Back to Patients
De-identified Patient
male
DOB: ••••-••-••
FHIR: Patient
Patient Information
FHIR: Patient
De-identified for demo. Identity fields are masked.
- Full Name
- De-identified
- Date of Birth
- ••••-••-••
- Gender
- male
- Phone
- ••••••••D)
- ••••@••••
- Address
- De-identified location
Quick Actions
23
Conditions
28
Procedures
42
Visits
17
Invoices
1
X-rays
Diagnosed Conditions
Add Condition| Condition | ICD-10-AM | SNOMED CT Ref. | Status | Onset | Notes | FHIR |
|---|---|---|---|---|---|---|
| Dentofacial anomaly, unspecified | M26.9 | 6574001 | active | 2026-03-17 | lower 6-6 echain changed | |
| Dentofacial anomaly, unspecified | M26.9 | 6574001 | active | 2026-02-05 | upper debonding done. . mand 6 to6 echain | |
| Dentofacial anomaly, unspecified | M26.9 | 6574001 | active | 2026-01-01 | lower echain changed | |
| Dental pulp necrosis | — | 234946006 | resolved | 2025-12-04 | upper 13 retainer repaired and lower 33-36 echain and 42-46 echain | |
| Dental caries, unspecified | K02.9 | 80967001 | resolved | 2025-11-06 | type ix class 1 with 16 17, caries excavation not done completely, adv rct if pain persists | |
| Dental pulp necrosis | — | 234946006 | resolved | 2025-11-05 | lower 18 steel wire engaged, and echain engaged// upper 12 and 13 retainer repaired | |
| Necrosis of dental pulp | K04.1 | 234946006 | resolved | 2025-10-09 | gic restn w.r.t 47 type ix class 1 compound, may need rct if pain | |
| Dentofacial anomaly, unspecified | M26.9 | 6574001 | active | 2025-10-09 | upper fixed retainer done | |
| Malocclusion | — | 6574001 | active | 2025-10-08 | lower 16*22 niti | |
| Dentofacial anomaly, unspecified | M26.9 | 6574001 | active | 2025-09-04 | 33 to 36 echain changed | |
| Dentofacial anomaly, unspecified | M26.9 | 6574001 | active | 2025-08-07 | 33 to 36 echain changed | |
| Dentofacial anomaly, unspecified | M26.9 | 6574001 | active | 2025-07-16 | lower 3 to6 echain | |
| Dentofacial anomaly, unspecified | M26.9 | 6574001 | active | 2025-06-05 | lower canine module changed and echain 3 to 6 engaged | |
| Dentofacial anomaly, unspecified | M26.9 | 6574001 | active | 2025-03-26 | ext with 34, bonding with 36, 41, 46. lower 16 niti wire engaged | |
| Malocclusion | — | 6574001 | active | 2025-03-12 | 16 molar tube rebonded | |
| Malocclusion | — | 6574001 | active | 2024-11-20 | max 22 enaged & 14 niti for latral alignemnt | |
| Dentofacial anomaly, unspecified | M26.9 | 6574001 | active | 2024-09-23 | upper 18 seel 3-3 echain | |
| Dentofacial anomaly, unspecified | M26.9 | 6574001 | active | 2024-07-25 | lower wire renegaged | |
| Dentofacial anomaly, unspecified | M26.9 | 6574001 | active | 2024-06-22 | upper both canines bonded & 14 niti wire engaged & 26 molar tube rebonded | |
| Malocclusion | — | 6574001 | active | 2024-05-16 | lower bonding done -14 niti wie placed | |
| Dental caries | — | 80967001 | resolved | 2024-05-16 | dtech pending | |
| Dental caries | — | 80967001 | resolved | 2024-04-18 | dtech done with 36 | |
| Dentofacial anomaly, unspecified | M26.9 | 6574001 | active | 2024-04-17 | upper bonding done & 14 nitiwire placed |
Dental Procedures
Add Procedure| Procedure | SNOMED CT AU | CDT Code | Tooth | Date | Status | Notes | FHIR |
|---|---|---|---|---|---|---|---|
| Orthodontic treatment | 234952002 | — | — | 2026-03-17 | completed | lower 6-6 echain changed | |
| Orthodontic treatment | 234952002 | — | — | 2026-02-05 | completed | upper debonding done. . mand 6 to6 echain | |
| Orthodontic treatment | 234952002 | — | — | 2026-01-01 | completed | lower echain changed | |
| Root canal treatment | 234780006 | D3310 Endodontic therapy, anterior tooth | ##13, #33, #36, #42, #46 | 2025-12-04 | completed | upper 13 retainer repaired and lower 33-36 echain and 42-46 echain | |
| Root canal treatment | 234780006 | D3330 Endodontic therapy, molar tooth | ##16, #17 | 2025-11-06 | completed | type ix class 1 with 16 17, caries excavation not done completely, adv rct if pain persists | |
| Root canal treatment | 234780006 | D3330 Endodontic therapy, molar tooth | ##18, #12, #13 | 2025-11-05 | completed | lower 18 steel wire engaged, and echain engaged// upper 12 and 13 retainer repaired | |
| Root canal treatment | 234780006 | D3330 Endodontic therapy, molar tooth | ##47 | 2025-10-09 | completed | gic restn w.r.t 47 type ix class 1 compound, may need rct if pain | |
| Orthodontic treatment | 234952002 | — | — | 2025-10-09 | completed | upper fixed retainer done | |
| Orthodontic treatment | 234952002 | — | ##16, #22 | 2025-10-08 | completed | lower 16*22 niti | |
| Orthodontic treatment | 234952002 | — | ##33, #36 | 2025-09-04 | completed | 33 to 36 echain changed | |
| Orthodontic treatment | 234952002 | — | ##33, #36 | 2025-08-07 | completed | 33 to 36 echain changed | |
| Orthodontic treatment | 234952002 | — | — | 2025-07-16 | completed | lower 3 to6 echain | |
| Orthodontic treatment | 234952002 | — | — | 2025-06-05 | completed | lower canine module changed and echain 3 to 6 engaged | |
| Dental procedure (other) | 74964007 | D9999 Unspecified adjunctive procedure, by report | — | 2025-05-01 | completed | lower spring activated | |
| Orthodontic treatment | 234952002 | — | ##34, #36, #41, #46, #16 | 2025-03-26 | completed | ext with 34, bonding with 36, 41, 46. lower 16 niti wire engaged | |
| Orthodontic treatment | 234952002 | — | ##16 | 2025-03-12 | completed | 16 molar tube rebonded | |
| Tooth extraction | 424451000 | — | — | 2025-02-20 | completed | 344 extnd one | |
| Orthodontic treatment | 234952002 | — | ##22, #14 | 2024-11-20 | completed | max 22 enaged & 14 niti for latral alignemnt | |
| Orthodontic treatment | 234952002 | — | ##18 | 2024-09-23 | completed | upper 18 seel 3-3 echain | |
| Tooth extraction | 424451000 | D7140 Extraction, erupted tooth or exposed root | ##14, #12 | 2024-07-25 | completed | 14 extracted - 12 enaged on ligature wire | |
| Orthodontic treatment | 234952002 | — | — | 2024-07-25 | completed | lower wire renegaged | |
| Tooth extraction | 424451000 | D7140 Extraction, erupted tooth or exposed root | ##24 | 2024-07-25 | completed | next visit 24 to be extyracte | |
| Orthodontic treatment | 234952002 | — | ##14, #26 | 2024-06-22 | completed | upper both canines bonded & 14 niti wire engaged & 26 molar tube rebonded | |
| Orthodontic treatment | 234952002 | — | ##14 | 2024-05-16 | completed | lower bonding done -14 niti wie placed | |
| Dental filling | 180534004 | — | — | 2024-05-16 | completed | dtech pending | |
| Dental filling | 180534004 | D2391 Resin composite - one surface, posterior | ##36 | 2024-04-18 | completed | dtech done with 36 | |
| Orthodontic treatment | 234952002 | D8090 Comprehensive orthodontic treatment | ##14 | 2024-04-17 | completed | upper bonding done & 14 nitiwire placed | |
| Dental procedure (other) | 74964007 | D9999 Unspecified adjunctive procedure, by report | — | 2024-04-16 | completed | nspt done |
Appointment History
Book Appointment| Date & Time | Status | Clinical Notes | FHIR |
|---|---|---|---|
| 2026-03-17 14:11 | fulfilled | lower 6-6 echain changed — Dr Riyaz | |
| 2026-02-05 14:34 | fulfilled | upper debonding done. . mand 6 to6 echain — Dr Riyaz | |
| 2026-01-01 20:56 | fulfilled | lower echain changed — Dr Riyaz | |
| 2025-12-04 13:50 | fulfilled | upper 13 retainer repaired and lower 33-36 echain and 42-46 echain — Dr Hani | |
| 2025-12-04 13:30 | fulfilled | Dental visit — Dr Riyaz | |
| 2025-11-06 12:32 | fulfilled | Dental visit | |
| 2025-11-06 12:30 | fulfilled | type ix class 1 with 16 17, caries excavation not done completely, adv rct if pain persists — Dr Riyaz | |
| 2025-11-05 12:27 | fulfilled | lower 18 steel wire engaged, and echain engaged// upper 12 and 13 retainer repaired — Dr Riyaz | |
| 2025-10-09 12:53 | fulfilled | upper fixed retainer done — Dr Hani | |
| 2025-10-09 12:52 | fulfilled | gic restn w.r.t 47 type ix class 1 compound, may need rct if pain — Dr Riyaz | |
| 2025-10-09 11:49 | fulfilled | Dental visit | |
| 2025-10-08 21:19 | fulfilled | lower 16*22 niti — Dr Riyaz | |
| 2025-09-04 21:16 | fulfilled | 33 to 36 echain changed | |
| 2025-08-07 14:24 | fulfilled | 33 to 36 echain changed | |
| 2025-07-16 15:01 | fulfilled | lower 3 to6 echain | |
| 2025-06-05 20:04 | fulfilled | lower canine module changed and echain 3 to 6 engaged — Dr Riyaz | |
| 2025-05-01 19:58 | fulfilled | Dental visit — Dr Riyaz | |
| 2025-05-01 19:58 | fulfilled | lower spring activated — Dr Riyaz | |
| 2025-03-26 21:22 | fulfilled | Dental visit — Dr Aaliya | |
| 2025-03-26 21:22 | fulfilled | Dental visit — Dr Aaliya | |
| 2025-03-26 21:21 | fulfilled | ext with 34, bonding with 36, 41, 46. lower 16 niti wire engaged | |
| 2025-03-12 12:59 | fulfilled | 16 molar tube rebonded — NULL | |
| 2025-02-20 14:14 | fulfilled | 344 extnd one — NULL | |
| 2025-02-20 13:54 | fulfilled | Dental visit — NULL | |
| 2024-12-20 14:23 | fulfilled | Dental visit — NULL | |
| 2024-11-20 13:13 | fulfilled | max 22 enaged & 14 niti for latral alignemnt — NULL | |
| 2024-10-22 13:57 | fulfilled | Dental visit — NULL | |
| 2024-09-23 13:24 | fulfilled | upper 18 seel 3-3 echain — NULL | |
| 2024-09-18 12:55 | fulfilled | Dental visit — NULL | |
| 2024-08-15 12:50 | fulfilled | Dental visit — NULL | |
| 2024-07-25 14:25 | fulfilled | next visit 24 to be extyracte — NULL | |
| 2024-07-25 14:24 | fulfilled | lower wire renegaged — NULL | |
| 2024-07-25 14:22 | fulfilled | Dental visit — NULL | |
| 2024-07-25 14:22 | fulfilled | 14 extracted - 12 enaged on ligature wire — NULL | |
| 2024-06-22 14:54 | fulfilled | upper both canines bonded & 14 niti wire engaged & 26 molar tube rebonded — NULL | |
| 2024-06-22 14:38 | fulfilled | Dental visit — NULL | |
| 2024-05-16 22:05 | fulfilled | dtech pending — NULL | |
| 2024-05-16 20:21 | fulfilled | lower bonding done -14 niti wie placed — NULL | |
| 2024-04-18 14:19 | fulfilled | Dental visit — NULL | |
| 2024-04-18 13:54 | fulfilled | dtech done with 36 — NULL | |
| 2024-04-17 15:20 | fulfilled | upper bonding done & 14 nitiwire placed — NULL | |
| 2024-04-16 13:48 | fulfilled | nspt done — NULL |
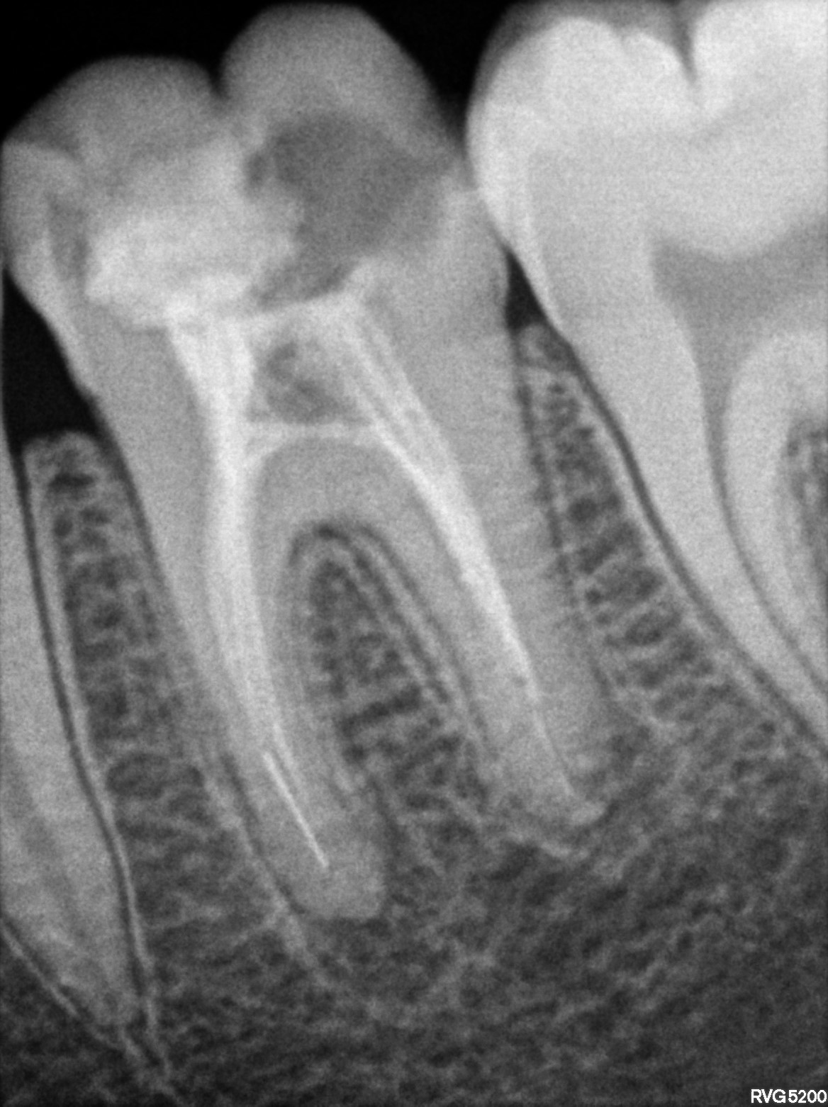
Dental Radiographs FHIR: DocumentReference · LOINC 24641-7
FHIR Bundle
R58.jpg
24641-7
Invoices FHIR R4 Invoice · INR
FHIR Bundle⁢₹50,500
Charged
₹50,500
Paid
₹45,000
Outstanding
| Date | Procedure | Charged (₹) | Paid (₹) | Balance (₹) | Mode | Status | FHIR |
|---|---|---|---|---|---|---|---|
| 2025-12-04 | Root canal treatment | 0 | 4,500 | -4,500 | — | cancelled | |
| 2025-11-06 | Root canal treatment | 3,000 | 0 | 3,000 | — | issued | |
| 2025-10-09 | Orthodontic treatment | 1,500 | 0 | 1,500 | — | issued | |
| 2025-07-16 | Orthodontic treatment | 0 | 2,000 | -2,000 | — | cancelled | |
| 2025-05-01 | Dental procedure (other) | 0 | 2,000 | -2,000 | — | cancelled | |
| 2025-02-20 | Tooth extraction | 0 | 4,000 | -4,000 | — | cancelled | |
| 2024-12-20 | Dental procedure | 0 | 4,000 | -4,000 | — | cancelled | |
| 2024-11-20 | Orthodontic treatment | 0 | 4,000 | -4,000 | — | cancelled | |
| 2024-10-22 | Dental procedure | 0 | 4,000 | -4,000 | — | cancelled | |
| 2024-09-18 | Dental procedure | 0 | 4,000 | -4,000 | — | cancelled | |
| 2024-08-15 | Dental procedure | 0 | 4,000 | -4,000 | — | cancelled | |
| 2024-07-25 | Orthodontic treatment | 0 | 4,000 | -4,000 | — | cancelled | |
| 2024-06-22 | Orthodontic treatment | 0 | 4,000 | -4,000 | — | cancelled | |
| 2024-05-16 | Dental filling | 0 | 4,000 | -4,000 | — | cancelled | |
| 2024-05-16 | Dental filling | 0 | 500 | -500 | — | cancelled | |
| 2024-04-18 | Dental filling | 1,000 | 500 | 500 | — | issued | |
| 2024-04-16 | Dental procedure (other) | 45,000 | 5,000 | 40,000 | — | issued |