Back to Patients
De-identified Patient
female
DOB: ••••-••-••
FHIR: Patient
Patient Information
FHIR: Patient
De-identified for demo. Identity fields are masked.
- Full Name
- De-identified
- Date of Birth
- ••••-••-••
- Gender
- female
- Phone
- ••••••••D)
- ••••@••••
- Address
- De-identified location
Quick Actions
1
Conditions
4
Procedures
4
Visits
1
Invoices
1
X-rays
Diagnosed Conditions
Add Condition| Condition | ICD-10-AM | SNOMED CT Ref. | Status | Onset | Notes | FHIR |
|---|---|---|---|---|---|---|
| Dental caries | — | 80967001 | resolved | 2026-03-18 | Impression take with 44 pfm crown shade A3.5 |
Dental Procedures
Add Procedure| Procedure | SNOMED CT AU | CDT Code | Tooth | Date | Status | Notes | FHIR |
|---|---|---|---|---|---|---|---|
| Crown of tooth | 424311000 | D2750 Crown, porcelain fused to high noble metal | ##44 | 2026-03-18 | completed | Impression take with 44 pfm crown shade A3.5 | |
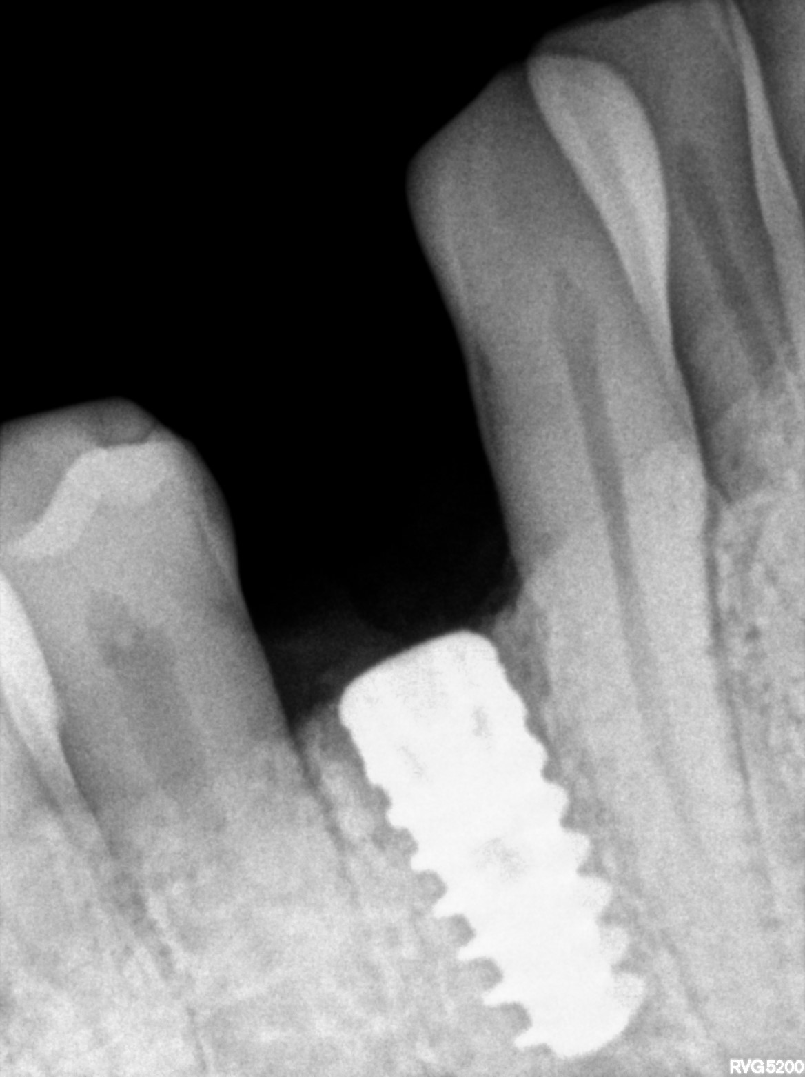
| Dental implant placement | 234781005 | — | ##44 | 2026-03-09 | completed | healing abutment placed with 44 | |
| Dental implant placement | 234781005 | D6010 Surgical placement of implant body | — | 2026-01-20 | completed | to be called for abutment placed | |
| Dental implant placement | 234781005 | D6010 Surgical placement of implant body | ##44 | 2026-01-12 | completed | implant placed w.r.t 44, adin implant 4.2*10 T-40N |
Appointment History
Book Appointment| Date & Time | Status | Clinical Notes | FHIR |
|---|---|---|---|
| 2026-03-18 20:32 | fulfilled | Impression take with 44 pfm crown shade A3.5 — Dr Riyaz | |
| 2026-03-09 20:20 | fulfilled | healing abutment placed with 44 — Dr Riyaz | |
| 2026-01-20 20:46 | fulfilled | to be called for abutment placed | |
| 2026-01-12 21:39 | fulfilled | implant placed w.r.t 44, adin implant 4.2*10 T-40N — Dr Riyaz |
Dental Radiographs FHIR: DocumentReference · LOINC 24641-7
FHIR Bundle
xray_1768234247_0.jpg
24641-7
Invoices FHIR R4 Invoice · INR
FHIR Bundle⁢₹23,000
Charged
₹20,000
Paid
₹3,000
Outstanding
| Date | Procedure | Charged (₹) | Paid (₹) | Balance (₹) | Mode | Status | FHIR |
|---|---|---|---|---|---|---|---|
| 2026-01-12 | Dental implant placement | 23,000 | 20,000 | 3,000 | CASH | issued |