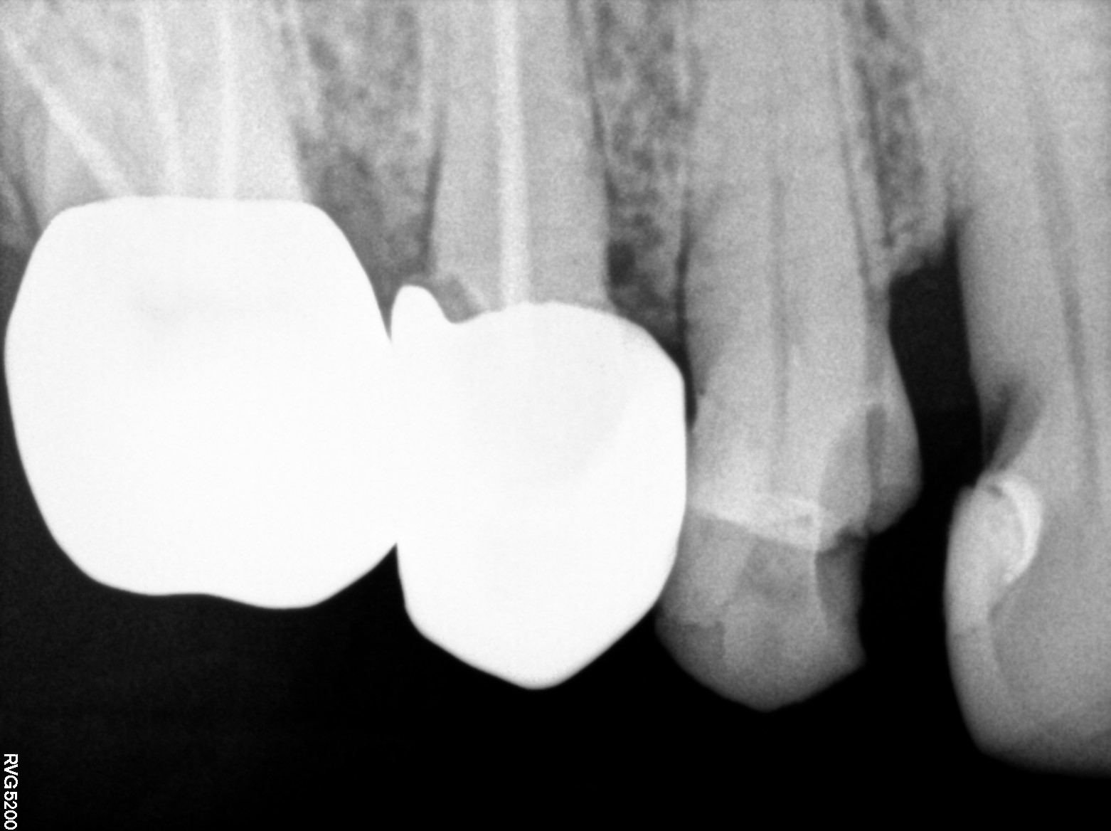
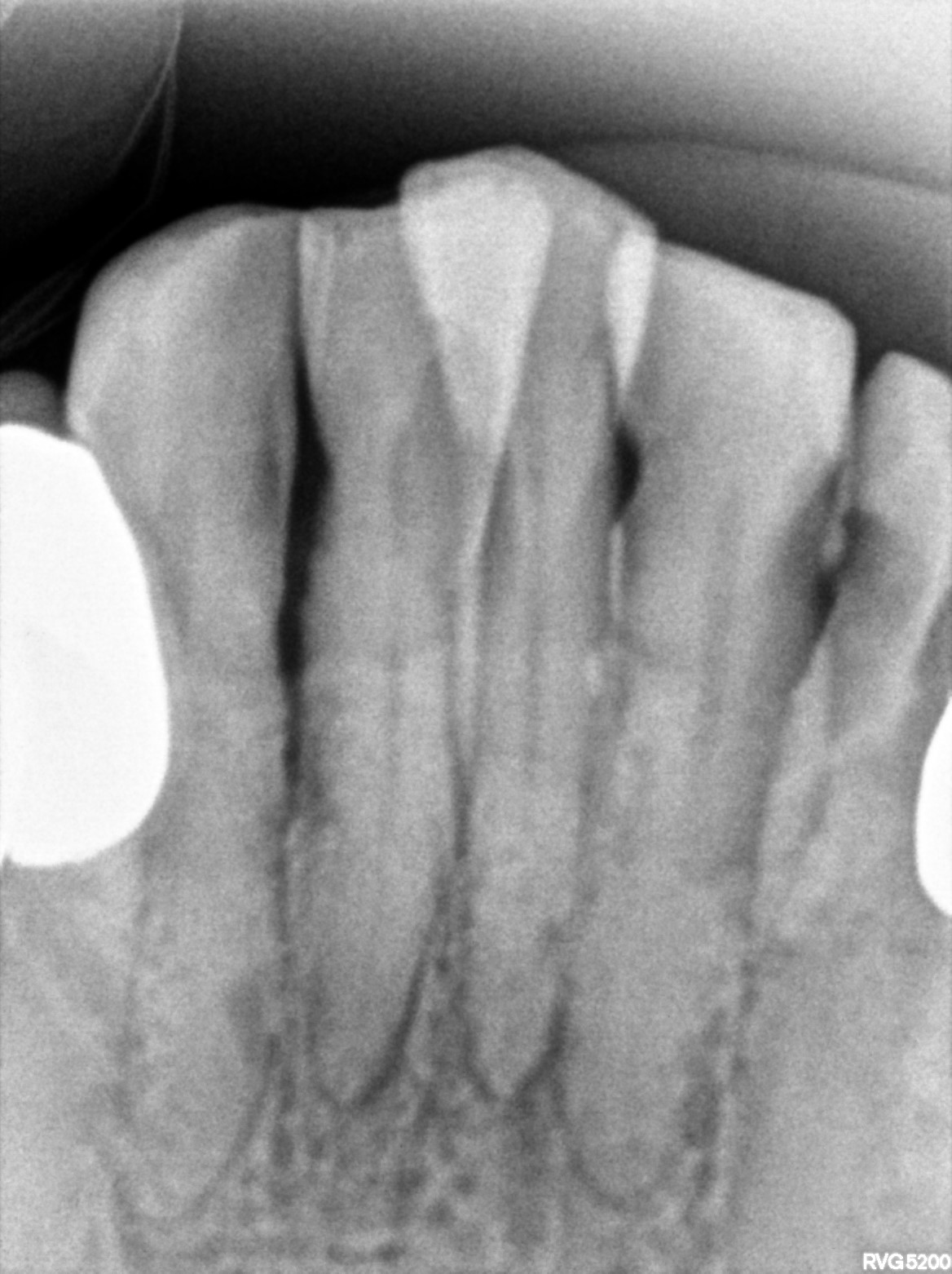
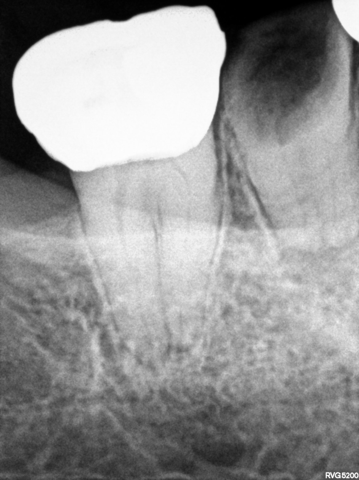
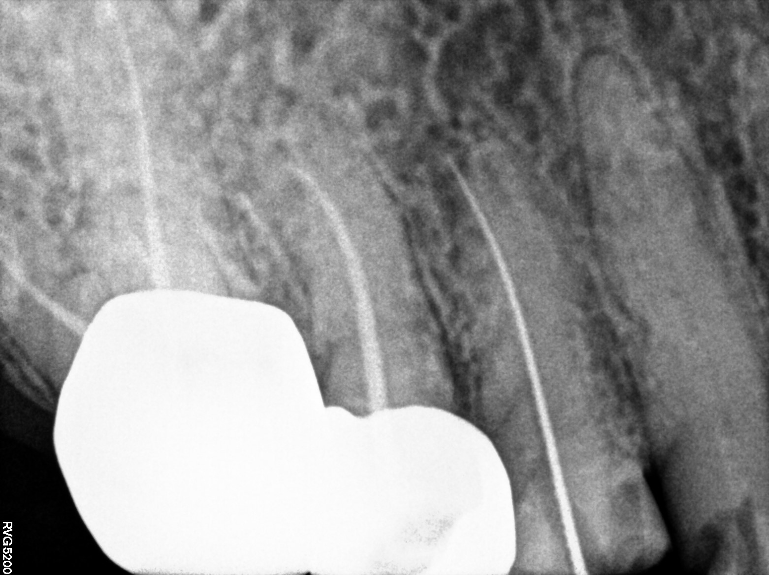
Dental Radiographs FHIR: DocumentReference · LOINC 24641-7
FHIR Bundle
d (1).jpg
24641-7
xray_1772525715_0.jpg
24641-7
d (14).jpg
24641-7
d (12).jpg
24641-7
d (16).jpg
24641-7
d (8).jpg
24641-7
xray_1744961481.jpg
24641-7
xray_1744961489.jpg
24641-7
d (6).jpg
24641-7
d (11).jpg
24641-7
d (5).jpg
24641-7
13 14.jpg
24641-7
d (7).jpg
24641-7
d (10).jpg
24641-7
xray_1744961383.jpg
24641-7
xray_1772525824_0.jpg
24641-7
d (13).jpg
24641-7
d (3).jpg
24641-7
xray_1744191896.jpg
24641-7
R59.jpg
24641-7
d (2).jpg
24641-7
d (9).jpg
24641-7
d (15).jpg
24641-7
d (4).jpg
24641-7
R54.jpg
24641-7
Invoices FHIR R4 Invoice · INR
FHIR Bundle⁢₹104,100
Charged
₹110,100
Paid
₹84,400
Outstanding
| Date | Procedure | Charged (₹) | Paid (₹) | Balance (₹) | Mode | Status | FHIR |
|---|---|---|---|---|---|---|---|
| 2026-03-09 | Dental procedure | 0 | 1,300 | -1,300 | — | cancelled | |
| 2026-03-03 | Dental procedure (other) | 1,500 | 200 | 1,300 | — | issued | |
| 2025-12-02 | Crown of tooth | 300 | 300 | 0 | — | balanced | |
| 2025-07-03 | Crown of tooth | 300 | 300 | 0 | cash | balanced | |
| 2025-05-03 | Dental procedure (other) | 0 | 9,000 | -9,000 | cash | cancelled | |
| 2025-04-30 | Crown of tooth | 0 | 5,000 | -5,000 | — | cancelled | |
| 2025-04-18 | Root canal treatment | 0 | 4,000 | -4,000 | cash | cancelled | |
| 2025-04-12 | Dental procedure (other) | 0 | 5,000 | -5,000 | cash | cancelled | |
| 2025-04-09 | Dental procedure (other) | 0 | 1,000 | -1,000 | cash | cancelled | |
| 2025-04-09 | Dental procedure (other) | 28,000 | 0 | 28,000 | — | issued | |
| 2025-04-09 | Dental procedure (other) | 18,000 | 0 | 18,000 | — | issued | |
| 2024-12-09 | Crown of tooth | 200 | 200 | 0 | — | balanced | |
| 2024-07-09 | Crown of tooth | 0 | 6,000 | -6,000 | — | cancelled | |
| 2024-07-02 | Crown of tooth | 0 | 3,000 | -3,000 | — | cancelled | |
| 2024-06-06 | Root canal treatment | 0 | 3,000 | -3,000 | — | cancelled | |
| 2024-03-09 | Root canal treatment | 400 | 400 | 0 | — | balanced | |
| 2024-01-30 | Crown of tooth | 0 | 3,000 | -3,000 | — | cancelled | |
| 2024-01-25 | Crown of tooth | 0 | 3,000 | -3,000 | — | cancelled | |
| 2024-01-10 | Root canal treatment | 0 | 4,000 | -4,000 | — | cancelled | |
| 2024-01-06 | Root canal treatment | 12,000 | 2,000 | 10,000 | — | issued | |
| 2023-03-18 | Root canal treatment | 0 | 16,000 | -16,000 | — | cancelled | |
| 2023-01-16 | Dental procedure (other) | 0 | 1,200 | -1,200 | — | cancelled | |
| 2023-01-12 | Crown of tooth | 0 | 2,500 | -2,500 | — | cancelled | |
| 2023-01-12 | Crown of tooth | 1,200 | 0 | 1,200 | — | issued | |
| 2023-01-12 | Crown of tooth | 6,700 | 0 | 6,700 | — | issued | |
| 2023-01-03 | Crown of tooth | 0 | 2,000 | -2,000 | — | cancelled | |
| 2022-12-30 | Crown of tooth | 0 | 2,000 | -2,000 | — | cancelled | |
| 2022-12-19 | Root canal treatment | 4,000 | 2,000 | 2,000 | — | issued | |
| 2022-03-28 | Root canal treatment | 800 | 300 | 500 | — | issued | |
| 2022-02-17 | Dental filling | 0 | 500 | -500 | — | cancelled | |
| 2021-09-07 | Crown of tooth | 0 | 1,000 | -1,000 | — | cancelled | |
| 2021-08-30 | Crown of tooth | 0 | 1,000 | -1,000 | — | cancelled | |
| 2021-08-16 | Root canal treatment | 0 | 1,000 | -1,000 | — | cancelled | |
| 2021-08-11 | Root canal treatment | 0 | 2,000 | -2,000 | — | cancelled | |
| 2021-08-09 | Crown of tooth | 3,500 | 0 | 3,500 | — | issued | |
| 2021-08-09 | Crown of tooth | 1,000 | 0 | 1,000 | — | issued | |
| 2020-02-29 | Crown of tooth | 0 | 1,000 | -1,000 | — | cancelled | |
| 2020-02-25 | Crown of tooth | 0 | 500 | -500 | — | cancelled | |
| 2020-02-17 | Root canal treatment | 0 | 500 | -500 | — | cancelled | |
| 2020-02-15 | Root canal treatment | 0 | 1,000 | -1,000 | — | cancelled | |
| 2019-09-12 | Crown of tooth | 1,500 | 1,500 | 0 | — | balanced | |
| 2019-08-27 | Root canal treatment | 1,000 | 1,000 | 0 | — | balanced | |
| 2019-04-17 | Root canal treatment | 0 | 1,000 | -1,000 | — | cancelled | |
| 2019-04-13 | Root canal treatment | 2,000 | 1,000 | 1,000 | — | issued | |
| 2019-04-08 | Dental procedure (other) | 900 | 1,500 | -600 | — | balanced | |
| 2019-04-06 | Dental filling | 800 | 0 | 800 | — | issued | |
| 2019-04-06 | Dental filling | 0 | 1,000 | -1,000 | — | cancelled | |
| 2019-04-06 | Dental filling | 800 | 0 | 800 | — | issued | |
| 2019-03-04 | Crown of tooth | 0 | 2,000 | -2,000 | — | cancelled | |
| 2019-02-27 | Crown of tooth | 3,000 | 1,000 | 2,000 | — | issued | |
| 2018-12-27 | Root canal treatment | 0 | 1,000 | -1,000 | — | cancelled | |
| 2018-12-19 | Root canal treatment | 2,000 | 1,000 | 1,000 | — | issued | |
| 2018-07-04 | Crown of tooth | 0 | 1,000 | -1,000 | — | cancelled | |
| 2018-06-30 | Root canal treatment | 3,000 | 1,000 | 2,000 | — | issued | |
| 2017-11-14 | Crown of tooth | 1,000 | 1,000 | 0 | — | balanced | |
| 2017-08-30 | Crown of tooth | 400 | 400 | 0 | — | balanced | |
| 2017-08-26 | Crown of tooth | 100 | 100 | 0 | — | balanced | |
| 2016-08-23 | Crown of tooth | 0 | 500 | -500 | — | cancelled | |
| 2016-08-13 | Crown of tooth | 0 | 700 | -700 | — | cancelled | |
| 2016-08-01 | Root canal treatment | 0 | 500 | -500 | — | cancelled | |
| 2016-07-27 | Dental consultation and report | 2,700 | 1,000 | 1,700 | — | issued | |
| 2016-03-26 | Crown of tooth | 300 | 300 | 0 | — | balanced | |
| 2016-03-26 | Crown of tooth | 400 | 400 | 0 | — | balanced | |
| 2011-01-17 | Dental procedure (other) | 0 | 400 | -400 | — | cancelled | |
| 2011-01-15 | Dental filling | 800 | 200 | 600 | — | issued | |
| 2010-07-26 | Crown of tooth | 100 | 100 | 0 | — | balanced | |
| 2010-07-08 | Dental filling | 0 | 900 | -900 | — | cancelled | |
| 2010-07-06 | Crown of tooth | 1,800 | 900 | 900 | — | issued | |
| 2010-06-23 | Root canal treatment | 0 | 200 | -200 | — | cancelled | |
| 2010-06-09 | Root canal treatment | 0 | 200 | -200 | — | cancelled | |
| 2010-06-04 | Root canal treatment | 1,500 | 1,000 | 500 | — | issued | |
| 2010-03-15 | Root canal treatment | 100 | 100 | 0 | — | balanced | |
| 2009-11-04 | Crown of tooth | 0 | 400 | -400 | — | cancelled | |
| 2009-10-30 | Crown of tooth | 800 | 400 | 400 | — | issued | |
| 2009-10-16 | Root canal treatment | 0 | 300 | -300 | — | cancelled | |
| 2009-10-13 | Root canal treatment | 0 | 200 | -200 | — | cancelled | |
| 2009-10-07 | Dental procedure (other) | 1,200 | 700 | 500 | — | issued |