Back to Patients
De-identified Patient
male
DOB: ••••-••-••
FHIR: Patient
Patient Information
FHIR: Patient
De-identified for demo. Identity fields are masked.
- Full Name
- De-identified
- Date of Birth
- ••••-••-••
- Gender
- male
- Phone
- ••••••••D)
- ••••@••••
- Address
- De-identified location
Quick Actions
28
Conditions
38
Procedures
48
Visits
28
Invoices
10
X-rays
Diagnosed Conditions
Add Condition| Condition | ICD-10-AM | SNOMED CT Ref. | Status | Onset | Notes | FHIR |
|---|---|---|---|---|---|---|
| Dental caries | — | 80967001 | resolved | 2026-03-09 | cementation done with 36 | |
| Dental caries | — | 80967001 | resolved | 2026-03-05 | type ix with 38 | |
| Dental caries | — | 80967001 | resolved | 2026-03-03 | Impression taken for endo crown with 36 pfm-tousif lab | |
| Dental caries | — | 80967001 | resolved | 2026-03-02 | Advice new pfm endo crown with 36 @3500...temp cement place | |
| Dental caries | — | 80967001 | resolved | 2024-07-16 | type ix 24 distal | |
| Dental caries, unspecified | K02.9 | 80967001 | resolved | 2024-07-15 | composite 26 mesial class 2 and occlusal | |
| Dental pulp necrosis | — | 234946006 | resolved | 2024-07-13 | 46 obt done | |
| Dental caries, unspecified | K02.9 | 80967001 | resolved | 2024-07-13 | adv composite 24 & 26 2000each | |
| Necrosis of dental pulp | K04.1 | 234946006 | resolved | 2024-07-12 | a/o 46 & 25-04 all 4 canals till apex hypo done | |
| Dental caries | — | 80967001 | resolved | 2024-07-12 | 46 crown prep & impression taken shade | |
| Deposits on teeth | K03.6 | 109606002 | resolved | 2023-07-20 | scaling done | |
| Dental caries | — | 80967001 | resolved | 2023-07-13 | 15 crown prep done & impression taken & shade a3 | |
| Dental pulp necrosis | — | 234946006 | resolved | 2023-07-12 | 15 obt done & dtech done@gpay sahil | |
| Dental pulp necrosis | — | 234946006 | resolved | 2023-07-11 | 15 hypo done | |
| Dental caries | — | 80967001 | resolved | 2023-07-07 | 36 crown cementation done | |
| Dental pulp necrosis | — | 234946006 | resolved | 2023-07-03 | a/o 15 & bmp 25-06 till apex & hypo done | |
| Dental caries | — | 80967001 | resolved | 2023-07-03 | 36 pfm | |
| Dental caries, unspecified | K02.9 | 80967001 | resolved | 2023-07-01 | 37 & 35 type ix class 2 | |
| Necrosis of dental pulp | K04.1 | 234946006 | resolved | 2021-05-07 | type ix 36- advrct if needed class2 | |
| Dental caries, unspecified | K02.9 | 80967001 | resolved | 2021-05-06 | composite 16 | |
| Dental caries | — | 80967001 | resolved | 2019-11-13 | type ix 16 | |
| Dental caries | — | 80967001 | resolved | 2019-10-07 | crown cem 36 | |
| Dental caries | — | 80967001 | resolved | 2019-09-30 | crown prep pfm 36 a3 shade | |
| Necrosis of dental pulp | K04.1 | 234946006 | resolved | 2019-09-16 | obt 36 4 canal f1 all canals | |
| Necrosis of dental pulp | K04.1 | 234946006 | resolved | 2019-09-10 | bmp 36 all canal 20-06 all canal- Distal a bit over instrumented | |
| Necrosis of dental pulp | K04.1 | 234946006 | resolved | 2019-09-06 | a/o 36 all canals 21mm 20-04 bmp done 4 canals | |
| Dental caries | — | 80967001 | resolved | 2019-09-06 | rc with metal crown | |
| Necrosis of dental pulp | K04.1 | 234946006 | resolved | 2019-09-05 | adv re rct |
Dental Procedures
Add Procedure| Procedure | SNOMED CT AU | CDT Code | Tooth | Date | Status | Notes | FHIR |
|---|---|---|---|---|---|---|---|
| Crown of tooth | 424311000 | — | ##36 | 2026-03-09 | completed | cementation done with 36 | |
| Dental filling | 180534004 | D2940 Protective restoration (GIC) | ##38 | 2026-03-05 | completed | type ix with 38 | |
| Crown of tooth | 424311000 | — | ##36 | 2026-03-05 | completed | 36 endo crown | |
| Crown of tooth | 424311000 | — | ##36 | 2026-03-03 | completed | Impression taken for endo crown with 36 pfm-tousif lab | |
| Crown of tooth | 424311000 | — | ##36 | 2026-03-02 | completed | Advice new pfm endo crown with 36 @3500...temp cement place | |
| Dental procedure (other) | 74964007 | D9999 Unspecified adjunctive procedure, by report | — | 2026-03-02 | completed | Advance | |
| Dental filling | 180534004 | D2940 Protective restoration (GIC) | ##24 | 2024-07-16 | completed | type ix 24 distal | |
| Dental procedure (other) | 74964007 | D9999 Unspecified adjunctive procedure, by report | — | 2024-07-16 | completed | settled | |
| Dental filling | 180534004 | D2391 Resin composite - one surface, posterior | ##26 | 2024-07-15 | completed | composite 26 mesial class 2 and occlusal | |
| Root canal treatment | 234780006 | — | ##46 | 2024-07-13 | completed | 46 obt done | |
| Root canal treatment | 234780006 | D3330 Endodontic therapy, molar tooth | ##47 | 2024-07-13 | completed | rct 4500+ pfm cap 4500+ type ix filling 47 2000 | |
| Dental filling | 180534004 | D2391 Resin composite - one surface, posterior | ##24, #26 | 2024-07-13 | completed | adv composite 24 & 26 2000each | |
| Dental filling | 180534004 | — | — | 2024-07-13 | completed | type 9 mesial class 2 | |
| Root canal treatment | 234780006 | D3330 Endodontic therapy, molar tooth | ##46 | 2024-07-12 | completed | a/o 46 & 25-04 all 4 canals till apex hypo done | |
| Crown of tooth | 424311000 | D2750 Crown, porcelain fused to high noble metal | ##46 | 2024-07-12 | completed | 46 crown prep & impression taken shade | |
| Dental procedure (other) | 74964007 | D9999 Unspecified adjunctive procedure, by report | — | 2024-07-12 | completed | shade A3 | |
| Dental scaling | 52065007 | D1110 Prophylaxis - adult | — | 2023-07-20 | completed | scaling done | |
| Dental procedure (other) | 74964007 | D9999 Unspecified adjunctive procedure, by report | — | 2023-07-17 | completed | @gpay sahil | |
| Crown of tooth | 424311000 | D2750 Crown, porcelain fused to high noble metal | ##15 | 2023-07-13 | completed | 15 crown prep done & impression taken & shade a3 | |
| Dental filling | 180534004 | D2940 Protective restoration (GIC) | ##14 | 2023-07-13 | completed | 14 type ix | |
| Root canal treatment | 234780006 | — | ##15 | 2023-07-12 | completed | 15 obt done & dtech done@gpay sahil | |
| Root canal treatment | 234780006 | — | ##15 | 2023-07-11 | completed | 15 hypo done | |
| Crown of tooth | 424311000 | — | ##36 | 2023-07-07 | completed | 36 crown cementation done | |
| Dental procedure (other) | 74964007 | D9999 Unspecified adjunctive procedure, by report | — | 2023-07-04 | completed | gpay sahil | |
| Root canal treatment | 234780006 | D3320 Endodontic therapy, premolar tooth | ##15 | 2023-07-03 | completed | a/o 15 & bmp 25-06 till apex & hypo done | |
| Crown of tooth | 424311000 | — | ##36 | 2023-07-03 | completed | 36 pfm | |
| Root canal treatment | 234780006 | D3320 Endodontic therapy, premolar tooth | ##15, #36 | 2023-07-03 | completed | 15 rct & 36 pfm cap | |
| Dental filling | 180534004 | D2940 Protective restoration (GIC) | ##37, #35 | 2023-07-01 | completed | 37 & 35 type ix class 2 | |
| Root canal treatment | 234780006 | — | ##36 | 2021-05-07 | completed | type ix 36- advrct if needed class2 | |
| Dental filling | 180534004 | D2391 Resin composite - one surface, posterior | ##16 | 2021-05-06 | completed | composite 16 | |
| Dental filling | 180534004 | D2940 Protective restoration (GIC) | ##16 | 2019-11-13 | completed | type ix 16 | |
| Crown of tooth | 424311000 | — | ##36 | 2019-10-07 | completed | crown cem 36 | |
| Crown of tooth | 424311000 | D2750 Crown, porcelain fused to high noble metal | ##36 | 2019-09-30 | completed | crown prep pfm 36 a3 shade | |
| Root canal treatment | 234780006 | — | ##36 | 2019-09-16 | completed | obt 36 4 canal f1 all canals | |
| Root canal treatment | 234780006 | — | ##36 | 2019-09-10 | completed | bmp 36 all canal 20-06 all canal- Distal a bit over instrumented | |
| Root canal treatment | 234780006 | D3330 Endodontic therapy, molar tooth | ##36 | 2019-09-06 | completed | a/o 36 all canals 21mm 20-04 bmp done 4 canals | |
| Crown of tooth | 424311000 | — | — | 2019-09-06 | completed | rc with metal crown | |
| Root canal treatment | 234780006 | — | — | 2019-09-05 | completed | adv re rct |
Appointment History
Book Appointment| Date & Time | Status | Clinical Notes | FHIR |
|---|---|---|---|
| 2026-03-09 20:37 | fulfilled | Dental visit — Dr Riyaz | |
| 2026-03-09 20:32 | fulfilled | cementation done with 36 — Dr Riyaz | |
| 2026-03-05 20:34 | fulfilled | 36 endo crown | |
| 2026-03-05 20:33 | fulfilled | type ix with 38 — Dr Riyaz | |
| 2026-03-05 20:32 | fulfilled | Dental visit — Dr Riyaz | |
| 2026-03-03 13:02 | fulfilled | Impression taken for endo crown with 36 pfm-tousif lab — Dr Riyaz | |
| 2026-03-02 20:59 | fulfilled | Advance | |
| 2026-03-02 20:40 | fulfilled | Advice new pfm endo crown with 36 @3500...temp cement place — Dr Riyaz | |
| 2024-07-16 14:24 | fulfilled | settled — NULL | |
| 2024-07-16 14:24 | fulfilled | Dental visit — NULL | |
| 2024-07-16 14:24 | fulfilled | type ix 24 distal — NULL | |
| 2024-07-15 14:46 | fulfilled | composite 26 mesial class 2 and occlusal — NULL | |
| 2024-07-13 14:50 | fulfilled | Dental visit — NULL | |
| 2024-07-13 14:50 | fulfilled | type 9 mesial class 2 — NULL | |
| 2024-07-13 13:45 | fulfilled | adv composite 24 & 26 2000each — NULL | |
| 2024-07-13 13:45 | fulfilled | rct 4500+ pfm cap 4500+ type ix filling 47 2000 — NULL | |
| 2024-07-13 12:47 | fulfilled | 46 obt done — NULL | |
| 2024-07-12 14:27 | fulfilled | Dental visit — NULL | |
| 2024-07-12 14:24 | fulfilled | shade A3 — NULL | |
| 2024-07-12 14:23 | fulfilled | 46 crown prep & impression taken shade — NULL | |
| 2024-07-12 13:04 | fulfilled | a/o 46 & 25-04 all 4 canals till apex hypo done — NULL | |
| 2023-07-20 12:59 | fulfilled | scaling done — NULL | |
| 2023-07-17 12:39 | fulfilled | @gpay sahil — NULL | |
| 2023-07-13 13:38 | fulfilled | 14 type ix — NULL | |
| 2023-07-13 13:35 | fulfilled | 15 crown prep done & impression taken & shade a3 — NULL | |
| 2023-07-12 13:44 | fulfilled | 15 obt done & dtech done@gpay sahil — NULL | |
| 2023-07-11 12:22 | fulfilled | 15 hypo done — NULL | |
| 2023-07-07 13:04 | fulfilled | Dental visit — NULL | |
| 2023-07-07 11:33 | fulfilled | 36 crown cementation done — NULL | |
| 2023-07-04 16:18 | fulfilled | gpay sahil — NULL | |
| 2023-07-04 16:18 | fulfilled | Dental visit — NULL | |
| 2023-07-03 14:07 | fulfilled | 15 rct & 36 pfm cap — NULL | |
| 2023-07-03 14:06 | fulfilled | 36 pfm — NULL | |
| 2023-07-03 14:02 | fulfilled | a/o 15 & bmp 25-06 till apex & hypo done — NULL | |
| 2023-07-01 20:55 | fulfilled | 37 & 35 type ix class 2 — NULL | |
| 2021-05-07 15:04 | fulfilled | type ix 36- advrct if needed class2 — NULL | |
| 2021-05-06 14:34 | fulfilled | composite 16 — NULL | |
| 2019-11-13 14:36 | fulfilled | type ix 16 — NULL | |
| 2019-10-07 11:09 | fulfilled | crown cem 36 — NULL | |
| 2019-09-30 11:38 | fulfilled | Dental visit — NULL | |
| 2019-09-30 11:38 | fulfilled | Dental visit — NULL | |
| 2019-09-30 11:38 | fulfilled | crown prep pfm 36 a3 shade — NULL | |
| 2019-09-16 11:51 | fulfilled | obt 36 4 canal f1 all canals — NULL | |
| 2019-09-16 11:20 | fulfilled | Dental visit — NULL | |
| 2019-09-10 11:57 | fulfilled | bmp 36 all canal 20-06 all canal- Distal a bit over instrumented — NULL | |
| 2019-09-06 12:23 | fulfilled | rc with metal crown — NULL | |
| 2019-09-06 12:23 | fulfilled | a/o 36 all canals 21mm 20-04 bmp done 4 canals — NULL | |
| 2019-09-05 18:53 | fulfilled | adv re rct — NULL |
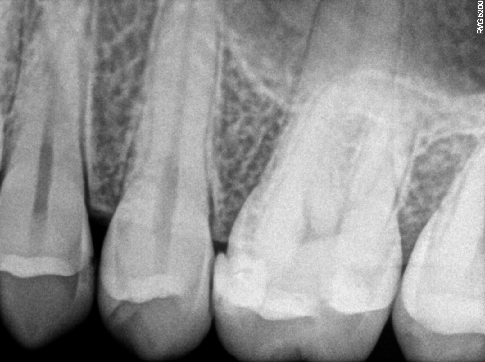
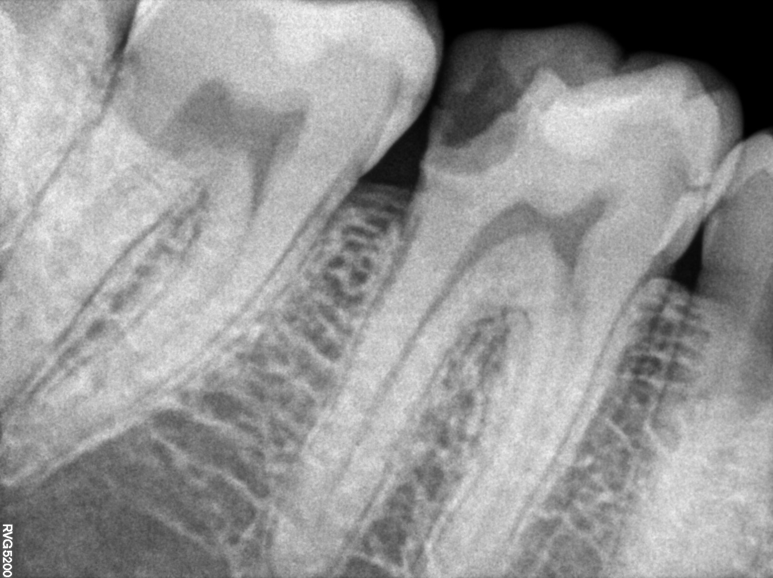
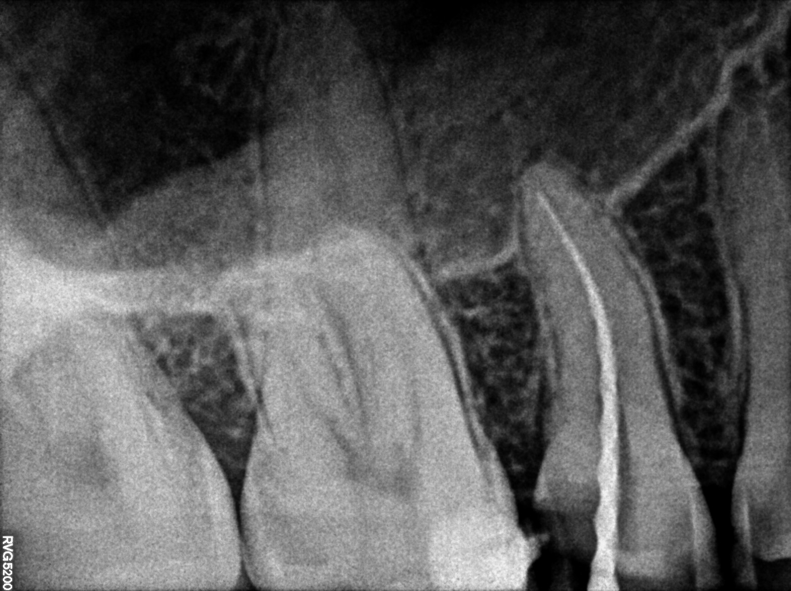
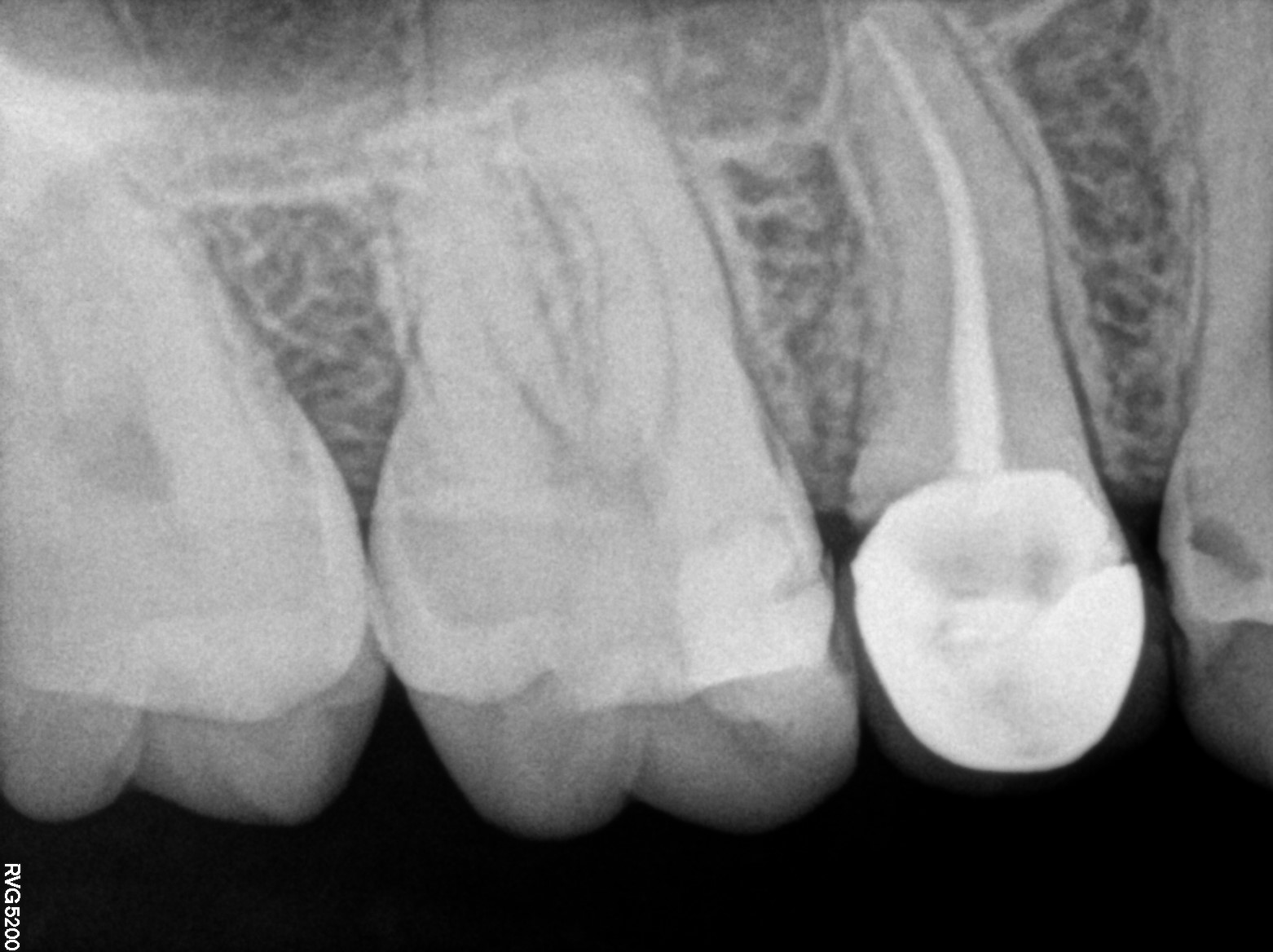
Dental Radiographs FHIR: DocumentReference · LOINC 24641-7
FHIR Bundle
R55.jpg
24641-7
R5...5.jpg
24641-7
R5.3.jpg
24641-7
R53.jpg
24641-7
R5.4.jpg
24641-7
R63.jpg
24641-7
R56.jpg
24641-7
R64.jpg
24641-7
.65.jpg
24641-7
R54.jpg
24641-7
Invoices FHIR R4 Invoice · INR
FHIR Bundle⁢₹41,500
Charged
₹41,000
Paid
₹38,600
Outstanding
| Date | Procedure | Charged (₹) | Paid (₹) | Balance (₹) | Mode | Status | FHIR |
|---|---|---|---|---|---|---|---|
| 2026-03-09 | Crown of tooth | 0 | 4,000 | -4,000 | gpay | cancelled | |
| 2026-03-05 | Crown of tooth | 3,500 | 0 | 3,500 | — | issued | |
| 2026-03-05 | Crown of tooth | 1,500 | 0 | 1,500 | — | issued | |
| 2026-03-02 | Crown of tooth | 0 | 500 | -500 | — | cancelled | |
| 2024-07-16 | Dental filling | 2,000 | 0 | 2,000 | — | issued | |
| 2024-07-16 | Dental filling | -10,500 | 0 | -10,500 | — | balanced | |
| 2024-07-16 | Dental filling | 0 | 3,500 | -3,500 | — | cancelled | |
| 2024-07-15 | Dental filling | 2,000 | 0 | 2,000 | — | issued | |
| 2024-07-13 | Dental filling | 10,000 | 10,000 | 0 | — | balanced | |
| 2024-07-12 | Crown of tooth | 9,000 | 0 | 9,000 | — | issued | |
| 2023-07-20 | Dental scaling | 1,000 | 1,000 | 0 | — | balanced | |
| 2023-07-17 | Dental procedure (other) | 0 | 4,500 | -4,500 | — | cancelled | |
| 2023-07-13 | Crown of tooth | 1,000 | 0 | 1,000 | — | issued | |
| 2023-07-13 | Crown of tooth | 3,500 | 0 | 3,500 | — | issued | |
| 2023-07-12 | Root canal treatment | 0 | 3,500 | -3,500 | — | cancelled | |
| 2023-07-07 | Crown of tooth | 0 | -500 | 500 | — | cancelled | |
| 2023-07-04 | Dental procedure (other) | 0 | 5,000 | -5,000 | — | cancelled | |
| 2023-07-03 | Crown of tooth | 7,000 | 0 | 7,000 | — | issued | |
| 2023-07-01 | Dental filling | 2,000 | 0 | 2,000 | — | issued | |
| 2021-05-07 | Root canal treatment | 700 | 700 | 0 | — | balanced | |
| 2021-05-06 | Dental filling | 0 | 600 | -600 | — | cancelled | |
| 2019-11-13 | Dental filling | 1,300 | 700 | 600 | — | issued | |
| 2019-10-07 | Crown of tooth | 0 | 2,500 | -2,500 | — | cancelled | |
| 2019-09-30 | Crown of tooth | 2,000 | 0 | 2,000 | — | issued | |
| 2019-09-30 | Crown of tooth | 0 | 500 | -500 | — | cancelled | |
| 2019-09-16 | Root canal treatment | 0 | 1,000 | -1,000 | — | cancelled | |
| 2019-09-10 | Root canal treatment | 0 | 2,000 | -2,000 | — | cancelled | |
| 2019-09-06 | Crown of tooth | 5,500 | 1,500 | 4,000 | — | issued |