Back to Patients
De-identified Patient
female
DOB: ••••-••-••
FHIR: Patient
Patient Information
FHIR: Patient
De-identified for demo. Identity fields are masked.
- Full Name
- De-identified
- Date of Birth
- ••••-••-••
- Gender
- female
- Phone
- ••••••••83
- ••••@••••
- Address
- De-identified location
Quick Actions
3
Conditions
3
Procedures
4
Visits
3
Invoices
1
X-rays
Diagnosed Conditions
Add Condition| Condition | ICD-10-AM | SNOMED CT Ref. | Status | Onset | Notes | FHIR |
|---|---|---|---|---|---|---|
| Dental pulp necrosis | — | 234946006 | resolved | 2026-03-16 | obt done with 26 | |
| Dental caries | — | 80967001 | resolved | 2026-03-16 | metal crown with 26 | |
| Dental pulp necrosis | — | 234946006 | resolved | 2026-03-13 | a/o 26 pl 25.06 1 stopper, db 25.5 1.5 stopper, mb2 20.04 3 stopper, mb short |
Dental Procedures
Add Procedure| Procedure | SNOMED CT AU | CDT Code | Tooth | Date | Status | Notes | FHIR |
|---|---|---|---|---|---|---|---|
| Root canal treatment | 234780006 | D3330 Endodontic therapy, molar tooth | ##26 | 2026-03-16 | completed | obt done with 26 | |
| Crown of tooth | 424311000 | D2750 Crown, porcelain fused to high noble metal | ##26 | 2026-03-16 | completed | metal crown with 26 | |
| Root canal treatment | 234780006 | D3320 Endodontic therapy, premolar tooth | ##26, #25 | 2026-03-13 | completed | a/o 26 pl 25.06 1 stopper, db 25.5 1.5 stopper, mb2 20.04 3 stopper, mb short |
Appointment History
Book Appointment| Date & Time | Status | Clinical Notes | FHIR |
|---|---|---|---|
| 2026-03-16 12:51 | fulfilled | metal crown with 26 | |
| 2026-03-16 12:47 | fulfilled | Dental visit — Dr Riyaz | |
| 2026-03-16 12:45 | fulfilled | obt done with 26 — Dr Riyaz | |
| 2026-03-13 13:02 | fulfilled | a/o 26 pl 25.06 1 stopper, db 25.5 1.5 stopper, mb2 20.04 3 stopper, mb short — Dr Riyaz |
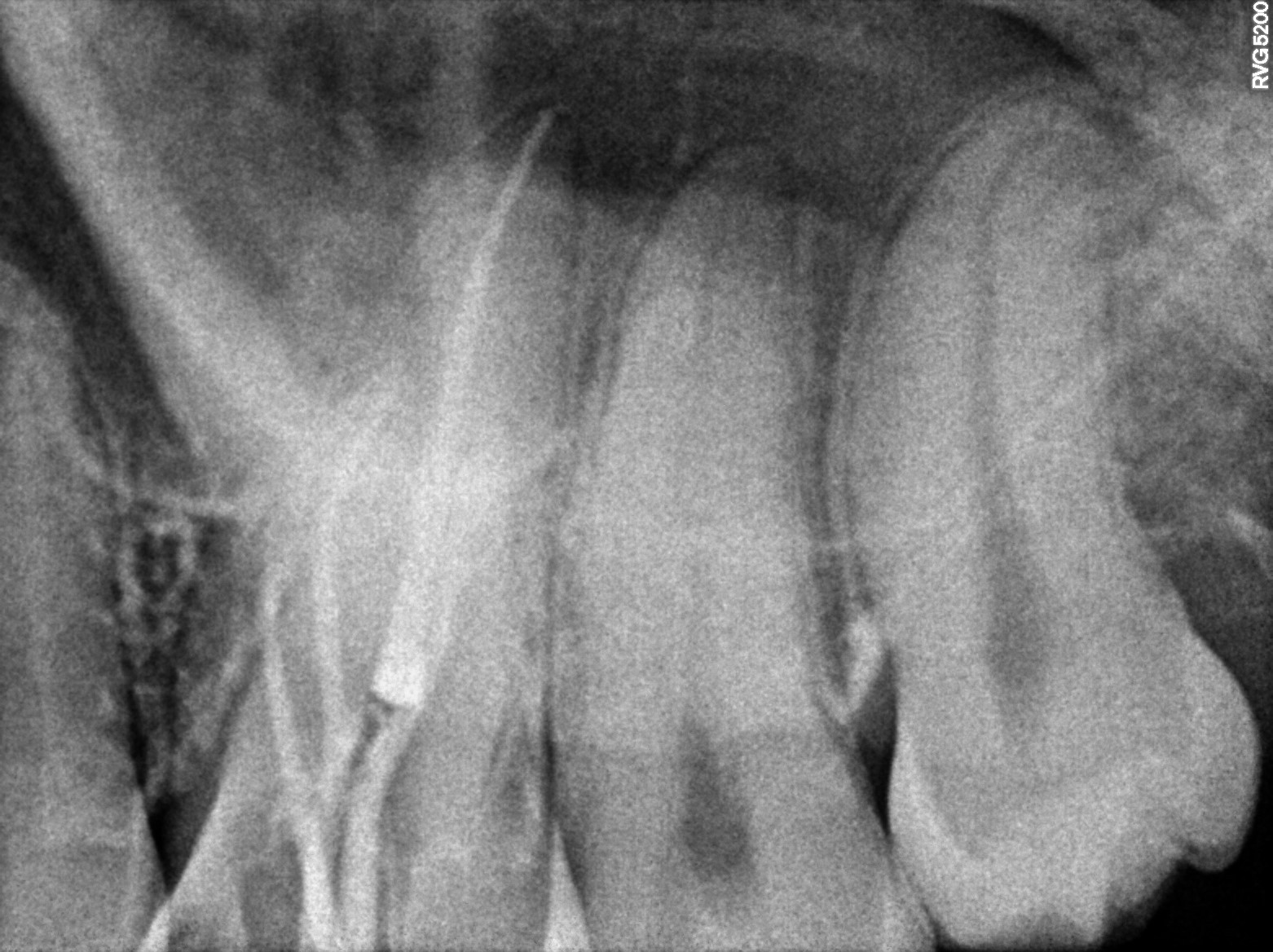
Dental Radiographs FHIR: DocumentReference · LOINC 24641-7
FHIR Bundle
xray_1773645310_0.jpg
24641-7
Invoices FHIR R4 Invoice · INR
FHIR Bundle⁢₹6,000
Charged
₹4,600
Paid
₹3,000
Outstanding
| Date | Procedure | Charged (₹) | Paid (₹) | Balance (₹) | Mode | Status | FHIR |
|---|---|---|---|---|---|---|---|
| 2026-03-16 | Crown of tooth | 1,500 | 0 | 1,500 | — | issued | |
| 2026-03-16 | Crown of tooth | 0 | 1,600 | -1,600 | cash | cancelled | |
| 2026-03-13 | Root canal treatment | 4,500 | 3,000 | 1,500 | cash | issued |