Back to Patients
De-identified Patient
male
DOB: ••••-••-••
FHIR: Patient
Patient Information
FHIR: Patient
De-identified for demo. Identity fields are masked.
- Full Name
- De-identified
- Date of Birth
- ••••-••-••
- Gender
- male
- Phone
- ••••••••D)
- ••••@••••
- Address
- De-identified location
Quick Actions
1
Conditions
1
Procedures
1
Visits
1
Invoices
2
X-rays
Diagnosed Conditions
Add Condition| Condition | ICD-10-AM | SNOMED CT Ref. | Status | Onset | Notes | FHIR |
|---|---|---|---|---|---|---|
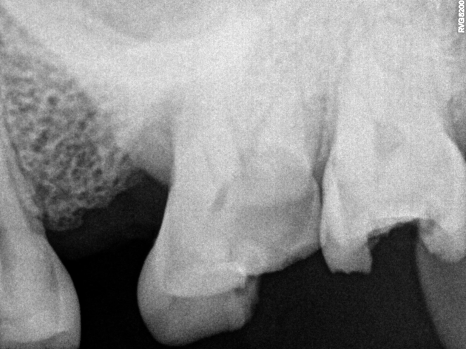
| Necrosis of dental pulp | K04.1 | 234946006 | resolved | 2026-03-17 | a/o with 27, bmp mb 0.5 stopper db 1 stopper palatal 2 stopper 20.06 all three canals |
Dental Procedures
Add Procedure| Procedure | SNOMED CT AU | CDT Code | Tooth | Date | Status | Notes | FHIR |
|---|---|---|---|---|---|---|---|
| Root canal treatment | 234780006 | D3330 Endodontic therapy, molar tooth | ##27 | 2026-03-17 | completed | a/o with 27, bmp mb 0.5 stopper db 1 stopper palatal 2 stopper 20.06 all three canals |
Appointment History
Book Appointment| Date & Time | Status | Clinical Notes | FHIR |
|---|---|---|---|
| 2026-03-17 14:20 | fulfilled | a/o with 27, bmp mb 0.5 stopper db 1 stopper palatal 2 stopper 20.06 all three canals — Dr Riyaz |
Dental Radiographs FHIR: DocumentReference · LOINC 24641-7
FHIR Bundle
xray_1773736525_0.jpg
24641-7
xray_1773736623_0.jpg
24641-7
Invoices FHIR R4 Invoice · INR
FHIR Bundle⁢₹4,500
Charged
₹0
Paid
₹4,500
Outstanding
| Date | Procedure | Charged (₹) | Paid (₹) | Balance (₹) | Mode | Status | FHIR |
|---|---|---|---|---|---|---|---|
| 2026-03-17 | Root canal treatment | 4,500 | 0 | 4,500 | — | issued |