Back to Patients
De-identified Patient
male
DOB: ••••-••-••
FHIR: Patient
Patient Information
FHIR: Patient
De-identified for demo. Identity fields are masked.
- Full Name
- De-identified
- Date of Birth
- ••••-••-••
- Gender
- male
- Phone
- ••••••••79
- ••••@••••
- Address
- De-identified location
Quick Actions
19
Conditions
28
Procedures
37
Visits
20
Invoices
21
X-rays
Diagnosed Conditions
Add Condition| Condition | ICD-10-AM | SNOMED CT Ref. | Status | Onset | Notes | FHIR |
|---|---|---|---|---|---|---|
| Dental pulp necrosis | — | 234946006 | resolved | 2026-03-19 | obt done with 27 | |
| Necrosis of dental pulp | K04.1 | 234946006 | resolved | 2026-03-14 | adv rct with 27 | |
| Dental caries, unspecified | K02.9 | 80967001 | resolved | 2025-05-20 | composite 48 3m shade a2, . adv crown when needed. joint with 47 can be done later | |
| Dental pulp necrosis | — | 234946006 | resolved | 2025-05-14 | obt 48 . next visit crown to be done | |
| Dental pulp necrosis | — | 234946006 | resolved | 2025-05-08 | a/o with 48,bmp-mb,ml-20.06,d-25.06 | |
| Necrosis of dental pulp | K04.1 | 234946006 | resolved | 2024-06-27 | 3m composite class 2 27 - Adv rct if needed | |
| Dental pulp necrosis | — | 234946006 | resolved | 2024-06-26 | adv-rc 27 | |
| Dental caries, unspecified | K02.9 | 80967001 | resolved | 2023-05-03 | 27 amalgam filling done | |
| Dental caries | — | 80967001 | resolved | 2023-05-01 | 27- type ix done | |
| Dental caries | — | 80967001 | resolved | 2023-01-14 | trail done & wax bite taken & shade A3 | |
| Dental caries | — | 80967001 | resolved | 2023-01-12 | 25 & impression taken | |
| Dental caries | — | 80967001 | resolved | 2022-10-28 | 24 & 26 crown cementation done | |
| Dental caries | — | 80967001 | resolved | 2022-10-22 | crown prep 24 zirconia shade a3 & 26 metal & impression taken | |
| Dental pulp necrosis | — | 234946006 | resolved | 2022-10-18 | obt 24 | |
| Dental pulp necrosis | — | 234946006 | resolved | 2022-10-17 | re rc a/o 26 paaltal 25-06 hypo done | |
| Dental pulp necrosis | — | 234946006 | resolved | 2022-10-13 | a/o | |
| Dental caries | — | 80967001 | resolved | 2022-10-13 | crown remval 24 & 25 & 26 | |
| Dental caries, unspecified | K02.9 | 80967001 | resolved | 2009-07-15 | Type IX interproximal filling 17 & 18 | |
| Deposits on teeth | K03.6 | 109606002 | resolved | 2009-07-15 | Scaling Lower anteriors |
Dental Procedures
Add Procedure| Procedure | SNOMED CT AU | CDT Code | Tooth | Date | Status | Notes | FHIR |
|---|---|---|---|---|---|---|---|
| Root canal treatment | 234780006 | — | ##27 | 2026-03-19 | completed | obt done with 27 | |
| Root canal treatment | 234780006 | — | ##27 | 2026-03-14 | completed | adv rct with 27 | |
| Root canal treatment | 234780006 | — | ##27 | 2026-03-14 | completed | a/o 27 buccal 25.04 3.5 stopper pal. 25.06 2.5 stopper | |
| Dental filling | 180534004 | D2391 Resin composite - one surface, posterior | ##48, #47 | 2025-05-20 | completed | composite 48 3m shade a2, . adv crown when needed. joint with 47 can be done later | |
| Root canal treatment | 234780006 | — | ##48 | 2025-05-14 | completed | obt 48 . next visit crown to be done | |
| Root canal treatment | 234780006 | D3330 Endodontic therapy, molar tooth | ##48 | 2025-05-08 | completed | a/o with 48,bmp-mb,ml-20.06,d-25.06 | |
| Root canal treatment | 234780006 | — | ##27 | 2024-06-27 | completed | 3m composite class 2 27 - Adv rct if needed | |
| Dental procedure (other) | 74964007 | D9999 Unspecified adjunctive procedure, by report | — | 2024-06-27 | completed | scalng | |
| Root canal treatment | 234780006 | D3330 Endodontic therapy, molar tooth | ##27 | 2024-06-26 | completed | adv-rc 27 | |
| Dental filling | 180534004 | D2150 Amalgam - two surfaces | ##27 | 2023-05-03 | completed | 27 amalgam filling done | |
| Dental filling | 180534004 | D2940 Protective restoration (GIC) | ##27 | 2023-05-01 | completed | 27- type ix done | |
| Crown of tooth | 424311000 | — | — | 2023-01-14 | completed | trail done & wax bite taken & shade A3 | |
| Dental prosthesis construction | 234783000 | D9999 Unspecified adjunctive procedure, by report | ##25 | 2023-01-12 | completed | 25 & impression taken | |
| Dental procedure (other) | 74964007 | D9999 Unspecified adjunctive procedure, by report | — | 2022-10-30 | completed | imps | |
| Crown of tooth | 424311000 | — | ##24, #26 | 2022-10-28 | completed | 24 & 26 crown cementation done | |
| Crown of tooth | 424311000 | D2740 Crown, porcelain/ceramic substrate | ##24, #26 | 2022-10-22 | completed | crown prep 24 zirconia shade a3 & 26 metal & impression taken | |
| Dental implant placement | 234781005 | D6010 Surgical placement of implant body | ##75, #25 | 2022-10-20 | completed | IMPLANT 3-75*10 & t-50ncm -at 25 | |
| Root canal treatment | 234780006 | D3320 Endodontic therapy, premolar tooth | ##24 | 2022-10-18 | completed | obt 24 | |
| Root canal treatment | 234780006 | — | ##26 | 2022-10-18 | completed | obt 26 | |
| Dental procedure (other) | 74964007 | D9999 Unspecified adjunctive procedure, by report | — | 2022-10-18 | completed | db and palatal done | |
| Root canal treatment | 234780006 | D3348 Retreatment of previous root canal therapy - molar | ##26 | 2022-10-17 | completed | re rc a/o 26 paaltal 25-06 hypo done | |
| Dental implant placement | 234781005 | D6010 Surgical placement of implant body | ##25 | 2022-10-17 | completed | adv implant @25 | |
| Root canal treatment | 234780006 | — | — | 2022-10-13 | completed | a/o | |
| Crown of tooth | 424311000 | D2750 Crown, porcelain fused to high noble metal | ##24, #25, #26 | 2022-10-13 | completed | crown remval 24 & 25 & 26 | |
| Tooth extraction | 424451000 | D7140 Extraction, erupted tooth or exposed root | ##18 | 2021-11-29 | completed | extn 18 | |
| Dental filling | 180534004 | D2940 Protective restoration (GIC) | ##17, #18 | 2009-07-15 | completed | Type IX interproximal filling 17 & 18 | |
| Dental filling | 180534004 | D2391 Resin composite - one surface, posterior | ##15 | 2009-07-15 | completed | Flowable class V filling 15 | |
| Dental scaling | 52065007 | D1110 Prophylaxis - adult | — | 2009-07-15 | completed | Scaling Lower anteriors |
Appointment History
Book Appointment| Date & Time | Status | Clinical Notes | FHIR |
|---|---|---|---|
| 2026-03-19 20:34 | fulfilled | Dental visit — Dr Riyaz | |
| 2026-03-19 20:18 | fulfilled | obt done with 27 — Dr Riyaz | |
| 2026-03-14 20:08 | fulfilled | a/o 27 buccal 25.04 3.5 stopper pal. 25.06 2.5 stopper — Dr Riyaz | |
| 2026-03-14 13:39 | fulfilled | adv rct with 27 — Dr Riyaz | |
| 2025-05-20 11:41 | fulfilled | composite 48 3m shade a2, . adv crown when needed. joint with 47 can be done later — Dr Riyaz | |
| 2025-05-14 11:36 | fulfilled | Dental visit — Dr Riyaz | |
| 2025-05-14 11:32 | fulfilled | obt 48 . next visit crown to be done — Dr Riyaz | |
| 2025-05-08 19:36 | fulfilled | a/o with 48,bmp-mb,ml-20.06,d-25.06 — Dr Riyaz | |
| 2024-06-27 15:12 | fulfilled | Dental visit — NULL | |
| 2024-06-27 15:12 | fulfilled | scalng — NULL | |
| 2024-06-27 15:12 | fulfilled | 3m composite class 2 27 - Adv rct if needed — NULL | |
| 2024-06-26 13:33 | fulfilled | adv-rc 27 — NULL | |
| 2023-12-12 15:12 | fulfilled | Dental visit — NULL | |
| 2023-05-03 11:26 | fulfilled | 27 amalgam filling done — NULL | |
| 2023-05-01 11:38 | fulfilled | 27- type ix done — NULL | |
| 2023-01-14 11:51 | fulfilled | trail done & wax bite taken & shade A3 — NULL | |
| 2023-01-12 11:52 | fulfilled | 25 & impression taken — NULL | |
| 2022-10-30 15:47 | fulfilled | imps — NULL | |
| 2022-10-28 19:12 | fulfilled | 24 & 26 crown cementation done — NULL | |
| 2022-10-22 12:46 | fulfilled | crown prep 24 zirconia shade a3 & 26 metal & impression taken — NULL | |
| 2022-10-20 12:12 | fulfilled | Dental visit — NULL | |
| 2022-10-20 12:03 | fulfilled | IMPLANT 3-75*10 & t-50ncm -at 25 — NULL | |
| 2022-10-18 12:15 | fulfilled | Dental visit — NULL | |
| 2022-10-18 12:14 | fulfilled | db and palatal done — NULL | |
| 2022-10-18 12:14 | fulfilled | obt 26 — NULL | |
| 2022-10-18 12:05 | fulfilled | Dental visit — NULL | |
| 2022-10-18 11:14 | fulfilled | obt 24 — NULL | |
| 2022-10-17 14:48 | fulfilled | adv implant @25 — NULL | |
| 2022-10-17 14:48 | fulfilled | re rc a/o 26 paaltal 25-06 hypo done — NULL | |
| 2022-10-13 15:26 | fulfilled | crown remval 24 & 25 & 26 — NULL | |
| 2022-10-13 15:21 | fulfilled | Dental visit — NULL | |
| 2022-10-13 14:53 | fulfilled | a/o — NULL | |
| 2021-11-29 12:53 | fulfilled | Dental visit — NULL | |
| 2021-11-29 12:20 | fulfilled | extn 18 — NULL | |
| 2009-07-15 12:09 | fulfilled | Scaling Lower anteriors — NULL | |
| 2009-07-15 12:09 | fulfilled | Flowable class V filling 15 — NULL | |
| 2009-07-15 12:06 | fulfilled | Type IX interproximal filling 17 & 18 — NULL |
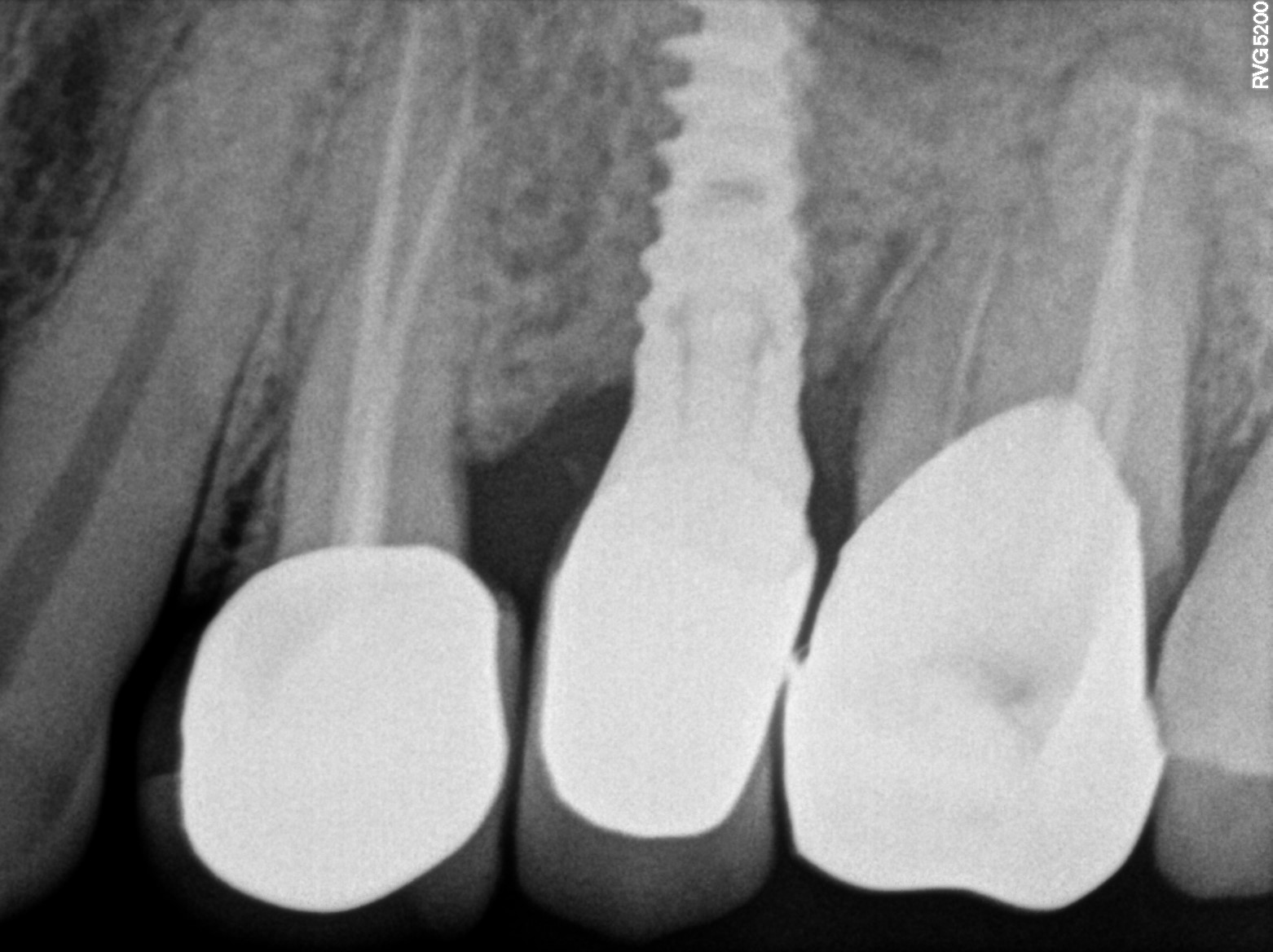
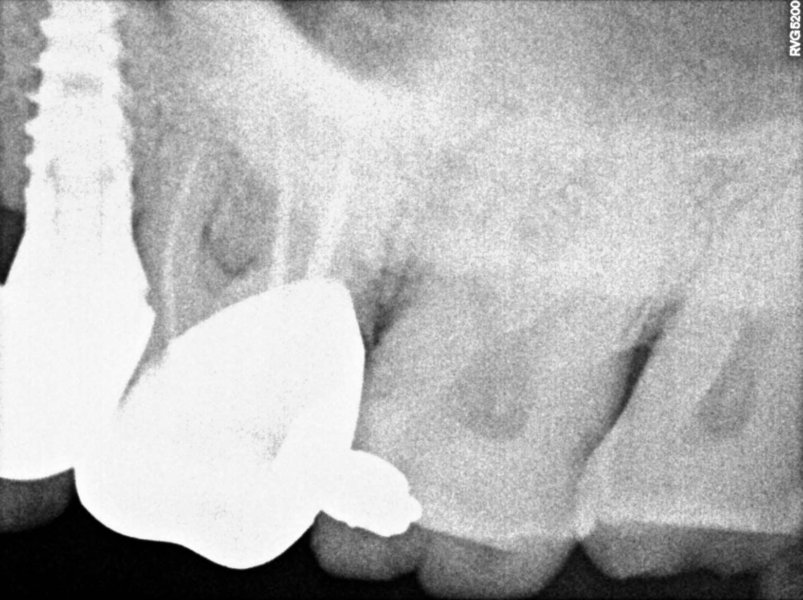
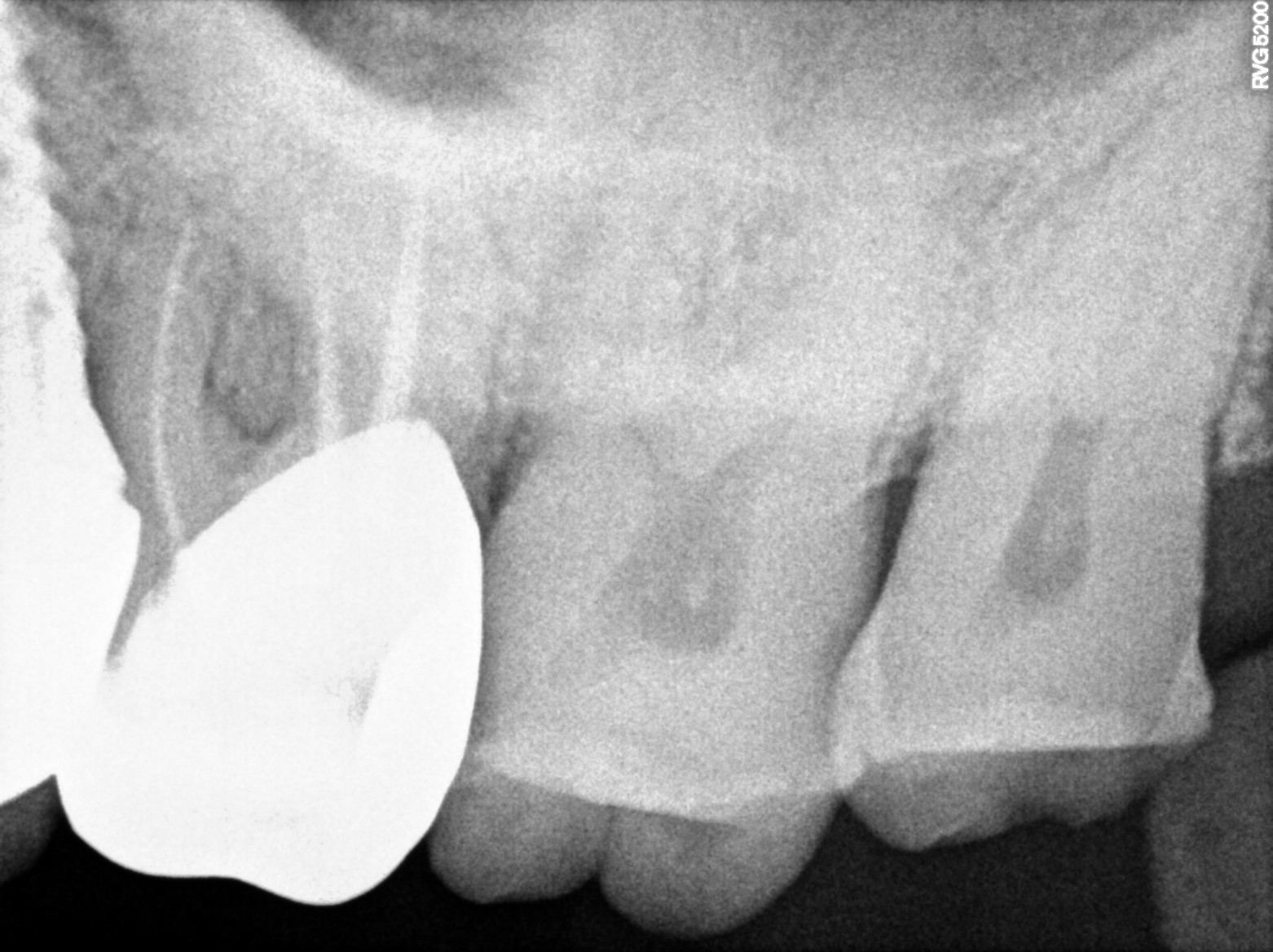
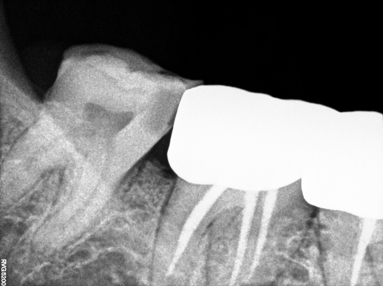
Dental Radiographs FHIR: DocumentReference · LOINC 24641-7
FHIR Bundle
R53 (2).jpg
24641-7
R55.jpg
24641-7
2 (1).jpg
24641-7
xray_1773475755_1.jpg
24641-7
2 (2).jpg
24641-7
R58.jpg
24641-7
R55.12.jpg
24641-7
R60.jpg
24641-7
R66 (2).jpg
24641-7
3.jpg
24641-7
xray_1746715988_0.jpg
24641-7
xray_1773475755_0.jpg
24641-7
R53.jpg
24641-7
R57.jpg
24641-7
R66 (1).jpg
24641-7
R59.jpg
24641-7
R56.1.jpg
24641-7
R63.jpg
24641-7
R64.jpg
24641-7
xray_1773931712_0.jpg
24641-7
R54.jpg
24641-7
Invoices FHIR R4 Invoice · INR
FHIR Bundle⁢₹54,000
Charged
₹53,500
Paid
₹24,500
Outstanding
| Date | Procedure | Charged (₹) | Paid (₹) | Balance (₹) | Mode | Status | FHIR |
|---|---|---|---|---|---|---|---|
| 2026-03-19 | Root canal treatment | 0 | 1,500 | -1,500 | gpay | cancelled | |
| 2026-03-14 | Root canal treatment | 5,000 | 3,000 | 2,000 | cash | issued | |
| 2025-05-20 | Dental filling | 2,000 | 2,000 | 0 | cash | balanced | |
| 2025-05-14 | Root canal treatment | 0 | 5,000 | -5,000 | gpay | cancelled | |
| 2025-05-14 | Root canal treatment | 5,000 | 0 | 5,000 | — | issued | |
| 2024-06-27 | Dental procedure (other) | 2,000 | 0 | 2,000 | — | issued | |
| 2024-06-27 | Dental procedure (other) | 1,000 | 0 | 1,000 | — | issued | |
| 2024-06-27 | Dental procedure (other) | 0 | 3,000 | -3,000 | — | cancelled | |
| 2023-12-12 | Dental procedure | 13,500 | 0 | 13,500 | — | issued | |
| 2023-05-03 | Dental filling | 2,000 | 2,000 | 0 | — | balanced | |
| 2022-10-30 | Dental procedure (other) | 0 | 8,500 | -8,500 | — | cancelled | |
| 2022-10-20 | Dental implant placement | 19,000 | 19,000 | 0 | — | balanced | |
| 2022-10-18 | Dental procedure (other) | 0 | 3,000 | -3,000 | — | cancelled | |
| 2022-10-17 | Dental implant placement | 0 | 2,000 | -2,000 | — | cancelled | |
| 2022-10-13 | Crown of tooth | 2,500 | 2,500 | 0 | — | balanced | |
| 2022-10-13 | Crown of tooth | 1,000 | 0 | 1,000 | — | issued | |
| 2021-11-29 | Tooth extraction | 0 | 1,000 | -1,000 | — | cancelled | |
| 2009-07-15 | Dental filling | 300 | 300 | 0 | — | balanced | |
| 2009-07-15 | Dental filling | 300 | 300 | 0 | — | balanced | |
| 2009-07-15 | Dental filling | 400 | 400 | 0 | — | balanced |