Back to Patients
De-identified Patient
male
DOB: ••••-••-••
FHIR: Patient
Patient Information
FHIR: Patient
De-identified for demo. Identity fields are masked.
- Full Name
- De-identified
- Date of Birth
- ••••-••-••
- Gender
- male
- Phone
- ••••••••D)
- ••••@••••
- Address
- De-identified location
Quick Actions
1
Conditions
3
Procedures
4
Visits
2
Invoices
5
X-rays
Diagnosed Conditions
Add Condition| Condition | ICD-10-AM | SNOMED CT Ref. | Status | Onset | Notes | FHIR |
|---|---|---|---|---|---|---|
| Deposits on teeth | K03.6 | 109606002 | resolved | 2026-03-03 | scaling done |
Dental Procedures
Add Procedure| Procedure | SNOMED CT AU | CDT Code | Tooth | Date | Status | Notes | FHIR |
|---|---|---|---|---|---|---|---|
| Dental scaling | 52065007 | D1110 Prophylaxis - adult | — | 2026-03-03 | completed | scaling done | |
| Dental implant placement | 234781005 | D6010 Surgical placement of implant body | — | 2025-03-19 | completed | full mouth implant done @ dr shoebs. came for checkup in 1st and 2nd quad. adv to return if any symptoms | |
| Dental implant placement | 234781005 | D6010 Surgical placement of implant body | — | 2025-03-19 | completed | implant hole filled |
Appointment History
Book Appointment| Date & Time | Status | Clinical Notes | FHIR |
|---|---|---|---|
| 2026-03-03 13:47 | fulfilled | Dental visit — Dr Riyaz | |
| 2026-03-03 13:31 | fulfilled | scaling done — Dr Riyaz | |
| 2025-03-19 14:16 | fulfilled | implant hole filled — NULL | |
| 2025-03-19 14:15 | fulfilled | full mouth implant done @ dr shoebs. came for checkup in 1st and 2nd quad. adv to return if any symp — NULL |
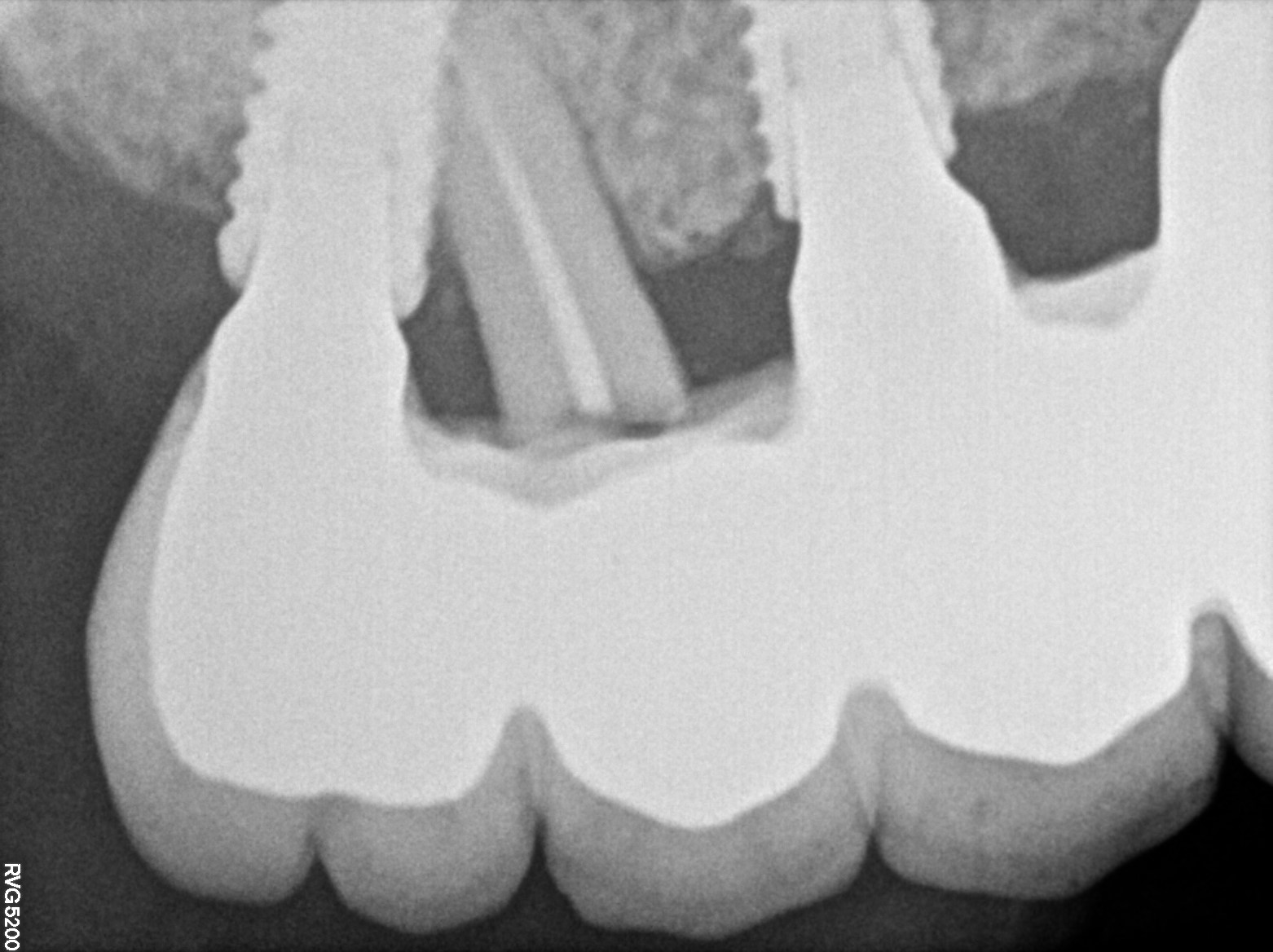
Dental Radiographs FHIR: DocumentReference · LOINC 24641-7
FHIR Bundle
xray_1742374042.jpg
24641-7
xray_1742374048.jpg
24641-7
xray_1742374053.jpg
24641-7
xray_1742374034.jpg
24641-7
xray_1742374038.jpg
24641-7
Invoices FHIR R4 Invoice · INR
FHIR Bundle⁢₹1,500
Charged
₹1,500
Paid
₹0
Outstanding
| Date | Procedure | Charged (₹) | Paid (₹) | Balance (₹) | Mode | Status | FHIR |
|---|---|---|---|---|---|---|---|
| 2026-03-03 | Dental scaling | 500 | 500 | 0 | — | balanced | |
| 2025-03-19 | Dental implant placement | 1,000 | 1,000 | 0 | — | balanced |